Descripción de los hallazgos radiológicos y clínicos de las pacientes con endometriosis de la pared abdominal (EPA).
Material y métodosEstudio retrospectivo de 11 casos de pacientes intervenidas por EPA en nuestro hospital durante 4 años.
Se analizaron la sospecha clínica, los factores de riesgo, las manifestaciones clínicas y hallazgos de imagen mediante ecografía, tomografía computarizada (TC) y resonancia magnética (RM).
ResultadosLa manifestación clínica más frecuente fue la palpación de un bulto en la pared abdominal con o sin dolor. El 70% de las pacientes tenían antecedentes de cesárea. Ecográficamente la mayoría de las lesiones eran hipoecoicas. En la TC se mostraban sólidas, con realce moderado. En la RM los endometriomas presentaban un comportamiento similar al de los hematomas en diferentes estados evolutivos.
ConclusionesLos hallazgos de imagen de masas sólidas cercanas a la cicatriz de una cesárea anterior sugieren el diagnóstico prácticamente de certeza de EPA.
To describe the radiological and clinical findings in women with abdominal wall endometriosis (AWE).
Material and methodsA retrospective study of 11 patients who underwent surgery for AWE in our hospital over a 4-year period was performed. Clinical suspicion, risk factors, clinical manifestations and imaging findings using ultrasound, computed tomography (CT) and magnetic resonance imaging (MRI) were analyzed.
ResultsThe most frequent clinical manifestation was palpation of a lump in the abdominal wall with or without pain. Seventy percent of the patients had a previous cesarean section. Sonographically most of lesions were hypoechoic. On CT scanning, the masses were solid with moderate enhancement. On MRI, the endometriomas showed a similar behaviour to hematomas at distinct stages of progression.
ConclusionsAn imaging finding of a solid mass close to a scar from a previous caesarean section strongly suggests a diagnosis of AWE.
La endometriosis de la pared abdominal (EPA) es un cuadro relativamente frecuente en las mujeres entre 20 y 40 años que suele producirse de 2 a 5 años después de una cesárea. Debemos pensar en esta entidad ante un nódulo cíclicamente doloroso situado en el espesor de una cicatriz laparotómica en una mujer fértil (sobre todo si es secundaria a procedimientos obstétricos o ginecológicos) una vez excluidas otras complicaciones posquirúrgicas más comunes, como eventraciones, abscesos tardíos o granulomas por suturas. El diagnóstico de certeza preoperatorio puede hacerse mediante punción-aspiración con aguja fina, mientras que la mayoría de las pruebas de imagen contribuyen a su localización anatómica y al cribado de hernia incisional.
El propósito de nuestro trabajo es la evaluación de los hallazgos de imagen en las pacientes con EPA, haciendo hincapié en la existencia o no de los factores de riesgo clásicamente relacionados.
Material y métodosEstudio retrospectivo de las pacientes con EPA intervenidas en nuestro hospital desde mayo del 2005 hasta mayo del 2009. Todos los procedimientos utilizados se hicieron tras la obtención del consentimiento informado pertinente. Se realizaron ecografías utilizando 2 equipos: ESAOTE Technos MPX con sondas convex 430E 5-2MHz y lineal 523 13-4MHz y PHILIPS iU 22 con sondas convex 5-1MHz y lineal 12-5MHz. Posteriormente se efectuaron tomografías computarizadas (TC) con MDCT (PHILIPS Extended Brilliance TM Workspace, con colimación de 6×3mm, PITCH 0,9, tiempo de rotación de 0,75 s y reconstrucciones contiguas de 5mm de espesor). Las resonancias magnéticas (RM) abdominales se obtuvieron mediante 2 equipos: PHILIPS Gyroscan Intera T5 (0,5 teslas) y GE abierta (0,2 teslas), con secuencias estándar spin-eco T1 y T2, fast spin-eco con supresión grasa y spin-eco T1 tras la administración de gadolinio).
ResultadosLas edades de las 11 pacientes de nuestro estudio oscilaban entre los 24 y los 49 años, con una media de 36,36. Las manifestaciones clínicas más frecuentes fueron palpación de nódulo en la pared abdominal (4 pacientes), nódulo doloroso (5 pacientes) y dolor difuso (2 pacientes). Con respecto a los casos que se presentaron con dolor, en ninguna de las mujeres era percibido como cíclico. En relación con los antecedentes quirúrgicos 8/11 tenían antecedentes de cesárea previa (en 2 casos con varias cesáreas). En el caso 3 (tabla 1) existía antecedente de EPA con cesárea hace 15 años. El tiempo medio transcurrido desde la cesárea hasta la presentación clínica era de 8,5 años (rango de 2 a 24 años). Con respecto a las 3 pacientes sin cesárea previa: el caso 8 tenía antecedentes de endometriosis pélvica intervenida; el caso 5 tenía múltiples cirugías abdominales por mielomeningocele con afectación vesical, y el caso 10 (únicamente) no presentaba antecedentes quirúrgicos, siendo de interés la ingesta de anticonceptivos orales; 7/11 procedían de la consulta de cirugía, 2/11 desde la consulta de ginecología y 2/11 desde atención primaria. Los endometriomas se situaban en el espesor del musculatura de la pared abdominal (3/11), en el tejido subcutáneo (1/11) en ambos (6/11) y en el espesor del ombligo (1/11). Tras la exploración clínica inicial, el diagnóstico de sospecha más frecuente fue el de eventración/hernia posquirúrgica (4 casos), absceso de pared (2 casos), endometrioma (2 casos) y granuloma por cuerpo extraño (2 casos). A 10 de las 11 pacientes se les solicitaron estudios complementarios de imagen. Se realizaron ecografías a 8 pacientes, TC a 5 y RM a 3. Ecográficamente, todas las lesiones eran hipoecoicas y heterogéneas, con ecos en su interior (figs. 1 y 2). El diámetro oscilaba entre 1 y 4cm. Se identificó vascularización en 3 lesiones, tanto en su interior como en la periferia. En la TC mostraban una densidad similar al músculo, límites mal definidos y realce moderado en una paciente (fig. 3). El comportamiento de las lesiones en RM era: isointensidad con respecto al músculo en T1, hipointensidad (1/3) o hiperintensidad (2/3) en T2 y realce periférico en una paciente (fig. 4). En uno de los casos con alta sospecha de endometrioma de la pared se realizó una punción percutánea con aguja fina, obteniendo sangre coagulada. El tratamiento de todas las pacientes fue quirúrgico, con extirpación completa de las lesiones. El tamaño de las lesiones fue el mismo que mostraban sus ecografías.
Resumen de los hallazgos clínicos y de imagen en las once pacientes
| Edad | Antecedentes clínicos | Clínica | ECO | TC | RM | |
| Caso 1 | 41 | 2 cesáreas previas hace 15 y 11 años | Bultoma doloroso | Nódulo hipoecoico con flujo Doppler | Engrosamiento focal del recto anterior | Nódulo isointenso T1, heterogéneo T2Realce periférico con gadolinio |
| Caso 2 | 49 | Cesárea 4 años antes | Dolor en la pared abdominal | Nódulo heterogéneo con flujo Doppler interno y externo | No | No |
| Caso 3 | 42 | Cesárea 25 años antesIntervenida de EPA 17 años antes | Bultoma doloroso | Nódulo heterogéneo | Nódulo isodenso con el músculo | |
| Caso 4 | 41 | Cesárea 6 años antes | Bultoma doloroso | Nódulo espiculado | Nódulo hipointenso T1 y T2Realce persistente con gadolinio | |
| Caso 5 | 24 | Intervenida de mielomeningocele y vejiga neurógena | Bultoma sospechoso de eventración | Imagen compatible con hernia de pared | ||
| Caso 6 | 31 | 3 cesáreas previas.Última 7 años antes | Bultoma doloroso | Nódulo quístico con flujo Doppler periférico | Nódulo Isointenso T1, hiperintenso T2 | |
| Caso 7 | 36 | Cesárea 6 años antes | Bultoma sospechoso de eventración | Nódulo hipoecoico | Nódulo isodenso con el músculo | |
| Caso 8 | 36 | Endometriosis pélvica intervenida | Dolor en la pared abdominal sospechoso de hernia | Asimetría espesor musculatura | ||
| Caso 9 | 28 | Cesárea 2 años antes | BultomaAlta sospecha clínica de EPA | |||
| Caso 10 | 32 | Ingesta de anticonceptivos | Nódulo umbilical pigmentado | Nódulo umbilical hiperrealzante | ||
| Caso 11 | 40 | Cesárea 13 meses antes | Dolor en cicatriz de cesárea | Nódulo espiculado con flujo central y periférico |
EPA: endometriosis de la pared abdominal; TC: tomografía computarizada; RM: resonancia magnética.
Ecografía de pared abdominal. Mujer de 46 años con sensación de masa en la pared abdominal con cesárea hace 4 años. A) Imagen nodular hipoecoica de límites bien definidos, con septos en su interior, situada en el espesor del tejido subcutáneo. B) El estudio Doppler muestra la vascularización tanto en la periferia como en el espesor de los septos.
Ecografía de pared abdominal. Mujer de 40 años con dolor en la cicatriz por cesárea realizada hace 13 meses. Lesión hipoecoica de morfología espiculada que afecta tanto al tejido celular subcutáneo, como al segmento más superficial de la musculatura de la pared que tracciona. La lesión presenta el halo ecogénico inflamatorio alrededor.
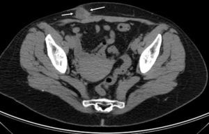
TC pélvica con contraste por vía intravenosa de la paciente de la figura 1. Lesión nodular (entre flechas) de densidad similar al tejido blando con realce periférico tras la administración del contraste por vía intravenosa, con zonas hipodensas en su interior, situada en el tejido subcutáneo bajo la cicatriz de la cesárea.
La mayoría de las complicaciones tardías de las heridas laparotómicas suelen ser las hernias ventrales y en menor frecuencia los granulomas por suturas. Las molestias en relación con antiguas cicatrices son de difícil catalogación y son motivo de consultas recurrentes o de error diagnóstico preoperatorio. En la población femenina premenopáusica, una vez excluidos los procesos más comunes, debe considerarse el diagnóstico de EPA, más aún se existen antecedentes de laparotomía o laparoscopia por intervención obstétrica o ginecológica1.
La endometriosis representa una enfermedad ginecológica importante que afecta al 8-15% de la población femenina fértil. Consiste en la presencia de mucosa uterina fuera de la cavidad endometrial, que ocurre con mayor frecuencia en el espacio pelviano1-4. Sin embargo, el tejido ectópico se puede presentar en otras localizaciones que incluyen prácticamente todas las cavidades y los órganos del cuerpo, siendo la pared abdominal la situación extrapelviana más frecuente1,3,5. En contra del antiguo concepto de endometrioma incisional o endometrioma cicatricial, la EPA se define como la existencia de tejido endometrial superficial al peritoneo sin la obligatoria asociación a un procedimiento quirúrgico previo. A diferencia del resto de las localizaciones atípicas que se manifiestan junto con la endometriosis pélvica, la incidencia de esta en las mujeres con EPA es similar a la del resto de la población fértil (13%), es decir, la presencia de EPA no implica la coexistencia de afectación pélvica.
Una revisión de varios artículos que engloba un conjunto de 445 casos describe la edad media de presentación de 31 años (rango de 17-57)2,3,6.
Existen varias teorías que explican la patogénesis de la endometriosis: la teoría metastásica consiste en la implantación del tejido endometrial por reflujo de las trompas hacia la pelvis, por diseminación vascular o linfática hacia el resto del organismo o por implante directo en la cicatriz tras la apertura uterina1,4,7. La segunda teoría implica la transformación metaplásica de las células mesenquimales pluripotenciales (de la pared abdominal en este caso) hacia el tejido endometrial, que podría ser inducida entre otras causas por estimulación estrogénica (como podría ocurrir en el caso 10)3. Existe una tercera teoría mixta, combinación de las 2 anteriores, de forma que el endometrio ectópico produciría ciertas sustancias inductoras del mesénquima indiferenciado que forman tejido endometriósico6.
Como hemos visto anteriormente, la causa más frecuente de EPA es el antecedente quirúrgico, fundamentalmente obstétrico y sobre todo por cesáreas en el 57% de las pacientes (desde menos de un mes hasta 20 años después). Entre el 0,03 y el 1,5% de las incisiones abdominales por cesárea acaban desarrollando EPA, siendo del 1,08% en las histerectomías abortivas del segundo trimestre. En lugares como en la India la incidencia de EPA es inversa a la descrita (el 74 frente al 5%), probablemente debido a la relativa alta frecuencia de este procedimiento abortivo. Otros procedimientos quirúrgicos en cuyas cicatrices se desarrollan EPA son los puntos de entrada de las laparoscopias o amniocentesis, episotomías perineales, laparotomías (ginecológicas o no) y herniorrafias inguinales1–6,8–10. El 20% no tiene antecedentes quirúrgicos. En estos casos, las lesiones endometriósicas se sitúan en primer lugar en el ombligo (como ocurre en el único caso de nuestra serie [fig. 5] sin cirugía previa), en la ingle, la vulva, el periné y las extremidades2,3,5.
El 1% de las pacientes con endometriosis presentan transformación maligna, siendo el 25% de los casos de localización extraovárica, con aislados casos descritos en la pared abdominal. Se proponen ciertos factores de riesgo: hiperestrogenismo, agentes carcinogénicos y alteraciones cromosómicas2,3,5-7,10,11.
La EPA frecuentemente se encuentra en el entorno del cirujano general puesto que la clínica sugiere hernia incisional. Los síntomas clásicos de la EPA son el dolor abdominal cíclico menstrual asociado a la palpación de una masa la mayoría de las veces al cabo de semanas o meses tras una cesárea4,7,10. Sin embargo, el dolor cíclico no es realmente tan frecuente (57%), mientras que la presentación como masa (96%) o dolor (87%) son más comunes. Algunos autores describen también el sangrado de las lesiones más superficiales si son de larga evolución con formación de fístulas cutáneas. El tejido cutáneo superficial puede encontrarse hiperpigmentado debido al depósito de hemosiderina3-5,8,10.
El hallazgo de un nódulo doloroso localizado en una cicatriz laparotómica ginecológica u obstétrica previa, en una mujer en edad reproductiva, resulta, cuando menos, altamente sugestiva de endometriosis ectópica y, algunos autores, se plantean el tratamiento quirúrgico sin más pruebas complementarias, reservando las técnicas de imagen: para descartar las complicaciones tardías de la herida laparotómica, para lesiones de gran tamaño o cuando el planteamiento quirúrgico exige su localización precisa1,3.
La punción percutánea representa un método mínimamente invasivo que aporta un diagnóstico prequirúrgico en los casos dudosos, aunque no suele ser concluyente en más de la mitad de los casos cuando la lesión contiene abundante contenido fibrótico; señalando también el aumento del riesgo de recurrencia1-6,11.
El aspecto ecográfico de los endometriomas de la pared abdominal difiere de los anexiales. La mayoría son lesiones sólidas, de 2cm de diámetro, hipoecoicas, heterogéneas, de márgenes espiculados con zonas quísticas que representan zonas de sangrado reciente. En la mayoría de los casos se identifican con el Doppler vasos en el interior y en la periferia de la lesión, que aumentan en número y tamaño en relación con el ciclo menstrual. Pueden existir cambios inflamatorios en el tejido circundante que se traduce en un anillo ecogénico perilesional (fig. 3). Las lesiones de mayor tamaño presentan características ecográficas más atípicas que hacen pensar en la posibilidad de una lesión agresiva2,4,7,8.
En el estudio de TC los endometriomas se muestran como masas bien definidas sólidas o mixtas, isodensas con respecto a la musculatura adyacente e incluso hiperdensas (en caso de hemorragia), que realzan heterogéneamente tras la administración del contraste intravenoso. La afectación inflamatoria anular se identifica como un aumento de la densidad de los planos grasos de alrededor2,8,10.
El aspecto de la endometriosis de la pared abdominal en la RM es más específico que en la TC, dada su capacidad de determinar los focos de hemosiderina, siendo típica la imagen en sombra (shading) por pérdida de señal intralesional en T1 y T2 debido a los sangrados recurrentes. Si la hemorragia es subaguda, la presencia de metahemoglobina produce focos hiperintensos en T1 y T2. Tras la administración de gadolinio por vía intravenosa, se produce escaso realce periférico, debido al componente fibrótico de la lesión, que se correlaciona con las zonas de mayor flujo en el Doppler. La espiculación de los márgenes facilita su identificación2,8,9.
El manejo farmacológico con anticonceptivos orales proporciona un alivio transitorio, con reagudización intensa de la enfermedad posteriormente3-5,8,9.
Una vez establecido el diagnóstico o cuando existe alta sospecha, el tratamiento de elección de la EPA es la extirpación local con preservación de los márgenes para evitar los casos de recidivas (4,3%)1,4,5,9,10.
La endometriosis de la pared abdominal en relación con cesárea previa no es una entidad infrecuente, pocas veces sospechada probablemente porque en muchos casos hay una gran distancia en años entre el antecedente quirúrgico y la EPA, porque el dolor no es cíclico o bien porque no siempre es posible detectar un nódulo en la exploración clínica. El hallazgo ecográfico de una masa sólida hipoecoica en la pared abdominal no es patognomónico de endometriosis, pero si se sitúa en la vecindad de una cicatriz de cesárea nos obliga a pensar en esta entidad como primera posibilidad. La RM puede representar el mejor método de imagen en el diagnóstico de lesiones hemorrágicas proporcionando además información detallada de la localización anatómica y planteamiento quirúrgico4,9.
Conflicto de interesesLos autores declaran no tener ningún conflicto de intereses.







