Caso clínico
Se trata de una mujer de 58 años que consulta por tos irritativa de 4 meses de evolución. Como antecedentes personales refiere hipertensión arterial (HTA) y tuberculosis (TBC) pulmonar hace 10 años, tratada farmacológicamente.
En la anamnesis se descubre pérdida de 4 kg de peso en los últimos 6 meses. No relata otros síntomas respiratorios ni de la esfera otorrinolaringológica.
La auscultación pulmonar, así como el resto de la exploración general, fue normal.
Como hallazgos de laboratorio destacaban: la bioquímica completa fue normal, y en la hematología se objetivó una discreta leucocitosis (con fórmula leucocitaria normal), así como elevación de la velocidad de sedimentación globular (VSG: 86).
Exploraciones complementarias
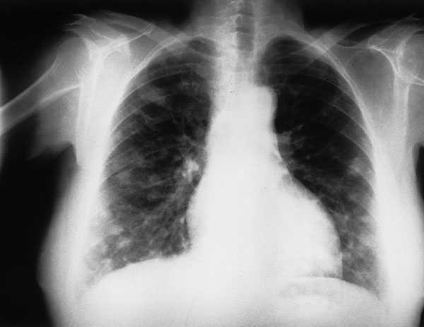
A la paciente se le realizó una radiografía posteroanterior de tórax (fig. 1), donde se observan nódulos múltiples bilaterales entre 1 y 2 cm de diámetro, presentando los nódulos bordes mal definidos.
Fig. 1.
Fig. 2.
La realización de una tomografía axial computarizada (TAC) del tórax reveló la presencia de varias adenopatías mediastínicas entre 1 y 2 cm de tamaño. A nivel pretraqueal destaca otra adenopatía de 1,5 cm. En parénquima se visualizan infiltrados basales, más evidentes en la base pulmonar derecha.
La TAC de abdomen reveló mínima hidronefrosis grado IV en riñón derecho, así como múltiples adenopatías de aproximadamente 1 cm de tamaño de localización paraaórtica.
Se realizó biopsia de adenopatía de tórax, que reveló proceso linfoproliferativo, tipo linfoma no hodgkiniano, de grado intermedio de malignidad de células grandes con fenotipo B.
Comentario
Los linfomas malignos son transformaciones neoplásicas que residen predominantemente en los tejidos linfoides. Las dos variantes de linfoma maligno son el linfoma no hodgkiniano y la enfermedad de Hodgkin. Aunque ambos tumores infiltran los órganos reticuloendoteliales, sus peculiares características clinicobiológicas sugieren que probablemente no estén relacionados entre sí. En estas líneas comentaremos los aspectos más significativos del linfoma no hodgkiniano.
Los linfomas constituyen la cuarta causa de muerte por cáncer en relación con el número de personas que fallecen cada año. Aunque el número total de pacientes es relativamente pequeño en comparación con el total de los que padecen otros tumores, los linfomas malignos son la neoplasia más frecuente en pacientes con edades comprendidas entre 20 y 40 años.
Aunque en estos momentos no sabemos con seguridad la etiopatogenia del linfoma no hodgkiniano, en los últimos años se han realizado importantes avances en la identificación de los genes que parecen estar involucrados en la transformación linfomatosa, habiéndose además demostrado distintas alteraciones citogenéticas en estos linfomas.
Cada vez con mayor frecuencia se diagnostica la aparición de linfoma no hodgkiniano sobre diferentes enfermedades primarias. Las inmunodeficiencias hereditarias y adquiridas, así como las enfermedades autoinmunes, se asocian con un aumento de la incidencia de linfomas. La asociación entre inmunosupresión e inducción de linfoma no hodgkiniano parece clara, habiéndose comprobado que tras desaparecer la inmunosupresión gran parte de estos linfomas presentan una regresión espontánea.
Más de la mitad de los pacientes con linfoma no hodgkiniano comienzan con linfadenopatías periféricas, que suelen ser persistentes e indoloras. Ciertas manifestaciones clínicas son más sugerentes de linfoma no hodgkiniano que de enfermedad de Hodgkin. Entre éstas se encuentran la afectación del anillo de Waldeyer, ganglios epitrocleares y mesentéricos. Sin embargo es más rara la existencia de alteraciones sistémicas como son la pérdida de peso, fiebre y sudación nocturna.
Los pacientes con linfoma no hodgkiniano pueden presentar también sintomatología torácica, abdominal o extraganglionar. El 20% presentan adenopatías mediastínicas.
Estos pacientes presentan tos irritativa persistente, a veces como único síntoma, y a veces acompañada de otras manifestaciones. De manera ocasional se ha descrito el inicio de la enfermedad con la existencia de un síndrome de vena cava superior. También es común la afección de los ganglios retroperitoneales, mesentéricos y pélvicos, pero a menos que la afección tenga un carácter masivo o que pudieran producir alguna obstrucción, estas adenopatías no suelen provocar manifestaciones clínicas.
En algunos casos, especialmente los que presentan afección extralinfática, pueden producir sintomatología más general como anemia sin causa aparente, lesiones cutáneas, afección ósea y muy raramente meningitis linfomatosa.
La clasificación histológica de los linfomas ha sido desde siempre empresa difícil y laboriosa. En 1966 Rappaport presentó la primera clasificación basada en la valoración del patrón global de la arquitectura ganglionar y en las características citológicas de la célula neoplásica. Posteriormente, esta vez basándose en estudios funcionales e inmunológicos, se propuso la clasificación de Kiel (1974). Por último, a principios de la década de los ochenta, se propuso una nueva clasificación que matizaría aún más los grados de malignidad. Ésta se denominó Working Formulation del National Cancer Institute, y dividió a los linfomas en tres subgrupos: de bajo, intermedio y alto grado de malignidad. En 1994, surgió una nueva clasificación de consenso denominada REAL (Revised European-American Classification of Lymphoid Neoplasm) con la intención de homogeneizar los criterios anatomopatológicos existentes con las técnicas morfológicas, inmunológicas y moleculares actuales, así como definir mejor las nuevas entidades surgidas en los últimos años debido a los avances en las técnicas diagnósticas. Recientemente, se está elaborando una nueva propuesta de clasificación promovida por la Organización Mundial de la Salud (OMS) y basada en el esquema de la clasificación REAL, con pequeñas modificaciones.
Según las diferentes clasificaciones clásicas, el linfoma no hodgkiniano al que nos referimos sería: clasificación de Rappaport, linfoma histiocítico difuso; clasificación de Kiel, linfoma difuso de células grandes, y Working Formulatión, linfoma centrocítico (células grandes) centroblástico.
Aunque clínicamente sea sospechable, el diagnóstico es histológico. La interpretación de la biopsia deberá ser extremadamente cuidadosa, evitando posibles errores como lesiones reactivas, etc. De hecho, no es raro que biopsias previas hayan sido catalogadas como linfadenitis inespecíficas.
Los estudios de imagen, tanto morfológicos (radiología, TAC, etc.) como funcionales (técnicas de medicina nuclear, como el rastreo con citrato de galio-67), son importantes para conocer la extensión de la enfermedad. Especialmente importante resulta la TAC, pues nos informará de una manera muy precisa de los diferentes órganos afectados por la enfermedad. También estas técnicas diagnósticas tendrán un papel importante para realizar un adecuado seguimiento y control evolutivo de la enfermedad.
Para decidir el régimen terapéutico adecuado tenemos que determinar no sólo el subtipo histológico o grado de malignidad, sino también cualificar el objeto de tratamiento, ya sea de carácter curativo o paliativo. Al mismo tiempo, no podemos perder de vista la posible presencia de otros procesos patológicos (cardíacos, renales, pulmonares) que pueden condicionar la toxicidad de la enfermedad. El pilar fundamental del tratamiento reside en la quimioterapia, que hoy en día ha conseguido buenos resultados en esta enfermedad. En la figura 2 se aprecia la desaparición de los nódulos múltiples bilaterales existentes tras la quimioterapia. La radioterapia desempeña un papel muy limitado en el tratamiento del linfoma no hodgkiniano.
Bibliografía general
Freedman AS, Nadler LM. Neoplasias de las células linfoides. En: Harrison, editor. Principios de medicina interna (14.ª ed.). Madrid: McGraw-Hill-Interamericana, 1999; 713-812.
Jaffe ES, Harris NL, Diebold J. World Health Organization classification of neoplastic diseases of the hematopoietic and lymphoid tissues. A progress report. Am J Clin Pathol 1999; 111 (Supl 1): 8-12.
Rosemberg SA. The non-Hodgkin's lymphoma pathologic classification project. National Cancer Institute sponsored study of classifications of non-Hodgkin's lymphomas. Cancer 1982; 49: 2112-2135
Rozman C, Monserrat E. Enfermedades ganglionares. En: Farreras P, editor. Medicina Interna (13.ª ed.). Madrid: Mosby-Doyma, 1995; 2: 1566-1585.
Van Schoor J, Joos G, Pauwels R. Non-Hodgkin's lymphoma presentingas multiple cavitating pulmonary nodules. Eur Respir J 1993; 8: 1229-1231.



