INTRODUCCIÓN
Las lesiones submucosas gastrointestinales crecen en cualquier capa del tubo digestivo por debajo de la mucosa, y ésta permanece intacta1. Representan apenas un 1-2% de los tumores digestivos y la mayoría son benignos, pero hasta un 20% pueden presentar un comportamiento maligno. En la mayoría de los pacientes aparecen como hallazgos casuales en endoscopias indicadas por otros motivos1,2. Si la lesión se ulcera a través de la mucosa puede ser una causa rara de hemorragia digestiva. Otras veces estas lesiones pueden originar clínica compresiva y dolor u obstrucción en función de su tamaño y localización2.
La endoscopia convencional suele mostrar una lesión nodular que impacta sobre una mucosa intacta1. Esta técnica nos indica la localización de la lesión, su aspecto y consistencia, pero no puede establecer su naturaleza, valora de forma deficiente el tamaño, y no diferencia las lesiones intraparietales de las compresiones extrínsecas1-3. Además, la biopsia endoscópica rara vez alcanza la suficiente profundidad como para asegurar un diagnóstico1. La citología obtenida por medio de punción aspirativa con aguja fina (PAAF) tampoco es excesivamente rentable2,4 y, teniendo en cuenta que muchos autores consideran que el diagnóstico de malignidad se basa en criterios como el tamaño, la celularidad del tumor, el número de mitosis, el patrón de crecimiento, la presencia de fibras de cohesión y el pleomorfismo nuclear5, será imprescindible disponer de una macrobiopsia o la pieza completa, lo que implica su extirpación quirúrgica o endoscópica6-11. La ecoendoscopia es la técnica más apropiada para su evaluación, para decidir si el tumor es subsidiario de resección y, en este caso, cuál es la forma más segura de extirparlo2,12-15.
A continuación presentamos el caso de un tumor submucoso estudiado mediante ecografía hidrogástrica, con unos resultados equiparables a los de la ecoendoscopia. La ecografía hidrográstrica consiste en realizar la exploración ecográfica de la cavidad gástrica con ésta llena de agua, lo que facilita la transmisión de los ultrasonidos permitiendo, frente a la ecografía abdominal convencional, la visualización con mayor precisión de las capas del tubo digestivo.
OBSERVACIÓN CLÍNICA
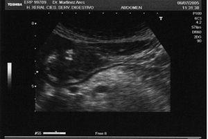
Se trata de una paciente de 50 años de edad, intervenida de un adenocarcinoma de endometrio en estadio T3 N1 M0 en 1996 y tratada con radioterapia externa adyuvante, sin otros antecendentes personales de interés. Refería epigastralgia de 6 meses de evolución que trató intermitentemente con omeprazol. En una tomografía computarizada (TC) abdominopélvica realizada como revisión rutinaria por su cáncer de endometrio, se puso de manifiesto una masa heterogénea de 4 cm en el antro gástrico. Por este motivo, se indicó una gastroscopia, que confirmó la presencia de una tumoración submucosa antral ulcerada de unos 4 cm, redondeada y de consistencia firme. Se realizó a continuación una ecografía hidrogástrica, visualizándose la lesión bien delimitada con un tamaño de 44 * 28 mm, de bordes regulares, ecogenicidad ligeramente heterogénea, con algún espacio quístico en su interior, con dos úlceras en superficie, una muy superficial y otra de al menos 1 cm de profundidad. El tumor era dependiente de las primeras 3 capas, y mostraba una capa muscular propia totalmente preservada (fig. 1). Con el diagnóstico de un tumor submucoso probablemente maligno se indicó tratamiento quirúrgico. Se realizó una antrectomia que incluía el tumor, la vagotomía y la anastomosis gastroduodenal. En la pieza quirúrgica se observó una lesión de 50 * 25 mm, de coloración blanquecina, ovoidea, de consistencia firme y con dos úlceras en la superficie (fig. 2). El estudio histológico reveló un tumor bien delimitado aunque sin cápsula, con células de aspecto epiteliode que presentaban un moderado pleomorfismo nuclear; en el estudio inmunohistoquímico se observó que las células neoplásicas expresaban CD 117, CD 34 y vimentina (fig. 3). También se expresaba p53 y el índice MIB-1 era del 3%. El tumor respetaba integramente la capa muscular propia. El diagnóstico definitivo fue de tumor estromal gastrointestinal (GIST) de riesgo intermedio y, dado que se consideró que la resección había sido completa, inicialmente no fueron contempladas otras terapéuticas adicionales.
Fig. 1. La ecografía hidrogástrica revela una lesión bien delimitada, dependiente de las primeras 3 capas, con una capa muscular propia (cuarta capa hipoecogénica) completamente respetada en toda su extensión. El tumor presenta un patrón ultrasonográfico sugestivo de malignidad, mide unos 45 mm de diámetro mayor, y presenta una gran ulceración en la superficie (punta de flecha).
Fig. 2. En la imagen se visualiza claramente un tumor de unos 50 mm de diámetro mayor, de coloración blanquecina, consistencia firme y con una gran ulceración en la superficie. La integridad de la capa muscular propia se puede aventurar ya en el examen macroscópico.
Fig. 3. El estudio histológico de la pieza confirma la presencia de un tumor formado por células de aspecto epiteliode, con positividad para c-kit y con un bajo índice mitótico; se definió como un tumor estromal gastrointestinal de riesgo intermedio.
DISCUSIÓN
La endoscopia convencional desempeña un papel muy limitado en el diagnóstico de las lesiones submucosas del tubo digestivo1-3, y la ecoendoscopia es la técnica de elección en la evaluación de estas lesiones, ya que permite establecer con bastante precisión su diagnóstico y orientar su tratamiento14-16. Desafortunadamente, ésta es una técnica que aún no está disponible en todos los centros hospitalarios, lo que limita el manejo de los pacientes con lesiones gastrointestinales submucosas.
La ecografía hidrográstrica puede ser útil en la estadificación de los tumores gástricos17,18. El antro gástrico, al contrario que el fundus, es fácil de explorar mediante esta técnica y, como documentamos en el caso que presentamos, permite estudiar con precisión los tumores situados en esta zona. En efecto, se pudo medir el tamaño del tumor, se estableció con claridad su capa de origen y, con las características ultrasonográficas que presentaba, sospechar su naturaleza maligna. Este diagnóstico se confirmó punto por punto tras el estudio de la pieza quirúrgica: se trataba de un GIST gástrico de riesgo intermedio dependiente de las primeras 3 capas de la pared gástrica. Al margen de las limitaciones que nos podemos encontrar en la exploración ecográfica de otras localizaciones, la exploración gástrica es sumamente sencilla, no requiere sedación y no es invasiva, lo que supone una gran ventaja con respecto a la ecoendoscopia.
El tratamiento con intención curativa en los GIST pasa por realizar una resección quirúrgica completa del tumor. En los tumores de riesgo bajo o intermedio este tratamiento suele ser suficiente, con escasa tasa de recidivas y enfermedad metastásica posterior. No obstante, en los tumores de riesgo elevado, podría contemplarse un tratamiento adyuvante con imatinib, que permitiría reducir el riesgo de enfermedad recurrente. Asimismo, en los tumores no resecables o en los que la resección no puede erradicar íntegramente el tumor, este tratamiento puede ser eficaz al menos con fines paliativos, en caso de no conseguir la curación19,20. En nuestro paciente se decidió no llevar a cabo ningún tratamiento adyuvante, teniendo en cuenta que se realizó una resección completa y a la vista de los hallazgos histológicos.
En resumen, en este caso se demuestra la rentabilidad que puede tener la ecografía hidrogástrica, una técnica sencilla de realizar y de fácil acceso, que podría suponer una alternativa a la ecoendoscopia en el caso de no disponer de ella o no ser posible su realización.







