INTRODUCCION
La perforación intramural espontánea del esófago (PIEE) es un trastorno esofágico raro. Algunos autores lo consideran una entidad intermedia entre el síndrome de Boerhaave y el síndrome de Mallory-Weiss. Aunque su etiología es controvertida, el tratamiento y el pronóstico son similares a este último1. Es una enfermedad benigna con buena respuesta al tratamiento conservador y con pronóstico excelente2.
A continuación presentamos el caso de una paciente con dolor torácico agudo, disfagia y odinofagia que, tras realizarle un estudio completo e intervención quirúrgica, fue diagnosticada de perforación intramural espontánea esofágica.
OBSERVACION CLINICA
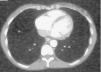
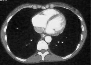
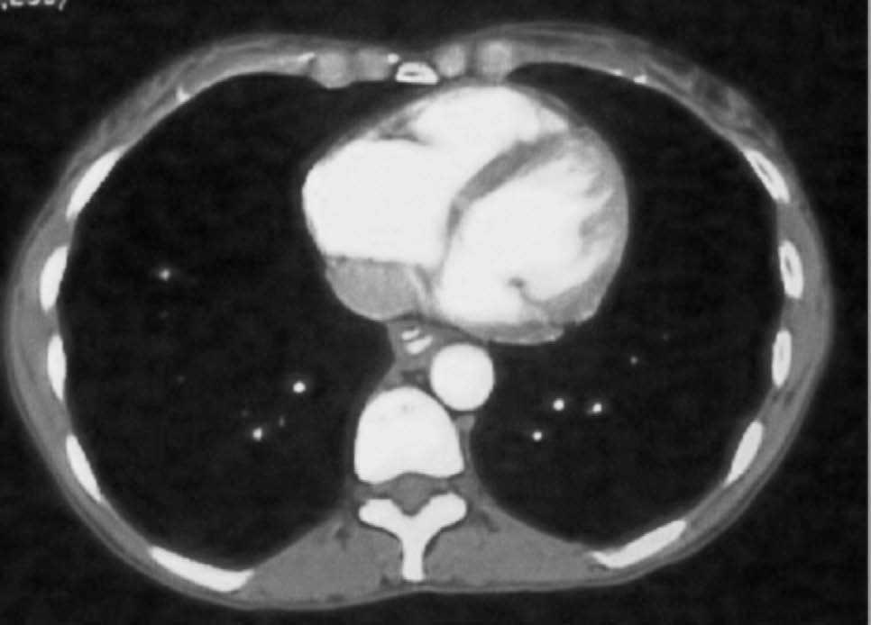
Mujer de 42 años, que acude al servicio de urgencias al presentar un cuadro de dolor torácico retroesternal, no irradiado, de unas 12 h de evolución, acompañado de disfagia, odinofagia, sialorrea y regurgitación de contenido hemático-purulento, junto con fiebre de 39 oC. Entre los antecedentes personales destacaban episodios de disfagia ocasional desde la infancia, y tras múltiples pruebas complementarias (estudio baritado esofágico, endoscopia digestiva alta y manometría) se diagnosticó un trastorno motor esofágico inespecífico. Durante el ingreso se le realizaron diferentes pruebas: a) estudio baritado esofágico sin apreciar lesiones; b) endoscopia digestiva alta (figs. 1 y 2) con sedación profunda, donde se visualiza una estenosis parcial de la luz esofágica por compresión extrínseca a unos 20 cm de arcada dentaria, precedida de una laceración mucosa profunda en la pared esofágica con tractos fibrosos, del que rezuma sangre fresca en escasa cuantía; c) tomografía computarizada (TC) helicoidal torácica con y sin contraste intravenoso (fig. 3), donde se observa una formación tubular, que sigue casi todo el trayecto del esófago, con una cápsula bien definida que capta el contraste intensamente y que parece localizarse en el interior de la pared esofágica, con burbujas aéreas en su porción proximal, compatible con absceso esofágico intramural o quiste de duplicación esofágico complicado.
Fig. 1. Endoscopia digestiva alta en caso de perforación intramural espontánea del esófago en distintos tiempos.
Fig. 2. Endoscopia digestiva alta en caso de perforación intramural espontánea del esófago en distintos tiempos.
Fig. 3. Tomografía computarizada con contraste oral e intravenoso. Signo doble luz.
Fig. 4. Imagen macroscópica de pie en pieza quirúrgica (esofaguectomía).
Se instaura tratamiento antibiótico de amplio espectro, controlando el cuadro febril durante los primeros 5 días, pero ante la persistencia de la clínica y la duda diagnóstica (perforación esofágica transmural frente a quiste de duplicación esofágico) se decide intervenir quirúrgicamente. Se realiza una esofaguectomía total y plastia gástrica con anastomosis cervical. El estudio macroscópico de la pieza (fig. 4) muestra una solución de continuidad ovoide (de 4 mm de diámetro máximo), de márgenes bien delimitados que comunica con una cavidad tubular (10-12 cm). En el estudio microscópico se aprecia que dicha cavidad está revestida parcialmente por epitelio escamoso, similar al epitelio original; sin embargo, externamente a éste no se observa una capa muscular propia, dado que la cavidad está alojada en la submucosa de la pared original del esófago. Esta ausencia de capa muscular no permite el diagnóstico de verdadera duplicación esofágica; se trataría de una cavidad diverticular o perforación intramural que ha disecado la pared provocando una seudoduplicación.
El diagnóstico final es de perforación intramural espontánea del esófago.
DISCUSION
La PIEE es una gran laceración entre la mucosa esofágica y la submucosa, sin perforación, de carácter idiopática. Desde que Marks3 la describió por primera vez en 1968, se han publicado múltiples casos aislados, aunque con algo de confusión en la bibliografía sobre sus denominaciones: hematoma intramural esofágico espontáneo4, rotura intramural del esófago3, rotura intramural espontánea del esófago5 y apoplejía esofágica6, entre otros.
La etiología de la PIEE no está bien establecida. Su aparición se ha relacionado con diversas situaciones clínicas que conlleven un incremento de la presión intraluminal esofágica (p. ej., vómitos), alteraciones en la deglución, consumo de antiagregantes plaquetarios y trastornos de la coagulación7.
Esta enfermedad se ha descrito con mayor frecuencia en mujeres (relación mujer:varón de 2:1) de edad media. Los síntomas más frecuentes son dolor torácico retrosternal agudo, hematemesis, odinofagia y disfagia2.
El diagnóstico se hace mediante el estudio esofágico con contraste hidrosoluble (signo de la doble luz), endoscopia digestiva alta o TC. El esofagograma es menos traumático que la endoscopia y nos determinará la indemnidad del esófago. La endoscopia no es especialmente peligrosa si se hace con cuidado, nos aportará el diagnóstico definitivo y puede ser útil para el seguimiento y tratamiento de esta enfermedad8. La TC puede ser útil para el diagnóstico diferencial con otras enfermedades con clínica similar, como el aneurisma disecante de aorta o la perforación esofágica, que requieren un tratamiento quirúrgico urgente.
El tratamiento conservador con nutrición parenteral total es el de elección, con el que se obtienen unas altas tasas de curación9. El tratamiento quirúrgico se reserva para los casos de enfermedad prolongada, perforación con mediastinitis, drenaje de absceso o sangrado masivo4,10.








