Caso clínico
Mujer de 57 años de edad, que acude a nuestra consulta por presentar un cuadro febril de 37,5 ºC, de una semana de evolución, acompañado de malestar general, tos no productiva intensa, así como disnea de grado funcional III.
Entre los antecedentes personales destaca una hipertensión de larga evolución en tratamiento con antagonistas del calcio, e intento de autólisis a los 17 años con cáusticos, cuyas secuelas requirieron la práctica de una esofagoileostomía.
En la exploración física destaca un regular estado general, febril a 38,1 ºC, y una ligera taquipnea a 22 lat/min. La cánula de traqueostomía no presenta signos infecciosos. La auscultación cardiorrespiratoria se presenta rítmica, sin soplo, con el murmullo vesicular conservado, y subcrepitantes basales derechos. No hay edemas ni signos de trombosis venosa profunda en los miembros inferiores. El resto de la exploración fue normal.
En el hemograma se observó una ligera leucocitosis de 12.700/µl, con valores de hemostasia normales, destacando en la bioquímica una glucemia de 144 mg/dl. En la gasometría la pO2 era de 79 mmHg, y la pCO2 de 26 mmHg.
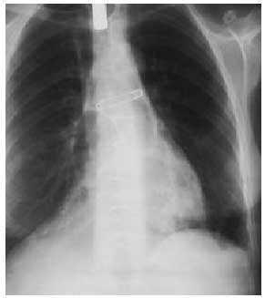
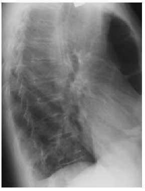
En la radiografía de tórax no se observó condensación de campos pulmonares, presentando en la proyección posteroanterior, en el borde cardíaco derecho, una imagen hidroaérea en la que se aprecian haustras, todo ello compatible con el intestino grueso (figs. 1 y 2).
Fig. 1. Imagen radiológica en posteroanterior de tórax.
Fig. 2. Imagen radiológica en proyección lateral de tórax.
La paciente fue diagnosticada de infección respiratoria de las vías altas no condensante, y fue tratada con antitérmicos y amoxicilina-clavulánico durante 10 días, presentando una franca mejoría clínica a la semana de iniciar tratamiento.
Comentario
Presentamos la imagen radiológica de un enfisema mediastínico, o neumomediastino si nos atenemos a su definición (presencia de aire en el mediastino), que en una rápida valoración puede resultar desconcertante, y que una completa anamnesis resuelve cualquier duda. El neumomediastino es una entidad muy poco frecuente; suele ser secundario a traumatismos, maniobras iatrogénicas y de tipo espontáneo, cuando no se haya una causa desencadenante evidente, siendo el 25% de los casos de tipo idiopático.
Desde el punto de vista clínico, se caracteriza por la presencia de disnea, así como dolor retrosternal intenso, brusco, de características pleuríticas, irradiado al cuello y la espalda. Ocasionalmente, puede acompañarse de cianosis central y crepitación a la palpación en el cuello y las axilas, generalmente sincrónica con el latido cardíaco.
El diagnóstico es fundamentalmente radiológico en el tórax, en las imágenes posteroranterior y lateral, pues en ellas se aprecia mejor el aire mediastínico. Hamma insiste en el hecho de que radiológicamente pueden estar asociados neumotórax espontáneo y de mediastino, por lo que la búsqueda del enfisema mediastínico debe ser sistemática, especialmente en los izquierdos. Otro signo radiológico importante es el hallazgo de aire en los músculos cervicales, por lo que realizar una radiografía de cuello será imprescindible en todo caso sospechoso de enfisema mediastínico agudo, así como en los traumatismos torácicos que cursen con neumotórax.
El tratamiento en la mayoría de las ocasiones es conservador, en seguimiento ambulatorio, con la resolución espontánea del cuadro.
En nuestro medio la ingestión de cáusticos como tentativa de autólisis es más frecuente con la toma de ácidos (salfumán y otros productos de limpieza), y alcanza una morbimortalidad del 22%. Aquellas entidades en cuya valoración endoscópica se detectan lesiones tipo II (penetración submucosa y necrosis focal limitada) y tipo III (ulceraciones profundas y necrosis masivas), son subsidiarias de tratamiento quirúrgico, con gastrectomía total, en caso de necrosis gástrica, o esofagogastrectomía total, mediante stripping sin toracotomía, si existe una afección esofágica grave.
La importancia de nuestro caso reside en lo destacable que siempre resulta una completa anamnesis y una buena exploración clínica, como el mejor método para explicar el hallazgo de una prueba complementaria no acorde con la clínica del paciente, sin perder nunca la capacidad de sospechar ciertas enfermedades.
Bibliografía recomendada
Calvo Romero JM. Neumomediastino espontáneo y fibrosis pulmonar idiopática. Ann Med Interna 2000;17:655-6.
Fernández-Riestra E, Pintor Holguín R, Quesada Rubio M, Rodríguez Martín L. Enfisema subcutáneo en varón joven con gastroenteritis. Med Clin (Barc) 2000;12:695-6.
Martínez Urroz B, Marcos Primo L, Pascual Martín ML. Neumomediastino espontáneo. A propósito de un caso. Medifam 2001;11: 632-6.
Morales Soriano R, Salinas García JA, Martínez Córcoles M. Esofagitis aguda tras ingestión de salfumán. Cir Esp 1999;66:311-4.
Vallverdú i Cartié H, Velasco Carrasco M, Errando i Ricol X. Ingesta de cáustico. En: Protocolos terapéuticos de urgencias. 3ª ed. Barcelona: Springer-Verlag Ibérica, 1997; p. 1083-5.



