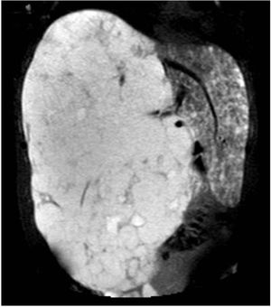
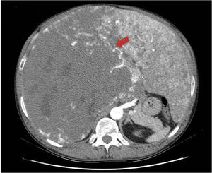
Hombre de 47 años, sin antecedentes, que consulta por dolor abdominal súbito. Se palpa hepatomegalia pétrea que ocupa ambos hipocondrios y llega hasta palas ilíacas, por lo que se realiza ecografía abdominal y posteriormente tomografía computarizada (fig. 1) con hallazgo de hepatomegalia de 37×29×23cm por lesión ocupante de espacio hepática en lóbulo derecho compatible con hemangioma cavernoso gigante. Se confirma con resonancia magnética con contraste (fig. 2), en que se objetiva que el resto del parénquima hepático está ocupado por incontables lesiones, sugerente de hemangiomatosis hepática con ausencia de parénquima hepático normal.
Los hemangiomas son el tumor hepático benigno más frecuente1,2. Habitualmente son incidentalomas aislados, pero también pueden producir dolor abdominal, hemorragia, ictericia por compresión biliar o coagulopatía de consumo (síndrome Kasabach-Merritt)1,2.
La hemangiomatosis hepática difusa es el reemplazo del parénquima hepático por hemangiomas, y suele asociarse a afectación sistémica2. El perfil habitual es un neonato con una masa abdominal y fallo cardíaco congestivo3. El diagnóstico en adultos sin afectación de otros órganos, como en el caso descrito, es excepcional3.
En pacientes con hemangiomas sintomáticos se debe plantear tratamiento quirúgico1. El trasplante se debe considerar en pacientes con lesiones irresecables, hemangiomas múltiples bilobares o que afectan el hilio hepático1. En el caso presentado se decidió trasplante hepático tras confirmación histológica de la lesión.






