Caso clínico
Se trata de un varón de 49 años de edad, con antecedentes personales de neumotórax derecho y presencia posterior de una bulla en el lóbulo superior derecho, alérgico a la penicilina y fumador de 40 cigarrillos al día, sin criterios clínicos de bronquitis crónica ni disnea en situación basal. Una semana antes del ingreso presenta dolor pleurítico en el hemitórax derecho, sensación febril no termometrada con tos, expectoración blanca y disnea de medianos esfuerzos. En la exploración física presenta una presión arterial (PA) de 120/70 mmHg, una temperatura de 37,4 °C y crepitantes en el tercio medio del pulmón derecho; el resto de la exploración no revela otros hallazgos patológicos.
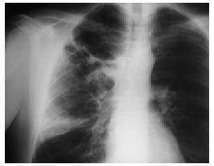
En las exploraciones complementarias destaca la presencia de leucocitosis con desviación izquierda e insuficiencia respiratoria hipoxémica. Los siguientes parámetros fueron compatibles con la normalidad: proteinograma, bioquímica, Mantoux, cultivo de esputo, serología de atípicas en primera determinación, coagulación y ECG. Se realizó una radiografía de tórax al ingreso (fig. 1). A su llegada a planta, y tras el diagnóstico de neumonía en el lóbulo superior derecho, se inicia tratamiento con claritromicina, quedando el enfermo apirético y con mejoría de la sintomatología que motivó el ingreso.
Fig. 1. Radiografía de tórax al ingreso.
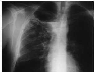
En el control radiográfico posterior se aprecia la aparición de un nivel hidroaéreo dentro de la bulla del enfisema, así como la desaparición del infiltrado alveolar (figs. 2 y 3). Se realizó también una fibrobroncoscopia, con resultado normal, y en la TC se aprecia una imagen compatible con una bulla infectada en el lóbulo superior derecho. Tras completar el tratamiento antibiótico y realizar pruebas de función respiratoria, el enfermo está a la espera de ser sometido a intervención por el servicio de cirugía torácica.
Fig. 2. Radiografía de tórax donde se aprecia el inicio del nivel hidroaéreo y la mejoría del infiltrado neumónico.
Fig. 3. Radiografía de tórax con resolución del infiltrado pulmonar y nivel hidroaéreo claramente definido en la bulla.
Comentario
Se denomina enfisema bulloso al conjunto de alteraciones parenquimatosas pulmonares que cursan con la formación de una o más bullas, siendo estos espacios aéreos intraparenquimatosos de un diámetro superior a 1 cm. Las bullas se asocian a distintos tipos de lesiones pulmonares, pueden ser únicas o múltiples y, desde el punto de vista anatómico, se consideran tres tipos. Las de tipo 1 se encuentran en pulmones normales, y las de tipo 2 y 3 se asocian a la presencia de enfisema panacinar1. Las bullas que aparecen en los pulmones normales pueden tener un curso asintomático y se detectan de forma casual en la radiografía. En el examen radiográfico la imagen característica de la bulla consiste en una zona avascularizada delimitada por sombras lineales que marcan las paredes de la bulla.
La TC permite delimitar mejor las bullas, así como valorar el parénquima pulmonar subyacente. Los estudios gammagráficos y angiográficos son útiles para valorar el efecto compresivo sobre el parénquima pulmonar subyacente. La exploración física puede demostrar una disminución del murmullo vesicular normal. Los pacientes asintomáticos no requieren tratamiento específico; en los casos donde la bulla es de gran tamaño y el parénquima pulmonar sano se recomienda la intervención quirúrgica con bullectomía, previa realización de pruebas funcionales respiratorias. Por otra parte, en aquellos casos en donde las bullas se asocian a enfisema pulmonar con un bajo FEV1 es necesario adoptar las máximas precauciones en la cirugía de reducción pulmonar debido al elevado riesgo de mortalidad tras la cirugía2,3. Las complicaciones que pueden presentarse en las bullas son la infección, el neumotórax y la hemorragia4; en estos casos de infección aparece en la radiografía de tórax una imagen de cavidad de paredes finas con nivel hidroaéreo en su interior. En aquellos casos en donde se presente una bulla infectada, se recomienda el tratamiento antibiótico; según las series, en algunos casos se asocia un drenaje con un tubo de tórax5,6, y en otras, tras un tratamiento antibiótico y siempre previa realización de las pruebas de función respiratoria, se efectúa una cirugía de resección pulmonar7.




