INTRODUCCIÓN
El embarazo ectópico es una entidad patológica frecuente. El embarazo ectópico bilateral espontáneo es, por el contrario, extremadamente raro, y se desconoce su incidencia real1. La mayor parte de los casos de embarazo ectópico bilateral publicados en los últimos años están relacionados con técnicas de reproducción asistida. En la gran mayoría de los casos descritos el diagnóstico se realiza durante el tratamiento quirúrgico de una gestación ectópica que se consideraba única, por ello se enfatiza, a pesar de la rareza de este tipo de gestaciones, la necesidad de revisar el anejo contralateral2.
CASO CLÍNICO
Paciente de 29 años, con 2 partos eutócicos y 1 aborto previos, sin antecedentes patológicos de interés, que acude a urgencias por presentar dolor abdominal, de inicio brusco, localizado en fosa ilíaca derecha y de varias horas de evolución. Refería una amenorrea de 6 semanas, aunque ésta era difícil de valorar puesto que los ciclos de la paciente eran irregulares, de alrededor de 37 días. La exploración abdominal mostraba solamente un discreto dolor a la palpación en fosa ilíaca derecha. En la exploración ginecológica solamente llamaba la atención la sensibilidad a la movilización uterina y a la palpación en ambas zonas anexiales y en el fondo de saco de Douglas, por lo demás era normal.
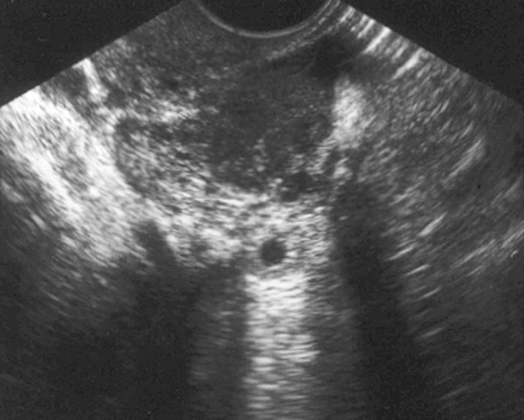
La ecografía transvaginal mostró un útero de características normales, con endometrio normal y una pequeña colección líquida en la cavidad (fig. 1). El ovario derecho era ecográficamente normal y, por debajo de él, aparecía una imagen redondeada hiperrefringente que rodeaba una zona central anecóica sugestiva de la presencia de un embarazo ectópico (fig. 2). El ovario izquierdo también era ecográficamente normal y, en íntimo contacto con él, se visualizaba una imagen similar a la descrita en el lado derecho (fig. 2).
Figura 1. Ecografía transvaginal.
Figura 2. Ecografía transvaginal.
El hemograma y el estudio bioquímico eran normales, salvo una discreta leucocitosis, y el valor de sub-unit beta human chorionic gonadotropin (gonadotropina coriónica beta [β-hCG]) era de 1.884 mU/l.
La paciente fue informada del diagnóstico de sospecha de embarazo ectópico bilateral y de las modalidades de tratamiento, y optó por el quirúrgico. En la laparoscopia se comprobó la presencia de un embarazo ectópico, roto, en la trompa izquierda y otro en el tercio medio de la trompa derecha (figs. 3 y 4). Se realizó salpinguectomía izquierda y salpingostomía lineal en el lado derecho, con evacuación de la gestación ectópica. El postoperatorio cursó con normalidad, y se comprobó la negativización de la β-hCG, al haberse realizado tratamiento conservador en una de las trompas, y los valores de ésta fueron < 1,2 mU/l a las 6 semanas de la intervención.
Figura 3.Imagen laparoscópica. Trompa izquierda.
Figura 4.Imagen laparoscópica. Trompa derecha.
El estudio anatomopatológico confirmó el diagnóstico de embarazo ectópico bilateral.
DISCUSIÓN
El embarazo ectópico bilateral espontáneo es muy poco común. En 1939, Fishback3 publica una recopilación de 76 casos, que es probablemente el primer informe de entidad acerca del tema. Se desconoce su incidencia real, y se ha estimado en 1/200.000 embarazos intraútero y entre 1/725 y 1/1.580 gestaciones ectópicas4. Sus factores de riesgo son los mismos que en las gestaciones ectópicas únicas. En el caso que se presenta no había factores de riesgo identificables y se trataba de un embarazo espontáneo. Los criterios comúnmente aceptados para confirmar 1 caso son los de Norris5, que considera que la demostración de vellosidades coriónicas en ambas trompas es suficiente para el diagnóstico. En nuestro caso, el estudio anatomopatológico mostró la presencia, en ambos especímenes, de vellosidades coriales así como células del cito y sincitiotrofoblasto.
La incidencia de embarazo ectópico en los países industrializados se ha multiplicado por 6 en los últimos 30 años, y actualmente se estima en el 2% de los embarazos. Este aumento se ha atribuido a la mejora de los métodos de diagnóstico, a la mayor frecuencia de la enfermedad inflamatoria pélvica y al creciente empleo de técnicas de reproducción asistida. Esto hace que, aun dentro de su rareza, en los últimos años hayan aumentado las comunicaciones de embarazos ectópicos bilaterales, fundamentalmente en pacientes en que se han practicado técnicas de reproducción asistida. En estas pacientes es especialmente importante evaluar exhaustivamente ambos anejos ante aumentos de β-hCG, sin evidencia de gestación intrauterina.
En la gran mayoría de casos publicados el diagnóstico es intraoperatorio1,2. Por ello, el tratamiento habitual es el quirúrgico. Revisar ambas trompas cuando se lleva a cabo una laparoscopia o laparotomía por un embarazo ectópico es una recomendación clásica. Se han publicado casos en los que fue precisa una reintervención por no haber diagnosticado la presencia de un segundo embarazo ectópico2,6.
En la revisión realizada sólo se ha encontrado casos de diagnóstico ecográfico en pacientes en que el embarazo ectópico bilateral no fue espontáneo, sino secundario a técnicas de reproducción asistida. Cuando el diagnóstico es ecográfico se puede plantear el tratamiento con metotrexato, bien inyectado localmente o bien administrado de forma sistémica. En este último caso, podría ser necesario utilizar dosis distintas a las recomendadas en el embarazo ectópico único, aunque dada la rareza del embarazo ectópico bilateral será difícil establecer la dosis adecuada7.
En el caso que se presenta, la paciente, adecuadamente informada, optó por el tratamiento quirúrgico y se realizó una salpinguectomía en el lado izquierdo; en el lado contrario se pudo hacer tratamiento conservador y se efectuó una salpingostomía lineal con evacuación del contenido tubárico.
Correspondencia:
Dr. L. Mier Lobato.
Obstetricia y Ginecología.
Hospital de Cabueñes.
Camino de Cabueñes, s/n.
33394 Gijón. Asturias. España.
Correo electrónico: lmierl@sego.es
Fecha de recepción: 14/2/05
Aceptado para su publicación: 3/11/05





