Caso clínico
Se trata de una mujer de 72 años de edad, que acude a la consulta de atención primaria por un cuadro de tos persistente de 3 semanas de evolución, de predominio nocturno, sin expectoración y sin fiebre, acompañado de cuadros de disnea paroxística nocturna de pocos minutos de duración, con autoescucha de sibilancias. Entre los antecedentes personales de la paciente destacan: hipertensión arterial (HTA) en tratamiento diurético con buen control, hipercolesterolemia en tratamiento dietético y asma persistente moderada de años de evolución, sin ingresos hospitalarios pero con frecuentes visitas al servicio de urgencias por cuadros de reagudización, que está bien controlada en los últimos meses con tratamiento broncodilatador y corticoide inhalado. No refiere hábitos tóxicos.
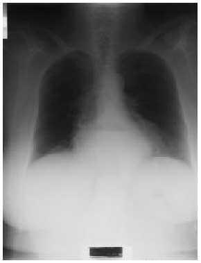
Fig. 1.
Fig. 2.
A la exploración no se encuentran hallazgos destacables, objetivándose un murmullo vesicular conservado con alguna sibilancia ocasional espiratoria, a 18 respiraciones/min, con una auscultación cardíaca y resto de exploración física normal. Se refuerza el tratamiento broncodilatador y antiinflamatorio inhalado de la paciente sin que se objetive mejoría alguna tras 2 semanas, por lo que al no existir cambios en el cuadro clínico se decide solicitar una radiografía anteroposterior y lateral de tórax, así como una analítica general.
La radiografía de tórax evidencia una imagen redondeada con nivel hidroaéreo, retrocardíaca, compatible con gran hernia de hiato. La analítica de sangre no demuestra ninguna alteración. Dados los hallazgos radiológicos, se reinterroga de nuevo a la paciente, que refiere cuadros ocasionales de pirosis posprandrial, con sensación de plenitud y malas digestiones habituales que suele paliar con antiácidos, así como crisis de tos después de las comidas en las últimas semanas. Ante la sospecha de enfermedad por reflujo gastroesofágico (ERGE), se recomiendan medidas higiénico-dietéticas y se instaura tratamiento con inhibidores de la bomba de protones, mejorando la sintomatología en algunas semanas. Se solicita un tránsito esofagogastroduodenal, que se informa como hernia de hiato manifiesta, sin posibilidad de conocer la existencia de lesiones en la mucosa, puesto que la paciente se niega a la realización de la endoscopia.
Comentario
La hernia de hiato es muy frecuente; se considera que el 50% de los mayores de 50 años la presentan, así como el 63-84% de los pacientes con esofagitis. Asimismo, la prevalencia de esofagitis en la hernia de hiato es aproximadamente del 50%, de manera que cuanto mayor es la gravedad de las lesiones de la esofagitis, mayor es la prevalencia de hernia de hiato. No se ha demostrado si la hernia de hiato es un factor pronóstico de la evolución de los síntomas en los pacientes tratados.
En cuanto a la asociación entre la hernia de hiato y la ERGE, que se consideraba como un claro factor desencadenante, se ha demostrado que, si bien la hernia de hiato favorece la presencia de reflujo patológico, no puede afirmarse que su presencia desemboque siempre en la ERGE.
La ERGE se define como el conjunto de síntomas y/o daños tisulares que aparecen en el esófago producidos por el paso del contenido del estómago al esófago. La separación entre lo que es un reflujo fisiológico y lo patológico no está siempre clara, puesto que existen pacientes sintomáticos con pruebas diagnósticas normales (endoscopia, pHmetría), y pacientes con escasa sintomatología y lesiones esofágicas en la endoscopia. Por tanto, dentro del concepto de ERGE podríamos incluir diversos grupos de pacientes:
Pacientes con esofagitis por reflujo con o sin síntomas.
Pacientes con reflujo patológico sin lesiones en la endoscopia.
Pacientes con síntomas típicos con patrón de reflujo fisiológico en la pHmetría de 24 h con lesiones esofágicas.
La ERGE es muy frecuente en la población general, constituyendo casi el 75% de toda la patología esofágica. La incidencia aumenta con la edad, de manera que lo presentan el 5% de las personas mayores de 55 años y hasta el 20% de las mayores de 70 años. Existen múltiples enfermedades y factores que favorecen el reflujo patológico, como la esclerosis sistémica, la diabetes mellitus, la obesidad, el alcoholismo crónico, ciertos fármacos que disminuyen el tono del esfínter esofágico inferior (antagonistas del calcio, barbitúricos, benzodiacepinas, dopamina, teofilina, betaadrenérgicos, nitritos, morfina, anticolinérgicos), la cirugía esofagogástrica previa, el embarazo, las comidas copiosas y grasas, el café, el tabaco, el chocolate, la menta, los cítricos y las bebidas gaseosas.
Los síntomas característicos de la ERGE consisten en pirosis, ardor o síntomas asociados, como los eructos, la regurgitación, la odinofagia, el dolor torácico y, menos frecuentemente, la disfonía y la tos.
La pirosis es el síntoma más característico y constante de la ERGE; afecta a más del 50% de los pacientes y suele manifestarse en decúbito, después de las comidas o con maniobras que aumentan la presión intraabdominal, así como con ingestas copiosas y determinados alimentos (p. ej., chocolate, alcohol, cítricos y grasas). La regurgitación es más específica que la pirosis pero menos constante, y también suele aparecer en posición de decúbito. Durante la noche pueden producirse episodios de regurgitación que pueden despertar al paciente con sensaciones agudas, e incluso crisis de tos irritativa.
Las personas asmáticas presentan con mayor frecuencia ERGE. Algunas revisiones sugieren prevalencias del 34-89%. Por consiguiente, es importante tenerlo en cuenta, ya que el reflujo gastroesofágico puede producir una enfermedad respiratoria por microaspiraciones repetidas y por inflamación crónica de la mucosa con broncospasmo secundario. Por tanto, la historia clínica es importante en el diagnóstico de la ERGE en las personas asmáticas, ya que en muchas ocasiones el médico no pregunta acerca de los síntomas digestivos a este tipo de pacientes. Así, algunos síntomas, como la tos nocturna, el empeoramiento del asma con comidas copiosas, o en posición de decúbito, nos deberían obligar a descartar la existencia de reflujo en pacientes asmáticos con tratamiento correcto broncodilatador y corticoideo.
El diagnóstico de ERGE se basa, principalmente, en la clínica y en la respuesta terapéutica empírica. Así, la combinación de los diferentes síntomas tiene una sensibilidad elevada, cercana al 90%, con una especificidad del 70%; diversos estudios recientes demuestran que la respuesta al tratamiento con omeprazol ofrece buenos valores predictivos positivos. En cuanto a las exploraciones complementarias ante la sospecha de ERGE, se realizarán sólo en el caso de que no exista respuesta al tratamiento médico inicial, o si existe clínica atípica (faringitis, dolor torácico o clínica respiratoria), o en el caso de que existan síntomas de alarma (odinofagia y disfagia, hemorragia digestiva alta, pérdida de peso...). La principal prueba a realizar es la endoscopia digestiva alta, puesto que es la que mejor valora la presencia de esofagitis, su gravedad y sus complicaciones (Barret), siempre teniendo en cuenta que más de la mitad de los pacientes con ERGE tienen una endoscopia normal. El tránsito gastroduodenal es de poca utilidad en el estudio de la ERGE, pero es de interés para demostrar la existencia de hernia de hiato o estenosis pépticas. La pHmetría esofágica de 24 h es la prueba de referencia en el diagnóstico de ERGE, con una serie de indicaciones determinadas (si existe una sintomatología característica con endoscopia normal, dudas diagnósticas con síntomas atípicos y casos que van a ser subsidiarios de cirugía).
En cuanto al tratamiento de la ERGE, existen numerosos estudios que avalan las medidas higiénico-dietéticas en el control de la aparición de reflujo, así como diferentes alternativas farmacológicas; los fármacos más utilizados son los inhibidores de la bomba de protones, los anti-H2, los procinéticos y los antiácidos, debiendo individualizar el tratamiento siempre sobre la base del tipo de síntomas, su frecuencia y la existencia de lesiones y su grado en la endoscopia.
Bibliografía general
Harding SM, Richter JE. The role of gastroesophageal reflux in chronic cough and asthma. Chest 1997;111:1389-402.
Jonhnston BT, Gideon RM, Castell DO. Excluding gastroesophageal reflux disease as the cause of chronic cough. J Clin Gastroenterol 1996;22:168-9.
Lawler WR. An office approach to the diagnosis of chronic cough. Am Fam Physician 1998;58:2015-22.
Martínez G, Ferrús JA, Mearín F. Enfermedad por reflujo gastroesofágico. Badalona: Euromedice Ediciones Médicas, S.L., 2000.
Molina Paris J, Olmo L. Tos de larga evolución. SEMFYC. Guía de actuación en atención primaria. Barcelona: EDIDE, 1998; p. 407-11.
Suárez JM, Erdozaín JC, Comas C, Villanueva R. Enfermedad por reflujo gastroesofágico: tratamiento. Información terapéutica del Sistema Nacional de Salud 1999;23:97-103.



