El embarazo abdominal se produce en 1 de cada 10.000 partos y constituye el 1,4% de todas las gestaciones ectópicas; la gestación en el epiplón es la forma menos común. La tasa de mortalidad maternal es aproximadamente del 6%1 y es 7 veces mayor que la de la gestación no abdominal2. La revisión de la literatura científica muestra que se han publicado muy pocos casos de gestación en el epiplón hasta la fecha, y que la mayoría fueron gestaciones en el epiplón secundarias. El diagnóstico de este tipo de gestación se hace habitualmente durante la cirugía abierta.
El caso que presentamos a continuación constituye un ejemplo de gestación primaria de epiplón, diagnosticada por laparotomía, tras la sospecha clínica de gestación tubárica. Con la publicación de este caso queremos hacer hincapié en la importancia de revisar cuidadosamente el epiplón cuando, durante la exploración quirúrgica de una paciente con clínica sugestiva de embarazo ectópico, ambos anejos son aparentemente normales.
CASO CLÍNICOLa paciente, de 31 años, portadora de dispositivo intrauterino (DIU), tercigesta con 2 cesáreas previas, fue derivada a nuestro servicio desde el hospital general, para descartar afección ginecológica, por dolor en la fosa ilíaca derecha el día 12 de octubre de 2004. La paciente presentaba una anemia ferropénica en tratamiento farmacológico con hierro por vía oral, sin otros antecedentes médicos de interés.
Inicialmente acudió al servicio de urgencias del hospital general por dolor que comenzó en el hipogastrio y que, tras 5 h de evolución, se localizó en fosa ilíaca derecha (FID), y se acompañó de síndrome miccional y anorexia. Los análisis sanguíneos practicados en ese momento se encontraron dentro de los rangos normales, a excepción de una discreta leucocitosis (12.900/µl) con neutrofilia (83,7% de neutrófilos) y una hemoglobina (Hb) de 12,2 g/dl, con un hematocrito de 37,2%. Las pruebas de función hepática y renal fueron normales, así como el análisis sistemático de orina. La presión arterial era normal (98/62 mmHg) y la paciente se encontraba afebril. Al obtener una prueba de embarazo positivo en orina, y porque la paciente era portadora de DIU, se la derivó al hospital maternal para estudio.
A su llegada a nuestro centro, la paciente continuaba estable con un discreto aumento del dolor en la FID. En la exploración ginecológica se objetivó una metrorragia muy escasa, con dolor a la movilización cervical y sin palparse masas anexiales mediante tacto bimanual. El abdomen era depresible, con dolor a la palpación profunda en la FID y sin signos de irritación peritoneal. En la ecografía, tanto con sonda vaginal como abdominal, se evidenció un útero vacío, con el DIU en su tercio inferior. El área anexial izquierda fue normal y en la zona paraovárica derecha se visualizó una formación ecomixta de 40 mm de diámetro, compatible con una gestación tubárica derecha. En el fondo del saco de Douglas había líquido libre en escasa cantidad.
Con la sospecha de gestación ectópica, se ingresó a la paciente para observación y se solicitó un nuevo hemograma a las 2 h, en el que se evidenció una caída de la Hb y el hematocrito a 10,1 g/dl y 30,3%, respectivamente, así como un empeoramiento del estado general de la enferma, por lo que se decidió intervenir a la paciente de forma urgente.
Se realizó una laparoscopia diagnóstica que objetivó un hemoperitoneo de 500 ml. Tras el aspirado de la sangre, se comprobó que el aparato genital interno era aparentemente normal, sin ningún punto sangrante evidente. La revisión completa del abdomen reveló una masa de 3 cm incluida en el extremo distal del epiplón, con hemorragia activa en su superficie. Se realizó una laparotomía para la extirpación amplia de la masa y revisión de la cavidad. Posteriormente, se extrajo el DIU por vía vaginal.
El informe anatomopatológico confirmó el diagnóstico de gestación ectópica en el epiplón. La paciente evolucionó favorablemente y precisó únicamente hierro por vía intravenosa para remontar la anemia moderada que presentó tras la cirugía (8,5 g/dl).
DISCUSIÓNEl caso presentado constituye un ejemplo de gestación primaria en el epiplón. Aunque no ha habido consenso para establecer este diagnóstico, existen los criterios de Studdiford, ampliamente empleados: 1) trompas de Falopio y ovarios normales de forma bilateral, sin lesiones recientes ni antiguas; 2) ausencia de una fístula útero-peritoneal; 3) presencia de una gestación en relación exclusivamente con la superficie peritoneal y lo suficientemente temprana para eliminar la posibilidad de una implantación secundaria a una nidación en la trompa3.
Todos los hallazgos clínicos, ecográficos, histopatológicos y quirúrgicos se deben combinar para diagnosticar un caso como gestación primaria en el epiplón. El uso reciente de anticonceptivos orales a base de progestágenos y el DIU se aceptan como factores de riesgo4. Nuestra paciente era portadora de un DIU.
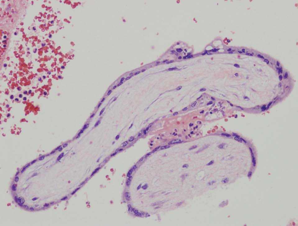
Figura 1. Vista a gran aumento de las vellosidades coriales dentro del coágulo de sangre en el omento extirpado.
Los síntomas son diferentes a los típicos del embarazo ectópico tubárico. Puede no presentarse amenorrea ni metrorragia y no existir ninguna masa anexial en el examen ecográfico. El síntoma más frecuente suele ser la existencia de un dolor severo en hemiabdomen inferior. En nuestro caso, la paciente presentaba amenorrea de 8 semanas, dolor abdominal importante y el estudio ecográfico reveló una imagen paraovárica derecha compatible con gestación tubárica. El diagnóstico de la gestación en el epiplón es difícil sin un abordaje quirúrgico; en nuestro caso no existió la sospecha de este diagnóstico hasta el momento de la laparoscopia, en la que se comprobó que ambos anejos eran normales sin evidencia de lesiones.
Existen 16 casos de gestaciones ectópicas en el epiplón en la literatura médica. La mayoría son tratados mediante laparotomía, aunque 3 casos fueron intervenidos mediante cirugía laparoscópica5. En una exploración por vía laparoscópica, el ginecólogo debe tener un alto grado de sospecha, ya que de otra manera se puede pasar por alto la gestación ectópica. Además, durante la intervención, el control de la hemorragia puede ser difícil debido a la invasión una gestación invade el epiplón en profundidad y de forma extensa, es necesario el abordaje laparotómico6. trofoblástica de la vascularización del epiplón. Si
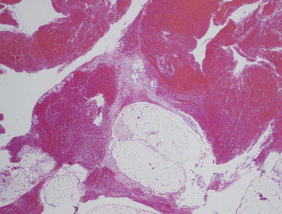
Figura 2. Tejido graso del epiplón rodeado de un gran coágulo de sangre, donde se hallaron las vellosidades coriales.
La extirpación debe ser amplia y realizarse una omentectomía parcial para evitar dejar tejido trofoblástico, ya que es difícil determinar los límites exactos de la invasión trofoblástica. El éxito del procedimiento puede comprobarse mediante la rápida caída de los valores de gonadotropina coriónica humana beta sérica.
Normalmente, las gestaciones en el epiplón se dividen en 2 grupos: primarias y secundarias. En las primarias, debe encontrarse evidencia histológica de neovascularización o crecimiento del trofoblasto en el tejido de soporte. En ausencia de esta evidencia histológica, todos los casos deberían considerarse secundarios7. En nuestro caso, el examen microscópico de la pieza mostró vellosidades coriónicas dentro de un coágulo de sangre y de tejido graso del epiplón (figs. 1 y 2), aunque no se pudo objetivar ningún tipo de invasión trofoblástica del tejido del omento. Esto podría explicarse por la gran hemorragia existente en el momento de la cirugía. Aunque nuestro caso podría ser encuadrado dentro de una gestación primaria en el epiplón según los criterios clínicos de Studdiford, el examen histológico no fue decisivo a la hora de determinar si se trata de un caso de gestación primaria o secundaria en el epiplón.
Correspondencia:Dr. I. Aparicio Rodríguez. Servicio de Obstetricia y Ginecología. Hospital Maternal La Paz. Paseo de la Castellana, 261. 28046. Madrid. España.
Correo electrónico: iaparicior@sego.es
Fecha de recepción: 5/4/2006. Aceptado para su publicación: 26/5/2006.



