INTRODUCCIÓN
El embarazo abdominal (EA) representa tal vez el tipo más raro y más grave de embarazo ectópico. Los datos relacionados con la frecuencia del EA son variables según diferentes autores: uno de cada 3.371 nacimientos (Beacham et al, 1962), uno de cada 7.931 partos (Stafford y Ragan, 1977), uno de cada 10.000 nacidos vivos (Atrash et al, 1987), uno de cada 25.000 (Parkland Hospital) y uno en 8.000 nacimientos (Rojansky et al, 1996). El pronóstico es malo, con una tasa de mortalidad calculada de 5,1 por 1.000 casos, 7,7 veces mayor que otras formas de EE(1-6).
En nuestro hospital desde su inauguración (julio de 1989) hasta el 31 de diciembre de 1999 se han atendido 3.519 partos y se han diagnosticado 33 embarazos ectópicos (0,93%), cifra que se corresponde con lo publicado en la literatura médica (0,94-2,6%). De los 33 EE uno fue EA, lo que representa el 3%. Recientemente el grupo de trabajo sobre asistencia a la patología obstétrica (Sección de Medicina Perinatal de la SEGO) cifra la frecuencia del EA en el 0,03% de los ectópicos.
El EA puede ser primario o secundario; la mayoría de embarazos abdominales son secundarios. Típicamente, la placenta en crecimiento, después de penetrar la pared de la trompa, mantiene su fijación tubárica, pero de manera gradual infiltra y se implanta en la capa serosa peritoneal adyacente. Mientras tanto el feto continúa creciendo dentro de la cavidad peritoneal.
La implantación primaria del óvulo fecundado en el peritoneo es muy rara; sin embargo, Studdiford (1942) proporcionó una prueba concluyente de un caso así. Se requiere que se cumplan los criterios siguientes:
-- Trompas y ovarios normales sin prueba de lesión reciente o pasada.
-- Ausencia de cualquier prueba de fístula útero-peritoneal.
-- Presencia de un embarazo exclusivamente relacionado con la superficie peritoneal y lo bastante reciente para eliminar la posibilidad de una implantación secundaria después de la invasión primaria de la trompa(1,3,4,6).
Se presenta un caso de EA primario que creemos interesante por su rareza, por su diagnóstico precoz, y por su atípica forma de presentación clínica que nos sugiere replantearnos parcialmente uno de los criterios de Studdiford.
Figura 1. Imagen ecográfica de OI.
Figura 2. Margen derecho: histología característica de fibroadenoma con proliferación del estroma y compresión de los ductos. Margen izquierdo: carcinoma lobulillar.
CASO CLÍNICO
Paciente de 25 años (nuligesta) que como único antecedente refiere polipectomía vaginal a los 7 años. Anticoncepción hormonal durante 8 años. Acude a Urgencias el día 24 de julio de 1999 por dolor abdominal de 7 horas de evolución y comienzo brusco; localizado a nivel de hipogastrio y ambas fosas ilíacas. Refiere como FUR el 1-7-1999 de 6 días de duración y un pequeño manchado los días 14 y 15 de julio.
A la exploración presenta buen estado general, con defensa voluntaria a la palpación abdominal, GE normales, vagina normal, Cx. macroscópicamente normal sin sangrado y un tacto abdominovaginal no valorable por la resistencia que ofrece la paciente. La analítica da un hemograma normal (Hbg: 11,7 g/dl, y un Hcto. del 36,4%) y un test de embarazo positivo, por lo que a continuación se le practica una ecografía endovaginal, siendo los hallazgos:
-- Útero de 76 * 36 * 52 mm con cavidad endometrial vacía y endometrio fino secretor.
-- OI de 58 * 36 mm con imagen redondeada econegativa de 30 mm de diámetro con algún eco en su interior.
-- OD de 39 * 26 mm con imagen adyacente de saco gestacional con embrión de 3 mm (5,5 semanas) y LF positivo.
-- Diagnóstico compatible con EE en trompa derecha no accidentado en el momento del diagnóstico y OI quístico.
Se completa estudios preoperatorios y se decide laparoscopia quirúrgica. Tras introducir trócar del n.° 10 y óptica se objetiva importante hemoperitoneo, pasando a practicar laparotomía abdominal (Pfannenstield), siendo los hallazgos:
-- Hemoperitoneo importante (1.000.-1.500 c.c).
-- OD y trompa derecha macroscópicamente normales.
-- Trompa izquierda macroscópicamente normal, con un divertículo de unos 2 cm de longitud y 2-3 mm de diámetro que sale de ampolla y finaliza en lo que asemeja las fimbrias, sugestivo de trompa accesoria.
-- OI con rotura longitudinal de unos 3 cm y sangrado del lecho del cuerpo lúteo.
-- Fondo de saco de Douglas ocupado por adherencias firmes de sigma a pared posterior de vagina, cara posterior de Cx e istmo uterino.
-- Formación de aspecto membranacea, desestructurada, sangrante de unos 3 cm de largo por 2 cm de ancho firmemente adherida a pared de sigma.
En la intervención se realiza hemostasia y reconstrucción de OI y extirpación de saco gestacional, produciéndose perforación accidental de sigma que se sutura. En el postoperatorio inmediato el hemograma de control presenta una Hbg. de 8 g/dl y un Hcto. del 25,0%. El postoperatorio evoluciona favorablemente.
El estudio histológico confirmó el diagnóstico, observándose: pared de intestino grueso que muestra a nivel de serosa focos de proliferación trofoblástica (sincitio y citotrofoblasto). Restos de tej. trofoblástico adherido a sigma, compatible con EE.
En histerosalpingografía practicada con posterioridad se objetiva un útero de morfología normal, así como ambas trompas permeables, compatible con la normalidad. No se dibujan trayectos fistulosos.
Figura 3. Carcinoma lobulillar a mayor aumento: hipercelularidad, núcleos hipercromáticos; en el estroma circundante se aprecian nichos de células «en fila india», característicos de la invasión en el carcinoma lobulillar.
Figura 4. Imagen ecográfica de útero, con cavidad endometrial vacía y endometrio fino.
DISCUSIÓN
Al hacer un análisis retrospectivo del caso clínico podemos catalogarlo como un cuadro de abdomen agudo secundario a hemorragia intraperitoneal causada por rotura de cuerpo amarillo de OI, que acontece, en el tiempo transcurrido desde su ingreso en planta hasta su traslado a quirófano, después de completar estudios preoperatorios y la preparación quirúrgica de la paciente.
El hallazgo de un EA en estadio precoz (5,5 semanas) ha sido en este caso un hecho fortuito, ya que el diagnóstico temprano de un EA es difícil, pero esencial, dado que la separación de la placenta puede asociarse con una hemorragia fatal(8,9). Por otro lado, la ecografía al principio suele confundir el EA con uno tubárico, como es nuestro caso, pero a medida que evoluciona la gestación se hace más fácil el diagnóstico(10,11).
A la hora de catalogar el tipo de EA hemos aplicado los requisitos definidos por Studdirford:
-- Descartamos la existencia de fístula uteroperitoneal mediante la práctica de una HSG.
-- Confirmamos la implantación exclusivamente peritoneal mediante la inspección durante la laparotomía y posteriormente en el estudio histológico.
-- En cuanto al requisito de que ambas trompas y ovarios deben encontrarse normales sin indicios de lesiones recientes o antiguas, nuestro caso lo cumple parcialmente (trompas y ovario derecho), ya que el OI presentaba una lesión (rotura longitudinal). No obstante, basándonos en las imágenes ecográficas al diagnóstico (OI de 58 * 36 mm con imagen quística), los hemogramas pre y postoperatorios (Hbg 11,7-> 8 g/dl; Hcto. 36,4-> 25,0%) y los hallazgos intraoperatorios nos inclinamos a catalogar el EA como primario y en consecuencia a replantearnos y sugerir la revisión del criterio de Studdiford en lo referente a encontrar los ovarios normales sin lesiones recientes o antiguas.
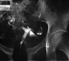
Figura 5. Imágenes de la histerosalpingografía de control practicada 4 meses más tarde.
Entre los factores etiológicos asociados a un aumento de la incidencia de EE se incluyen los factores mecánicos, y dentro de éstos las anomalías embrionarias de la trompa, en especial divertículos, aberturas accesorias e hipoplasias. Estas anomalías son muy raras, por eso nos llamó la atención el hallazgo a nivel de trompa izquierda de un divertículo de unos 2 cm de largo y 2-3 mm de diámetro que sale a nivel de la ampolla y termina libremente en lo que semeja a fimbrias compatible macroscópicamente con una trompa accesoria. Se decide no extirparla para evitar manipular y traumatizar la trompa(1,4,12,13).
En cuanto al tratamiento del saco gestacional, al encontrarse éste desestructurado y sangrante en la base de implantación (probablemente debido a la manipulación en la evacuación del hemoperitoneo y de las asas con compresas para abrir campo quirúrgico) optamos por la extirpación. Pensamos que de no haberse producido la rotura del cuerpo amarillo se podría haber realizado un tratamiento laparoscópico consistente en extracción del embrión, dejando el trofoblasto in situ, siguiendo su evolución mediante determinación sérica de B-HCG. Como recoge la literatura, la laparoscopia es una opción apropiada para pacientes seleccionadas con EA temprano, y no inplantado en una zona ricamente vascularizada en que la hemostasia supusiera gran dificultad(14-18).
Por último hacer un comentario sobre la discordancia entre el tiempo de amenorrea referido por la paciente (3 semanas y 3 días) y la edad gestacional ecográfica (5,5 semanas), a lo que no encontrando una explicación nos hace dudar de los datos referidos por la paciente a pesar de su insistencia.







