El ACV en jóvenes tiene múltiples etiologías, entre ellas, cardioembolia. Pueden asociarse malformaciones cardíacas, como foramen oval permeable (FOP), aneurisma del septo interauricular (ASIA) o defectos del septo interauricular (DSIA). Presentamos una paciente con ACV asociado a ASIA multifenestrado. Mujer, 28 años, uso de anticonceptivos. Presenta afasia mixta, hemianopsia y hemiparesia derechas. Tomografía: borramiento insular y ganglios basales izquierdos. Recibe trombólisis intravenosa. Resonancia magnética: infarto de cerebral media izquierda. El ecocardiograma muestra ASIA y DSIA multifenestrado. Se interpreta ACV cardioembólico por pasaje de émbolo y anticonceptivos como protrombótico. Inicia anticoagulación; el 30% de los ACV en jóvenes son cardioembólicos. La asociación de FOP de gran tamaño y ASIA multifenestrado puede tener riesgo de embolización paradojal y relación con el ACV. Su manejo es controvertido, optando entre anticoagulación o cierre de defectos complejos.
Stroke in young individuals has multiple etiologies, including cardioembolism. It may be associated with cardiac malformations, such as patent foramen ovale (PFO), interatrial septum aneurysm (IASA), or atrial septal defects (ASD). We present the case of a patient with stroke associated to multi-fenestrated IASA. Female patient, 28 years old, contraceptive use. She presented with mixed aphasia, hemianopsia and right hemiparesis. CT scan showed insular and left basal ganglia hypoattenuation. She received intravenous thrombolysis. MRI: left middle cerebral artery infarction. Echocardiogram showed interatrial communication due to IASA and multi-fenestrated ASD. Cardioembolic stroke was suspected (association with cardiac pathology and contraceptive use). She was placed in anticoagulation. 30% of strokes in young adults are cardioembolic strokes. Large PFO, multi-fenestrated IASA, or its association, may increase the risk of paradoxical embolization and have a relationship with stroke. The management is controversial–the choice is between anticoagulation or closure for complex defects.
Hasta un 15% de los eventos cerebrovasculares ocurren en adolescentes o adultos jóvenes, asociados en parte a la creciente prevalencia de factores de riesgo cardiovascular (FRCV). En la mayoría de los casos, la etiología es embólica. Las causas no clásicas, como disección arterial, trombofilias o enfermedades genéticas, deben ser sospechadas1,2. Un porcentaje significativo es de etiología indeterminada3.
En este grupo etario, es posible hallar distintas malformaciones cardíacas, entre ellas, los defectos del septo interauricular (DSIA). Si estas se asocian al evento isquémico, o si conllevan un mayor riesgo de recurrencia, es un motivo frecuente de controversia4,5. Las decisiones terapéuticas son complejas y requieren de una evaluación multidisciplinaria.
Se expone el caso de una paciente joven, la cual presentó un ACV isquémico agudo, con el hallazgo de un aneurisma del septum interauricular (ASIA) multifenestrado.
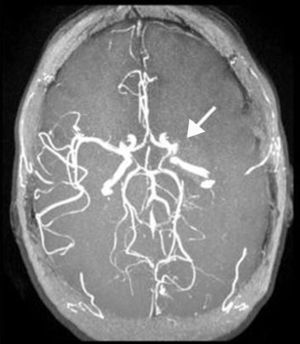
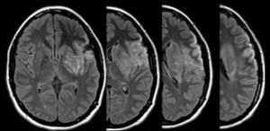
Caso clínicoMujer de 28 años, oriunda de Brasil, diestra. Sin antecedentes de FRCV clásicos, utilizó parches de etinilestradiol como anticonceptivo en el año previo a la consulta, sin uso de otras medicaciones ni consumo de tóxicos. Ingresó al departamento de emergencias por afasia mixta, hemianopsia homónima derecha y paresia facio-braquio-crural derecha de instalación súbita. En el examen se constató una escala de NIHSS de 16 puntos. Se realizó tomografía axial computarizada (TAC) de encéfalo, donde se evidenció leve borramiento del ribete insular y ganglios basales izquierdos, junto a hiperdensidad espontánea en M1 izquierda. Se comenzó trombólisis intravenosa a las 2 h y media de iniciados los síntomas, la cual finalizó sin complicaciones. La TAC de control a las 24 h y la resonancia magnética (RM) (realizada al quinto día del evento) confirmaron el infarto en el territorio de la arteria cerebral media izquierda, con compromiso de ganglios basales, corteza fronto-insular y corteza temporal lateral. En la angio-RM se evidenció amputación a nivel de M1 izquierda y circulación colateral leptomeníngea (figs. 1 y 2).
Se inició tratamiento con aspirina 100mg y atorvastatina a altas dosis.
La angio-RM de vasos de cuello, el Doppler de vasos de cuello, el Doppler de 4 miembros y la monitorización ECG de 24 h no mostraron hallazgos patológicos.
El ecocardiograma transtorácico y el ecocardiograma transesofágico mostraron leve dilatación del ventrículo derecho con función sistólica conservada, insuficiencia tricuspídea leve, aneurisma del septo interauricular y 3 shunts de izquierda a derecha, compatibles con comunicación interauricular secundaria a DSIA multifenestrado (fig. 3).
Se interpretó el cuadro como un ACV isquémico de causa cardioembólica, con posible asociación a patología cardíaca y pasaje de émbolo por inversión de flujo del shunt. El tratamiento previo con anticonceptivos podría haber tenido un papel como factor protrombótico. Se inició rehabilitación kinésica y fonoaudiológica. Presentó mejoría completa del déficit visual y leve mejoría de su afasia, sin recuperación del déficit motor. Debido a la necesidad de la paciente de retornar a su país de origen, se decidió inicio de anticoagulación (habiendo pasado 14 días del evento) y diferir la resolución quirúrgica del septo multifenestrado.
DiscusiónUn 15% de los ACV ocurren en adolescentes o adultos entre los 18 y los 54 años. Del total de eventos, 50% son isquémicos, 20% hemorrágicos y 30% corresponden a hemorragia subaracnoidea1. Las etiologías son heterogéneas y en muchos casos infrecuentes. Los FRCV tradicionales, como la hipertensión, la obesidad, la diabetes y la dislipidemia, se encuentran en aumento en este rango etario, sobre todo en los mayores de 40 años6. Esto tiene una implicancia directa en el mayor riesgo de ACV, su recurrencia y la morbimortalidad posterior1,4.
Dentro de los eventos isquémicos, la patología de gran vaso es responsable del 2 al 11% de los casos y la enfermedad de pequeño vaso del 7 al 14%. Entre el 20 y el 30% de los pacientes tienen etiologías poco frecuentes, como síndrome de vasoconstricción cerebral reversible, enfermedad de moyamoya, anemia de células falciformes, arteriopatías no ateroscleróticas, consumo de fármacos vasoactivos o causas genéticas (Fabry, MELAS, CADASIL)1. La fuente cardioembólica se encuentra entre un 20% a un 47% de los casos.
Algunos DSIA (foramen oval permeable [FOP] y ASIA) son frecuentemente encontrados en población sana. Su asociación con el ACV es discutida. Algunos estudios indican un aumento en su prevalencia en aquellos pacientes jóvenes con ACV de causa no determinada6. Se han desarrollado escalas para relacionar la presencia de estas anomalías con la causa del ACV7. Comunicaciones de gran tamaño podrían asociarse a embolización paradojal, formación de trombos in situ y arritmias8.
Cerca del 1% de los nacidos vivos tiene alguna malformación cardíaca más compleja, pudiendo ir desde anormalidades residuales, hasta shunts y malformaciones severas4. Esta población está expuesta a un riesgo mayor de ACV, no solo por embolización paradojal a través de la conexión de derecha a izquierda, sino también por endocarditis infecciosa, complicaciones de cirugías correctivas o defectos cianóticos severos8.
El DSIA surge debido a la falla en la tabicación de la aurícula primitiva. Esto deja comunicaciones abiertas entre las aurículas a nivel de la fosa oval, del ostium primum o del seno venoso coronario9,10. Tiene alto riesgo de fibrilación auricular (FA) asociada. Las alteraciones pueden ser simples, dobles, multifenestradas (3 o más comunicaciones), o defectos aún más complejos del septo, muchas veces incompatibles con la vida11.
El ASIA es una proyección anormal del septo interauricular hacia la aurícula derecha o izquierda, debido a tejido excesivo, fino y debilitado a nivel de la fosa oval. Su hallazgo tiene una frecuencia del 2% en la población joven12. Es territorio predisponente para la formación de trombos in situ. Frecuentemente se encuentra acompañado de otras malformaciones9 y en estos casos se ha observado mayor riesgo de ACV isquémico en comparación con la población general2,13.
La paciente era portadora de una compleja malformación del septo interauricular, con riesgo de embolia paradojal. El uso de anticonceptivos es reconocido como factor protombótico. La suma de estos hechos puede ser la causa del evento isquémico. Esta complicación, a diferencia del FOP, es poco frecuente de hallar.
No existen predictores para estimar el riesgo de recurrencia en aquellos pacientes con diagnóstico de ACV isquémico de causa no determinada y la presencia de un FOP. Se ha indicado que el tamaño, la asociación con un ASIA, la mayor movilidad del ASIA y la presencia de múltiples fenestraciones en el septo están asociados a mayor riesgo14. Algunas publicaciones muestran mayor carga lesional microvascular crónica en sustancia blanca en pacientes con presencia de FOP y ASIA, como consecuencia de posibles microembolias a lo largo del tiempo15. También se ha descripto que dicha asociación aumentaría el riesgo de eventos isquémicos en pacientes con síndrome antifosfolipídico u otras trombofilias16.
La decisión del cierre del defecto cardíaco es controversial. De hallarse un FOP en forma incidental, no hay evidencia sobre su utilidad como prevención primaria. Si se encuentra luego del evento isquémico, la conducta es discutible. El riesgo de recurrencia es bajo y no se ha determinado que a mayor tamaño del defecto este riesgo sea mayor. La presencia de un ASIA o de un DSIA asociados a un FOP podría aumentar significativamente el riesgo de nuevo ACV.
Existen 3 estudios multicéntricos, prospectivos y aleatorizados sobre el manejo con cierre vía cateterismo comparado con el manejo médico (CLOSURE 1, RESPECT y PC trial). Un metaanálisis de los mismos demostró que ninguno logró valores estadísticamente significativos a favor del tratamiento de cierre con dispositivo y menor chance de recurrencia de ACV13,17,18. Los datos de los estudios por separado muestran una tendencia a favor del cierre del FOP, pero con bajo poder estadístico. Esta tendencia a favor del cierre también se evidencia en aquellos FOP de mayor tamaño y los asociados a un ASIA. Se hallaron mayores complicaciones con el dispositivo tipo STARFlex en comparación con el tipo Amplatzer, siendo la FA la más frecuente17.
La guía de la American College of Cardiology/American Heart Association indica el cierre de los defectos del SIA en el caso de detectar émbolos paradojales, tanto por vía percutánea como quirúrgica, asociando el mejor manejo médico posible. La evidencia es insuficiente para optar entre antiagregación o anticoagulación. Se deberán tener en cuenta otros factores, como la presencia de FA o algún hallazgo indicativo trombosis venosa10,13.
Sobre la base de la baja recurrencia de eventos, el manejo médico con antiagregación podría ser una buena opción ante un FOP aislado, y considerar la anticoagulación o el cierre en aquellos FOP con ASIA y/o DSIA9. Ciertas condiciones, como su asociación con arritmias, la sobrecarga de cavidades derechas e hipertensión pulmonar o síntomas incapacitantes, como fatiga o disnea, son por sí mismas indicación de cierre del defecto10. La decisión debe ser individualizada en cada caso, requiriendo una discusión multidisciplinaria.
En el caso de optar por el cierre del defecto, se recomienda la utilización de un único dispositivo si las fenestraciones se encuentran a menos de 7mm de distancia entre ellas. Caso contrario, se requiere de 2 dispositivos de cierre. La anatomía del defecto puede estudiarse a través de un ecocardiograma 3D o una RM cardíaca. La oclusión total que se consigue a 6 meses de seguimiento es alta, rondando un 97%. Existen pocas complicaciones intraprocedimiento, siendo las más graves la efusión pericárdica y la embolia pulmonar9,19,20.
En nuestra paciente, el defecto hallado es muy poco frecuente y, a diferencia del FOP aislado, cumplía criterios para justificar tanto el manejo con anticoagulación como el cierre. Debido a la imposibilidad de concretar el procedimiento durante la internación, se optó por el inicio de anticoagulación, suspensión del anticonceptivo y la optimización de los FRCV. Por tratarse de una paciente que se encontraba en tránsito, sugerimos completar evaluación cardiológica a los efectos de evaluar cierre del defecto en su país de origen.
ConclusiónEl hallazgo de un ASIA multifenestrado es muy poco frecuente y se encuentra asociado a un mayor riesgo de recurrencia en pacientes con antecedente de AIT o ACV. Su presencia requiere de una evaluación interdisciplinaria para definir la mejor conducta terapéutica. La baja frecuencia de la patología en relación con esta presentación clínica hace difícil disponer de evidencia científica de buen nivel; por tal motivo, una opción podría ser utilizar anticoagulación hasta el cierre percutáneo y continuar luego con antiagregación. Deben atenderse otras complicaciones cardíacas potenciales, como la sobrecarga derecha o la hipertensión pulmonar, para definir la conducta terapéutica.
Responsabilidades éticasProtección de personas y animalesLos autores declaran que para esta investigación no se han realizado experimentos en seres humanos ni en animales.
Confidencialidad de los datosLos autores declaran que en este artículo no aparecen datos de pacientes.
Derecho a la privacidad y consentimiento informadoLos autores declaran que en este artículo no aparecen datos de pacientes.
Conflicto de interesesLos autores declaran no poseer conflictos de interés.






