Varón de 51 años de edad, fumador de 3 cajetillas diarias de cigarrillos durante 30 años. Padre fumador, fallecido de neoplasia pulmonar, madre fallecida de enfermedad de Alzheimer.
Acude a consulta por presentar edema en el cuello, en la región submaxilar y parotídea; molestias orofaríngeas con edema e hiperemia faringo-amigdalar, adenopatías supraclaviculares derechas.
En la analítica hay una gran leucocitosis (25.000).
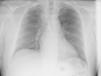
En la radiografía del tórax se observa una gran imagen tumoral parahiliar superior derecha.
Se le remite al hospital, donde es estudiado con TC tóraco-abdominal, fibrobroncoscopia y eco doppler. Se le diagnostica un carcinoma microcítico pulmonar diseminado con obstrucción de la vena cava superior.
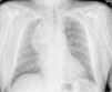
Se indica tratamiento quimio y radioterapéutico. La respuesta inicial es buena: hay mejoría clínica y regresión de la masa pulmonar constatada en la radiografía del tórax.
The case is presented of a 51 year-old man, a smoker of 3 packs of cigarettes per day for 30 years. Father was a smoker, dying of pulmonary neoplasia, and the mother died from Alzheimer disease.
He came to clinic due to having swelling in the neck, sub-maxillary, and parotid region, as well as oropharyngeal discomfort with swelling, pharyngeal-tonsil hyperaemia, and right supraclavicular lymph nodes.
The laboratory results showed a large increase in white cells (25,000).
A large image of an upper right parahilar tumour was observed in the chest X-ray.
He was referred to hospital, where he was studied with a thoraco-abdominal CT scan, fibre-optic bronchoscopy, and Doppler ultrasound. He was diagnosed with disseminated small-cell pulmonary carcinoma with superior vena cava obstruction.
Chemotherapy and radiotherapy was indicated. The initial response was good, with clinical improvement and regression of pulmonary mass observed in the chest X-ray.
Varón de 51 años de edad, fumador de 3 cajetillas diarias de cigarrillos desde hace más de 30 años; fue sometido a tratamiento de desintoxicación por enolismo hace 7 años; ha sido diagnosticado de hipercolesterolemia.
Padre fallecido de neoplasia pulmonar (comenzó con un síndrome de Horner); madre fallecida de enfermedad de Alzheimer.
Acude a consulta por presentar dolor de garganta, edema de la región parotídea y submaxilar, del cuello y de la cara de 2 días de evolución.
La exploración muestra el edema de las regiones antes mencionadas; faringe y amígdalas con gran hiperemia, edematosas; adenopatías supraclaviculares derechas. Auscultación cardiaca: ruidos cardiacos rítmicos de buen tono. Auscultación respiratoria: murmullo vesicular algo disminuido en el hemitórax derecho. No presenta disnea, buen estado general, consciente y orientado.
En la radiografía del tórax (fig. 1) se observa una tumoración adyacente al mediastino superior derecho.
Analítica: leucocitosis (25.000).
Es remitido de forma urgente al hospital con la sospecha clínica de neoplasia pulmonar y síndrome de la vena cava superior (SVCS). Es ingresado para estudio y tratamiento.
Tomografía axial computarizada de tórax sin contraste (debido a la extravasación de contraste intravenoso) (fig. 2): imagen de masa de partes blandas que ocupa gran parte del mediastino superior derecho, que parece extenderse cranealmente hasta la región supraclavicular derecha, compatible con voluminoso proceso neoformativo localmente muy avanzado, que con muy alta probabilidad engloba estructuras mediastínicas, en particular la VCS, compatible con la información clínica; engrosamiento pleural anterior en el lóbulo pulmonar superior derecho (LSD) y nódulo subcisural en el lóbulo inferior derecho; área de afectación pulmonar anterosuperior en LSD sugerente de neumonitis distal o de incipiente linfangitis carcinomatosa; derrame pericárdico y pleural derecho.
Ecografía doppler del cuello (fig. 3): trombosis parcial de la vena yugular interna en la parte que contacta con la masa tumoral conocida; produce igualmente efecto compresivo sobre la vena.
TC de tórax sin contraste. Imagen de masa de partes blandas que ocupa gran parte del mediastino superior derecho, parece extenderse cranealmente hasta la región supraclavicular derecha (voluminoso proceso neoformativo localmente muy avanzado, que engloba estructuras mediastínicas, en particular la vena cava superior, compatible con la información clínica; signos de incipiente linfangitis carcinomatosa; derrame pericárdico y muy discreto pleural derecho).
Con el diagnóstico de SVCS en el contexto de un proceso neoplásico invasivo torácico, es remitido al centro de referencia en nuestra área de salud, donde es valorado conjuntamente por cirugía torácica, neumología y oncología. Se decide tratamiento con poliquimioterapia y radioterapia de urgencia, tras lo que se consigue una notable mejoría.
Se realiza estudio con fibrobroncoscopia y toma de biopsia. Se obtiene como resultado anatomopatológico la presencia de un carcinoma pulmonar de células pequeñas (microcítico).
Dada la mejoría clínica se le da alta hospitalaria con el diagnóstico de carcinoma pulmonar microcítico grado iv y SVCS.
Continúa tratamiento y seguimiento ambulatorio por oncología, con sesiones de quimioterapia. Se observa cierta mejoría, tanto clínica como radiológica en las radiografías de tórax posteriores: reducción significativa de la masa paramediastínica del LSD (fig. 4).
El cáncer microcítico de pulmón es uno de los tumores sólidos más agresivos, por su rápido crecimiento y por su tendencia a metastatizar desde fases tempranas. Sin embargo, también es uno de los tumores más sensibles a los tratamientos de quimioterapia y radioterapia, por lo que algunos pacientes con enfermedad limitada pueden sobrevivir a largo plazo. Estas características han hecho de este tumor una entidad clínica sobre la que se han probado múltiples estrategias de tratamiento, incluyendo tratamientos concomitantes con quimioterapia y radioterapia, esquemas de quimioterapia alternante o de altas dosis con soporte hematológico, o utilización de radioterapia holocraneal profiláctica. Además, en los últimos años, el cáncer microcítico de pulmón también se ha empleado como plataforma de desarrollo de tratamientos bien dirigidos contra dianas específicas, bien de inmunoterapia1–5.
La obstrucción de la VCS puede producirse como consecuencia de la compresión externa por parte del tumor primario, por la de las adenopatías mediastínicas secundarias o por fibrosis secundaria a inflamación o trombosis.
Cuando se presenta dicho síndrome el flujo venoso se deriva a su principal vaso auxiliar (la vena ácigos) y a sus sistemas colaterales (las venas mamarias internas, las venas paraespinales y la red venosa esofágica). Las venas subcutáneas son las vías más importantes, y su ingurgitación en el cuello y el tórax es un hallazgo típico del SVCS.
La aparición de los síntomas depende en gran medida de la rapidez con la que se instaura la obstrucción y de su localización. Si bien es más frecuente la instalación lenta y progresiva del síndrome, si lo hace de forma rápida los síntomas serán más intensos (lo que ocurrió en nuestro paciente)6.
Los síntomas iniciales son cefaleas que aumentan con el decúbito, somnolencia, zumbidos, vértigos y aumento del diámetro cervical5. En algunos casos, cuando es secundario a una trombosis, puede aparecer dolor en la mandíbula, el cuello y el hombro, sin circulación colateral.
Si la compresión perdura se desarrollará cianosis de piel y mucosas en la cara, el cuello y los miembros superiores, hemorragia conjuntival y edema en esclavina (en la cara, el cuello y la parte superior del tórax). Todos estos signos son más evidentes por la mañana, y con el tiempo se ve exoftalmos y macroglosia. En casos graves hay alteración del estado de conciencia. Otros síntomas son ronquera, congestión nasal, epistaxis, hemoptisis, disfagia, dolor, mareos, síncope y aletargamiento.
Durante el examen físico se encuentra distensión de las venas del cuello y presencia de circulación colateral en la pared torácica. El grado de distensión yugular es variable. Puede aparecer el síndrome de Horner por compresión de la cadena simpática en el mediastino6–9.
El diagnóstico del SVCS es clínico. La evaluación inicial del paciente deberá incluir una radiografía de tórax para buscar masas mediastínicas, derrame pleural, colapso lobular o cardiomegalia10.
La tomografía axial computarizada ofrece información diagnóstica más útil y puede definir la anatomía de los ganglios mediastínicos afectados; es el examen diagnóstico de elección para evaluar la anatomía del mediastino y la estructura de la VCS. Ubica con exactitud el sitio de la obstrucción y puede servir como guía para la toma de biopsia por mediastinoscopia, broncoscopia o aspiración con aguja fina.
El tratamiento es de la causa subyacente, y además se han de tener en cuenta otras medidas generales: evitar el decúbito, reposo en posición semisentado, oxígeno, diuréticos, dieta hiposódica, corticoides...
Es indispensable identificar a los pacientes que requieren abordaje urgente (edema cerebral, obstrucción de la vía aérea por compresión de la tráquea o por edema de las vías respiratorias, gasto cardiaco disminuido por disminución del retorno venoso…).





