La osteomalacia es una enfermedad ósea metabólica que se caracteriza por un defecto en la mineralización de la matriz ósea. La osteomalacia tumoral (OT), o inducida por tumores, es un síndrome paraneoplásico raro. El diagnóstico se basa en la evaluación clínica, las alteraciones bioquímicas y la identificación del tumor1,2. El objetivo de nuestro estudio es describir las características epidemiológicas y clínicas de 2 pacientes adultos diagnosticados de osteomalacia hipofosfatémica tumoral, valorados durante el periodo 2012 a 2017 en el área sanitaria de Lugo.
Se han revisado las historias clínicas de pacientes mayores de 18 años, valorados en el servicio de reumatología, con diagnóstico de osteomalacia hipofosfatémica tumoral desde enero de 2012 a diciembre de 2017. Nuestro hospital atiende a una población de 250.000 habitantes y, por sus características, el servicio de reumatología no ofrece asistencia pediátrica. Fueron excluidos todos aquellos pacientes con historia familiar de trastornos hipofosfatémicos y aquellos en los que no se disponía de diagnóstico anatomopatológico. Para la evaluación pronóstica todos los pacientes tenían un seguimiento de al menos 6 meses. Este estudio fue aprobado por el comité local de investigación y todos los pacientes firmaron el consentimiento informado para su inclusión.
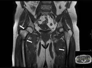
En el periodo de estudio se encontraron 2 casos de osteomalacia hipofosfatémica tumoral, lo que refleja una incidencia de 0,8 por cada 100.000 habitantes en 6 años, es decir, una incidencia anual acumulada de 0,13/100.00 habitantes. La media de edad de presentación fue de 53 años (49-57 años) y todos los casos fueron mujeres. Tanto el primer como el segundo caso comenzaron con dolores óseos, aunque posteriormente el primer caso presentó fractura de pie izquierdo, cadera derecha y diáfisis de ambos fémures (fig. 1). Los 2 casos presentaban hipofosfatemia y niveles elevados de FGF-23 al comienzo. El retraso promedio en el diagnóstico fue de 16 meses. En ambos casos los tumores fueron detectados en la exploración física y presentaron captación patológica en gammagrafía con receptores de somatostatina. En el primero de los casos el estudio se completó mediante tomografía axial computarizada facial y resonancia magnética nuclear cerebral. Ambos tumores se localizaron en partes blandas, el primero al nivel del maxilar superior derecho (con un diámetro de 2cm) y el segundo en la región pretibial izquierda (con un diámetro 0,8cm). El primer caso fue diagnosticado inicialmente de tumor desmoide, siendo posteriormente reclasificado como tumor fosfatúrico mesenquimal variante del tejido conectivo (PMTMCT). En el segundo caso las características anatomopatológicas se correspondieron con un angioleiomioma. Ambos pacientes recibieron inicialmente tratamiento con suplementos de calcio y vitamina D para posteriormente practicarle exéresis quirúrgica. Tras la cirugía se produjo normalización de los síntomas y de los niveles de FGF 23 ya a los 20 y 30 días, respectivamente. Ninguno de los pacientes presentó recidiva.
La osteomalacia hipofosfatémica tumoral es una entidad poco estudiada que supone un reto diagnóstico para el clínico. La población de especial alerta está constituida por mujeres de mediana edad, con dolores óseos e hipofosfatemia. La hipofosfatemia e hiperfosfaturia, junto con calcemia y niveles de PTH normales y bajos, o inapropiadamente normales de 1,25(OH)2 vitamina D, pueden ayudar en la sospecha diagnóstica. La fosfatasa alcalina puede estar elevada. Dado que los tumores causantes de OT producen FGF-23 es esencial su determinación, encontrándose elevado en la mayoría de los pacientes3. Radiográficamente, y principalmente en aquellos pacientes con retraso en el diagnóstico, pueden observarse fracturas por fragilidad. La gammagrafía con octreótido es un método diagnóstico efectivo en la localización del tumor, a veces complementado con la tomografía axial computarizada o la resonancia magnética nuclear para determinar la extensión y el abordaje quirúrgico. A nivel anatomopatológico, y al igual que en nuestro primer caso, es frecuente una incorrecta clasificación4. En este sentido, la mayoría de los tumores causantes de OT son PMTMCT (83%). El estudio anatómico del tumor por personal entrenado permite su correcta clasificación con hallazgos morfológicos e histoquímicos característicos. El tratamiento quirúrgico es la opción terapéutica de elección. Sin embargo, en casos que no puede ser extirpado o la resección sea incompleta es preciso tratamiento médico con suplementos de fosfato y calcitriol. Es posible la recurrencia local o a distancia5, por lo que siempre se debe realizar un seguimiento a largo plazo de estos pacientes.



