Estudio retrospectivo de un paciente sano que acude a un centro de urgencias con un cuadro de vértigos de larga evolución y pérdida ocasional de la visión de unos segundos de duración. Se le realiza una exploración física con resultado normal y se decide realizar pruebas con técnicas de imagen para valorar un posible origen neurológico.
We review the imaging findings in an otherwise healthy patient presenting with longstanding vertigo and occasional loss of vision lasting for seconds. The findings at physical examination were normal and imaging tests were requested to evaluate a possible neurologic origin.
Varón de 71 años, que acude al médico por vértigos de larga evolución y pérdida ocasional de visión total, de unos segundos de duración. No presenta hipertensión arterial.
Se solicita tomografía computarizada (TC) craneal. No se administra contraste por la negativa del paciente.
Se solicita resonancia magnética (RM) craneal para completar el estudio diagnóstico.
Se le realiza un estudio de RM craneal en planos sagital Spin Eco (SE) T1 y axial mediante secuencias SE T1, Turbo Spin Eco (TSE) T2, gradiente de eco (GRE) T2 y FLAIR.
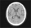
Hallazgos de imagenLas imágenes de TC muestran la presencia de múltiples estructuras de aproximadamente 1cm de diámetro máximo, que se localizan en la zona de la protuberancia, en el hemisferio cerebeloso derecho, en la región temporal derecha e izquierda y en la región parietal derecha yuxta-atrial (figura 1 y figura 2).
Figura 1. Imagen de tomografía computarizada. Se observan las diferentes lesiones, y la más grande está situada en la zona de la protuberancia.
Figura 2. Imagen de tomografía computarizada en la que se aprecian las lesiones en la región parietal derecha yuxta-atrial, entre otras.
Estas imágenes se han obtenido sin contraste, por lo que las zonas hiperdensas se deben a componente de calcio, lo que lleva a pensar que son antiguas.
El examen por RM pone de manifiesto la existencia de múltiples imágenes de hemorragia antigua en la sustancia blanca supratentorial e infratentorial. No se identifican signos de hemorragia reciente.
Las lesiones se encuentran en múltiples localizaciones y de diferentes tamaños.
Las imágenes T1SE (figura 3 y figura 4) muestran áreas hipointensas y en las GRE T2 se observar una hipointensidad muy marcada, debido al artefacto de la sangre (figura 5).
Figura 3. Imagen sagital Spin Eco T1 en la que se aprecian las lesiones en la zona temporal y parietal.
Figura 4. Imagen axial Spin Eco T1 en la que se aprecia la lesión en la zona de la protuberancia.
Figura 5. Imagen transversal gradiente de eco T2 que pone de manifiesto otras lesiones más pequeñas.
DiscusiónLas imágenes de la TC sin contraste son hiperdensas. Ello se debe a la acumulación de calcio en las lesiones estudiadas, lo que hace pensar que se puedan tratar de lesiones que en un momento u otro hallan sangrado, y con el paso del tiempo se hallan formado las calcificaciones (que es uno de los signos patognomónicos del diagnóstico diferencial de los cavernomas). Otro de los signos patognomónicos de este tipo de lesiones es el número de ellas y su localización. En el momento en que aparecen varias lesiones, se puede pensar en una cavernomatosis, pero si es una lesión única o existen pocas, se podría pensar en una malformación arteriovenosa.
En el contexto del paciente, al haber un número elevado de lesiones y con áreas calcificadas, se realiza un primer diagnóstico de cavernomatosis, pero se solicita la realización de una RM para poder efectuar el diagnóstico diferencial.
La TC es muy rápida y permite realizar diagnósticos en un período muy breve, y es una herramienta verdaderamente eficaz en muchos diagnósticos, pero hay cierto tipo de enfermedades en las que tiene una sensibilidad y especificidad bajas para su diferenciación. Los cavernomas son una de esta afecciones en la que la RM puede aportar, por su alta sensibilidad, el diagnóstico diferencial1.
Los elementos metálicos o con componente ferromagnético producen un artefacto en la imagen en forma de vacío de señal. Cuando se produce una hemorragia, la hemoglobina de la sangre queda libre en el parénquima cerebral y pasa por diferentes fases de degradación, que la RM es capaz de valorar. Debido a esta degradación, la hemoglobina se acaba transformando en hemosiderina, cuyo componente es más ferromagnético en esta forma2.
Este fenómeno se aprovecha en RM para poder diagnosticar las pequeñas hemorragias mediante secuencias altamente sensibles a los materiales ferromagnéticos. La secuencia más utilizada es la GRE T22.
DiagnósticoCavernomatosis múltiple. Malformación arteriovenosa. Aneurisma.
AgradecimientosQueremos expresar nuestro agradecimiento al Dr. Amadeu Muntané, neurorradiólogo de la Clínica Sagrada Familia (Barcelona) y al Dr. Carlos Majós, neurorradiólogo de la Clínica Sagrada Familia y del Hospital Duran i Reynals (Barcelona).
Conflicto de interesesEl autor declara no tener ningún conflicto de intereses.
Recibido 18 Enero 2010
Aceptado 15 Marzo 2010







