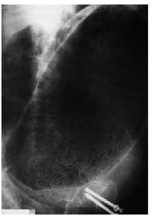
Fig. 1. Radiografía de abdomen. Se aprecia una enorme dilatación del rectosigma, con un diámetro de 22 cm.
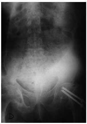
Fig. 2. Radiografía de abdomen. Importante disminución de la dilatación del rectosigma.
Caso clínico
Varón de 95 años de edad, con antecedentes personales de diabetes mellitus tipo 2, accidente cerebrovascular isquémico y fractura de la cadera izquierda. En tratamiento con glibenclamida, nimodipino y triflusal.
Consultó por un cuadro de fiebre, tos con expectoración purulenta y dificultad respiratoria.
En la exploración pulmonar se auscultaban roncus y estertores crepitantes basales. El abdomen era blando y no doloroso, con ruidos intestinales normoactivos.
En el hemograma se objetivaba leucocitosis con desviación a la izquierda. En la bioquímica la glucemia era de 148 mg/dl y existía un deterioro de la función renal, siendo la urea de 156 mg/dl y la creatinina de 3,5 mg/dl. Gasometría arterial: pH 7,36, PO2 37 mmHg, PCO2 33 mmHg, CO3 H 18,9 mmol/l.
Radiografía de tórax: infiltrados basales bilaterales sin cardiomegalia.
ECG: ritmo sinusal, imagen de bloqueo completo de la rama izquierda del haz de His.
Fue diagnosticado de neumonía bilateral, insuficiencia respiratoria e insuficiencia renal, siendo tratado con fluidoterapia, ceftriaxona y claritromicina por vía intravenosa, así como oxigenoterapia.
Al día siguiente de su ingreso presentó un cuadro de dolor abdominal de características cólicas y vómitos de restos de alimentos. Refería la última deposición 3 días antes.
En la exploración física se apreciaba un abdomen muy distendido con escasos ruidos y sin signos de irritación peritoneal.
Se realizó una radiografía de abdomen en la que se apreció una enorme dilatación del rectosigma con abundantes heces. El diámetro del asa era de 22 cm (fig. 1).
Se procedió a colocar una sonda rectal y, posteriormente, se efectuó una sigmoidoscopia, en la que se observaron abundantes heces sin objetivarse problemas obstructivos hasta 90 cm del ano.
Tras la prueba disminuyó notablemente la distensión abdominal.
Unas horas después se realizó una nueva radiografía de abdomen en la que se observaba una importante disminución de la dilatación del rectosigma (fig. 2). En función de estos datos fue diagnosticado de síndrome de Ogilvie.
Comentario
El síndrome de Ogilvie, o seudoobstrucción aguda colónica, es un cuadro clínico de obstrucción intestinal en ausencia de obstáculos orgánicos.
Se relaciona con diferentes afecciones extracolónicas, como diversas enfermedades neurológicas y neuromusculares, insuficiencia cardíaca, insuficiencia renal, insuficiencia respiratoria, infarto agudo de miocardio y toxicidad por diversos fármacos.
Existe una hipomotilidad intestinal con retraso o detención del tránsito y aparece, generalmente, en pacientes de más de 50 años, que presentan un cuadro de dolor abdominal cólico recidivante con signos de distensión abdominal, náuseas, vómitos y estreñimiento. Los síntomas pueden ser intermitentes y, en ocasiones, muy poco manifiestos.
El diagnóstico se realiza mediante la historia clínica y la radiografía de abdomen, en la que se observará una dilatación importante de asas del intestino grueso. Pero es la colonoscopia la técnica diagnóstica de elección, siendo además un procedimiento terapéutico por su capacidad de descomprimir. En ocasiones, es preciso realizar exploraciones repetidas hasta conseguir la resolución completa del cuadro.
La administración de fármacos procinéticos es poco útil. El paciente debe estar en dieta absoluta, con aspiración nasogástrica. Es necesario corregir los trastornos hidroelectrolíticos, si existiesen, y en ocasiones será precisa la alimentación parenteral.
El tratamiento quirúrgico en forma de cecostomía o colostomía, se realizará únicamente cuando haya fracasado el tratamiento médico o si existiese una perforación.
Biliografía general
Dorudi S, Berry AR, Kettlell MGW. Acute colonic pseudobstruction. Br J Surg 1992;79:99-103.
Guerrero P, Pérez J, Ruiz N, Martínez J, Rodrigo M. Seudoobstrucción aguda de colon o síndrome de Ogilvie. Descompresión por colonoscopia. Gastroenterol Hepatol 1986;9:249-53.
Jones ES, Schirmer BD. Intestinal obstruction, pseudo-obstruction and ileus. En: Sleisenger MH, Fordtran JS., editors. Gastrointestinal disease. 4th ed. Philadelphia: Ediciones WB Saunders, 1989; p. 369-81.
Mivatmg S, Vermeullen FD, Famg DT. Colonoscopyc descompression of acute pseudo-obstruction of the colon. Ann Surg 1982; 196:598-601.



