Las calcificaciones mamarias son un hallazgo radiológico muy frecuente en las mamografías. Sus formas de presentación en la imagen son muy diversas. Pueden manifestarse como hallazgos radiológicos benignos que no precisen seguimiento, hasta imágenes con alta probabilidad de malignidad que precisen estudio histológico y tratamiento posterior.
Breast calcifications are a frequent radiological finding on mammograms. Their characteristics in the x-ray image are very diverse and the diagnosis can vary from benign findings, that do not require follow up pathology, to a high probability of malignancy and a histological study that requires further treatment.
Las calcificaciones mamarias se originan por el depósito de calcio en el tejido mamario1.
La mayoría de calcificaciones que se encuentran en las mamografías reflejan una causa benigna, como son las calcificaciones cutáneas, las calcificaciones vasculares, las calcificaciones de secreción láctea, los fibroadenomas calcificados… En un porcentaje inferior se asocian al carcinoma ductal in situ (CDIS), y en menor frecuencia se relacionan con el carcinoma ductal infiltrante (CDI). Para el técnico/radiólogo es importante conocer los patrones de presentación de las calcificaciones, ya que estos le permitirán discriminar, en una primera valoración, las típicamente benignas, evitando así pruebas complementarias innecesarias y disminuyendo el estado de ansiedad de la paciente.
En el estudio de las calcificaciones se valora la forma, el número, la distribución y las anomalías asociadas2.
Leborgne describió en 1951 por primera vez la presencia, en mamografías, de calcificaciones asociadas al cáncer de mama3.
En general, el 50% de los cánceres de mama están asociados a calcificaciones3. En el CDIS, constituyen la forma de presentación más frecuente.
Los estudios que se presentan se realizaron con un mamógrafo digital directo HOLOGIC (Lorad Selenia) y se incluyeron las mamografías realizadas por cribado poblacional y las de asistencia.
Hallazgos radiológicosLos avances en la técnica mamográfica y la mayor resolución de los mamógrafos actuales han permitido una mejor visualización de las calcificaciones mamarias3, las cuales son benignas en un elevado porcentaje.
La mamografía es una prueba diagnóstica no invasiva y asequible que nos permite hacer un diagnóstico adecuado.
A continuación se describen las características de los diferentes tipos de calcificaciones.
Según su disposición en el parénquima mamario, se distinguen los siguientes términos:
- -
Difusa: las calcificaciones se distribuyen aleatoriamente por toda la mama.
- -
Regional: calcificaciones dispersas en una extensión mayor de 2cm.
- -
Agrupadas: se usa este término cuando hay 5 o más calcificaciones en una extensión inferior a 1cm.
- -
Lineal: las calcificaciones se disponen en forma lineal normalmente siguiendo el recorrido de un conducto.
- -
Segmentaria: son depósitos de calcio en los ductos y sus ramas. Esta disposición de las calcificaciones sugiere la posibilidad de cáncer de mama en un lóbulo o segmento de esta4.
Según su grado de sospecha se clasifican en:
- -
Calcificaciones típicamente benignas.
- -
Calcificaciones indeterminadas.
- -
Calcificaciones altamente sospechosas de malignidad.
Radiológicamente se caracterizan por ser calcificaciones redondeadas u ovoides, tubulares voluminosas, pequeñas de bordes nítidos (hasta 0,5mm) y groseras de bordes nítidos5.
Dentro de este grupo encontramos:
- -
Calcificaciones cutáneas.
- -
Calcificaciones vasculares.
- -
Calcificaciones con centro radiolucente.
- -
Calcificaciones en cáscara de huevo.
- -
Calcificaciones en palomita de maíz.
- -
Calcificaciones de secreción láctea.
- -
Calcificaciones de suturas.
- -
Calcificaciones distróficas.
Suelen ser secundarias a procesos crónicos como una foliculitis de bajo grado. A menudo se encuentran localizadas en las glándulas sebáceas. Tienen forma anular un centro translúcido y suelen ser periféricas y estar aisladas5. Principalmente se sitúan en los cuadrantes internos de la mama, cerca de la pared torácica. En ocasiones las calcificaciones pueden proyectarse superpuestas sobre el parénquima mamario, y en estos casos la proyección tangencial en el área nos confirmará el diagnóstico.
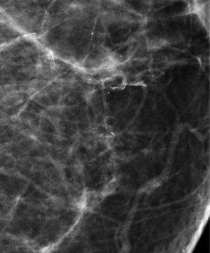
Calcificaciones vasculares (fig. 2)El depósito de calcio en el perímetro de las fibras elásticas de las paredes arteriales genera calcificaciones densas, lineales y paralelas que siguen el trayecto tortuoso de un vaso5.
Calcificaciones distróficasEste tipo de calcificaciones se forman en el tejido fibroso del estroma. Pueden tener tamaño, forma y densidad variables.
Se presentan como calcificaciones groseras, densas, voluminosas y de forma irregular5.
En este grupo se encuentran: la necrosis grasa, las calcificaciones intraquísticas, la mastitis de células plasmáticas y el fibroadenoma calcificado.
Necrosis grasa (fig. 3). La liberación de sustancias adiposas, causada por un traumatismo o intervención quirúrgica, puede provocar reacción inflamatoria y posteriormente calcificaciones distróficas de aspecto grosero y bordes irregulares2-6. Clínicamente puede presentarse como una masa indurada. La forma de presentación más típica son los quistes oleosos (fig. 4), que son lesiones radiotransparentes con calcificación periférica (en cáscara de huevo) secundaria a la calcificación de las paredes de los quistes.
Calcificaciones intraquísticas (fig. 5). Son calcificaciones dentro de quistes. Tienen como característica principal que presentan un aspecto diferente en las distintas proyecciones: son amorfas en la proyección cráneo-caudal y curvilíneas (en forma de taza) en la proyección lateral (90°)3.
Mastitis de células plasmáticas (fig. 6). Es un proceso inflamatorio ductal y periductal. Las calcificaciones aparecen como resultado tardío de la enfermedad secretora. Suelen ser bilaterales, de forma lanceolada y bordes lisos, y se distribuyen orientadas hacia el pezón siguiendo la dirección de los conductos galactóforos1-3.
Fibroadenoma calcificado (fig. 7). Los fibroadenomas son lesiones frecuentes en mujeres jóvenes. En la menopausia tienden a involucionar y en fases más tardías la hialinización del fibroadenoma suele formar calcificaciones típicas, grandes y groseras (en forma de palomita de maíz)1-3.
Calcificaciones indeterminadasEn este grupo de calcificaciones se incluyen aquellas que por su aspecto radiológico no se pueden caracterizar en una primera valoración.
Su aspecto suele ser de calcificaciones amorfas, e incluso pueden cumplir algún criterio de malignidad. Según el grado de sospecha se debe realizar control periódico estricto para confirmar su estabilidad o estudio histológico mediante biopsia.
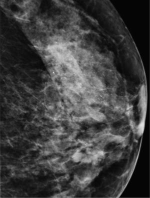
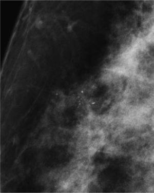
Las calcificaciones indeterminadas, como las demás, pueden ocupar una zona extensa de la mama (fig. 8), ser segmentarias (cuando ocupan un segmento) o estar agrupadas (fig. 9)6.
Como su nombre indica, son calcificaciones que hacen sospechar un proceso neoformativo subyacente.
Pueden aparecer de forma aislada o asociadas a una masa palpable o a una distorsión del parénquima mamario.
Gershon-Cohen y colaboradores describieron este tipo de calcificaciones como calcificaciones agrupadas, de tamaño entre 0,1 y 0,3mm, de forma irregular, pleomórficas y en ramificación lineal fina3.
Carcinoma ductal in situ (fig. 10). Es el carcinoma que con mayor porcentaje se presenta en forma de microcalcificaciones. Representa el 15-20% de los cánceres de mama3. Se detecta por mamografía más que por exploración clínica. Las microcalcificaciones corresponden a la necrosis central de la neoplasia, ocupan el conducto y son producidas por procesos proliferantes en los conductos terminales7. Suelen ser amorfas, espiculadas y con ramificaciones irregulares.
Carcinoma ductal infiltrante (fig. 11). Es la neoplasia más frecuente en la mama. En un porcentaje inferior al carcinoma ductal in situ también se puede presentar en forma de microcalcificaciones.
Conclusión- -
La presencia de calcificaciones es muy frecuente en la mamografía. El conocimiento de su aspecto radiológico es muy importante, dado que un elevado porcentaje corresponden a lesiones benignas y que el 50% de los cánceres de mama se asocian a calcificaciones3.
- -
La mamografía es una exploración diagnóstica no cruenta y asequible con la que podemos tipificar, en un alto porcentaje, las calcificaciones benignas sin necesidad de practicar pruebas diagnósticas más invasivas innecesarias.
- -
Las calcificaciones indeterminadas pueden cumplir algún criterio radiológico de malignidad, por lo que o bien deberán seguir controles mamográficos estrictos para confirmar su estabilidad o bien se deberán biopsiar, según el grado de sospecha.
- -
Las calcificaciones altamente sospechosas de malignidad deben ser biopsiadas siempre para confirmar o descartar su origen neoplásico.
Los autores declaran no tener ningún conflicto de intereses.
Expresamos nuestro agradecimiento al equipo médico de la unidad de mama del servicio de Diagnóstico por la Imagen del Consorci Hospitalari de Terrassa por la colaboración en esta publicación.













