Caso clínico
Varón de 23 años, sin antecedentes patológicos de interés, que acude a urgencias por un cuadro de dolor selectivo en fosa ilíaca derecha, asociado a fiebre y leucocitosis. Como dato derivado de la exploración física destaca un signo de Blumberg positivo.
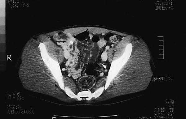
Se solicitó de urgencias, una radiografía simple de abdomen (fig. 1) en la que se observó una imagen densidad calcio, en capas concéntricas, proyectada sobre fosa ilíaca derecha, compatible con apendicolito, tras la cual se decidió solicitar una ecografía abdominal y de fosa ilíaca derecha (fig. 2), en la que se evidenció la existencia de un asa fija, aperistáltica, con su base en el ciego, que terminaba en dedo de guante, dolorosa a la presión y que media más de 6 mm, con una distribución en capas de ecogenicidad alternante y con imagen cálcica en su extremo distal, hallazgo que posteriormente se confirmó con la tomografía computarizada (TC) abdominopélvico (fig. 3). Por todo ello se realizó el diagnóstico de apendicitis aguda catarral-flemonosa, con apendicolito distal.
Fig. 1
Fig. 2.
Fig. 3.
Comentario
Aunque la apendicitis aguda representa la indicación más frecuente de laparotomía urgente en nuestro me dio1, la decisión para la intervención quirúrgica todavía está basada en criterios clínicos imprecisos obtenidos a partir de la historia clínica y el examen físico. Los estudios de laboratorio y los radiológicos únicamente se van a utilizar para corroborar una impresión clínica2.
El apéndice supone la continuación vermiforme del ciego, originándose generalmente de su porción posteromedial, a 2 cm o menos de la válvula ileocecal, pudiendo tener una localización variable (medial, caudal, lateral y retrocecal que, a su vez, puede ser intra o extraperitoneal), representa una estructura tubular, de fondo ciego, compresible y no doloroso a la presión, aperistáltico, con un diámetro que no supera en su eje anteroposterior los 6 mm y que tiene la arquitectura típica del tubo digestivo en capas de ecogenicidad alternante, pudiéndose identificar de 3 a 5 capas.
La apendicitis aguda se va a producir como consecuencia de la obstrucción de la luz apendicular e infección bacteriana secundaria3. El criterio definitivo para el diagnóstico de apendicitis aguda es la demostración histológica de leucocitos polimorfonucleares a través del grosor de la pared apendicular, incluida la muscular.
En el examen histopatológico, las apendicitis aguda suelen clasificarse en catarral, flemonosa, gangrenosa y perforada, con su correspondiente correlación ultrasonográfica4.
La apendicitis aguda es un proceso caracterizado por la tríada diagnóstica de dolor, vómitos y ausencia de deposiciones, como exploraciones complementarias, contamos con las pruebas de hematimetría, siendo típica la leucocitosis con leve desviación izquierda. Los métodos de imagen destacan como los estudios más relevantes dentro de las pruebas usadas como coadyuvantes del diagnóstico de apendicitis aguda; así pues, el radiólogo va a desempeñar un importante papel en el tratamiento de este tipo de pacientes5. Antiguamente la radiografía simple de abdomen y el enema de bario eran los principales estudios que poseía el radiólogo para el cribado de la apendicitis aguda, pero debido a su falta de especificidad, han sido reemplazados por la ecografía y la TC6.
La ecografía tiene la ventaja de ser una exploración barata, accesible, que utiliza radiación no ionizante, en tiempo real e interactiva7, y es relativamente fácil correlacionar el punto de mayor dolor con las alteraciones sonográficas; inicialmente ésta había sido utilizada para el diagnóstico de las posibles complicaciones y para la exclusión de otras enfermedades, y fue Puylaert quien, en 1986, demostró que con transductores lineales de alta resolución y mediante una técnica de compresión gradual se podría visualizar el apéndice inflamado8. Desde entonces han aparecido numerosas publicaciones confirmando estos hallazgos, tanto en adultos como en niños6,7,9.
La técnica de compresión gradual se basa en que normalmente las asas del intestino y el apéndice se pueden comprimir con una presión moderada, mientras que un apéndice inflamado no se comprime; por otra parte, la compresión gradual elimina el gas y el líquido intraluminal, reduciendo de esta forma la distancia del transductor al apéndice.
Como criterios de apendicitis aguda, clásicamente se han descrito, la existencia de una estructura tubular, con su base en el ciego, no compresible y doloroso a la presión, aperistático, con un diámetro superior a 6 mm medido entre sus paredes externas y que en menos de un 10% de los casos llevará asociado un apendicolito. El hallazgo de un apendicolito en el interior de un apéndice aun de tamaño normal, en un contexto clínico adecuado, va a ser un criterio suficiente para establecer el diagnóstico de apendicitis aguda. Aunque la utilización del Doppler color puede mostrar un aumento del flujo en el apéndice inflamado, la utilización de este criterio no parece aumentar la sensibilidad de la ecografía con escala de grises9.
Al igual que otros autores7, nosotros consideramos que la identificación de un absceso en fosa ilíaca derecha, aun sin apendicolito o apéndice visible, también va a sugerir fuertemente el diagnóstico de apendicitis aguda. La utilización de este criterio puede disminuir ligeramente la especificidad de la prueba, aunque su exclusión disminuiría de manera notable la sensibilidad de la ecografía, por lo que creemos conveniente su inclusión como signo indirecto de apendicitis aguda11.
La no visualización del apéndice no va a ser criterio que nos sirva para excluir la apendicitis aguda. Teniendo en cuenta que la causa más frecuente de la no vi sualización del apéndice es un examen técnicamente inadecuado, creemos conveniente calificar estas exploraciones como no concluyentes, puesto que el dolor intenso, la presencia de abundante gas o una obesidad extrema pueden actuar imposibilitando la correcta visualización del apéndice, y no puede por tanto excluirse dicho diagnóstico13.
En cuanto a los errores más frecuentes cara al diagnóstico14, se encuentran, por una parte, las causas de falsos negativos y, por otra, las de falsos positivos. Como falsos negativos es importante hacer hincapié en la apendicitis focal, en la cual la inflamación no ocurre en toda la longitud del apéndice, sino que sólo se ve afectada una porción de éste, para evitar este falso negativo deberemos estudiar el apéndice en toda su longitud; las apendicitis retrocecales15, que por su localización atípica pueden conducir a error, aunque si se realiza un estudio sistemático esto no debería ser una causa de falso negativo; las apendicitis perforadas, debido a que al salir el contenido fuera de la luz apendicular se pierden algunos de los criterios ultrasonográficos de apendicitis aguda, como la compresibilidad, el dolor o la medida de diámetro máximo; los apéndices rellenos de gas y los apéndices muy engrosados pueden simular un asa ileal inflamada. En lo que respecta a los falsos positivos16, la adenitis mesentérica con la ileítis terminal son las causas de origen en el tubo digestivo más frecuentes de diagnóstico erróneo de apendicitis. Los pacientes tienen fiebre y dolor en fosa ilíaca derecha. La exploración ecográfica evidencia adenopatías mesentéricas agrandadas y engrosamiento de la pared del ileon terminal.
Con todo ello, se puede concluir diciendo que, a pesar de su alta sensibilidad y especificidad (90%), la ecografía en el diagnóstico de la apendicitis aguda solamente sirve como complemento de una historia clínica completa y de un examen físico detallado9.




