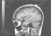
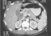
Sr. Director: Presentamos un caso de sarcoma de Swing que afecta al páncreas, que se inició con manifestaciones neurológicas. Varón de 23 años de edad, que consulta por un episodio brusco de diplopía, con desviación de la mirada hacia la izquierda, sin pérdida de visión ni dolor ocular previo. Presentaba antecedentes de faringoamigdalitis pultácea 2 meses previamente al inicio de la clínica. Los antecedentes familiares son irrelevantes. El paciente acudió al oftalmólogo, quien observó una paresia del recto externo izquierdo, con fondo de ojo normal y retina normal. Fue valorado por el servicio de neurología donde se solicitó una tomografía computarizada (TC) craneal y una resonancia magnética (RM), en las que se observaron lesiones osteolíticas en la calota. Se remite al paciente al servicio de medicina interna para su estudio. Refería dolor en la rama iliopubiana derecha de 2 meses de evolución, que aparece en reposo y empeora con la marcha, de predominio vespertino y nocturno. Tres días previos a su ingreso presentaba un dolor periumbilical no irradiado tras la ingesta. En la exploración destaca un ligero tinte ictérico, una parálisis del VI par izquierdo, y presencia en la calota craneal de pequeñas tumoraciones de 1-2 cm, dolorosas. El resto de la exploración fue normal. La analítica con hemograma era normal, la velocidad de sedimentación globular de 3 mm/h, la coagulación normal, la bioquímica con perfil renal normal y un patrón de colestasis extrahepática. Las determinaciones tiroideas eran normales, así como la radiología de tórax. En la radiología de pelvis presentaba lesiones líticas en la pala ilíaca derecha. Se solicitó una TC craneal, en la que se observan lesiones líticas en la calota craneal, que afectan la tabla interna, parietales y situadas bilateralmente en el vértice orbitario izquierdo. La RM craneal revelaba lesiones periostóticas en la fosa posterior del lado izquierdo, parietal izquierdo (con crecimiento intra/extra craneal con disfunción cortical) y en la convexidad (fig. 1). Se realizó una ecografía abdominal, en la que se observaba una mínima dilatación de la vía biliar extrahepática, que acababa abruptamente en la porción suprapancreática. El páncreas presentaba una dilatación del Wirsung con estructuras seudonodulares. Se realizó una colangiopancreatiografía retrógrada endoscópica (CPRE), en la que se observó una doble estenosis biliar y pancreática de origen indeterminado, sin que se pudiera colocar una endoprótesis por acodadura. El paciente presentó tras la CPRE una hemorragia digestiva alta por lesiones de la mucosa gástrica autolitimitada. En la TC toracoabdominal se observaba una masa de tejidos blandos en la pared torácica derecha, una dilatación de la vía biliar intra/extrahepática con vesícula distendida y dilatación del Wirsung. En la cabeza del páncreas se observaba una masa redondeada de 4 × 4 cm, y en el cuerpo y la cola otras 3 lesiones de iguales características (fig. 2). Se constató la presencia de lesiones líticas en el esqueleto axial, en la zona vertebral y la espina ilíaca anterosuperior derecha (fig. 3). La gammagrafía ósea reveló múltiples captaciones en el occipital derecho (zona de sutura parietooccipital) e izquierdo (zona de fosa posterior) de la calota craneal, en los arcos costales anteriores derechos 5, 6 y 8, y en la quinta unión costovertebral izquierda, la articulación sacroilíaca izquierda y la espina ilíaca anteriosuperior derecha.
Se realizó una biopsia de la espina ilíaca anterosuperior derecha y pancreática, y en ambas se observaban células redondas y pequeñas con escasa estroma. Con técnicas de inmunohistoquímica se obtiene en las 2 muestras el mismo fenotipo: CD 99, vicentina, cromogranina positivos. Sinaptofisina con escasa positividad; Ck, LC, TIFF-1, actina, S-100, enolasa y CD68 negativos.
Las biopsias eran histológicamente compatibles con un sarcoma de Ewing frente a un tumor neuroectodérmico primitivo periférico (ES/p PNET). Se realizó un drenaje biliar externo por ictericia progresiva (bilirrubina total 8,7 mg/dl [0-1]), con gammaglutamilpeptidasa de 995 U/l (0-55) y fosfatasa alcalina de 496 U/l (50-136). Se inició tratamiento con vincristina + doxorubicina + ciclofosfamida + actinomicina (esquema VACA), alternando con ifosfamida- etopósido (IE) en el servicio de oncología médica.
Se diagnosticó un sarcoma de Ewing/p NET de páncreas con metátasis óseas, en estadio IV.
El sarcoma de Ewing y los tumores periféricos neuroectodérmicos son tumores encuadrados dentro del grupo de los constituidos por pequeñas células redondas1. El sarcoma de Ewing es un tumor de origen mesenquimal, de alta malignidad. Es el segundo tumor maligno óseo más frecuente en niños y adultos jóvenes, con una clara propensión a la diseminación2. El diagnóstico se basa en la clínica y en la información radiológica. La mayoría de los casos tienen translocaciones genéticas –t(11;22) (q24,q12) y t(21;22) (q22;q12)– con algunas variaciones y características epecíficas inmunohistoquímicas de tinción que favorecen el diagnóstico2. Los 2 tumores provienen de la diferenciación neuroectodermal pero tienen diferentes grados: el sarcoma de Ewing tiene poca diferenciación mientras que los tumores periféricos neuroectodérmicos tienen una definición neuroectodermal significativa. Encontramos pocos casos con afectación pancreática de sarcoma de Ewing o manifestación como PNET pancreatico3–5 Algunos tumores de sarcoma de Ewing/PNET familiares se han descrito en sitios no usuales: riñones, vejiga, testículos, útero, ovarios, pulmones, miocardio, glándulas parotideas, esófago, páncreas, intestino delgado, conducto hepático y vesícula biliar6.
En nuestro caso la primera manifestación fue neurológica; las lesiones aparecieron en la calota craneal y con afectación orbitaria izquierda. Las manifestaciones neurológicas son excepcionales y pueden presentarse también como afectación radicular7. La afectación craneal es rara (menos de un 1% de los casos) y se presenta como convexidades frontoparietales con apariencia osteolítica y con reacciones periostales8. El tratamiento incluye diferentes regímenes, entre los que se encuentra VadO (vincristina, doxorubicina, ciclofosfamida) y VAdCA/IE (vincristina, doxorubicina, ciclofosfoamida, dactinomicina, alternando con ifosfamida- etopósido)9. La supervivencia a los 5 años en la serie de Baldini fue de 37 ± 9 meses9. Entre los factores predictores de pronóstico o superviviencia se incluyen las metástasis en la presentación, el tumor extraóseso y la edad mayor de 26 años. La localización del tumor primario no es un predictor de supervivencia, aunque algunos autores refieren que los sarcomas centrales o pélvicos tienen peor pronóstico; sin embargo, para otros autores esto no es así. La presentación con metástasis está asociada a un peor pronóstico con una supervivencia inferior a 4 años9.







