En este trabajo se presenta una evaluación de la calidad diagnóstica de imágenes de tomografía computarizada, procesadas con un filtro bilateral (FB). El ruido en las imágenes fue simulado agregando ruido estadístico y modificando el nivel de intensidad para dar una desviación estándar correspondiente a diferentes valores de corriente del tubo. La exactitud diagnóstica de las imágenes fue evaluada a través del análisis ROC y LROC. Se encontró que los cambios que promueve el FB provocan una mejoría en la capacidad de detección y localización de los observadores. Los resultados de este trabajo revelaron que el FB puede disminuir el ruido de las imágenes y aun garantizar una buena calidad en el diagnóstico. Un análisis de observadores como el realizado con el filtro bilateral permite la evaluación del nivel de ruido aceptable en imágenes diagnósticas.
This paper presents an evaluation of diagnostic quality of Computed Tomography images, using a bilateral filter (BF). The image noise was simulated by adding statistical noise and changing the level of intensity in order to obtain a standard deviation corresponding to different values of tube current. The diagnostic accuracy of the images was evaluated using ROC and LROC analysis. It was found that the action of the BF on noise leads to an improvement in detection capability and location by the observers. The results of this study show that the BF can reduce image noise and still ensure good diagnostic quality. An analysis with observers, like the one carried out with the bilateral filter, is useful in assessing the level of acceptable noise by diagnostic images.
El advenimiento de la tomografía computarizada (TC) ha revolucionado el diagnóstico radiológico. Desde sus inicios en los años setenta, su uso ha aumentado rápidamente y se ha convertido en la técnica de opción para una gama amplia de indicaciones, debido a la oportuna y fiable información de diagnóstico que proporciona.
Sin embargo, a pesar de la clara evidencia de que la TC proporciona información muy valiosa para el diagnóstico y el tratamiento del paciente, existe un riesgo potencial por el uso de radiación ionizante, la cual podría inducir malignidad en pacientes que son expuestos a esta1.
Una de las principales preocupaciones en este momento es el aumento del número de estudios de TC que se están realizando en todo el mundo, especialmente en los países desarrollados. La frecuencia y el tipo de estudios, así como la dosis por estudio están aumentando mundialmente hasta el punto en que la dosis por TC constituye del 60 al 70% de la dosis al paciente en varios centros de referencia de los EEUU, por solo citar un ejemplo2.
El beneficio de un diagnóstico acertado y a tiempo justifica el uso de esta técnica. A pesar de esto, es importante disminuir las dosis de radiación particularmente en niños y pacientes jóvenes, que, si son expuestos a estas radiaciones múltiples veces durante su vida, podrían acumular una dosis significativa de radiación ionizante, que a su vez podría desembocar en un mayor riesgo3.
Sin embargo, la calidad de la imagen es proporcional a la dosis de radiación, por lo cual una reducción de la dosis trae consigo una pérdida de información útil en la imagen y de precisión del diagnóstico que realiza el especialista. El problema radica en que al disminuir las dosis de radiación en la TC, se aumenta la cantidad de ruido en las imágenes. Como consecuencia, el ruido puede ocultar detalles anatómicos y disminuir la detectabilidad de lesiones.
Para disminuir el ruido en las imágenes se han propuesto diferentes algoritmos y métodos matemáticos. Entre estos destacan algoritmos que filtran directamente las proyecciones de rayos X, o las imágenes reconstruidas4–6.
Procesar las imágenes reconstruidas en lugar de las proyecciones tiene ventajas prácticas: las imágenes están disponibles para cualquier usuario, los métodos son aplicables a cualquier tipo de escáner sin importar el fabricante y su funcionamiento usualmente no demanda alta capacidad computacional.
El filtro bilateral (FB) fue propuesto en 1995 por Tomasi y Manduchi, y es capaz de preservar los bordes de la imagen y disminuir el ruido en regiones uniformes7,8. El FB ha sido usado para filtrar imágenes de TC, al igual que otros métodos como el de la transformada Wavelet y el de las medias no locales, demostrando estos últimos ser computacionalmente más lentos por requerir una cantidad mayor de operaciones9–12.
En este trabajo se evaluó la calidad diagnóstica de imágenes procesadas con un FB. El ruido en las imágenes fue simulado agregando ruido estadístico; alterando el nivel de intensidad para dar una de desviación estándar correspondiente a diferentes valores de corriente del tubo (mAs).Para tener una estimación de la exactitud diagnóstica de las imágenes se utilizaron los análisis ROC y LROC
Desarrollo experimentalFiltro bilateralLa idea principal del FB es que cada píxel se procesa teniendo en cuenta un criterio de distancia espacial así como una medida de la diferencia en intensidades de grises7,8. Si la intensidad es parecida, de acuerdo con un parámetro predefinido, los píxeles efectivamente tratarán de igualar sus intensidades. Si las intensidades son muy distintas (por ejemplo, en los bordes de una imagen), ambos píxeles preservarían sus intensidades originales. A continuación, se presenta la ecuación del filtro bilateral7,8:
donde k es la posición del píxel a procesar y n es el píxel con el que se compara el píxel k. El resultado para cada píxel de salida y[k] depende de cada píxel de entrada x[k] multiplicado por un factor W[k,n] que tiene en cuenta los píxeles vecinos. El factor W[k,n] proviene del producto de los parámetros de 2 subfactores que incluyen los pesos de distancia espacial y de intensidad de grises. Las ecuaciones [2] y [3] muestran estos subfactores.De estas expresiones es posible notar que los 2 parámetros clave para el filtro bilateral son σs y σi, que controlan los pesos espaciales y de intensidad respectivamente7.
La implementación de este filtro se realizó a través del software Matlab 2009a.
Imágenes utilizadasEl conjunto de imágenes utilizado se obtuvo a través de la técnica de tomografía computarizada (TC) de un equipo modelo Sensation Cardiac 64 de la firma Siemens, la dimensión de las imágenes es de 512 × 512 píxeles.
Se utilizaron 100 imágenes, todas con presencia de accidentes cerebrovasculares, de las cuales 56 casos eran de pacientes con presencia de algún proceso patológico y 44 de pacientes sanos. De cada imagen se tienen datos clínicos e información acerca del tamaño, localización anatómica, diagnóstico y resultados de otros exámenes.
Simulación del ruido en las imágenesLa simulación de la reducción de corriente del tubo (mAs) es una herramienta que opera sobre los datos de las imágenes. La técnica de simulación utilizada en este trabajo se basa en un modelo que añade ruido gaussiano a las imágenes originales para simular una reducción de la corriente del tubo. La cantidad de ruido añadido a las imágenes simula el aumento del ruido que se produciría en las imágenes realmente obtenidas con menores niveles de corriente del tubo. La metodología utilizada parte de determinar la cantidad de ruido que hay que añadir en la imagen a simular, partiendo del conocimiento del ruido en la imagen a simular (σe1) y en una imagen obtenida a un nivel de exposición más bajo (σe2), que sería el nivel de ruido que se quiere simular. A través de la siguiente ecuación se puede calcular el ruido a agregar:
Donde σa2 es el ruido a añadir en la imagen .Esta técnica ha sido descrita en detalle por Britten et al.13.
Para la obtención de los diferentes valores de corriente del tubo se modificó, a través de la consola del equipo, el miliamperaje×segundo (mAs), que es un factor operacional del equipo. Los valores de mAs obtenidos para la simulación fueron de 380, 336, 272, 209 y 145, los cuales corresponden a valores de CTDIVOL de 59,66; 52,82; 42,65; 32,88 y 22,90 mGy respectivamente.En la figura 1 se observa la relación entre estos parámetros.
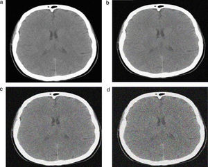
Las imágenes originales obtenidas a los niveles de referencia fueron procesadas a través del software Image J 1.43u. Este software modifica las imágenes ya adquiridas agregando el ruido a partir de la desviación estándar para generar las imágenes simuladas a diferentes valores de mAs (fig. 2).
Diseño experimentalCon el objetivo de estimar la calidad diagnóstica de las imágenes filtradas, se llevó a cabo el análisis de curvas ROC y LROC. Los análisis ROC y LROC son dos de las herramientas analíticas más importantes para caracterizar el desempeño humano en una tarea de análisis de imágenes.
Las 56 imágenes de pacientes con alguna anormalidad y 44 de pacientes sanos fueron distribuidas en 4 niveles de mAs, cada uno con 25 imágenes, 14 patológicas y 11 negativas o no patológicas.
La localización de las lesiones fue determinada por 3 especialistas con más de 5 años de experiencia. Las regiones seleccionadas fueron evaluadas bajo 3 propiedades:
Área: El número real de píxeles en la región.
Orientación: Ángulo que forma el eje X con el eje máximo de la elipse que contiene a la región.
Centroide: Centro de masa de la región. A cada localización realizada por los observadores se le determinaron estas propiedades. Para determinar el tipo de localización, correcta e incorrecta, se concretó una zona de aceptación a través del promedio de varias localizaciones realizadas por los especialistas (se determinó el valor medio±desviación estándar). En el caso del centroide, se determinó un radio de aceptación dentro del cual estarían las localizaciones correctas. La metodología utilizada ha sido propuesta por algunos autores para la construcción de curvas ROC de localización14–16.
Cada observador evalúa las 25 imágenes de cada valor de mAs sin tener conocimiento del índice de dosis al que fueron obtenidas. La evaluación se llevó a cabo teniendo en cuenta los siguientes niveles de certeza: Seguramente Anormal (SA), Probablemente Anormal (PA), Probablemente Normal (PN) y Seguramente Normal (SN) para las curvas ROC y Seguro, Probable, Posible y Dudoso para las curvas LROC.
Los observadores utilizados fueron 3 radiólogos con más 2 años de experiencia. Se realizaron 10 experimentos de forma independiente, con un tiempo de 10min./experimento y con una o 2 semanas de diferencia para repetir cada experimento.
Para calcular los grados de acuerdo inter– e intraobservador se utilizó el coeficiente de correlación intraclase propuesto por Bland y Altman17, descrito por la expresión:
donde SSB y SST son la suma de cuadrados entre sujetos y la suma total de cuadrados respectivamente, obtenidas de un modelo de análisis de varianza (ANOVA) y m el número de mediciones. El CCI reporta el grado de acuerdo según la escala propuesta por Landis y Koch18.
DiscusiónEn este trabajo se implementó un FB con el propósito de evaluar la capacidad de este para mejorar el diagnóstico por imagen. El FB permite disminuir considerablemente el ruido en imágenes de TC. Los resultados de algunos trabajos plantean que posprocesar imágenes con el FB puede ser una alternativa viable para disminuir las dosis de radiación en la TC8.
En la tabla 1 se compara la evaluación realizada por los observadores antes y después de aplicar el filtro a las imágenes. La detección y localización de lesiones se ve afectada por la disminución del valor de mAs. Después de aplicar el filtro a las imágenes, la disminución del ruido ayuda a mejorar la detección y localización de las lesiones.
Área bajo la curva ROC y LROC antes y después de aplicar el filtro a las imágenes
| mAs | ABCROC±EE | ABCLROC±EE | ||
| Antes | Después | Antes | Después | |
| 336 | 0,90±0,05 | 0,94±0,05 | 0,87±0,05 | 0,90±0,06 |
| 272 | 0,85±0,07 | 0,91±0,06 | 0,80±0,05 | 0,88±0,07 |
| 209 | 0,80±0,08 | 0,87±0,07 | 0,75±0,06 | 0,89±0,07 |
| 145 | 0,77±0,1 | 0,85±0,07 | 0,67±0,08 | 0,87±0,07 |
ABCLROC: área bajo la curva LROC; ABCROC: área bajo la curva ROC; EE: error estándar; mAs: miliamperaje×segundo.
Las diferencias medias entre la evaluación antes y después de aplicar el filtro fueron de 0,06 unidades de área para el área bajo la curva ROC(ABCROC) lo cual significa que la capacidad de clasificar correctamente una lesión aumentó un promedio del 6%. La diferencia media para el área bajo la curva (ABCLROC) es de 0,10 unidades de área (aumenta en un 10%).
El grado de acuerdo intra e interobservador para el caso del análisis ROC fue de 94,33 y 93,45% respectivamente, y en el caso del análisis LROC 95,23 y 94,15%.
El efecto del FB sobre las imágenes puede ser observado a través de los perfiles de intensidad atravesando un área afectada por una lesión (fig. 3a y b).
Como puede observarse hay una gran variabilidad en los niveles de intensidad a medida que disminuye el mAs, debido a un aumento del ruido (fig. 3A). Después de aplicar el FB el desempeño de los perfiles cambia, obteniéndose un comportamiento similar para todos los valores de mAs (fig. 3B). La variabilidad de los niveles de intensidad disminuyó por el efecto que tiene el filtro sobre el ruido.
Otro aspecto importante en estos perfiles es que la variación en los valores de intensidad afecta los bordes de las lesiones, lo cual está relacionado con la variación en la exactitud de la localización de las estructuras anatómicas. Estos cambios que promueve el FB provocan una mejoría en la capacidad de detección y localización de los observadores.
La tabla 2 muestra los valores de algunas medidas objetivas bivariadas. Las medidas de tipo bivariadas comparan la imagen original con la que ha sido procesada para brindar un estimado de cuánta distorsión se ha introducido por la acción del procesamiento realizado. Las medidas utilizadas son el índice de similitud estructural19 (SSIM), el índice de similitud estructural basado en el borde20 (ESSIM), la diferencia media absoluta21 (MAD) y la relación señal –ruido (RSR)22, tomada como la media en una región de interés (ROI) en la imagen de referencia sobre la desviación estándar en la ROI de la imagen diferencia entre la de referencia y la simulada.
Medidas objetivas de las imágenes con ruido y después de aplicar el filtro bilateral
| Medidas objetivas | Imágenes con ruido | Imágenes filtradas con filtro bilateral |
| SSIM | 0,7288 | 0,9998 |
| ESSIM | 0,9963 | 0,9992 |
| MAD | 6,4424 | 0,0368 |
| RSR | 7,3689 | 14,6784 |
ESSIM: similitud estructural basada en el borde; MAD: diferencia media absoluta; RSR: relación señal-ruido; SSIM: similitud estructural.
En la tabla se observa el efecto del FB sobre las imágenes simuladas a 209 mAs, valor a partir del cual se observa una baja exactitud en la localización de las lesiones.
Como es de esperar, la RSR aumenta debido a la capacidad que tiene este filtro para reducir cuantiosamente el ruido en las imágenes. Esto provoca un incremento en el SSIM al igual que en el ESSIM y una disminución en la MAD. Los valores de estas medidas objetivas nos indican que en las imágenes filtradas se restituye la calidad de la imagen, llegando a ser muy cercana a la de los niveles de referencia.
Referente a la cantidad de dosis que podría disminuirse, cabe mencionar que el nivel de referencia para el índice de dosis volumétrico (CTDIVOL) en el protocolo de cabeza es de 60mGy el que representa un mAs de 380 en el equipo utilizado. Los valores de mAs utilizados corresponden a una disminución de dosis del 20% (52,82 mGy), 29% (42,65mGy), 45%(32,88mGy) y 62% (22,90mGy).
En la tabla 1 se observa que para el menor valor de mAs (145mAs) que representa una disminución del 62% de la dosis, después de aplicar el filtro, el ABCROC presenta valores similares a cuando hay solo una disminución de la dosis del 29%; un comportamiento similar tiene también el ABCLROC que pasa de una disminución del 62% hasta 20%. Estos resultados sugieren que es posible disminuir la dosis de radiación sin afectar en cierto modo el diagnóstico realizado por los especialistas.
Estudios realizados con el FB en maniquíes sugieren que es posible disminuir la dosis de radiación a la mitad o más y mantener elementos cuantitativos de la imagen semejantes a adquisiciones con el 100% de la dosis de referencia8. Otros análisis, teniendo en cuenta otros factores operacionales que también influyen en la percepción visual, son necesarios para demostrar desde el punto de vista de la percepción de los observadores que la disminución del ruido puede traducirse en la reducción de la dosis de radiación.
Conflicto de interesesLos autores declaran no tener ningún conflicto de intereses.












