Caso clínico
Varón de 18 años de edad, con antecedentes personales de alergia polínica.
Consultó por un cuadro de 45 días de evolución de dolor lumbar de características mecánicas. En las últimas cuatro semanas se había añadido astenia, anorexia y pérdida de unos 5 kg de peso. No refería dolor torácico, disnea, ni otra sintomatología.
A la exploración física destacaba una discreta palidez de piel. Existía dolor a la presión sobre las articulaciones sacroilíacas y una contractura lumbar derecha. Además, se palpaba una adenopatía supraclavicular izquierda de unos 4 cm de diámetro. Se auscultaban algunos roncus y sibilancias por ambos campos pulmonares.
En el hemograma la hemoglobina era de 11,7 g/dl. En la bioquímica destacaba una fosfatasa alcalina de 340 U/l, GGT de 93 U/l y una LDH de 3.550 U/l.
La determinación de alfafetoproteína(AFP) fue de 112 ng/ml y la de la subunidad beta de la gonadotrofina coriónica (beta HCG) de 726.320 mU/ml.
Radiografía de tórax: múltiples nódulos pulmonares en ambos campos pulmonares y aumento hiliar bilateral compatible con adenopatías mediastínicas.
Gammagrafía ósea con tecnecio 99: no existían captaciones patológicas.
TC abdominal: varias lesiones hepáticas sugestivas de metástasis y grandes paquetes de adenopatías retroperitoneales, algunas de ellas con su interior necrosado.
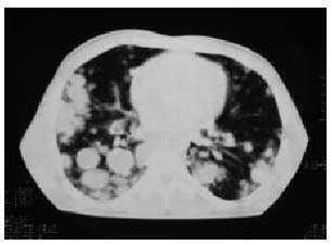
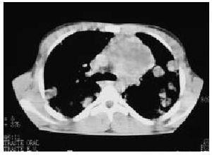
TC torácica: múltiples nódulos pulmonares, alguno de ellos necrosado, y adenopatías mediastínicas (figs. 1 y 2).
Fig. 1.
Fig. 2.
Ecografía testicular: se aprecia un nódulo hipodenso no claramente patológico.
La biopsia ganglionar fue informada como metástasis de tumor de células germinales no seminomatoso, constituido por un carcinoma embrionario.
Durante su ingreso presentó parestesias en el miembro superior derecho, desviación de la comisura bucal y trastornos del lenguaje, realizándose una TC craneal en la que se observaron 3 lesiones hiperdensas situadas en el lóbulo temporal derecho, lóbulo occipital y parietal izquierdo, rodeadas de edema perilesional.
El enfermo fue diagnosticado de tumor germinal no seminomatoso con metástasis pulmonares, hepáticas, ganglionares y cerebrales.
Comentarios
El síntoma más frecuente de los tumores germinales de origen testicular es la apreciación de una masa que puede ser dolorosa. El tumor suele ser de mayor tamaño en los seminomas.
En un 10-20% de los casos existen síntomas de enfermedad avanzada, como dolor lumbar bilateral por afección del retroperitoneo, tos, hemoptisis y disnea por enfermedad mediastínica o pulmonar y adenopatías supraclaviculares. Es rara la presencia de ginecomastia.
El diagnóstico se basa en la realización de una ecografía testicular y en la determinación de marcadores, como son la alfafetoproteína (AFP) y la subunidad beta de la gonadotrofina coriónica (HCG).
Además, debe realizarse una radiografía de tórax y una tomografía computarizada (TC) torácica y abdominal. En determinadas circunstancias se precisarán otras técnicas, como son la realización de una TC craneal o una resonancia magnética (RM) de algún territorio.
La TC torácica es más sensible que la radiografía de tórax, aumentando en un 10% la observación de metástasis detectadas con dicha técnica. Además, permite una mejor detección de la enfermedad en los ganglios mediastínicos.
Los pacientes que presentan tumores avanzados de células germinales tienen menos del 50% de probabilidad de curación cuando son tratados con quimioterapia estándar a base de cisplatino, estando indicado el empleo de otros enfoques de quimioterapia dentro de ensayos clínicos.
Bibliografía general
Bosl CJ, Motzer RJ. Testicular germ cell cancer. N Engl J Med 1997;337:242-53.
Guillem V, Solsona E. Historia natural y diagnóstico de extensión del cáncer de testículo. En: Germa Lluch JR, editor. Tumores germinales del testículo. Barcelona: Doyma, 1991; p. 29-38.
Timothy R, Oliver D. Testis cancer. Curr Opin Oncol 1997;9:287-94.
International germ cell cancer cooperative group. Germ cell consensus classification. A prognostic factor-based staging system for metastatic germ cell cancer. J Clin Oncol 1997;15:594-603.



