INTRODUCCION
El tumor estromal esclerosante es un tumor estromal ovárico benigno que se caracteriza, desde el punto de vista histológico, por formación de seudolóbulos celulares constituidos por fibroblastos y células redondas, separados por áreas hipocelulares, edematosas o colagenizadas, y que expresan en el estudio inmunohistoquímico vimentina y actina específica de músculo liso1-3.
Son tumores diagnosticados usualmente durante la segunda o tercera década de la vida, y los síntomas de presentación suelen ser trastornos menstruales o malestar abdominal; las manifestaciones hormonales son poco frecuentes. En el estudio de imagen se caracterizan por presentar una clara vascularización periférica, dato que permite plantear el diagnóstico diferencial con otros tumores estromales ováricos4,5. Suelen ser tumores unilaterales, bien delimitados y sólidos, cuyo tratamiento de elección es quirúrgico, sin que se hayan descrito recidivas.
CASO CLINICO
Paciente de 53 años de edad, que acude al hospital para revisión ginecológica por el diagnóstico previo de dos nódulos miometriales y ovario derecho poliquístico. Tenía antecedentes personales de tres partos naturales y lactancia artificial.
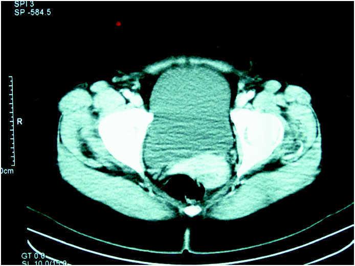
En el estudio de imagen se observa una imagen quística, tabicada, de 16 cm de diámetro, que parece depender del anejo derecho (fig. 1). En la analítica realizada se detecta un leve incremento del antígeno CA 125, con un antígeno CA 19.9 dentro de los límites establecidos.
Figura 1. Tomografía computarizada de abdomen inferior y pélvico en la que se observa una imagen quística de 16 cm, que parece depender de anejo derecho.
Con el diagnóstico de útero polimiomatoso y quiste ovárico se realiza histerectomía total y doble anexectomía.
En el estudio macroscópico se observa una formación quística de paredes lisas y brillantes, de 17 cm de diámetro máximo. Al corte, se produce la salida de abundante líquido ligeramente amarillento y queda al descubierto una cavidad quística, multilocular, de paredes delgadas, lisas y brillantes.
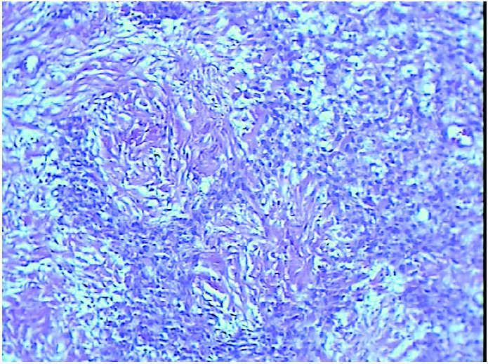
En el estudio microscópico se aprecia que las paredes de dicha formación quística están constituidas por células fusiformes y epitelioides, dispuestas con un patrón seudonodular, alternando con áreas edematosas y colagenizadas y con marcada vascularización (fig. 2). El estudio inmunohistoquímico pone de manifiesto la expresión de vimentina y actina específica de músculo liso, con ausencia de expresión de citoqueratinas de amplio espectro, proteína S-100 y CD34 (Master Diagnostic, Granada).
Figura 2.Imagen microscópica que muestra el patrón seudolobular, áreas hipercelulares junto a zonas colagenizadas (hematoxilina-eosina, ×40).
DISCUSION
El tumor estromal esclerosante de ovario representa aproximadamente el 6% de los tumores estromales ováricos y, al igual que ellos, se ha asociado a una trisomía del cromosoma 122. Es un tumor benigno, que suele presentarse durante la segunda y tercera década de la vida, y habitualmente no tiene manifestaciones hormonales; la sintomatología más frecuente son las alteraciones menstruales y el malestar abdominal1.
Suelen ser tumores predominantemente sólidos, con áreas edematosas y quísticas, que plantean el diagnóstico diferencial en el estudio de imagen con otros tumores estromales, como el fibroma y el tecoma, presentando como característica una vascularización periférica prominente y la apariencia macroscópica menos homogénea que otros tumores estromales5,6.
En nuestro caso se trata de una lesión totalmente quística, poco frecuente en este tipo de tumores, que planteó el diagnóstico diferencial en el estudio de imagen con otras lesiones quísticas ováricas benignas, como el ovario poliquístico y el cistoadenoma. Los hallazgos histológicos característicos de este tumor, patrón lobular con interlobular fibrosis y prominente vascularización, y su inmunofenotipo, expresión de vimentina y actina específica de músculo liso, permiten su diagnóstico.
Desde el punto de vista histológico, se puede plantear el diagnóstico diferencial con el edema masivo ovárico o el tumor de Krukenberg por la presencia de células epitelioides de citoplasma claro. La ausencia de patrón lobular característico y la falta de expresión de marcadores epiteliales en el estudio inmunohistoquímico permiten realizar dicho diagnóstico diferencial6,7.
El tratamiento de elección es la exéresis quirúrgica, sin que se hayan descrito recidivas. En este caso, la paciente permanece asintomática en la actualidad.
Correspondencia:
Dra. C. Lara Bohórquez.
Servicio de Anatomía Patológica. Hospital Infanta Elena.
Ctra. Sevilla-Huelva, s/n. Huelva. España
Correo electrónico: clarab@andaluciajunta.es
Fecha de recepción: 20/9/05.
Aceptado para su publicación: 16/1/06.



