PROGRESOS DE OBSTETRICIA Y GINECOLOGÍA
Volumen 41 Número 6 Julio-agosto 1998
Casos clínicos
Leiomioma vulvar simulando un quiste de Bartholino
Vulvar leiomyoma mimicking a Bartholin''s cyst
M. Medina-Pérez*
J. M. Silván Alfaro**
F. Ortega Jiménez**
Servicios de Anatomía Patológica* y Obstetricia-Ginecología**
Correspondencia:
M. Medina Pérez
Servicio de Anatomía Patológica
Hospital de la Merced
Avda. de la Constitución, 2 41640 Osuna (Sevilla)
Aceptado para publicación 5/2/98
Medina Pérez M, Silván Alfaro JM, Ortega Jiménez F. Leiomioma vulvar simulando un quiste de Bartholino. Prog Obstet Ginecol 1998;41:364-366.
INTRODUCCIÓN
La mayoría de los tumores de músculo liso del tracto genital femenino se presentan en el cuerpo uterino, siendo mucho más raros en la vulva. Dentro de ellos, los benignos (leiomiomas) son más frecuentes que los malignos (leiomiosarcomas). De manera habitual, son diagnosticados, clínicamente, como quistes de Bartholino (1). El estudio histopatológico permite su diagnóstico correcto.
DESCRIPCIÓN DEL CASO
La historia clínica corresponde a una paciente de 24 años que consultó dos meses antes de la intervención por notar una tumoración a nivel vulvar. No tenía antecedentes de interés. A la exploración, efectivamente, se palpaba un nódulo firme a nivel de la glándula de Bartholino, concordante con un quiste de la misma.
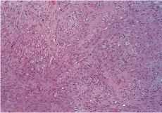
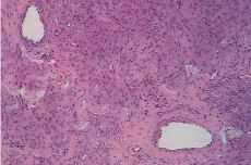
El nódulo resecado correspondía a un tumor de consistencia firme, redondeado, de 6 x 5 x 5 cm, circunscrito, con superficie de corte homogénea (Fig. 1). El estudio histológico demostró que estaba constituido por una proliferación de células alargadas, distribuidas en fascículos (Fig. 2), sin atipias ni mitosis. En algunos campos, eran llamativos vasos sanguíneos grandes (Fig. 3). En un punto, el tumor mostraba un patrón tubular, que recordaba a los tumores adenomatoides del tracto genital (Fig. 4).
Figura 1.Superficie de corte del tumor, de aspecto mesenquimal.
Figura 2.Células fusiformes distribuidas en fascículos. Hematoxilina-Eosina, 100 x.
Figura 3.La fotografía ilustra dos vasos prominentes en el seno del tejido muscular. Hematoxilina-Eosina, 100 x.
Figura 4.Área de patrón adenomatoide. Hematoxilina-Eosina, 100 x.
El estudio inmunohistoquímico con técnicas de desenmascaramiento antigénico (2), demostró intensa expresión de desmina y actina muscular lisa. El estudio de microscopía electrónica también confirmó la naturaleza muscular lisa de la neoplasia. Con todos estos datos, se hizo el diagnóstico de leiomioma vulvar.
El postoperatorio transcurrió sin complicaciones, y la enferma quedó curada y asintomática.
DISCUSIÓN
Las neoplasias de músculo liso vulvares son raras, no llegando al 1% de los tumores en esta localización. Histológicamente, son superponibles a los leiomiomas convencionales del cuerpo uterino. Además, pueden presentar características particulares. Así, están descritas variantes epitelioides, es decir, de células con núcleo central y citoplasma claro y amplio (3). Frecuentemente, muestran áreas de hialinización (4), aunque, en nuestro caso, no eran llamativas. También se han publicado casos con intenso patrón fibromatoso y producción de pseudoelastina (5). Otros autores han descrito variantes mixoides, que hay que diferenciar del angiomixoma agresivo de la vulva (6). Nuestro caso presenta focos de patrón tubular-adenomatoide, que no hemos encontrado descrito con anterioridad. Este hecho es muy interesante, ya que los tumores adenomatoides del tracto genital suelen contener fibras musculares lisas.
En cuanto a su origen, pueden derivar de las fibras musculares de los vasos sanguíneos, tejidos contráctiles, o músculos erectores del pelo. Los criterios de malignidad son superponibles a los uterinos, y el tratamiento, la resección quirúrgica.
AGRADECIMIENTOS
Agradecimientos a la Dra. MJ Fernández-Galiano, responsable de la biblioteca, por su colaboración en la revisión bibliográfica.
BIBLIOGRAFÍA
1 Gunnlaugur P, Rosemberg AE, Koener FC, Young RH, Scully RE. Smoth-muscle tumors of the vulva. Am J Surg Pathol 1996; 20(7):779-93.
2 Medina M. Combinación de microondas y presión en inmunohistoquímica. Rev Esp Patol 1997;30(1):67-8.
3 Aneiros J, Beltrán E, García del Moral R, Nogales FF. Epithelioid leiomyoma of the vulva. Diagn Gynecol Obstet 1982; 4(4):351-6.
4 Yokoyama R, Hashimoto H, Daimaru Y, Enjoji M. Superficial leiomyomas. A clinicopathologic study of 34 cases. Acta Pathol Jpn 1987;37(9):1415-22.
5 Katenkamp D, Stiller D. Unusual leiomyoma of vulva with fibroma-like pattern and pseudoelastin production. Virchows Arch 1980;388(3):361-8.
6 Nemoto T, Shinoda M, Komatsuzaki K, Hara T, Kojima M, Ogihara T. Myxoid leiomyoma of the vulva mimicking aggresive angiomyxoma. Pathol Int 1994;44(6):454-9.





