Se define el traumatismo craneoencefálico (TCE) como toda lesión traumática que afecta al cuero cabelludo, la bóveda craneal o su contenido. Es la causa más importante de morbimortalidad infantil, siendo el origen del 25 al 30% de las muertes de origen traumático en la infancia. La incidencia anual del TCE es de 2-3/1.000 aproximadamente; es más frecuente en varones que en mujeres, con una relación de 3:1. Entre el 60 y el 90% de los TCE son leves, aunque en ocasiones se asocian a lesiones intracraneales (LIC), especialmente en el niño menor de 2 años.
La etiología del TCE varía según la edad del niño; en niños en edad escolar, las causas más frecuentes son los accidentes de bicicleta, caídas o atropellos; en niños mayores, los más prevalentes son los deportivos y los acontecidos con ciclomotores; en los lactantes, aunque la causa más frecuente es la caída desde alturas menores, no podemos olvidar la posibilidad del maltrato físico, especialmente el "síndrome del niño sacudido", que constituye la causa más frecuente de TCE grave en este grupo etario.
Valoración clínica
Anamnesis
Antes de proceder a la anamnesis, es obligado realizar una estabilización inmediata del paciente. Para ello debemos proceder a una exploración física rápida y sistemática (valoración del nivel de conciencia y examen neurológico) asegurando la vía aérea permeable, una ventilación adecuada y una circulación correcta.
Es necesario conocer la causa del traumatismo y cuándo ocurrió. Interrogaremos sobre la cronología sintomática (si ésta ha existido) y sobre la presencia de síntomas como amnesia, desorientación, vómitos, cefalea, alteración del equilibrio, convulsiones, alteraciones motoras, etc. Nunca debemos olvidar indagar sobre la existencia de enfermedades de base que obliguen a modificar la forma de actuación: diátesis hemorrágica, ingestión de fármacos, etc.
Exploración física general
Debe incluir una exploración sistemática en busca de lesiones óseas o viscerales asociadas. Se examinarán siempre el patrón respiratorio, así como la frecuencia y ritmo cardíacos, y se determinará la presión arterial en todos los pacientes. La presencia de hipertensión, bradicardia y bradipnea (tríada de Cushing) es indicativa de hipertensión intracraneal (HIC); la presencia de hipotensión señala la existencia de sangrados, frecuentemente extracraneales. El examen otorrinolaringológico es imprescindible a fin de descartar la presencia de otorragia o rinolicuorrea, que pueden señalar la presencia de fracturas de la base craneal.
Pasaremos inmediatamente al examen craneal, en busca de signos de crepitación, hemorragia activa, tumefacción, depresión craneal, y en el caso del lactante, características de la fontanela y suturas craneales. La equimosis retroauricular (signo de Battle) o periorbitaria (signo de "ojos de mapache") es indicativo de fracturas de la base craneal.
Valoración neurológica
Se iniciará mediante la valoración del estudio del nivel de conciencia y reactividad. En el abordaje inicial podremos establecer un nivel de conciencia para cada caso: alerta, paciente despierto que responde a estímulos verbales; letargia, niño somnoliento y desorientado; coma superficial, con respuesta a estímulos dolorosos; coma establecido, cuando el paciente no responde a estímulos.
El nivel de conciencia se cuantificará mediante la Escala de Coma de Glasgow (tabla 1), cuyo uso es universal, rápido y de validez pronóstica. Para niños menores de 3 años emplearemos la Escala de Glasgow modificada para pacientes pediátricos (tabla 2); en niños, la puntuación normal en esta última escala variará en relación a la edad: 9 en menores de 6 meses; 11 entre 7 y 12 meses; 12 entre 1 y 2 años; 13 entre 2 y 5 años de edad. Disponemos de otras escalas con mayor número de parámetros, entre los que se incluyen algunos que evalúan la función troncoencefálica, pero su menor estandarización y su dificultad de empleo las hacen menos útiles. Por otro lado, la Escala de Glasgow resulta útil para la clasificación de la gravedad del TCE, que será leve si la puntuación es de 15; moderado de 14 a 12; moderado-grave de 11 a 9, y severo si la puntuación es menor o igual a 8.
Tras confirmar el nivel de conciencia, completaremos el examen neurológico. El acercamiento al niño debe ser cauteloso, dejando para el final de la exploración aquellas intervenciones que puedan ser entendidas como agresivas o molestas por el niño. En TCE leves es frecuente que necesitaremos realizar parte de la exploración con el paciente en brazos de los padres. En el niño mayor determinaremos la actitud general. Seguiremos con el estudio oculomotor extrínseco e intrínseco: valoración de la reactividad pupilar (midriasis fija en la herniación uncal) y movimientos oculares espontáneos. Examinaremos el sistema motor, la sensibilidad y los reflejos miotácticos, y en los TCE leves realizaremos el estudio del sistema vestibular y cerebeloso. Finalmente valoraremos el fondo del ojo; la presencia de edema de papila es excepcional. La presencia de hemorragias etinianas en lactantes es altamente indicativa de maltrato.
En lactantes, la exploración debe realizarla personal experto; se valorarán la actitud en reposo y los movimientos espontáneos y ante estímulos (simetría, amplitud, frecuencia, etc.). Los reflejos miotácticos no están constantemente presentes a excepción del rotuliano, y la respuesta plantar ante estímulos puede ser flexora o extensora en niños sanos. La simetría de estas respuestas y de los reflejos arcaicos (Moro, Landau, paracaídas, etc., según la edad) es útil para el examen de la integridad del sistema nervioso central. El estudio de los reflejos del tronco cerebral resulta esencial para la valoración de esta estructura en lactantes.
Exámenes complementarios
Uno de los aspectos más polémicos es la realización de exámenes complementarios en el TCE. Éstos vendrán condicionados por los protocolos hospitalarios, la opinión de cada facultativo, la accesibilidad a los exámenes citados y la presión familiar.
Radiografía del cráneo
La radiología simple del cráneo tiene escasa utilidad en el abordaje diagnóstico del TCE independientemente de su gravedad. El empleo universal de la radiología de cráneo se basa en estudios que demuestran la mayor frecuencia de LIC en pacientes con fractura craneal, incrementándose hasta 20 veces la posibilidad de encontrar estas complicaciones. Otros estudios revelan la escasa sensibilidad y especificidad de la fractura craneal para el cribado de las LIC, así como la ausencia de validez pronóstica en pacientes asintomáticos, siendo la incidencia de secuelas graves intracraneales similar en los pacientes con fractura simple que sin ella.
El empleo de radiografía de cráneo quedaría restringido a las siguientes situaciones: a) edad inferior a 3 meses; b) paciente entre 3 y 12 meses de edad, asintomático, con hematoma craneal importante. El hematoma del cuero cabelludo en esta edad es el indicador más útil, por su asociación a la fractura craneal (fig. 1); c) ansiedad exagerada de los padres ante un TCE leve, y d) como estudio complementario a la tomografía en pacientes con signos indicativos de fractura de la base craneal, hundimiento craneal o herida penetrante. Esta indicación no suele aportar mayor información que la tomografía.
Fig. 1. Lactante con hematoma voluminoso del cuero cabelludo. Asocia fractura de cráneo (fig. 2).
El estudio radiológico deberá incluir la columna cervical ante TCE grave o dolor-rigidez cervical.
Tomografía axial computarizada (TAC) craneal
Indudablemente es la exploración radiológica de elección, con una sensibilidad y especificidad cercanas al 100%. El empleo de la ventana ósea confiere a la TAC craneal una utilidad diagnóstica superior y una relación coste-beneficio más ventajosa que la propia radiografía de cráneo. La normalidad de la TAC craneal indica un buen pronóstico independientemente del momento de su realización. Esta sensibilidad ha motivado la incl usión sistemática de la TAC en algunos protocolos hospitalarios para descartar la existencia de LIC, y se recomienda dar el alta inmediata y la observación domiciliaria tras descartar esta complicación.
Actualmente nosotros recomendamos estas exploraciones según los siguientes criterios: a) alteración de la conciencia (Glasgow ¾ 14) o deterioro progresivo de la misma; b) hundimiento craneal; c) sospecha de fractura de la base del cráneo; d) focalidad neurológica o crisis convulsivas, y e) diástasis de suturas o fontanela abombada en lactantes.
Estamos de acuerdo con algunos autores en que la presencia de fracturas lineales en el trayecto de las arterias meníngeas y seno sagital no presenta una asociación significativamente mayor con síntomas graves o lesiones intracraneales, por lo que estas fracturas no deberían ser, en sí mismas, motivo aislado de realización de una TAC.
Del mismo modo, la presencia de síntomas como vómitos, cefalea y/o alteración de la conciencia de escasos segundos tiene poco valor predictivo positivo para la detección de LIC; esta sintomatología sólo debería ser indicativa de practicar una TAC en lactantes.
Resonancia nuclear magnética (RNM) cerebral
Es una exploración radiológica generalmente más sensible que la antes comentada. Es un examen especialmente útil en la detección de pequeñas lesiones, hematomas isodensos en la TAC craneal o demasiado próximos al hueso para su correcta visualización. Del mismo modo, identifica con mayor sensibilidad lesiones hemorrágicas en el tronco cerebral, la médula y la sustancia blanca.
Las indicaciones para realizar una RNM cerebral en el TCE son: a) empeoramiento clínico del paciente que presenta una TAC craneal normal; b) sospecha clínica de lesión medular, y c) seguimiento a largo plazo de secuelas postraumáticas (epilepsia, hidrocefalia, etc.).
Ecografía transfontanelar
Tiene utilidad en lactantes con fontanela abierta. Puede detectar algunas LIC en este grupo etario, aunque está limitada por la osificación de la fontanela.
Sin embargo, en todo lactante sintomático recomendamos practicar una TAC craneal por su mayor sensibilidad, por lo que en la práctica la ecografía es una exploración no incluida habitualmente en los protocolos hospitalarios.
Electroencefalograma
Es necesario para la valoración adecuada del estado convulsivo, así como de la epilepsia postraumática. En TCE severos posee utilidad pronóstica, especialmente a corto plazo.
Potenciales evocados
Pueden ser útiles para el estudio de la integridad troncoencefálica (somestésicos y auditivos) y medular (somestésicos). La ausencia de respuestas evocadas somestésicas comporta generalmente un mal pronóstico. Los potenciales evocados visuales presentan una baja sensibilidad y especificidad. Indudablemente estos estudios deben posponerse hasta que se hayan realizado las exploraciones descritas con anterioridad y toma do las medidas terapéuticas urgentes.
Lesiones específicas del traumatismo craneoencefálico
Contusión craneal
Se define como la lesión superficial craneofacial sin afectación cerebral. El tratamiento consistirá en analgésicos y observación domiciliaria. Sólo recomendaremos efectuar un estudio radiológico ante la sospecha de fractura nasal.
Conmoción cerebral
Se caracteriza por la pérdida transitoria de la conciencia (< 10 min) secundaria a una disfunción cerebral difusa y transitoria. Se asocia con frecuencia a desorientación posterior, palidez y vómitos. La actitud a seguir será la observación en el servicio de urgencias, y se deberá ingresar al paciente si aparece deterioro.
Contusión cerebral
La pérdida de conciencia suele ser prolongada (> 10 min), y se asocia frecuentemente con focalidad neurológica y/o signos de hipertensión intracraneal (HIC). La lesión cerebral puede ser focal o difusa; en la neuroimagen se observan áreas hemorrágicas petequiales, lesión neuronal y edema predominantemente en lóbulos frontales (80%) y temporales. Es necesaria la realización de una TAC craneal (y ocasionalmente la RNM cerebral), y dependiendo de la radiología y la evolución clínica se ingresará al paciente en la planta de hospitalización o en la Unidad de Cuidados Intensivos Pediátricos (UCIP).
Laceración cerebral
La pérdida de continuidad del parénquima se relacionará con la presencia de hemorragias, signos de HIC y/o focalidad neurológica. Es una situación clínica grave que precisa ingreso en la UCIP.
Fracturas craneales
La presencia de fractura del cráneo en el TCE leve no supera el 8-10% de los casos, con mayor incidencia en lactantes. Las características óseas del cráneo del lactante (blando y poco osificado) explican la mayor frecuencia de las fracturas en esta edad, y no tanto la agresividad del traumatismo.
Fractura lineal. Es la más frecuente, y se localiza predominantemente en el hueso parietal y occipital (fig. 2). La presencia de LIC en estos casos se sitúa entre el 5 y el 11%; prácticamente la totalidad de estos casos presentan durante la evolución alguna signo-sintomatología indicativa de LIC. Es controvertido el ingreso en la Unidad de Observación. Esta medida es obligada en lactantes durante al menos 24 h.
Fig. 2. Radiografía craneal (proyección posteroanterior): fractura lineal parietal derecha del paciente de la figura 1.
Fractura diastásica. Es generalmente un fenómeno evolutivo de la fractura lineal. Se asocia a la presencia de quistes leptomeníngeos desarrollados por una lace ración de la duramadre que pasó inadvertida. Clínicamente puede manifestarse mediante crisis convulsivas o focalidad neurológica. El tratamiento es neuroquirúrgico.
Fractura deprimida. Como su nombre indica, refleja el hundimiento craneal. Representa el 2,5% de las fracturas craneales infantiles. Es obligada la realización de una TAC craneal (fig. 3). Precisan ingreso en UCIP y tratamiento neuroquirúrgico, esencialmente si existe focalidad, depresión mayor de 5 mm o repercusión estética importante.
Fig. 3. Tomografía axial computarizada craneal: fractura deprimida en un lactante.
Fractura abierta. Deben precisarse su extensión y localización mediante TAC craneal. El tratamiento neuroquirúrgico se establecerá de forma urgente.
Fractura de la base craneal. Es más frecuente en niños mayores, a diferencia de las anteriores. La sospecha diagnóstica se basará en diferentes signos clínicos (signo de Battle, «ojos de mapache», hipoacusia, hemo tímpano, afectación de pares craneales, vértigo, entre otros). La presencia de rino u otolicuorrea es diagnóstica. Con frecuencia requiere ingreso hospitalario y tratamiento neuroquirúrgico. Sin embargo, la presencia aislada de rinolicuorrea es generalmente transitoria, y sólo precisará tratamiento quirúrgico si persiste por encima de 10o/día. El tratamiento antibiótico profiláctico no está indicado.
Brain swelling o hinchazón cerebral difusa
Este término hace referencia al aumento del volumen encefálico secundario a hiperemia cerebral. Clínicamente es una si tuación grave que se manifiesta por síntomas y signos característicos del aumento de la presión intracraneal. Es la causa más frecuente de deterioro neurológico en niños, a diferencia de lo que ocurre en los adultos, en quienes las hemorragias son el desencadenante de esta situación clínica.
El swelling se observa en la TAC craneal hasta en el 40 al 50% de los TCE severos, en forma de hiperdensidad de la masa cerebral, con compresión del sistema ventricular y cisternas mesencefálicas.
La introducción de medidas terapéuticas agresivas e inmediatas (hiperventilación) ha obtenido una mejora clara en la supervivencia de esta situación clínica.
Edema cerebral postraumático
La causa más frecuente de HIC en niños es el TCE, principalmente mediado por la aparición de edema de tipo mixto (predominantemente vasogénico). Dependiendo de su intensidad, las manifestaciones clínicas propias de la HIC van desde la cefalea y los vómitos hasta la alteración de la conciencia y la herniación uncal o amigdalar.
La mayor parte de las medidas terapéuticas específicas que se desarrollarán posteriormente irán encaminadas a reducir los efectos de esta complicación.
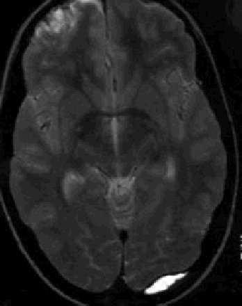
Daño axonal difuso o shearing injury
Es el resultado del movimiento cerebral brusco dentro del cráneo, lo que provoca la consecuente disrupción axonal en la sustancia blanca y hemorragias de múltiples vasos. Se caracteriza por la presencia en la RNM cerebral de numerosas lesiones hemorrágicas subcorticales, áreas pericallosales y núcleos grises (fig. 4). Clínicamente se caracteriza por la alteración de la conciencia y disfunción autonómica. A menudo el propósito es malo, aunque alteraciones como la lesión del tronco cerebral o la hemorragia intraventricular se observan en niños con menor frecuencia que en adultos.
Fig. 4. Resonancia nuclear magnética (eco de gradiente T2). Daño axonal difuso. Lesiones corticosubcorticales.
Hemorragia cerebral traumática
Hematoma subdural. Colección de sangre venosa en el espacio subdural, entre la duramadre y la corteza cerebral. Su frecuencia oscila entre el 0,5 y el 2,5% de los TCE en niños. Se presenta predominantemente en lactantes (50-60%). En la TAC aparece en forma de lesión extensa extraaxial hiperdensa con borde interno cóncavo («media luna»). La asociación de esta lesión (especialmente bilateral) con hemorragias retinianas es altamente indicativa de maltrato físico. Clínicamente suelen cursar con alteración de la conciencia, aunque pueden ser asintomáticas y diagnosticarse varias semanas después. La presencia simultánea de contusión cerebral infiere mayor severidad: HIC, convulsiones, focalidad neurológica, etc. Se debe ingresar al paciente en la UCIP. El tratamiento es básicamente neuroquirúrgico, reservado para las formas sintomáticas y/o con efecto masa de la hemorragia.
Hematoma epidural. Colección de sangre venosa (occipital, por afectación de senos) o arterial (parietal, por afectación de la arteria meníngea media) en el espacio situado entre la duramadre y la tabla interna del cráneo. Su prevalencia es del 1 al 5% de los TCE en niños. Se presenta predominantemente en menores de 2 años (50%). En la neuroimagen (fig. 5) se observa en forma de lesión extensa extraaxial hiperdensa de contorno convexo hacia la línea media (lenticular o biconvexa). Clínicamente cursan con alteración de la conciencia, focalidad neurológica y signos de hipertensión intracraneal. Una pupila dilatada fija, ipsolateral, está presente en el 90% de los casos. A diferencia de lo que sucede en los adultos, es excepcional la existencia de una fase lúcida. Se añade fractura craneal asociada en el 40% de los niños, en comparación con el 80 al 90% de los adultos. La actitud a adoptar pasa por el tratamiento neuroquirúrgico urgente y el ingreso en UCIP. Rara vez se optará por un tratamiento más conservador.
Fig. 5. Resonancia nuclear magnética (potenciada en T2). Hematoma epidural occipital. Contusión hemorrágica frontal contralateral.
Hematoma parenquimatoso.Las lesiones extensas son raras en la infancia. En la TAC aparece como una lesión bien circunscrita, hiperdensa y homogénea, rodeada de otra zona hipodensa (edema); se localizan preferentemente en lóbulos frontales y parietales; asocian fractura en el 65% de los casos. Tienen un mal pronóstico a pesar del abordaje médico y neuroquirúrgico urgente.
Hemorragia subaracnoidea. Se produce por la rotura de los vasos corticales hacia el espacio subaracnoideo en TCE graves. En la TAC craneal se objetiva una banda hiperdensa correspondiente al espacio subaracnoideo, rodeando el área contusionada.
Manejo del paciente con traumatismo craneoencefálico
Medidas generales
Medidas generales in situ. Estabilización para el transporte y mantenimiento de la vía aérea, siendo en ocasiones precisa la intubación endotraqueal (tabla 3).
Se administrará oxígeno a través de mascarilla, gafas nasales o tubo endotraqueal para evitar la hipoxia, debiendo mantener la saturación próxima a 100 y la PaCO2 superior a 100 mmHg.
Establecimiento de vía venosa o intraósea y prevención-corrección de la hipovolemia si ésta apareciese.
Inmovilización de la columna cervical.
Analgesia (2-4 µg/kg/dosis i.v. de fentanilo) y sedación con fármacos fácilmente reversibles (0,1-0,3 mg/kg/dosis i.v. de midazolam).
Durante el transporte se deberá vigilar los parámetros descritos previamente. El traslado se realizará con la cabeza centrada y elevada a 30° si no existe contraindicación.
Medidas generales hospitalarias. Gran parte de las medidas que emplearemos irán destinadas a reducir o evitar la HIC y prevenir el daño neuronal hasta que el proceso subyacente sea tratado o se resuelva espontáneamente.
Tratamiento postural. Elevación de la cabeza y el cuello 30° sobre la horizontal, tras conformar que el paciente está normovolémico (el shock hipovolémico contraindica el tratamiento postural).
Oxigenación. La hipoxia repercute desfavorablemente en el daño neuronal, incrementa el flujo sanguíneo cerebral e incrementa la PIC. Debe mantenerse la PaO2 en 90 a 100 mmHg (nunca menor de 80 mmHg).
Hiperventilación. El propósito es mantener la PaCO2 en 30-35 mmHg. La hipercapnia favorece la vasoconstricción cerebral y, por tanto, disminuye el FSC. El efecto vasoconstrictor de la hiperventilación disminuye en las primeras 24 a 36 h, por lo que su uso está limitado a ese período. Evitar descensos de PaCO2 de 25 mmHg o menores, ya que comportan el riesgo de isquemia cerebral.
Presión de perfusión cerebral (PPC) estable. Mantener la PPC es obligado para una correcta oxigenación cerebral. Deberemos mantener al paciente normovolémico; pueden ser precisos los inotrópicos y/o alfaadrenérgicos. La PPC debe ser superior a 50-60 mmHg.
Mantenimiento de la volemia. Aportar inicialmente los líquidos a dos tercios de las necesidades basales. Obtener un estado normovolémico con una presión venosa central de 3 a 4 mmHg y con osmolaridad sanguínea en 300 a 320 mOsm/l. Si se emplean diuréticos para el control de la HIC, reponer el exceso de diuresis, controlar la osmolaridad y evitar las alteraciones hidroelectrolíticas.
Tratamiento diurético. Diuréticos osmóticos: favorecen el paso de líquido desde las células y el compartimento intracelular hacia el líquido cefalorraquídeo y los vasos; actúan rápidamente (inicio en 30 min), pero presentan frecuentemente fenómeno de rebote. Se administrará de 0,25 a 1 g/kg de manitol en solución al 20% en bolos cada 6 h. También puede emplearse la furosemida, incluso de forma simultánea al anterior, en dosis de 0,5 a 1 mg/kg; también puede utilizarse en perfusión continua.
Control de la temperatura. La hipertermia aumenta el metabolismo cerebral y el FSC, favoreciendo el incremento de la PIC. Se deben utilizar medidas físicas y antitérmicos para el control de la temperatura elevada. En ocasiones, la hipotermia moderada (32-34 °C) se emplea para reducir el FSC y el consumo de O2 en pacientes que no responden a otras medidas. Se ha asociado al empleo de barbitúricos, aunque la eficacia de la combinación no está clara. La hipotermia más intensa (< 31 °C) es una técnica en desuso por la elevada incidencia de complicaciones.
Coma barbitúrico. Indicado en HIC severa e intratable. Reduce el FSC, el metabolismo basal cerebral y la formación de edema. Pentobarbital: bolo de 3-10 mg/kg en 0,5-1 h; mantenimiento: 1-2 mg/kg/h en perfusión i.v. Requiere el control diario de los valores plasmáticos (30-50 µg/ml) y el electroencefalográfico (el trazado de burst-suppression indica la respuesta terapéutica).
Sedación y analgesia. Disminuye el consumo de O2 y los movimientos espontáneos ante el dolor o la agitación que pueden aumentar la PIC. Para la analgesia podemos emplear el cloruro mórfico (10-40 µg/kg/h en perfusión continua) o el fentanilo (1-3 µg/kg/h). Como sedantes podremos hacer uso del midazolam (bolo: 0,1-0,2 mg/kg; perfusión: 0,03-0,2 mg/kg/h) o el pentobarbital (1 mg/kg en bolo).
Prevención de las crisis convulsivas. Se realizará en TCE graves. Se emplea predominantemente la fenitoína a 10-20 mg/kg/dosis, para pasar posteriormente a 5 mg/kg/día para mantener unos valores plasmáticos de 10-20 µg/ml.
Corticoterapia. Su uso está contraindicado en la actualidad; no previene el aumento de la PIC.
Tratamiento quirúrgico. Debe considerarse ante la fractura con hundimiento, fractura ósea abierta, hematoma epidural, hematoma subdural voluminoso, drenajes de líquido cefalorraquídeo que no desaparecen con medidas posturales y ante HIC refractaria al tratamiento (extracción continua de líquido cefalorraquídeo o craniectomía amplia).
Manejo según la gravedad del traumatismo craneoencefálico
Traumatismo craneoencefálico leve. Definido por grado de conciencia conservado (Glasgow de 15), sin focalidad, amnesia ni signos de fractura craneal. No precisa estudio radiológico de ningún tipo excepto radiografía de cráneo si el paciente es menor de 3 meses o un lactante con hematoma en el cuero cabelludo. No requiere ingreso. Se recomendará observación domiciliaria cada 2 h vigilando la aparición de signos de alarma (tabla 4). En el domicilio se administrarán dieta blanda y analgésicos menores según necesidad, siendo aconsejable el reposo las primeras 24 a 48 h.
Traumatismo craneoencefálico moderado. Sus características son un nivel de conciencia levemente alterado (Glasgow 12-14), antecedente de pérdida de conciencia menor de 5 min, amnesia postraumática o signos de fractura craneal. Se realizará en todos los casos TAC craneal. Si es normal, se remitirá al paciente a su domicilio. Si se observa alguna LIC, precisará ingreso hospitalario y el tratamiento adecuado de la lesión. Si se evidencia fractura lineal sin LIC, la actitud dependerá de la edad: el lactante ingresará para observación hospitalaria y el niño mayor podrá ser controlado en la consulta de forma ambulatoria. En el caso de confirmarse el alta, deberán tomarse las medidas descritas en el TCE leve.
Traumatismo craneoencefálico moderado-grave. Traumatismo con nivel de conciencia alterado (Glasgow 9-11), pérdida de conciencia mayor de 5 min, convulsiones postraumáticas o focalidad neurológica. Se realizará TAC a todos los pacientes que deberán ser hospitalizados en planta o UCIP según las características clínicas, evolutivas y radiológicas. Las medidas generales a emplear dependerán del caso. Del mismo modo deberán ser evaluados por el neurocirujano.
Traumatismo craneoencefálico grave. Definido por nivel de conciencia severamente afectado (Glasglow ¾ 8) o deterioro progresivo. Como en el grupo anterior, precisarán TAC craneal y valoración neuroquirúrgica. Este grupo presenta una elevada mortalidad, por lo que todos precisan ingreso en UCIP e instauración inmediata de las medidas generales descritas en el apartado anterior.
Bibliografía general
Aicardi J. Accidental and nonaccidental injuries by physical agents and toxic agents. En: Aicardi J, ed. Diseases of the nervous system in childhood. Londres: Mac Keith Press, 1998; 460-468.
American Academy of Pediatrics. The management of minor closed injury in children. Pediatrics 1999; 104: 1407-1415.
Benito J, Mintegui S, Sánchez-Echániz J, Martínez-González MJ, Fernández-Cuesta MA. Traumatismo craneal en la infancia: ¿permite la clínica seleccionar los pacientes en alto o bajo riesgo de presentar una lesión intracraneal? An Esp Pediatr 1998; 48: 122-126.
Casado J, Martínez de Azagra A. Traumatismo craneoencefálico en niños. En: Casado J, Serrano A, eds. Urgencias y tratamiento del niño grave. Síntomas guía, técnicas y procedimientos. Madrid: Ed. Ergón, 2000; 327-333.
Davis RL, Hughes M, Gubler D, Waller PL, Rivara FP. The use of cranial CT scans in the triage of pediatric patients with mild head injury. Pediatrics 1995; 95: 345-349.
Eker C, Asgeirsson B, Grände PO, Schalén W, Nordströn CH. Improved outcome after severe head injury with a new therapy based on principles for brain volume regulation and preserved microcirculation. Crit Care Med 1999; 26: 1881-1886.
Fernández-Jaén A. Traumatismo craneoencefálico. En: Fernández-Jaén A, Calleja B, eds. Patologías del feto y del lactante. Vigo: Obradoiro Gráfico S.L., 2000; 438-449.
Frush DP, O'Hara SM, Kliewer MA. Pediatric imaging perspective: acute head trauma. Is skull radiography useful? J Pediatr 1998; 132: 553-554.
García-García JJ. Exploraciones radiológicas en el traumatismo craneal en la infancia: ¿cuáles? An Esp Pediatr 2000; 42 (Supl 5): 460-463.
Godstein BG, Powers KS. Head trauma in children. Pediatr Rev 1994; 15: 213-218.
González C, González A, San Martín M, Sanz O, Del-Val MR. Traumatismo craneoencefálico. Pediatría 1994; 91: 37-60.
Gruskin KD, Shutzman SA. Head trauma in children younger than 2 years. Arch Pediatr Adolesc Med 1999; 153: 15-20.
Pascual-Castroviejo I, Fernández-Jaén A. Síndromes hipertensivos intracraneales. Pediatr Integral 1999; 3: 413-419.
Pérez Navero JL, Ibarra de la Rosa I, Barcones F. Traumatismo craneoencefálico. En: Ruza F, ed. Tratado de cuidados intensivos pediátricos. Madrid: Ed. Norma, 1994; 565-580.
Ríos MB, Díez R, Calleja-Pérez B, Velasco B, Dorao P. Politraumatismo. Traumatismo craneoencefálico. En: Zafra MA, Calvo C, Gracia ML, Baquero F, Arribas N, Jiménez J, eds. Manual de diagnóstico y terapéutica en pediatría. Madrid: Publires, 1996; 101-111.
Sánchez Etxaniz J, Benito J, Mintegui S. Traumatismo craneoencefálico. Indicaciones para el ingreso, la observación y el alta. An Esp Pediatr 2000; 52 (Supl 5): 464-466.
Shane D, Fuchs S. Skull fractures in infants and predictors of associated intracranial injury. Pediatr Emerg Care 1997; 13: 198-203.
Tepas JJ, Di Scala C, Ramenofsky ML. Mortality and head injury: the pediatrics perspective. J Pediatr S urg 1990; 25: 92-97.












