Como es bien conocido, de la etiología del cáncer de pulmón hay que destacar el tabaco como principal agente, aunque este factor ambiental se ve modificado por una serie de factores genéticos, como el sexo, u otros de carácter racial o hereditario, como la capacidad para metabolizar algunos carcinógenos.
Claramente existe un efecto aditivo y acumulativo respecto al número de cigarrillos que se fuman al día y la edad de adquisición del hábito tabáquico, de manera que se establece una relación exponencial entre estos factores y la tasa de mortalidad.
A pesar del desarrollo de las campañas antitabaco no se ha logrado una reducción significativa en la incidencia de carcinomas de pulmón, que continúa siendo una de las principales causas de mortalidad en el mundo occidental, junto con repercusiones de carácter socioeconómico importantes. No obstante, se ha avanzado en otros aspectos de manera que se establecen diagnósticos cada vez más tempranos y terapéuticas más adecuadas, lo que ha permitido una mejora de la supervivencia.
Concepto y definición de la neoplasia primaria múltiple (NPM) pulmonar
Es una entidad poco frecuente (1,5-3%), definida por la existencia de dos o más neoplasias de pulmón que se han desarrollado de forma independiente en el tiempo y la localización. A su vez puede distinguirse entre sincrónica, cuando los tumores son detectados simultáneamente, y metacrónica, en la que existe un intervalo entre la detección del primero y la del segundo, que algunos autores cifran en 2 años, aproximadamente. Son precisamente estos últimos los más frecuentes, representan entre el 55 y el 70% de los casos, según las distintas series. Se trata de pacientes con historia previa de carcinoma de pulmón, en los que tras 2-4 años de supervivencia desde la presentación inicial aparece la segunda neoplasia. Es fundamental en estos casos obtener un correcto diagnóstico a través de una historia clínica detallada que permita diferenciar las posibilidades terapéuticas y pronósticas de la neoplasia, dependiendo de si es sincrónica o metacrónica.
Uno de los problemas más relevantes en el diagnóstico de esta entidad es su posible confusión con metástasis de un único tumor primario pulmonar en el caso de NPM sincrónica o con neoplasias localmente recurrentes si se trata de una NPM metacrónica, situaciones difíciles de distinguir en ocasiones, lo que dificulta el diagnóstico.
En 1975 Martini y Melamed recogieron una serie de criterios diagnósticos de NPM, y dejaron claramente sentadas las diferencias entre sincrónicas y metacrónicas. Con posterioridad, otros autores han realizado algunas modificaciones sobre esta clasificación, como Antaki et al en una revisión de 1995.
Epidemiología
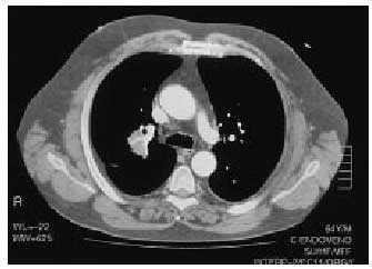
La incidencia de NPM pulmonar se sitúa entre el 1,6 y el 3% de todos los casos de carcinoma de pulmón. Existe un claro predominio de sexos, más frecuentes en varones: la relación varón-mujer es de 3:1. La NPM tiene una especial incidencia en la sexta década de la vida y, además, los pacientes guardan en común un importante hábito tabáquico (fig. 1).
Fig. 1. Masa de tejidos blandos parahiliar derecha e izquierda, de bordes espiculados que afecta a las venas pulmonares inferiores izquierdas, en paciente con importante hábito tabáquico.
En cuanto al riesgo de presentar una segunda neoplasia de pulmón, según los diferentes estudios retrospectivos realizados, éste se encuentra entre el 2 y el 14% en el caso de que el primario sea un oat cell, y entre el 1 y el 2% anual en pacientes con función de estirpe histológica de células no pequeñas, y en los que el tratamiento ha sido efectivo. Es frecuente encontrar un intervalo medio entre la resección de la primera y de la segunda neoplasia de entre 2 y 4 años.
Anatomía patológica
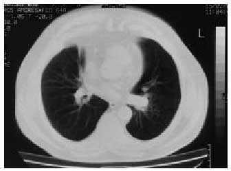
Desde el punto de vista anatomopatológico han existido variaciones y modificaciones respecto a la histología más frecuente. No hace muchos años se presentaba el carcinoma epidermoide como la más común de las estirpes histológicas de las dos neoplasias (primaria y secundaria), aunque los estudios más recientes demuestran una mayor incidencia de adenocarcinoma. Entre el 50 y el 70% de los enfermos tienen similar anatomía patológica en ambos tumores, con una clara preferencia por lóbulos superiores (fig. 2). No obstante, pueden encontrarse casos de diferente estirpe histológica entre ambos, lo que no plantearía dudas en el diagnóstico. Hay que tener en cuenta que aquí se excluye el carcinoma bronquioalveolar por su tendencia a presentarse de forma bilateral.
Fig. 2. Masa parahiliar derecha alta, que corresponde al mismo paciente de la figura 1.
Clasificación
Martini y Melamed establecieron en 1975 los criterios diagnósticos de la NPM pulmonar (tabla 1), dejando claramente establecidas las diferencias entre la sincrónica y la metacrónica.
Para ello se basaron en los siguientes aspectos: estirpe histológica, localización, afección linfática e intervalo entre la aparición de ambos.
Así en las NPM sincrónicos es condición sine qua non que sean tumores de distinta estirpe histológica y separados en cuanto a localización. Aquellos casos en los que apareciese similar histología deben encontrarse en lóbulos diferentes y sin afección linfática.
Mientras que para hablar de metacrónico deben ser de diferente histología o, de presentar similar histología con un intervalo libre entre tumores de al menos 2 años, no existir metástasis o afección linfática y el segundo tumor debe encontrarse en distinto lóbulo.
Pero estos criterios con posterioridad fueron modificados por Antakli y Schaefur (1995), de manera que basándose en los previamente establecidos por Martini, simplifican las posibilidades entre aquellos con diferente histología y entre los que tienen similar histología con dos o más de los cinco criterios que establecieron y quedan recogidos en la tabla 2.
Prestando atención a la estadificación del carcinoma de pulmón (figs. 1 y 2) y teniendo en cuenta los criterios diagnósticos anteriormente citados, se deduce que aproximadamente en el 50% de los casos de NPM pulmonar sincrónica se clasifican como estadios I y II al realizar los estudios de extensión. Esto se debe principalmente a que los criterios diagnósticos excluyen a los pacientes con adenopatías o metástasis a distancia (figs. 3 y 4).
Fig. 3. Estadificación ganglionar en el carcinoma broncogénico.
Fig. 4. Estadificación TNM del carcinoma broncogénico.
Pronóstico
Los datos de supervivencia en los casos de NPM pulmonar son poco alentadores y la sitúan alrededor del 4% a los 5 años, sin existir grandes diferencias significativas en aquellos que son tratados quirúrgicamente, que la sitúan en un 18%. Dentro de las dos clases mencionadas, los metacrónicos tienen un mejor pronóstico, con un 23% de supervivencia, frente a los sincrónicos o enfermedad recurrente que se sitúan en alrededor del 12%. No obstante, parece ser que estas cifras de supervivencia no se ven modificadas si se intenta relacionarlas con la estirpe histológica a la que se asocia cada uno de ellos.
Conclusiones
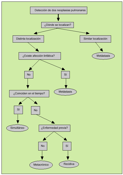
La neoplasia primaria múltiple de pulmón es una forma poco frecuente de presentación del carcinoma de pulmón, de complicado diagnóstico en ciertas ocasiones y muy mal pronóstico; por todo ello se requiere de la especial habilidad del clínico. De manera que una historia clínica detallada y el desarrollo de algoritmos de diagnóstico no muy complicados permitirían diferenciar entre tumor metastásico, sincrónico o metacrónico (fig. 5).
Fig. 5. Algoritmo diagnóstico de la neoplasia múltiple pulmonar.
Bibliografía recomendada
Agustí C, Rosell R. Tumores broncopulmonares. En: Farreras P, Rozman C, editores. Medicina interna. 14.a ed. Madrid: Harcourt, 2000; p. 894-907.
Antakli T, Schaefer RF, Rutherford JE, Read RC. Second primary lung cancer. Ann Thorac Surg 1995;59:863-7.
Colomer EJ, Molina JC, Aguilar X, Magardas R, Mayayo E, Richart C. Neoplasia primaria múltiple pulmonar sincrónica: carcinoma microcítico como tumor principal y carcinoma epidermoide, una asociación infrecuente. Arch Bronconeumol 1999;35:241-7.
Dohmoto K, Fujita J, Ohtsuki Y, Kotsuna N, Mitsunaka H, Kuwabara H, et al. Synchronous four primary lung adenocarcinoma associated with multiple adenomatous hyperplasia. Lung Cancer 2000; 27:125-30.
Guillen AJ, Sebastian A, Shams K. Doble tumor pulmonar primario, bilateral sincrónico. A propósito de un caso. Arch Bronconeumol 1997;33:363-4.
Martini N, Melamed MR. Multiple primary lung cancers. J Thorac. Cardiovasc Surg 1975;70:606-12.
Mayne ST, Buenconsejo J, Janerich DT. Previous lung disease and risk of lung cancer among men and women nonsmokers. Am J Epidemiol 1999;149:13-20.
Mountain CF. Revision in the international system for staging lung cancer. Chest 1997;111:1710-7.








