Caso clínico
Mujer de 13 años de edad, remitida para estudio de anemia microcítica hipocrómica asociada a cierta dificultad a la deglución, regurgitaciones y dolor retrosternal.
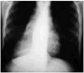
En la radiografía de tórax practicada se observó una masa en el mediastino posteroinferior (fig 1), y destacba la ausencia de burbuja aérea gástrica.
Fig. 1.
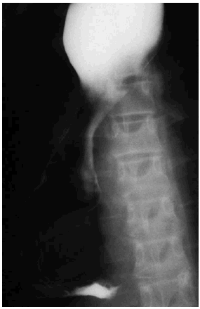
El esofagograma demostró una dilatación y atonía de los dos tercios superiores del esófago; el tercio inferior se encontraba desviado hacia la derecha por una compresión extrínseca redondeada (fig. 2).
Fig. 2.
La TC torácica evidenció una importante dilatación esofágica con nivel hidroaéreo, acompañándose de gran tumoración de densidad de partes blandas en el mediastino posterior (fig. 3), correspondiente a la pared esofágica muy engrosada.
Fig. 3.
Se practicó una manometría esofágica, encontrándose hallazgos compatibles con una acalasia primaria.
Evolución
Se intervino quirúrgicamente a la paciente, realizándose una esofaguectomía subtotal con plastia cólica de sustitución (fig. 4), siendo el resultado de anatomía patológica de acalasia primaria con intensa hipertrofia de los dos tercios inferiores del esófago, que adoptaba un aspecto seudotumoral, y esofagitis del tercio inferior con esófago de Barret.
Fig. 4.
Comentario
La acalasia es una entidad rara en la edad pediátrica. El 3% de los casos corresponden a pacientes menores de 10 años, no existiendo predilección por ningún sexo.
La acalasia está causada por una falta de relajación del esfínter esofágico inferior en respuesta a la deglución como consecuencia de la falta o destrucción del plexo mioentérico, produciendo una dilatación esofágica e hipertrofia muscular, que en ocasiones puede ser masiva y adoptar un aspecto seudotumoral, siendo entonces necesario hacer el diagnóstico diferencial con otras tumoraciones mediastínicas.
Las radiografías de tórax pueden demostrar cambios pulmonares por aspiración, un nivel hidroaéreo en el esófago dilatado o un estómago sin gas (70% de los casos). El estudio con contraste baritado demostrará la forma de pico clásica y la alteración del peristaltismo esofágico.
Bibliografía general
Azizkan RG, Tapper D, Eraklis A. Acalasia in childhood. A 20 years experience. J Pediatr Surg 1980;15:452.
Reynolds JC, Parkman HP. Acalasia. Gastroenterol Clin North Am 1989;18:223-55.





