La secuencia TRAP (secuencia de perfusión arterial reversa) es una seria complicación de los embarazos gemelares monocoriales, donde el gemelo afectado (feto acardio) es perfundido de forma reversa por el gemelo bomba a través de una gran anastomosis arterio-arterial y veno-venosa.
Presentamos un caso de una gestación gemelar monocorial a término, donde uno de los gemelos es un feto acardio, presentando únicamente un remedo de extremidad inferior y tejido colónico rudimentario. El otro gemelo nació sano, hecho poco frecuente en esta patología, donde el gemelo bombeador presenta distintos grados de sobrecarga cardiaca, llegando hasta un 50% de muertes intra-útero por fallo cardiaco.
Twin reversed arterial perfusion sequence (TRAP) is a serious complication of monochorionic twin pregnancies, in which one twin perfuses the other twin (an acardiac fetus) via large arterio-arterial and veno-venous anastomoses.
We report a case of monochorionic twin pregnancy at term, in which the second twin was an acardiac fetus with only an undeveloped lower limb and rudimentary colonic tissue. The first twin was born healthy, a very rare outcome in this entity as the pump twin usually shows distinct degrees of cardiac overload, leading to intrauterine death from heart failure in more than 50% of cases.
La secuencia secuencia de perfusión arterial reversa (TRAP) es una seria complicación de los embarazos gemelares monocoriales, donde el gemelo afectado (feto «acardio») es perfundido de forma reversa por el gemelo «bomba« a través de una gran anastomosis arterio-arterial (A-A) y veno-venosa (V-V)1. El gemelo acardio presenta malformaciones severas, ausencia o anormal desarrollo del corazón y de la mitad superior del cuerpo e hidrops fetal masivo1. El gemelo acardio compromete la supervivencia del gemelo bomba incrementado el riesgo de fallo cardiaco congestivo y el desarrollo de polihidramnios, rotura prematura de membranas y parto pretérmino1,2. En el 50% de los casos, el gemelo normal fallece debido a insuficiencia cardiaca secundaria y a prematuridad extrema1,3. La incidencia se estima en 1 de cada 35.000 embarazos y puede presentarse en el 1% de los embarazos gemelares monocoriales1,3. Dos tercios de los casos ocurren en gestaciones biamnióticas y un tercio en gestaciones monoamnióticas4.
Se han postulado varias teorías para explicar la etiopatogenia de la secuencia TRAP, siendo dos las más aceptadas1.
Una teoría consiste en el dominio del gemelo bombeador sobre el futuro feto acardio por las anastomosis vasculares. A través de las anastomosis A-A y V-V se deriva sangre desde el gemelo bomba hacia el gemelo acardio o perfundido. La sangre poco oxigenada y pobre en nutrientes del gemelo bomba que se dirige hacia la placenta a través de sus arterias umbilicales, mediante la anastomosis A-A, transita de forma retrógrada por las arterias umbilicales del feto transfundido, ingresando en éste a través de las arterias iliacas1,3. De esta forma, la sangre llega retrógradamente al árbol arterial del gemelo acardio, entra por las arterias iliacas comunes y sube retrógradamente hacia la aorta, llegando finalmente a las arterias más distales, que son las arterias del cuello, cabeza y corazón. Los miembros inferiores reciben sangre con un mejor contenido de oxígeno que los miembros superiores. La sangre totalmente desaturada se dirige hacia la porción superior del cuerpo, resultando en una formación anómala del corazón, tórax y cabeza. Finalmente, la sangre se dirige a través de la vena umbilical hacia la placenta y la anastomosis V-V cierra el circuito llevando la sangre de vuelta al donante1.
La segunda teoría sugiere que el gemelo acardio tiene una constitución anormal desde el principio, con anomalías cromosómicas o malformaciones importantes, incluidas enfermedades congénitas cardiacas u otras enfermedades que comprometan la función cardiaca. Se baraja que si fuera un feto único las grandes alteraciones embrionarias llevarían a un aborto espontáneo; la presencia de un gemelo donador permite la existencia de un flujo pasivo hacia el embrión anormal, siendo rescatado y permitiendo el crecimiento del feto transfundido malformado1,3.
La secuencia TRAP debe sospecharse ante la presencia de un feto único con presencia de una tumoración intraamniótica1,5. En otras ocasiones, el diagnóstico inicial puede apuntar hacia la muerte de un feto malformado en una gestación gemelar, pero que en las ecografías de control posteriores se constata que el supuesto feto muerto sigue creciendo1,5. Una ayuda importante para el diagnóstico es el examen ecográfico mediante Doppler color, con el cual se ponen de manifiesto el flujo reverso umbilical y aórtico, así como las anastomosis placentarias1,3.
El pronóstico es fatal en el 100% de los acardios y en el 50% de los gemelos bomba1,3. Debido a la dependencia hemodinámica del gemelo acardio, es importante monitorizar mediante controles ecográficos seriados la existencia de descompensación cardiaca en el gemelo bomba1,3,6. El manejo terapéutico abarca un abanico de posibilidades que van desde la actitud expectante en caso de que el gemelo acardio sea de pequeño tamaño1,7 hasta amniodrenaje, oclusión del flujo hacia el gemelo acardio mediante la instilación de alcohol, ablación mediante radiofrecuencia o coagulación bipolar fetoscópica del cordón umbilical del feto acardio3,8,9.
Presentamos un caso de gestación gemelar monocorial con feto acardio, cuyo gemelo bomba nació a término y sano.
Caso clínicoPaciente de 31 años, controlada en nuestro centro desde la semana 12 de gestación. El curso del embarazo y las ecografías previas están dentro de la normalidad. En la semana 35 se le realiza una ecografía, en la cual se observa una imagen ovoide de 84×39mm a nivel de canto izquierdo-fondo uterino, independiente del feto sano, de densidad media, con imágenes centrales hiperecogénicas de aspecto óseo que remedan a huesos largos de extremidad y escasa señal vascular central venosa. El feto sano crece adecuadamente y no se observan anomalías estructurales en la ecografía. La placenta es lateral derecha, única. Se realizan ecografías seriadas hasta la semana 37, donde se aprecia un oligoamnios severo, indicándose una cesárea electiva debido a la presentación podálica fetal, que se realiza sin incidencias.
Nace un feto sano, varón, de 2.615 g, con un Apgar de 6/10, y se obtienen una placenta y una masa compatible con feto acardio de 192 g y una única placenta que se envían al servicio de anatomía patológica. Previamente se realiza una radiografía (fig. 1), donde se visualizan huesos largos que remedan a la tibia y al peroné.
El post-operatorio discurrió sin incidencias, y a los 2 días la paciente fue dada de alta de nuestro servicio.
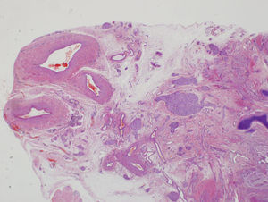
El informe anatomopatológico describe macroscópicamente un disco placentario monocorial biamniótico que pesa 400 g y mide 13 × 11cm (fig. 2). Se identifican dos canales vasculares que salen del cordón umbilical del feto nacido vivo y se dirigen hacia una estructura fetal (feto acardio) que mide 10 × 9 × 3cm (fig. 3). Esta estructura se encuentra revestida por piel y al corte se identifica tejido óseo, cartilaginoso y abundante tejido adiposo. En uno de los extremos se observan estructuras que remedan a los dedos del pie (fig. 3). A nivel de la inserción del cordón umbilical (fig. 4) se ha observado epitelio colónico y alrededor de esta abundantes células nerviosas con diferenciación ganglionar (fig. 5).
La secuencia TRAP es un proceso poco frecuente donde se establece una relación parasitaria entre un gemelo normal y uno acardio, sobreviviendo este último solo a partir de la sangre proporcionada por el normal, que actúa como una bomba de perfusión4,10. El gemelo donador tiene riesgo de un 50-70% de muerte fetal debido a un fallo cardiaco congestivo, así como polihidramnios y prematuridad. La diferencia de peso entre ambos fetos está muy relacionada con la aparición de complicaciones1,3. Según Jelin et al., cuando el peso del feto acardio es ≤ al 50% del peso del feto bomba el tratamiento conservador con un control seriado parece una opción segura7. En nuestro caso, el peso del feto acardio es muy inferior a la mitad del peso del gemelo bomba, lo cual puede ser una explicación de la ausencia de complicaciones en los controles ecográficos seriados y de los buenos resultados perinatales de nuestro feto donante.
El diagnóstico ecográfico se sospecha ante el hallazgo de una masa amorfa intraamniótica5. En estos casos, se deberá hacer diagnóstico diferencial con el teratoma1,11.
En el caso reportado por Van Gaever et al., el diagnóstico se estableció con la aparición de una masa amorfa que mostró crecimiento en las siguientes ecografías y posteriormente se detectaron estructuras reconocibles, como columna y miembros inferiores5. En nuestro caso, el feto acardio pasó inadvertido hasta la semana 35, donde se reconoció el miembro inferior fetal y se sospechó el diagnóstico.
Generalmente, el feto donante tiene una alta mortalidad perinatal (50-70%), debido al fallo cardiaco congestivo8,10. La mortalidad de los fetos acardios es del 100%. El objetivo del tratamiento es maximizar las posibilidades de supervivencia del gemelo bomba. La decisión de realizar tratamiento activo se basa, según diferentes autores, en la talla y el crecimiento del gemelo acardio, y los signos de fallo cardiaco del gemelo bomba.
Jelin et al., en caso de que el peso del gemelo acardio sea inferior o igual al 50% del gemelo perfusor, consideran adecuado el tratamiento conservador, puesto que no encuentran diferencias estadísticamente significativas en la supervivencia, el peso fetal o la edad gestacional en el momento del parto, entre la actitud activa mediante ablación por radiofrecuencia del gemelo acardio y el manejo expectante, encontrando tasas de supervivencia del 91% en el grupo tratado vs 88% en el de manejo expectante7.
Un amplio espectro de procedimientos ha sido aplicado en el tratamiento de la secuencia TRAP, sin consensuar cuál es el procedimiento óptimo4,10. Entre las intervenciones utilizadas para interrumpir el flujo al feto acardio se han descrito embolización guiada por ecografía de las anastomosis mediante la instilación de alcohol, sustancias metálicas, láser y radiofrecuencia, o bien oclusión arterial con coagulación láser, ligadura de cordón o coagulación bipolar2,3,12.
Una revisión de la literatura para determinar los resultados de la gestación según las diferentes técnicas, comparando oclusión arterial mediante ligadura de cordón, coagulación láser, corriente monopolar y corriente bipolar y ablación fetal con alcohol, láser y radiofrecuencia, sugería que la ablación fetal era el tratamiento de elección por ser un procedimiento más simple y más efectivo, aunque no encontraron diferencias estadísticamente significativas en términos de supervivencia entre fetoscopia y técnicas de oclusión de cordón guiadas por ecografía4,12.
En algunos centros se han realizado pinzamientos de cordón mediante radiofrecuencia, con resultados de supervivencia del 92% en embarazos monocoriales biamnióticos con una edad gestacional en el momento del nacimiento de 35,6 semanas, según Lee et al.8. Otros autores, utilizando la tecnología láser mediante fetoscopia con posibilidad de coagulación con pinza bipolar para el pinzamiento del cordón del feto acardio, señalan supervivencias para el feto donador del 80%, con una edad media de 37,4 semanas en el momento del parto9. En la serie de Diehl et al. también se señalan supervivencias similares, de un 80%, con un 67% de los casos en que el parto ocurrió más allá de la semana 36 de gestación2.
Lo destacable de este caso es la supervivencia con ausencia total de patología en el feto donante. La gran discordancia en los pesos de los gemelos de nuestro caso clínico puede ser una de las explicaciones de los buenos resultados perinatales de nuestro feto donante.
Conflicto de interesesLos autores declaran no tener ningún conflicto de intereses.






