PROGRESOS DE OBSTETRICIA Y GINECOLOGÍA
Volumen 41
Número 3
Abril 1998
Leptospirosis y gestación: a propósito de un caso de enfermedad de Weil en una gestante de nuestro medio
A. B. Espejo
M. Marcelino
T. Saiz
E. Puente
F. Martos
B. Weil
J. Larracoechea
Departamento de Obstetricia y Ginecología
Hospital Materno-Infantil
Arroyo de los Ángeles s/n
Málaga
Correspondencia:
A. B. Espejo Martínez
Acceso Río Adelfas. Urb. Sueño Azul, 27
29790 Benajarafe, Málaga
Leptospirosis and pregnancy: case report of a Weil disease in a pregnant of our environment
Espejo AB, Marcelino M, Saiz T, Puente E, Martos F, Weil B, Larracoechea J. Leptospirosis y gestación: a propósito de un caso de enfermedad de Weil en una gestante de nuestro medio. Prog Obstet Ginecol 1998;41:179-184
Aceptado para publicación 17/12/97
INTRODUCCIÓN
La leptospirosis es una antropozoonosis producida por espiroquetas. Las leptospiras constituyen actualmente la familia Leptospiraceae, con un único género, Leptospira, que comprende dos especies: Leptospira biflexa y Leptospira interrogans. Las leptospirosis más frecuente e importantes están producidas por los serogrupos: icterohemorragiae, canícola, grippotyphora, pomona y sejroe. Las zonas más afectadas en nuestro país son: la huerta valenciana, el Delta del Ebro e Isla Mayor de Guadalquivir. Se producen además, casos esporádicos en otras zonas, sobre todo en medio rural y tras períodos de lluvia (1).
En lo que respecta a la incidencia de leptospirosis en la mujer gestante y sus efectos sobre el feto, señalar que es bastante reducido el número de casos publicados (2-13), lo que limita las conclusiones extraídas; sin embargo, parece relacionarse con una importante incidencia de abortos y de partos inmaduros, siendo la infección congénita más rara.
Analizamos un caso de enfermedad de Weil en una embarazada de nuestro medio cuya evolución materno-fetal fue infausta. La enfermedad de Weil es una forma severa de leptopirosis, que cursa con intensa ictericia, azotemia, hemorragias, anemia, trastorno de la coagulación y fiebre; produciéndose alteraciones fundamentalmente a tres niveles: renal, hepático y coagulación. Su mortalidad es elevada, se estima en un 9,8%, presentando las formas clínicas que cursan con ictericia una mayor mortalidad, que oscila entre un 15 y un 40% (14).
CASO APORTADO
Mujer de 35 años, primigesta, previamente sana, procedente de zona rural y de ocupación profesional, trabajadora de la limpieza, acude en la 23 semana de embarazo por fiebre y escalofríos de cuatro días de evolución. A su ingreso presenta buen estado general, consciente y orientada, con una temperatura de 38,3° C; la tensión arterial y la exploración por apartados y sistemas fue normal. Entre los datos de laboratorio en la admisión de urgencias destacar, la presencia de leucopenia (3.480) y anemia moderada (Hgb: 10,5; Htco: 32,4%) y cifras de plaquetas en el límite bajo de la normalidad (149.000); con una analítica urinaria anodina, en la que sólo encontramos proteínas (1+). En cuanto a la exploración obstétrica, el útero corresponde a la amenorrea y aparece relajado, feto vivo y cuello uterino sin modificación.
En los días inmediatos a su ingreso, persiste fiebre elevada (38-39° C) y se produce un deterioro progresivo de su estado general, apareciendo en tinte subictérico que se torna en ictericia franca cutáneo mucosa en 24 horas. Se objetivan: orinas colúricas y epístaxis, acompañada de ictericia franca, epigastralgia, hemorragia conjuntival, hematomas espontáneos y en lugar de venopunción, con gran astenia y en la exploración abdominal destaca un signo de Murphy (+).
En hemogramas seriados, se comprueban leucopenia y anemia de mayor severidad, con alternación de la coagulación. El hemocultivo, las aglutinaciones para Brucellas, salmonella típica y paratípica, HIV resultaron negativas. La ecografía obstétrica muestra una gestación con feto vivo, de biometría acorde a amenorrea, con placenta y líquido amniótico normal. En ecografía abdominal se evidencia vesícula dilatada, con gas e imagen de doble pared, compatible con colecistitis aguda. Se decide traslado al servicio de Cirugía Digestiva para valoración de tratamiento quirúrgico.
Al ingreso en cirugía digestiva, se encontraba apirética y presentaba desorientación y agitación. Destacaba una ictericia intensa de piel y mucosa, orina colúrica, hematomas de venopunción, hemorragia gingival y conjuntival bilateral y anisocoria; taquipnea y taquicardia. El abdomen: distendido, doloroso a la palpación en hipocondrio derecho. La Rx tórax practicada fue normal. Los valores analíticos y su evolución se muestran en la tabla 1. El fibrinógeno, los PDF y el test de etanol fueron normales. En el frotis de sangre periférica se observa un 20% de célula de aspecto blástico. Reticulocitos 0,5%, test de Coombs directo negativo y haptoglobina inferior a 5mg/dl. A las tres horas del ingreso la paciente expulsó de forma repentina el feto y la placenta, tras lo cuál se realizó legrado (la placenta mostró una intervillitis aguda, siendo el feto de características normales). Posteriormente presentó hipotensión, oligoanuria y sangrado genital, por lo que se realizó taponamiento vaginal, y se transfundieron plaquetas y hematíes. A las 12 horas del ingreso se practicó aspirado de médula ósea, que mostró alteraciones sugestivas de proceso séptico. Un nuevo frotis de sangre evidenció 25% de cayados y 2% metamielocitos, esquistocitos 2/1.000 hematíes, sin parásitos. Una nueva ecografía mostró datos de colecistitis alitiásica y líquido libre en ambos espacios subfrénicos y subhepático. Se practicó una laparotomía urgente, observándose líquido ascítico de tinte ictérico, sin observarse foco séptico abdominal. A la salida de quirófano la paciente se mantuvo hipotensa con necesidad de inotropos y aporte masivo de sangre, plaquetas y fluidos. Es ingresada en UCI, donde se inicia tratamiento con Imipenen y Doxiciclina. Se realiza TAC de cráneo que resultó normal. Por persistencia de oligoanuria se inicia hemofiltración. Al octavo día del ingreso seguía en ventilación mecánica. Mejoró la situación hemodinámica, pero persistió oligoanúrica. Se apreciaba leve sangrado por sonda nasogástrica, así como anemia, trombopenia, coagulapatía y alteraciones del pérfil hepático. En el sedimento se observaban 20 leuc/c 15 h/c y proteinuria ++. Los hemocultivos, urocultivos y cultivo de líquido ascístico son negativos, sin observarse parásitos en la tinción de Giemsa ni leptospiras en orina (campo oscuro). Serología a virus B y C negativas, Hemaglutinación a Leptospira positivo a título 1/1, Rickettsia conorii y mooseri (IgG e IgM) negativas, VHSI IgG (ELISA) 2,1, VHS2 IgG (ELISA) 2,4, CMV IgG (ELISA) 7,2. Al noveno día del ingreso desarrolló distrés respiratorio severo. El cultivo de broncoaspirado fue negativo. Durante la semana siguiente la situación respiratoria mejoró. Se evidenciaron varias lesiones de necrosis digital. La hemorragia conjuntival evolucionó hacia la reabsorción, dejando ver una marcada inyección conjuntival de predominio en el ojo derecho. Al 13.º día de ingreso, tras la retirada de sedorrelajación se encuentra en estado de coma con apertura ocular espontánea, temblor intenso, sin obedecer órdenes ni movilizar miembros. A la palpación abdominal se aprecia hepatomegalia blanda de 4 cm.
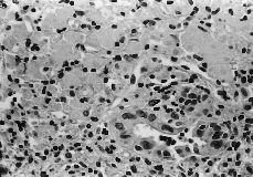
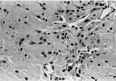
Al 15.º día del ingreso se realiza ecografía abdominal, que evidenció múltiples lesiones hipoecoicas en hígado y bazo que sugerían abscesos, aumento de ecogenicidad cortical de ambos riñones y abundante líquido libre peritoneal. Se practica ecocardiografía transtorácica que resulta normal. La biopsia hepática (Figs. 1 y 2) evidenció amplias áreas de necrosis con pericolangitis. El cultivo estándar, de Löwenstein y la tinción de Zhiel de la biop
sia fueron negativos. En días posteriores mejoraron la situación hemodinámica y respiratoria y las alteraciones analíticas (tabla 1). Se repite la hemaglutinación a Leptospira, que mostró nuevamente un título 1/1.En 24.º día continúa oligoanúrica y en similar situación neurológica. Comienza nuevamente con p
icos febriles, los hemocultivos persisten negativos. En días posteriores comienza nuevamente con inestabilidad hemodinámica. En EEG se aprecia disminución global marcada de la actividad eléctrica cerebral. Al día siguiente se objetiva midriasis izquierda arreactiva y ausencia de reflejos de tronco. Se practica TAC que mostró hipoatenuación cerebral difusa compatible con anoxia cerebral. Se practica EEG que muestra ausencia de actividad eléctrica.La confirmación diagnóstica de leptospirosis se realizó tras su fallecimiento, mediante la técnica de ELISA-IgM (determinación de IgM específica de género frente a Leptospira).
DISCUSIÓN
Las manifestaciones clínica de la leptospirosis en humanos son muy diferentes y varían de una presentación subclínica a la fiebre icterohemorrágica, caracterizada por un fallo hepato-renal asociado a una alta mortalidad(14). Las referencias en la literatura a esta enfermedad infecciosa en la gestación y sus efectos sobre el feto son muy limitadas (2-13). Hemos revisado la literatura, encontrando 29 casos de leptospirosis en el embarazo, 27 de los cuales se muestran en la tabla 2 (12) y 3 (13), recopilación de las últimas revisiones. Nuestro caso muestra la peor evolución de esta enfermedad, la fiebre icterohemorrágica o enfermedad de Weil.
Queremos señalar la gran dificultad diagnóstica de esta enfermedad en zonas no endémicas; en nuestro caso, la dificultad estriba en su baja incidencia; se barajan en nuestra paciente otros diagnósticos como causa del cuadro clínico; hepatitis fulminante, púrpura trombótica trombocitopénica, leucemia aguda monocítica; y sólo tardíamente se sospecha la posibilidad de leptospirosis. Asímismo, la reactividad mediante hemaglutinación indirecta no mostró reactividad, siendo necesaria la aplicación de otras técnicas, ELISA-IgM (determinación de IgM específicas de género frente a leptospira) para llegar a un diagnóstico de certeza; lo cual es un fenómeno constatado en formas graves de leptospirosis icterohemorrágica. Todo ello conlleva un retraso en el tratamiento específico de la enfermedad.
Hay varios antibióticos útiles en clínica, el tratamiento de elección es la penicilina a dosis de 1,5 millones de unidades cada seis horas durante siete días por vías, parenteral, siendo la eritromicina la alternativa en pacientes alérgicas a la anterior (15).
De lo anterior, podemos concluir que la leptospirosis en nuestro medio y coincidente con la gestación es un acontecimiento excepcional, lo que condiciona una gran dificultad diagnóstica.
BIBLIOGRAFÍA
1 Rodríguez Torres A. Infecciones por espiroquetas. Aspectos actuales. Medicine 1990;75:2942-7.
2 Hiyeda G. On the fetal infection by spirochetas icterohe-
morhariae. Tokyo Medical Mews 1927;2537 In: Jpn Med 1928, p. 8-15
3 Lindsay S, Luke W. Fatal leptospirosis (Weil''s desease) in a newborn infant. J Pediatr 1949;34:90-4.
4 Coghlan JD, Bain AD. Leptospirosis in human pregnancy followed by death of the foetus. Br Med J 1969;1:228-30.
5 Chung HL, T''Sao WC, Mo PS, Yen C. Transplacental or congenital infection of leptospirosis: clinical and experimental observations. Chin Med 1963;82:777-82.
6 Faine S, Adler B, Chistopher W, Valentine R. Fatal congenital human leptospirosis. Zentralbl Bakteriol Mikrob Hyg 1984;257: 548.
7 Teng CC. Fetus with leptospirosis infection during pregnancy: a case report. Zhong Neike Z 1960;8:291.
8 De Silva K, Jayaweera BA. Leptospirosis problems in pregnancy. Ceylon Med J 1970;15:96-103.
9 Gsell HO, Olafsson A, Sonna Bend W, Breer C, Bachmann C. Intrauterine leptospirosis pomona. Dtsch Med Wochenschr 1971;96:1263-8.
10 Bleier W, Lechtken FJ. Menschliche leptospira-canicola infection als Ursache eines Spontanabortes. Geburtshilfe Frauenheilkd 1951;11:538-44.
11 Topeiu V, Manu E, Strubert L et al. Voie transplacentaire dans un cas de leptospirose humaine. Gynecol Obstet 1966;65:617-20.
12 Shaked Y, Shpiberg O, Samra D, Samra Y. Leptospirosis in pregnancy and effects on the fetus: case report and review. Clin Infect Dis 1993;17:241-3.
13 Carles G, Montoya E, Joly F, Peneau C. Leptospirosis et grossesse. Etude de 11 cas en Guyane Française. J Gynecol Obstet Biol Reprod 1995;24:418-21.
14 Lozano Tonkin C (Dir). Enfermedades Infecciosas, 4.ª ed. Madrid: Luzán; 1989. p. 131-45.
15 Watt G, Padre LP, Tuazon MI et al. Placebo controlled trial of intravenous penicilin for severe and late leptospirosis. Lancet 1988;1:433.
Figs. 1 y 2.Biopsia hepática (amplias áreas de necrosis con pericolangitis).
Tabla 1 Resultados analíticos
Ingreso 2.° Día 4.° Día 5.° Día 6.° Día 7.° Día 9.° Día 17.° Día 22.° Día
| Leucocitos | 3.480 | 2.980 | 3.300 | 18.540 | 15.900 | 9.700 | 13.000 | ||
| Hemoglobina | 10,5 | 9,7 | 9,9 | 7,8 | 9,5 | 10 | 11,6 | ||
| Plaquetas | 149.000 | 106.000 | 12.000 | 21.000 | 27.000 | 82.000 | 205.000 | ||
| Act. protom. | 82% | 81% | 91% | 42% | 100% | 87,5% | 92,8% | ||
| TPTA | 46 (36) | 23,5 (37) | 27,5 (30) | 50 (36) | 28 (30) | 43 (29) | 46 (29) | ||
| Glucosa | 170 | 68 | 80 | 153 | 173 | 98 | |||
| Urea | 25,3 | 84,3 | 79 | 63 | 73 | 44 | |||
| Creatinina | 0,52 | 0,54 | 1 | 1,3 | 0,8 | 1 | |||
| Sodio | 138 | 138 | 145 | 143 | 130 | 132 | |||
| Potasio | 4,23 | 4,3 | 4 | 4,1 | 5 | 4,2 | |||
| Proteínas T. | 3,8 | 3,7 | 5,3 | 5,9 | 5,6 | ||||
| GOT/GPT | 192/44 | 203/56 | 86/31 | 45/23 | |||||
| F. Alcalina | 254 | 757 | 1.456 | 1.472 | |||||
| GGT | 25 | 142 | 492 | 473 | |||||
| Bilirr. T/D | 7,3/7 | 31/30 | 2,6/1,7 | ||||||
| Amilasa | 66 | 518 | |||||||
| CPK | 151 | 207 | |||||||
| LDH | 2.917 | 2.589 | 2.922 | 1.404 |
Tabla 2(12)
Casos Edad de la Edad gestación Ictericia Resultado del Organismo Afectación Afectación
madre embarazo causal fetal placenta
| 1 | NC | 16 | Sí | Aborto | L. Icterohe | No | NC |
| 2 | 29 | NC | No | Parto normal | L. Icterohe | Riñón | NC |
Fallece a las 38 h Hígado
| 3 | 34 | 30 | NC | Aborto | L. Canícola | No | No |
| 4 | 20 | 20 | NC | Aborto | L. Kasman | Riñón, hígado, | NC |
miocardio
Pulmón
5 26 Término No Leptospirosis L. Bovis NC Sí
Congénita
| 6 | 27 | 34 | NC | Aborto | L. Hardjo | No | Sí |
| 7 | NC | Término | NC | Leptospirosis | NC | NC | NC |
Congénita
| 8 | 25 | 29 | No | NC | NC | NC | NC |
| 9 | 27 | 1er Trimestre | NC | Aborto | NC | NC | NC |
| 10 | 26 | 38 | No | Parto normal | NC | NC | NC |
| 11 | 21 | 37 | No | Parto normal | NC | NC | NC |
| 12 | 20 | 6 | Sí | Aborto | NC | NC | NC |
| 13 | 24 | 34 | No | Leptospirosis | L. Pomona | NC | NC |
Congénita
| 14 | 23 | 18 | NC | Aborto | L. Canicola | NC | NC |
| 15 | 23 | 7 | Sí | Aborto | L. Icterohe | Hígado | NC |
| 16 | 27 | 34 | No | Parto normal | L. Canicola | NC | NC |
NC (No consta)
Tabla 3(13)
Casos Edad Clínica Biología Detección de Serología Resultado de la Tratamiento
gestación leptospira en leptospira gestación
orina
1 26 Aumento LA, Normal + L. Australis 1/400 MFIU Penicilina
fiebre Anasarca
Fetoplacentaria
2 27 Fiebre, cefalea * GPT No realizado L. Ictero- MFIU Ampicilina
ictericia * Bilirrubina haemorragiae
Insuf. renal 1/400
severa Puis 1/800
3 32 Fiebre, cefalea * GPT + L. Cynopteri Prematuridad Ampicilina
Creatinina Semana 35
Proteinura+++ (2.500 g)
| 4 | 15 | Aborto febril | * GPT | No realizado | L. Castellonis | Aborto | Ampicilina |
| * Bilirrubina | 1/400 | Gentamicina | |||||
| Proteinuria+++ | Puis 1/400 | ||||||
| 5 | 32 | Fiebre, cefalea | * GPT | - | L. Castellonis | Cesárea | Penicilina |
| mialgias | * Bilirrubina | 1/100 | Semana 40 | ||||
| ictericia | Proteinuria+++ | PUIS 1/400 | SFA |
Insuf. renal moderada
| 6 | 18 | Aborto, fiebre | * GPT | No realizado | L. Grippo-Typhosa | Aborto | Ampicilina |
| ictericia | 1/100, Puis 1/400 | ||||||
| 7 | 25 | fiebre, cefalea | * GPT | No realizado | L. Panama 1/50 | Prematuridad | Ampicilina |
| oliguria | * Bilirrubina | Puis 1/400 | Semana 35 |
miocardiopatía Insuficiencia
Renal
8 36 Fiebre Normal + L. Ictero MFIU O
Haemorragiae
1/800
9 27 Fiebre, mialgias Anemia No realizado L. Ictero- MFIU Ampicilina
* GPT Haemorragiae Leptopiras en
1/100, Puis 1/400 placenta
10 32 Ictericia * Bilirrubina + L. Ictero- Prematuridad Ampicilina
febrícula Haemorragiae Semana 35
1/400
11 29 Dolor * GPT - L. Patoc 1/100, Puis Normal a las 40 Ampicilina
hipocondrio Anemia 1/400 Semana
dcho. Proteinuria ++
fiebre
vómitos



