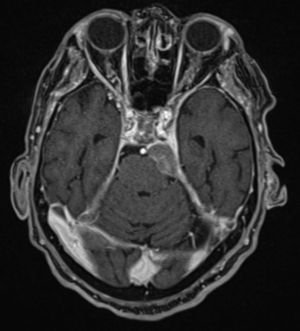
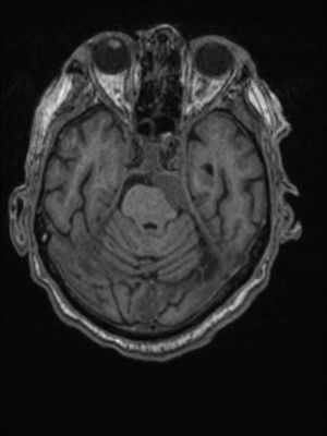
Paciente de 73 años con adenocarcinoma de próstata estadio iv, desde hace diecinueve meses, por afectación ósea múltiple y hepática única, tratado con radioterapia pélvica, hormonoterapia, y dos líneas de quimioterapia. Como antecedentes de interés destacan enfermedad de Parkinson, diabetes mellitus tipo 2, hipertensión arterial y hábito tabáquico. Presenta, desde hace doce meses, disfunción del nervio hipogloso mayor izquierdo que se puso en relación con una lesión ósea en la base del cráneo por la que recibió radioterapia paliativa. Hace siete meses comenzó con diplopia por parálisis del músculo recto lateral del ojo izquierdo atribuida a neurotoxicidad por los tratamientos recibidos. Meses después presentó también paresia del músculo recto lateral del ojo contralateral. Acude a revisión por deterioro general. En la consulta se aprecia discreta desviación de la comisura bucal izquierda. Una exploración más detallada permite detectar hipoacusia ipsilateral, disfagia y desviación lateral de la cabeza hacia la izquierda, de nueva aparición. Se desestima la realización de una punción lumbar diagnóstica por deseo del paciente de limitar la realización de maniobras invasivas. Se realiza una RM cerebral de la que se obtienen las imágenes que se presentan (figs. 1 y 2).
En la RM cerebral se objetivó una masa dural que ocupaba el ángulo pontocerebeloso izquierdo, extendiéndose cranealmente por la vertiente izquierda de la cisterna prepontina hasta el seno cavernoso de ese lado, con dudosa infiltración del tronco encefálico. Se descartaron lesiones isquémicas de evolución aguda y/o signos de carcinomatosis leptomeníngea. Ocupación mastoidea izquierda ya conocida sin cambios respecto a exploraciones previas.
Se ofreció la posibilidad de intentar mejorar la sintomatología con radioterapia paliativa sobre tronco del encéfalo informando del riesgo derivado de la reirradiación. Sin embargo, no se tomó ninguna decisión porque el paciente sufrió en menos de 48horas una neumonía aspirativa secundaria a su disfagia con deterioro rápidamente progresivo y fallecimiento nueve días después del ingreso.
DiscusiónEl cáncer de próstata constituye entre los varones la neoplasia más frecuente y la segunda causa de muerte por cáncer1. La deprivación androgénica continúa siendo el tratamiento inicial en la enfermedad avanzada mientras que en pacientes con enfermedad resistente a la castración Docetaxel ha conseguido aumentar la supervivencia global. Los lugares más frecuentes de diseminación son el hueso, los ganglios linfáticos y con mucha menor frecuencia otros órganos. La afectación del sistema nervioso central y meninges es extremadamente rara. Tremont-Lukats et al. encontraron en una revisión de 16.280 pacientes con cáncer de próstata solamente 19 casos de metástasis dural (MD) siendo menos frecuentes que la afectación parenquimatosa pero más que la leptomeníngea2. Existen pocos datos en la literatura al respecto, provenientes casi exclusivamente de casos aislados. Lawton et al. publicaron la única serie de casos (n=10) de MD de adenocarcinoma de próstata hasta la fecha3. En su experiencia, aparecen más frecuentemente en tumores de comportamiento biológico agresivo, tras varias líneas de tratamiento y la presentación clínica más frecuente incluye disfagia, disartria, diplopia, desviación lingual y entumecimiento facial.
Esta afectación de pares craneales puede suponer para el paciente una importante carga de morbilidad y de sufrimiento al limitar de forma significativa, como en el caso que presentamos, la movilidad del paciente y su capacidad de comunicarse y de alimentarse, poniéndole además en mayor riesgo de sufrir caídas y neumonías aspirativas. Además, en el caso que presentamos, el carácter lentamente progresivo de los síntomas, establecidos a lo largo de un año, y la irreversibilidad de las paresias una vez presentadas, pusieron a durísima prueba el talante positivo y optimista del paciente, que en los últimos meses sucumbió a un síndrome depresivo que el cuidado paliativo y el apoyo continuo de su esposa no aliviaban. Sin embargo, los últimos días del paciente, fueron de aceptación tranquila y de visible paz interior en medio de las complicaciones últimas.
Se ha sugerido que el aumento de la supervivencia alcanzado con la aparición de nuevas y mejores terapias puede suponer una mayor incidencia de metástasis en localizaciones, hasta ahora raras, como la diseminación dural3,4. No debe dejar de sospecharse afectación en sistema nervioso central ante un paciente con carcinoma de próstata metastásico y afectación de pares craneales u otros síntomas neurológicos.




