Caso clínico
Varón de 68 años sin alergias medicamentosas conocidas, ex fumador desde hace 12 años, con consumo moderado de alcohol. Como antecedentes personales, sufrió una fractura de cadera que, tras cirugía dejó como secuela un acortamiento de dicha extremidad. Tuberculosis (TBC) pulmonar a los 17 años, que se resolvió con tratamiento antituberculoso; se intervino de una masa quística en el muslo derecho de etiología desconocida. Desconoce antecedentes familiares de interés.
Consultó en urgencias del hospital por fiebre y cuadro compatible con orquiepididimitis. Se trató con ciprofloxacino y AINE, con mejoría clínica. Posteriormente, acude por presentar un nódulo en testículo derecho. A la exploración se palpa un nódulo de unos 2 cm, ligeramente doloroso y adherido, acompañado de adenopatía inguinal derecha, dura e indolora. Ante la sospecha de carcinoma testicular, se practica ecografía de escroto, en la que se aprecia una imagen ecogénica redondeada en la región superior de bolsa derecha y un parénquima de testes derecho e izquierdo normal.
En la ecografía abdominal únicamente se objetiva una litiasis biliar, con el hígado, el páncreas, el bazo y los riñones ecográficamente normales.
Tras el tratamiento quirúrgico y una evolución clínica satisfactoria, se le da de alta con diagnóstico de sospecha de carcinoma testicular, en espera del resultado anatomopatológico.
A los 15 días comienza un cuadro de inquietud, irritabilidad, labilidad emocional e insomnio que tanto el enfermo como la familia atribuyen a un rechazo a la orquiectomía y a una dificultad de adaptación de su nueva situación. A la semana, ingresa de nuevo en el hospital para estudio, porque este cuadro se ha convertido en abulia, astenia, anorexia, hipersomnia y hormigueo en miembros inferiores, aunque no refiere cefalea. A la exploración física llama la atención la torpeza en las extremidades izquierdas de predominio distal, con marcha atáxica; está afebril; presenta disartria; no tiene signos meníngeos; la exploración abdominal es normal, apreciándose hipoventilación en el hemitórax izquierdo. En pocas horas empeora el cuadro, desarrollando hemiparesia izquierda, diplopía horizontal, torpeza mental y obnubilación y presentando papiledema.
Se practica TC craneal, en la que se objetiva un nódulo en el tálamo derecho de 1,5 cm, isodenso en relación con el parénquima cerebral y homogéneo, con edema circundante. Con contraste se aprecia una intensificación anular, dejándose entrever un centro hipodenso, pequeñas lesiones nodulares hiperdensas que pasaron desapercibidas en el estudio inicial en la sustancia blanca y la corteza de ambos territorios.
Posibilidades diagnósticas
Aunque la impresión diagnóstica clínica inicial puede hacer pensar en un accidente cerebrovascular, estos hallazgos nos dirigen hacia otros diagnósticos posibles, como carcinoma testicular con metástasis cerebrales, glioblastoma multiplicado o siembra de glioblastoma talámico derecho.
Evolución
El enfermo sufrió un empeoramiento rápidamente progresivo, entrando en coma.
En este momento se dispone del resultado de la anatomía patológica del testículo, que revela los siguientes datos: a la sección se objetivan áreas blanquecinas y necróticas irregulares que sustituyen el parénquima parcialmente. Orquitis granulomatosa caseificante, compatible con TBC testicular. Zielhl positivo.
Se solicita una TC con contraste que confirma las lesiones vistas en la TC inicial: 7-8 lesiones diseminadas en regiones temporooccipitales de ambos hemisferios compatibles con tuberculomas, aunque plantea diagnóstico diferencial con lesiones metastásicas.
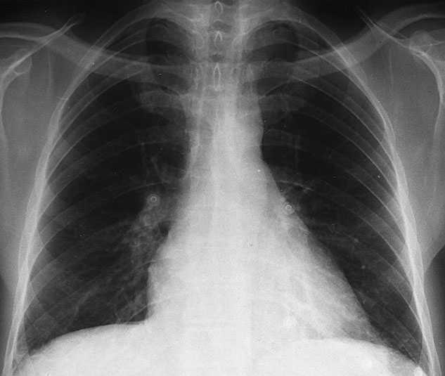
La radiografía de tórax demuestra engrosamiento pleural bilateral, paquipleuritis calcificada en el lado izquierdo, retracción biliar y granulomas en LSI con patrón fibroso retráctil.
Se solicita TC abdominal que evidencia dos imágenes hipodensas en el lóbulo hepático derecho, no visibles ecográficamente, y en el psoas derecho. La seminal derecha está engrosada y tabicada, apareciendo un quiste con septos de cordón.
Se instaura tratamiento antituberculoso con asociación de rifampicina, isoniacida, myambutol y dexametasona para controlar el edema perilesional, objetivándose una ostensible rápida y espectacular mejoría clínica, con total normalización de las alteraciones neurológicas. La baciloscopia de esputo y la serología de retrovirus eran negativas.
A las dos semanas de tratamiento se practica una TC de control, apreciándose una disminución del edema y del tamaño de la lesión mesencefálica y la desaparición de los tuberculomas más pequeños.
En conclusión, el diagnóstico fue: tuberculosis testicular, abdominal y cerebral diseminada por vía hematógena secundaria a TBC primaria.
Fig. 1.
Fig. 2.
Comentario
La incidencia en España de la tuberculosis extrapulmonar no es bien conocida. Se estima alrededor de 70 casos por 100.000 habitantes/año. Representa del 10 al 37% del total de casos declarados de tuberculosis y el 45-75% de ellos se da en sujetos infectados por el VIH.
Existe una tendencia al aumento de la tuberculosis extrapulmonar debido a la mejora de las técnicas diagnósticas, al aumento de inmigración y situaciones de marginación social y a la inadecuada política sanitaria de estudio de contactos.
Las manifestaciones clínicas varían según la localización, pudiendo ser, con frecuencia, inespecíficas u oligosintomáticas. Esto dificulta o enlentece el diagnóstico, por lo que el hallazgo del antecedente previo de una tuberculosis pulmonar tiene gran importancia.
La tuberculosis urogenital supone entre el 3 y el 22% del total de casos de tuberculosis. Suele afectar a sujetos entre 30 y 70 años. Uno de cada cuatro tienen antecedentes de infección primaria y de un 50 a un 70% presentan imágenes sugerentes de tuberculosis en la radiografía de tórax.
Clínicamente, pueden presentar disuria, polaquiuria, dolor lumbar y hematuria franca. La mayoría piuria y/o hematuria en ausencia de bacteriuria. La manifestación más frecuente de tuberculosis genital masculina es la epididimitis. En varones con actividad sexual, comienza como un nódulo en el epidídimo, pudiendo aparecer como una masa testicular. Menos frecuente es la orquitis, la prostatitis o la infección de las glándulas seminales y el pene. Puede, incluso, aparecer necrosis testicular, en cuyo caso está indicada la cirugía, además de la quimioterapia específica. En el caso que nos ocupa, cabe mencionar el hecho de que la orquiepididimitis mejoró inicialmente con el tratamiento de ciprofloxacino, puesto que es uno de los fármacos recientemente aprobados para su uso como tuberculostático de segunda línea en caso de aparición de polirresistencias o de efectos adversos, junto con la capreomicina, cicloserina, claritromicina, clofazimina, etionamida, kanamicina, ofloxacino, PAS y protionamida1.
La linfadenitis tuberculosa, es una de las manifestaciones extrapulmonares más frecuentes. Suelen ser periféricas, duras, rodaderas, no dolorosas y evolucionar a la abcesificación.
La tuberculosis de órganos abdominales puede infectar al hígado, el bazo, el páncreas y el aparato digestivo y dar una sintomatología inespecífica.
La tuberculosis del sistema nervioso central se puede manifestar como meningitis (la más frecuente), lesiones expansivas intracraneales y meningomielorradiculitis. Los tuberculomas formados por granulomas caseificantes, suelen ser múltiples y afectar a adultos, especialmente en los lóbulos frontales y parietales. Los signos y síntomas son los de una lesión ocupante de espacio, papiledema, cefalea, crisis comiciales y déficit neurológico focal. De un 25 a un 70% presentan anomalías en la radiografía de tórax.
En el diagnóstico, las técnicas de imagen son relevantes, especialmente la radiografía, la TC y la RM; no tanto la ecografía, puesto que los tuberculomas no son visibles por no ser ecogénicos, tal como se ha evidenciado en este caso.
Sigue teniendo valor para el diagnóstico la prueba de la tuberculina, las técnicas microbiológicas clásicas de identificación de M. tuberculosis por medio de cultivos de tejidos o de una secreción adecuada (Löwensteiner-Jensen), o de examen en frotis teñido con auraminarodamina.
Actualmente, la ADA y RCP son de interés para el diagnóstico de una tuberculosis extrapulmonar por su sensibilidad y especificidad.
La presencia de una prueba de Mantoux con radiografía de tórax normal y baciloscopia de esputo negativa no descarta la existencia de una tuberculosis. Por lo que, ante síntomas y signos mal definidos y antecedente de TBC primaria, se debe tener en cuenta entre los diagnósticos diferenciales, al igual que en pacientes inmunocompetentes, que debe considerarse como un diagnóstico de exclusión.
La evolución favorable depende, en gran medida, de la rapidez en el diagnóstico y de la aplicación de la quimioterapia adecuada.
Finalmente, cabe resaltar la importancia de realizar un riguroso estudio de contactos tanto en enfermos con tuberculosis pulmonar como extrapulmonar con objeto de lograr un buen control epidemiológico de la enfermedad.



