Un hombre de 63 años con antecedente de esclerosis múltiple acude a consulta por aparición de una lesión en la región malar derecha, progresiva y asintomática. Había sido valorado ya por dermatología, donde se realizó una biopsia con resultado desconocido y se indicó tratamiento tópico con croticosteroides y tacrolimus con pobre respuesta.
Exploración físicaEn el examen físico se evidencia en la mejilla derecha una placa de aproximadamente 2 cm de diámetro, de color cerúleo, infiltrada, de bordes bien definidos, con telangiectasias en su superficie y acentuación de los folículos pilosos, en su centro, un área de atrofia de 3 mm de color blanco marfil (fig. 1). En la diascopia, se observan nódulos de color amarillo céreo en jalea de manzana (fig. 2).
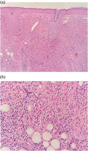
Exploraciones complementariasEn el estudio histopatológico mostró un compromiso difuso de la dermis por un infiltrado inflamatorio compuesto por abundantes eosinófilos y polimorfonucleares neutrófilos, y menor cantidad de linfocitos, plasmocitos e histiocitos acompañados de fibrosis celular, proliferación vascular y telangiectasias. Se identificó una zona de Grenz, aunque con compromiso focal de la unión dermoepidérmica, con material con aspecto de fibrina en la dermis superficial. La epidermis presenta pérdida del patrón de crestas (fig. 3).
Consentimiento informadoLos autores confirman obtuvieron todos los consentimientos requeridos por la legislación vigente para la publicación de cualquier dato personal o imágenes de pacientes, sujetos de investigación u otras personas que aparecen en el manuscrito.
FinanciaciónLos autores declaran que no se requirió financiación.
Conflicto de interesesSe declara que no existe conflicto de intereses por parte de ninguno de los autores.





