La espondiloartritis anquilosante forma parte de un grupo de enfermedades reumatológicas que comparten muchas características clínicas, epidemiológicas y genéticas, que colectivamente se denominan espondiloartropatías. Aunque no se ha podido identificar la causa, su desarrollo se atribuye a la interacción entre un gen (o genes) susceptible de la enfermedad y un factor desencadenante ambiental, que para algunas de ellas parece ser infeccioso. Si bien estas enfermedades tienen variaciones en su expresión clínica, todas comparten una asociación con un antígeno de histocompatibilidad (HLA) de clase I, el HLA-B27. El factor HLA-B27 es una proteína específica que se encuentra en la superficie de los glóbulos blancos. Dicha proteína se denomina antígeno leucocitario humano. Los antígenos leucocitarios humanos (HLA) son proteínas que ayudan al sistema inmunitario del cuerpo a diferenciar entre sus propias células y las sustancias extrañas y dañinas1. Un resultado normal significa que el HLA-B27 está ausente. Sin embargo, el HLA-B27 se encuentra en el 5 al 7% de las personas de raza blanca que no presentan una enfermedad autoinmunitaria2. Las variaciones en los aminoácidos que están en los dominios polimórficos de la molécula determinan los distintos tipos de HLA clase I. El HLA-B27 tiene especificidad definida por serología. Sin embargo, al analizar los productos génicos del HLA B que reaccionan con el antisuero B27, se ha determinado que este antígeno tiene varios subtipos, de los cuales se han identificado3. Alrededor del 90% de los enfermos de espondiloartritis anquilosante son B27 positivos, constituyéndose así en la asociación más fuerte entre una enfermedad y esta región del cromosoma4,5. Las diferencias de prevalencia de la espondiloartritis anquilosante en distintas regiones del mundo reflejan las variaciones étnicas en la frecuencia del gen que codifica B27. En Estados Unidos y en Europa la frecuencia del B27 es de alrededor del 8%. Para población blanca, la prevalencia de la espondiloartritis ha fluctuado entre el 0,02% y el 0,22%. Un estudio en población esquimal circumpolar encontró una alta prevalencia del B27 (40%). En este grupo de 212 esquimales, la prevalencia de espondiloartropatía fue del 1,9%. En Holanda, la prevalencia de la espondiloartritis anquilosante es del 0,2%. En los individuos B27 positivos, ésta aumenta 5 veces, y aumenta otras 10 en los parientes de primer grado B27 positivos de enfermos B27 positivos. Por otro lado, López de Castro y Careless encontraron que la concordancia para la enfermedad era del 50% para gemelos monocigóticos B27 positivos y del 20% para gemelos dicigóticos B27 positivos4,5. Sin embargo, la asociación de un gen (o su producto) con una enfermedad no confirma necesariamente un papel directo de este gen en la enfermedad que se investiga. El trabajo de Rubin et al6 abordó este punto al analizar casos múltiples en familias de Canadá. Estos autores encontraron en el análisis de asociación un valor > 3 para el logaritmo máximo de azar. De este modo se demostró concluyentemente la asociación entre la región del complejo mayor de histocompatibilidad y la espondiloartritis anquilosante, y se confirmó que genes dentro de esta región contribuyen directamente a la susceptibilidad genética de esta enfermedad7.
CASO CLÍNICOUna mujer de 28 años acude a consulta por lumbalgia y sacroileítis izquierda. El diagnostico médico era de pelviespondilitis anquilosante. Los síntomas presentados por la paciente eran los siguientes: – Ningún dolor durante la tos, ni al estornudo, ni a los esfuerzos de defecación.
– Ningún dolor en posición sentada.
– No hay dolor en bipedestación.
– Dolor nocturno al cambiar de posición en la cama.
– Ningún dolor al subir/bajar las escaleras.
– Dolor matutino.
En la analítica de sangre había presencia de un factor HLAB27 positivo, pero las otras pruebas reumáticas dieron negativas. Los exámenes de imágenes, radiografías e IRM eran normales (figs. 1-5).
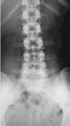
Figura 1. Radiografía de frente en AP del raquis lumbar. Además de una ligera escoliosis lumbar de convexidad izquierda, probablamente en relación con el acortamiento del miembro inferior izquierdo, el cliché era normal.
Figura 2. En la IRM, en los cortes sagitales medial y lateral en T2, no aparece ninguna patología.
Figura 3. En la IRM, en los cortes sagitales medial y lateral en T1, no aparece ninguna patología.
Figura 4. En la IRM, los distintos cortes de las articulaciones sacroilíacas no muestran patologías.
Figura 5. La telerradiografía de los miembros inferiores a nivel de la cadera muestra un acortamiento del miembro inferior de 1,2 cm a la izquierda; sin embargo, a nivel de los tobillos, el acortamiento es mucho menor.
Al examen físico se observó:
– Una pierna corta izquierda con valgo de rodilla con modificación del eje rotuliano hacia fuera y pie plano valgo asimétrico más importantes a la izquierda.
– La postura de la paciente era de tipo escapulum posterior con adaptación postural escoliótica a la izquierda (convexidad lumbar izquierda con pérdida de horizontalidad de la base sacra y caída pélvica a la izquierda).
– Disfunciones somáticas vertebrales: C3, T8, T12, L2, L3 (nivel más facilitado L2).
– Ilíaco anterior izquierdo y TII del sacro con Derefield negativo a la izquierda.
– Los tests de Patrick8-10, Rotes Querolles11 y de compresión sacroilíaca8,10 eran negativos. El test de Gaeslen8,10 era positivo.
Los movimientos dolorosos del tronco eran:
– sobre todo, la extensión ++
– la lateroflexión izquierda
– la rotación izquierda igualmente muy dolorosa ++
En el examen de establimometría y podometría se observó 12-14:
– En la podometría, se observó apoyos plantares anormales con presiones repartidas de la siguiente manera (fig. 6):
- anterior: 49,8%
- posterior: 50,2%
- izquierda: 55,2%
- derecha: 44,8%
Figura 6. Huellas plantares y presiones en la podometría utilizando el sistema computarizado de análisis del pie Footchecker (FMC control-España).
– En la establimometría, se observó un aumento de las oscilaciones anteroposteriores al detrimento de las laterales, con un centro de gravedad anterior y lateralizado a la izquierda (fig. 7).
Figura 7. Oscilaciones y centro de gravedad en la establimometría utilizando el sistema computarizado de análisis del pie Footchecker (FMC control-España).
El tratamiento osteopático, en este caso, consistió en suprimir la pierna corta izquierda tratando el valgo de rodilla y pie plano valgo asimétrico más importantes a la izquierda, con la meta de luchar contra la adaptación postural inadecuada en escapulum posterior con adaptación postural escoliótica a la izquierda. Esto fue realizado según técnicas de thrust y de tejidos blandos de los pies y la rodilla. La paciente fue mandada a un podólogo para la realización de plantillas para corregir el pie plano y el valgo de calcáneo. Las disfunciones somáticas vertebrales (C3, T8, T12, L2, L3) fueron analizadas y tratadas con técnicas de thrust, strain y counterstrain de Jones y de músculo energía en relajación postisométrica. Se normalizaron las disfunciones de ilíaco anterior izquier do y de TII del sacro. Con técnicas de relajación miofascial se reequilibraron las cadenas miofasciales desequilibradas.
DISCUSIÓNEn relación con los síntomas presentados por la paciente se podía deducir lo siguiente:
– La ausencia de dolor lumbar durante la tos, al estornudo y a los esfuerzos de defecación elimina un dolor discogénico y todo tipo de patología discal, lo que confirma también la ausencia de dolor lumbar en posición sentada (en sedestación normal, es decir, con una ligera flexión de tronco, la presión intradiscal lumbar según Na-chemson15-17 y Panjabi18 sube a más de 185 kg por cm2 de disco; la posición sentada produce una presión intradiscal casi igual que en flexión de tronco, lo que por el bostezo posterior producido provoca un dolor discogénico por puesta en tensión del ligamento común vertebral posterior muy sensible, porque está inervado por el nervio sinus vertebral de Luschka).
– La ausencia de dolor en posición sentada también descarta un dolor referido en relación con los ligamentos sacrociáticos que están en tensión por la separación de los isquiones.
– La ausencia de dolor en bipedestación también eliminaba un problema discal o en relación con el ligamento iliolumbar, que habría podido estar estirado por el acortamiento del miembro inferior.
– El dolor nocturno únicamente al cambiar de posición en la cama, si no está relacionado con el disco intervertebral, puede ser un problema toracolumbar durante la rotación del tronco, lo que podría confirmar la presentación de un dolor en rotación izquierda del tronco.
– La ausencia de dolor al subir o bajar las escaleras a priori elimina una patología sacroilíaca, lo que confirman los tests de Patrick y de compresión sacroilíaca negativos.
– La presencia de un dolor matutino habitualmente se relaciona con un dolor discogénico (bajo efecto del peso del cuerpo, el disco intervertebral pierde fluido que reabsorbe durante la noche con el decúbito, lo que explica el dolor matutino por puesta en tensión del ligamento común vertebral hasta que, de nuevo, bajo acción de la gravedad, el disco vuelva a perder fluidos). Sin embargo, los otros signos clínicos y la IRM lumbar descartan esta posibilidad.
Un examen positivo significa que el HLA-B27 está presente y sugiere un riesgo mayor al promedio para el desarrollo de2:
– espondilitis anquilosante
– síndrome de Reiter
– sacroileítis (inflamación de la articulación sacroilíaca)
Ante la presencia de hallazgos clínicos sugestivos, un examen positivo de HLA-B27 puede confirmar el diagnóstico. Jacobelli Gabrielli2 comenta que la presencia de dolor lumbopélvico más la combinación de dos o tres características con altos LR, como HLA-B27, imágenes de IRM y uveítis anterior aguda, pueden ser suficientes para alcanzar una probabilidad del 90% o más de padecer espondiloartritis anquilosante. Si la probabilidad es del 80% al 89%, se puede considerar el diagnóstico como probable o muy probable. Señalan que la elección del dolor lumbopélvico como criterio de entrada para la evaluación de pacientes con dolor lumbopélvico crónico se efectuó porque éste es el síntoma principal del compromiso axial en la espondiloartritis anquilosante y se presenta en la mayoría de los pacientes con EA y casi en el 70% de todos aquellos con espondiloartritis anquilosante. Si un individuo con dolor lumbar no tiene dolor lumbopélvico, la probabilidad de tener espondiloartritis anquilosante axial cae a menos del 2%; en este caso, no se recomiendan otros estudios, a menos que haya otras características que hagan sospechar espondiloartritis anquilosante19. El valor principal del HLA-B27 comparado con otras pruebas para el diagnóstico de espondiloartritis anquilosante es su elevada sensibilidad y especificidad, lo que produce un alto LR. Además, a diferencia de los criterios clínicos y de las imágenes de RMN, el HLA-B27 no depende de la experiencia del médico ni de la memoria del paciente. La prueba para la determinación del HLA-B27 es relativamente económica y confiable, requiere ser pedida sólo una vez y da resultados negativos o positivos. La IRM se considera una técnica de mucha utilidad para la detección de signos de sacroileítis aún no visibles en las radiografías. No obstante, se requieren técnicas especiales de supresión de grasa o inyección de gadolinio para detectar los cambios inflamatorios agudos con un alto grado de sensibilidad y especificidad (del 90% al 100%). La disponibilidad limitada y los altos costos de esta técnica impiden su uso masivo. Por ende, en el algoritmo diagnóstico propuesto por los autores, el pedido de IRM constituye el paso diagnóstico final19. En pacientes con dolor lumbopélvico y ausencia de signos radiológicos de sacroileítis, es necesaria la presencia de al menos dos o más características de espondiloartritis anquilosante (clínicas, de laboratorio o por imágenes) para hacer el diagnóstico de espondiloartritis anquilosante con un alto grado de confianza. La prueba de detección de HLAB27 cumple un papel central en la evaluación diagnóstica de este tipo de pacientes. Se requiere la realización de estudios prospectivos para confirmar la utilidad clínica de los enfoques propuestos19. En la pelviespondilitis anquilosante, otros tests biológicos tienen que ser positivos.
– La tasa de sedimentación eritrocítica es una prueba de detección inespecífica que mide indirectamente qué cantidad de inflamación hay en el cuerpo20. Es la precipitación de los glóbulos rojos en un tiempo determinado (12 h), así como la concentración plasmática de proteínas (globulinas y fibrinógeno). La capacidad y la velocidad de formar estos acúmulos dependen de la atracción de la superficie de los glóbulos rojos21. Los principales usos de la medición de la VSG son22:
- La detección de procesos inflamatorios o infecciosos.
- El control de la evolución de ciertas enfermedades crónicas o infecciosas.
- La puesta en evidencia de procesos crónicos inflamatorios ocultos o tumores.
- El valor de la técnica no es muy sensible y además poco específica, por sí sola tiene poco valor y se debe asociar a otros estudios para poder orientar un diagnóstico.
- En los primeros meses de embarazo, puede aparecer elevada sin más repercusiones.
Valores normales20:
- hombres menores de 50 años: menos de 15 mm/h
- hombres mayores de 50 años: menos de 20 mm/h
- mujeres menores de 50 años: menos de 20 mm/h
- mujeres mayores de 50 años: menos de 30 mm/h
– El factor reumatoideo es un anticuerpo que se adhiere a una sustancia en el cuerpo llamada inmunoglobulina G (IgG), y forma una molécula conocida como un complejo inmunitario. Este complejo inmunitario puede activar diferentes tipos de procesos relacionados con inflamación en el cuerpo23. Los valores normales dependen de qué método utilice el laboratorio para detectar y medir el factor reumatoideo. Algunos ejemplos se presentan a continuación:
- menos de 60 u/ml (con el método nefelométrico)
- menos de título 1:80 (con el método de aglutinación)
– La proteína C reactiva se produce en el hígado cuando hay una infección o inflamación aguda en el cuerpo. Su importancia es que reacciona con el sistema del complemento, que es un sistema de defensa contra agresiones externas del cuerpo humano. Es un examen que mide la cantidad de una proteína en la sangre que indica una inflamación aguda24-26.
El diagnóstico positivo radiológico de pelviespondilitis anquilosante asocia 27-29:– artritis sacroilíaca bilateral (al principio no es rara la afectación unilateral)
– sindesmofitos entre L2 y D12 habitualmente
– aumento de la velocidad de sedimentación, HLA-B27 positivo
El diagnóstico positivo radiológico de pelviespondilitis reumática incluye la presencia de una sacroileítis bilateral, y de osificaciones intersomáticas dorsolumbares (sindesmofitos) (fig. 8). Las lesiones sacroilíacas están presentes desde el comienzo y son a menudo la llave del diagnóstico precoz. Hay afectación del pie de las sacroilíacas30,31:
Figura 8. Diagnóstico positivo radiológico de pelviespondilitis anqu
– Grado 1: seudoensanchamiento de los dos tercios inferiores de la articulación. La destrucción de la cortical ósea de los márgenes ilíacos ofrece una imagen radiológica similar a una diástasis o un ensanchamiento articular. Esto es debido a la osteoporosis subcondral, que da a la articulación un aspecto nebuloso.
– Grado 2: aspecto en sello de correos debido a la imagen de erosión y condensación. Los márgenes de la articulación presentan un aspecto de pequeñas manchas por la presencia de microgeodas sobre un fondo de osteoesclerosis subcondral que proporciona ese aspecto dentado.
– Grado 3: el 50% de los pacientes presentarán una anquilosis ósea bilateral por osificación ligamentosa en un tiempo de 7 a 20 años de evolución.
Por lo tanto, todos estos elementos deben hacer descartar en este caso una pelviespondilitis anquilosante. La prueba de Gaenslen8,10 permite el diagnóstico diferencial entre un dolor de la sacroilíaca y un dolor lumbar. La condición sine quanum es que el paciente presente un dolor lumbar en extensión del tronco. Al paciente, en decúbito, se le pide que coja su rodilla contralateral al dolor con las dos manos y que lleve el miembro inferior en triple flexión. El terapeuta lleva el miembro del lado de la sacroilíaca, que debe testarse en hiperextensión llevándolo por fuera de la camilla. Aumenta a continuación la hiperextensión ejerciendo a la vez una presión sobre la rodilla homolateral y sobre el miembro inferior contralateral (figs. 9 y 10).
Figura 9. Etapa 1 de la prueba de Gaeslen.
Figura 10. Etapa 2 de la prueba de Gaeslen.
Si existe un dolor en la etapa 2 pero no en la etapa 1, esto traduce un dolor de origen lumbar. El test de Gaeslen es positivo en un 34,3% de los pacientes que sufren de dolor lumbopélvico. En relación con la fiabilidad del test, Laslett y Williams32 encontraron un coeficiente de kappa de 0,73 (p < 0,001), un coeficiente de concordancia del 88,2%, y Dreyfuss33 y Colun, un kappa de 0,61. En relación con su validez, Dreyfuss et al34 calcularon la sensibilidad (68%) y la especificidad (35%) de esta prueba tomando como referencia la desaparición del 90% de los dolores en las pruebas de provocación del dolor, a raíz de la inyección de un analgésico en la articulación sacroilíaca. Entre pacientes que presentaban una lumbosacralgia y que tenían una prueba positiva, Maigne et al35 encontraron que el 43% de los pacientes vieron su dolor disminuido al menos un 75% por la anestesia de la articulación sacroilíaca. En condiciones normales, la columna presenta lordosis lumbar, cifosis torácica, lordosis cervical inferior a 30 a 35 grados, y ligera cifosis en la región suboccipital. La presencia de dos diferentes curvaturas en la columna cervical permite inclinación de la cabeza hacia delante y atrás12,36,37,38 (fig. 11).
Figura 11. Postura normal.
En el caso de una deformación podológica bilateral y simétrica con miembros inferiores de la misma longitud, en ausencia de compensación intermedia, la repercusión pélvica es simétrica y puede apreciarse de frente y de perfil. A la anteversión de la pelvis se asocia una antepulsión, apreciada con relación al raquis y a los miembros inferiores. La repercusión raquídea se caracteriza principalmente por una hiperlordosis lumbar armónica, con aumento de la flecha lumbar, pero con retroceso de la bisagra dorsolumbar, por inclinación posterior del tronco. Este retroceso de la bisagra lumbar, asociado a una hipercifosis dorsal, se traduce en una proyección en escapulum posterior39. Denslow40 y Korr41 establecieron que el uso experimental de tacones puede producir cambios posturales que, a su vez, originarán tensión muscular paraespinal, y dar origen a la facilitación de segmentos que recibirían impulso aferente. En dicho trabajo el término facilitación segmentaria se considera y representa una lesión osteopática. La facilitación segmentaria puede deberse a una hipomovilidad articular, mala postura y tensión muscular (estrés y estiramiento) de origen somático o emotivo. La pérdida de la longitud normal en reposo de un músculo, junto con estrés y estiramiento sostenidos, provocan liberación y retención de productos de desecho, vasoconstricción e isquemia localizada de fibras nerviosas y musculares adyacentes. El aporte normal nutricional y de oxígeno al músculo se ve afectado, y el patrón en su conjunto lleva a un “bombardeo” nociceptivo continuo de los segmentos medulares. Por consiguiente, las alteraciones posturales pueden representar la principal fuente de facilitación segmentaria. La postura anormal del cuarto superior puede ser causada por el efecto acumulado de una discrepancia en la longitud de una pierna o pérdida de la lordosis lumbar normal. Todas estas anormalidades en las regiones distales al cuarto superior finalmente contribuirán a una disfunción proximal que provoca facilitación segmentaria. En virtud de lo anteriormente expuesto, un desequilibrio podal (valgo de calcáneo) asimétrico provoca una caída de una hemipelvis por acortamiento del miembro inferior (falsa verdadera pierna corta); puede tener consecuencias desastrosas si existe un disco lumbar bajo dañado: es imperativo tratar el pie y restablecer la horizontalidad pélvica.
En ausencia de un diagnóstico correcto, la paciente había sido sometida a un tratamiento antiinflamatorio inútil y que no había resuelto el problema mecánico que presentaba. El tratamiento osteopático manipulativo era adecuado, visto que la paciente mejoró en tres tratamientos, fue adecuado para reequilibrar la pelvis y parar una evolución patogénica. Una de las bases de la osteopatía es realizar un diagnóstico diferencial correcto.
CONCLUSIÓNLos resultados avalan la forma de actuar de los osteópatas en función de un procedimiento diagnóstico clínico acertado y fiable. El tratamiento de la postura, en este caso a partir de los pies, y las técnicas empleadas para suprimir la cadena lesional mecánica con la ayuda del tratamiento osteopático manipulativo permitieron la resolución positiva de este caso.
Conflicto de interesesLos autores declaran que no tienen ningún conflicto de intereses
Correspondencia:François Ricard. FREM Osteopatía. Corazón de María, 60. 28002 Madrid. Correo electrónico: francois@fraricard.e.telefonica.net
Recibido el 17 de octubre de 2007. Aceptado el 12 de noviembre de 2007.












