Caso clínico
Varón de 61 años de edad que acude a urgencias por dolor abdominal intenso de instauración brusca.
Antecedentes personales: hepatopatía crónica (alcohólica), isquemia crónica de miembros inferiores con clínica de claudicación intermitente y colelitiasis.
En la exploración física aparece abdomen doloroso de forma difusa a la palpación con defensa importante y signos de irritación peritoneal. La analítica presenta leucocitosis con neutrofilia, hiperglucemia e hipopotasemia.
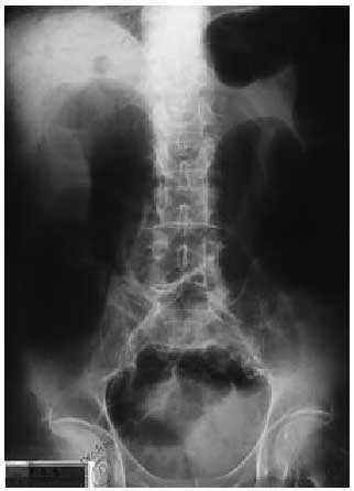
Radiografía simple de abdomen en decúbito supino (fig. 1): dilatación de asas de intestino, más llamativa en el colon, imágenes radiolucentes en la pared del colon ascendente (neumatosis), así como múltiples imágenes lineales radiolucentes con bordes bien definidos y proyectadas sobre silueta hepática.
Fig. 1.
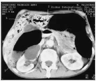
Se realiza tomografía computarizada abdominal urgente sin y con contraste intravenoso (fig. 2), en la que se aprecia la existencia de gas en vasos portales intrahepáticos (flecha 1), vena porta y vasos mesentéricos, con nivel gas-contraste en vena porta y vena mesentérica superior (flecha 2). Neumatosis en pared intestinal, sobre todo en colon ascendente (flecha 3).
Fig. 2.
Posteriormente se realiza laparoscopia exploradora confirmando el diagnóstico radiológico de isquemia mesentérica. El paciente falleció a las 4 horas de su llegada a urgencias.
Comentario
La isquemia mesentérica, en el caso de que sea masiva con infarto, es un proceso poco frecuente con una alta mortalidad (80-90%). Su etiología puede ser la insuficiencia arterial, la trombosis venosa o la patología intestinal.
La insuficiencia arterial puede ser debida a aterosclerosis, enfermedad embólica, disección de aorta, hiperplasia fibromuscular, vasculitis, shock endotóxico, hipoperfusión, coagulación intravascular diseminada o traumatismo directo. Cursará como angina abdominal cuando la isquemia sea intermitente en relación con incremento de necesidades por ingesta. Si la causa es por embolias o trombosis, aparecerá como infarto oclusivo. También puede aparecer en situaciones de bajo
flujo.
La trombosis venosa suele acontecer en pacientes jóvenes tras la cirugía abdominal.
Las enfermedades intestinales que pueden producir isquemia intestinal son el vólvulo, la constricción por adherencias, la intususpección o la incarceración.
Sea cual fuere la causa de la isquemia, la mucosa sufrirá, y aparecerán ulceraciones que en los casos reversibles darán lugar a fibrosis y estenosis, y en los irreversibles, a infarto transmural con perforación.
En los casos agudos, como nuestro paciente, la clínica será de abdomen agudo, que puede acompañarse de vómitos, diarrea, leucocitosis con desviación izquierda.
La radiografía simple presentará hallazgos como niveles hidroaéreos (21%), distensión del intestino delgado (43%), engrosamiento de pliegues con festoneamiento e imágenes en huella de dedo, seudobstrucción del intestino delgado, neumatosis (28%), gas en porta y mesentérica (14%) y ascitis (14%).
En la tomografía computarizada se observan hallazgos relativamente específicos, como la neumatosis intestinal (22-57%), el gas en la vena porta (13-36%) y la vena mesentérica (28%), y engrosamiento de la mucosa. Otros hallazgos menos específicos son: dilatación difusa o focal del intestino, engrosamiento de la pared intestinal, trombosis en la arteria mesentérica superior, neumoperitoneo y ascitis.
Bibliografía recomendada
Dähnert W. Radiology review manual. 3rd ed. Baltimore: Williams & Wilkins, 1996; p. 617-8.
Koehler RE, Memel DS, Stanley RJ. Tracto gastrointestinal. En: Lee JK, Body TC, editor. Correlación RM. 3.a ed. Madrid: Marban, 1999; p. 674-8.
Magibow AJ. Aparato gastrointestinal. En: Haaga JR, editor. Tomografía computarizada y resonancia magnética, diagnóstico por imagen corporal total. 3.a ed. Madrid: Mosby, 1996; p. 869.
Tejera E, Pedrosa CS. Aparato digestivo: el intestino delgado. En: Pedrosa CS, editor. Diagnóstico por la imagen. Tratado de radiología clínica. Madrid: Interamericana-Mc Graw-Hill, 1994; p.752.



