A continuación, presentamos el caso de una gestación ectópica de localización tubárica triple, de origen espontáneo y diagnóstico ecográfico tras consulta por dolor abdominal. Se realizó tratamiento quirúrgico por un cuadro de inestabilidad hemodinámica tras la rotura tubárica. La reducida frecuencia del embarazo triple, especialmente de forma espontánea, y la poco frecuente localización ectópica hacen de esta paciente un caso extremadamente inusual.
The aim of this case report is to present a triplet ectopic pregnancy of spontaneous origin and tubal situation diagnosticated by ultrasonography after query for abdominal pain. Surgical treatment was performed due to an haemodynamic shock caused by tubarian hole.
The reduced frequence of triplet pregnancy, specially from spontaneous origin and the ectopian location, makes this patient an extremely inusual case.
Revisando la literatura médica existente con el fin de encontrar la incidencia de gestación tubárica triple, realizamos una búsqueda en PubMed con la cadena «tubal pregnancy AND triplet» y hallamos 53 artículos y una revisión1. Desglosando estos hallazgos, descartamos la revisión por tratarse de gestaciones conseguidas con técnicas de reproducción asistida y no de forma espontánea, como nuestro caso clínico. De los 53 artículos, la gran mayoría son gestaciones por diversas técnicas de reproducción asistida, la quinta parte son gestaciones heterotópicas y un 10% son pacientes con secuelas tubáricas quirúrgicas. Por tanto, de toda la búsqueda bibliográfica sólo 4 artículos describen casos similares al nuestro: Plyler et al2 (1956), Forbes y Natale3 (1968), Schmitt y Heinen4 (1972) y, por último, Nwanodi y Berry5 (2006), que relata un caso asociado a cesárea previa refiriéndose a otros 6 casos anteriores.
Caso clínicoMujer de 25 años de edad que acudió a urgencias por un dolor progresivo de tipo cólico, localizado en el hipogastrio y de 24h evolución. No presentaba sangrado vaginal, síndrome miccional ni alteración de ritmo intestinal. No ha padecido episodios previos similares.
Refería una gestación previa con aborto espontáneo de unas 6 semanas y se había sometido a un legrado evacuador obstétrico.
Presentaba 7+3 semanas de amenorrea, con patrón menstrual previo eumenorreico y no utilizaba método anticonceptivo por deseo genésico. Estuvo tomando Yasmin® casi un año y lo suspendió justo antes de la última regla, por lo que el embarazo se produjo sin un período entre la suspensión de la anticoncepción oral y la fecundación. Por ello el menograma no presentó el patrón típico del embarazo ectópico, pues todos los ciclos previos eran por deprivación hormonal.
No tenía antecedentes personales de interés, excepto una apendicectomía. No presentaba alergias conocidas ni tomaba medicación de forma habitual. Era fumadora de 20 cigarros/día y su grupo era A+.
A la exploración presentaba un estado general conservado, con constantes dentro de la normalidad y vientre blando con dolor selectivo en el hipogastrio, de intensidad leve.
No presentaba sangrado vaginal. En el reconocimiento ginecológico resultó intensamente dolorosa la palpación profunda en fosa ilíaca izquierda y del saco de Douglas. La palpación de la fosa ilíaca derecha presentaba sensibilidad ligera. No presentaba dolor a la movilización cervical y no se palparon masas pélvicas.
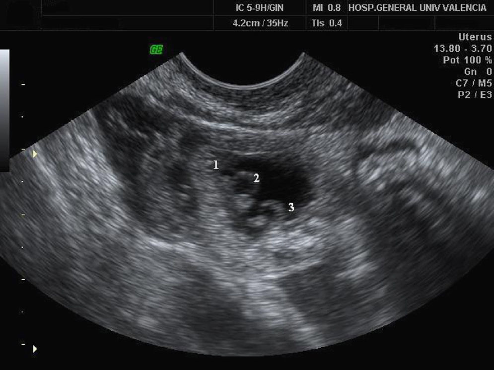
En la ecografía transvaginal se evidenciaron tres vesículas vitelinas con tres polos embrionarios de aproximadamente 3,5mm de LCN y con latidos cardíacos positivos, los tres en un mismo saco enclavado en tercio medio de trompa izquierda (fig. 1). Ambos anejos eran normales. El útero era regular, con la línea endometrial de 7,5mm espesor. En el saco de Douglas había cerca de 25mm de líquido libre (fig. 2).
Ante el diagnóstico de gestación ectópica tubárica, se ingresó a la paciente y se realizaron analíticas. La paciente quedó en observación, pendiente del resultado de las pruebas para plantear tratamiento médico. La analítica informó: hemograma: 12,9g/dl de hemoglobina y 38,1% de hematocrito; la hemostasia y la bioquímica no estaban alteradas, y los niveles de β-hCG en plasma fueron 27.412,65mUI/ml.
Dado el valor de β-hCG en plasma, que desaconsejó el tratamiento médico con metotrexato como primera elección y ante el inicio de un cuadro de inestabilidad hemodinámica se decidió realizar cirugía. Bajo anestesia locorregional intradural, se realizó, mediante incisión de Pfannestiel, una laparotomía con salpinguectomía parcial izquierda. Se preservaron ambos ovarios, que impresionaron normales. Intraoperatoriamente se extrajeron cerca de 200 cc de hemoperitoneo.
La pieza quirúrgica consistió en la trompa macroscópicamente íntegra, con un imagen de cerca de 4cm diámetro, de aspecto congestivo y con infiltrados hemáticos, que pareció corresponder al saco gestacional (fig. 3). Se envió a anatomía patológica para su estudio; este servicio informó de embarazo ectópico tubárico con hematosálpinx, perforación de la pared y perisalpingitis fibrohemorrágica (fig. 4).
En la revisión un mes poscirugía la paciente se encontraba asintomática y la ecografía transvaginal fue normal. Un año después de la cirugía, la paciente presentó una gestación eutócica única de 20 semanas de evolución, sin complicaciones.
DiscusiónEl embarazo ectópico6,7 presenta una incidencia aproximada de 1,5/1.000 gestaciones; la incidencia de embarazos dobles y triples es mucho menor. El caso que presentamos resulta, por tanto, de una frecuencia extremadamente inusual, si bien la actitud terapéutica no varía respecto a la de una gestación ectópica simple. A su vez, de entre los factores de riesgo de gestación ectópica nuestra paciente presentaba tabaquismo, aborto previo y toma de anticonceptivos orales.
Conflicto de interesesLos autores declaran no tener ningún conflicto de intereses.





