INTRODUCCIÓN
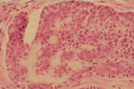
El carcinoma vulvar es susceptible de tener un diagnóstico temprano, y todo ginecólogo debería examinar la vulva antes de la evaluación de la vagina o el cérvix buscando masas, úlceras o cambios de coloración. El carcinoma vulvar es propio de mujeres de edad avanzada y supone el 4-5% de todos los cánceres ginecológicos, y de éstos, el carcinoma de la glándula de Bartholino (GB) supone el 2-7% de los casos. Para establecer el diagnóstico de carcinoma primario de la GB se deben cumplir los siguientes requisitos: el tumor debe estar en la localización correcta correspondiente a la glándula, ser consistente histológicamente con una neoplasia originada en la GB, estar recubierto por piel intacta y excluir extensión o metástasis de un carcinoma de otra localización1. El carcinoma adenoide quístico supondría el 15% del total de los tumores de la GB. Anatomopatológicamente, el carcinoma adenoide quístico de la GB se compone de células pequeñas, uniformes, ordenadas en cordones y nidos con espacios de variable tamaño quísticos rellenados de material anfófilo o eosinofílico acelular de tipo membranoso (figs. 1 y 2). El carcinoma adenoide quístico es un tumor raro, y su comportamiento lo aleja de los otros tipos de neoplasias en esta glándula, especialmente en su pronóstico, que es más favorable.
Figura 1. Proliferación de células basaloides adoptando un patrón cribiforme (hematoxilina-eosina, * 10).
Figura 2. Células basaloides con núcleos discretamente hipercromáticos y escaso pleomorfismo (hematoxilina-eosina,* 40).
CASO CLÍNICO
Paciente de 41 años que acude por vez primera a revisión y consulta de nódulo en la vulva remitida por su médico de cabecera. El síntoma principal es dolor vago e inespecífico en la fosa ilíaca derecha, además de estar preocupada por el nódulo que ella misma dice palparse en entrada de la vagina. La paciente presenta antecedentes familiares sin importancia, sin hábitos tóxicos ni antecedentes quirúrgicos o médicos especiales. Como antecedentes ginecológicos y obstétricos, se refieren 2 gestaciones y partos normales. Fórmula menstrual de 6/28 y menarquia a los 13 años. No hay dismenorrea. El nódulo se toca superficialmente en la primera visita, con un tamaño de 1 cm, aproximadamente; al situarse en la zona de episiotomía es comprimible entre los dedos del explorador, por lo que se cataloga de posible reacción a cuerpo extraño causada por ésta o tal vez un posible quiste de inclusión. Se realizan citología cervicovaginal con resultado de normalidad. Al año y medio solicita una nueva consulta por referir crecimiento del nódulo. Se constata su aumento y la presencia por ecografía transvaginal de una formación compatible con un pólipo endometrial de tamaño inferior a 1 cm. Se procede a una polipectomía por histeroscopia de la formación endometrial y a la extirpación de la lesión vulvar en el tercio inferior del labio mayor derecho, que sobresale ya en la vagina y es compatible por la situación con carcinoma de la GB. Como resultado histológico de la formación extirpada se obtiene el de carcinoma adenoide quístico de la GB, con un tamaño de 3,8 * 3,5 * 4 cm, y descrito como tejido nodular de superficie irregular pardogrisácea y de consistencia media con color blanquecino-grisáceo al corte. Se describen zonas de contacto del tumor con bordes de resección. Tras una revisión de la bibliografía y la discusión nos decantamos por ampliar la resección de la zona con una nueva intervención, que consistió en una hemivulvectomia derecha con linfadenectomía inguinal ipsilateral superficial y profunda en bloque y, posteriormente, radioterapia adyuvante. En la hemivulvectomía derecha se obtiene piel y tejido subcutáneo con tejido de granulación y reacción a cuerpo extraño sin tumor residual, y en la linfadenectomía ipsilateral se obtiene linfadenitis reactiva con cambios involutivos en 9 adenopatías aisladas. Se clasifica el tumor según la UICC como T2N0M0 y, según estadificación de la FIGO, como II.
DISCUSIÓN
Los carcinomas de la GB se presentan usualmente con agrandamiento del área glandular y pueden confundirse con un quiste muy fácilmente2. Las edades extremas descritas están entre los 25 y los 80 años. Las recidivas locales, a pesar de la escisión amplia y linfadenectomía, son posibles y relativamente frecuentes, así como las metástasis a distancia, especialmente las pulmonares, una vez pasado un período que, en algunos casos, ha sido de varios años3. Se han diagnosticado durante el curso del embarazo; no se ha encontrado relación alguna con éste y no se considera de peor pronóstico por ello. Sigue estando en discusión la influencia hormonal4. Algunos autores preconizan como tratamiento la escisión amplia, la linfadenectomía inguinal ipsilateral y la irradiación en el lecho tumoral, con excelentes pronósticos5. La invasión descrita habitualmente en este tipo de tumores es la perineural y local6. En un caso se ha estudiado el tumor citogenéticamente y se han encontrado cambios en los cromosomas 6, 11, 22 y 147, siendo insuficiente la información que hasta ahora se posee a
este respecto. La supervivencia descrita en estos pacientes ha llegado a ser de 31 años en el mejor de los casos8, y todavía no hay un claro consenso en cuanto a la cirugía que desarrollar9. Se han llegado a realizar análisis de ADN en el espécimen, sin encontrar relación alguna con el virus del papiloma10; además, se han realizado análisis de receptores de estrógenos o progestágenos, que han sido negativos11.
Se ha intentado la quimioterapia, que se ha usado en el de glándulas salivares y glándula parótida12, aunque no existe consenso ninguno hasta ahora; se han ensayado combinaciones de metotrexato, dactinomicina, clorambucilo, doxorrubicina, 5-fluorouracilo, adriamicina y mitomicina C y la información es limitada13,14. Se ha recomendado radioterapia adyuvante a base de radiación externa cuando los márgenes han sido positivos o se ha demostrado invasión local o extensión perineural con algunos resultados positivos.
CONCLUSIONES
Hemos de subrayar la importancia del diagnóstico temprano relativamente fácil si se piensa en esta rara entidad estudiando bien toda masa vulvar sólida que aparezca imitando un quiste de la GB y que puede mostrar síntomas iniciales molestos, especialmente en mujeres mayores de 40 años. Toda masa en la GB que persista pasado un tiempo o que dé síntomas inespecíficos debe ser estudiada sin etiquetarla sin más de "quiste" inofensivo. Posteriormente, tras el diagnóstico, hacemos hincapié en la importancia de una resección lo más amplia posible y la realización de linfadenectomía inguinal ipsilateral, al menos. Sólo en casos de gran extensión se recomienda una terapia más agresiva. Tras este primer paso terapéutico hemos de incidir también en la necesidad del seguimiento mediante una inspección clínica y de radiología torácica seriada anual. Hoy día, tras 1 año de la intervención, la paciente se encuentra asintomática totalmente y libre de enfermedad.



