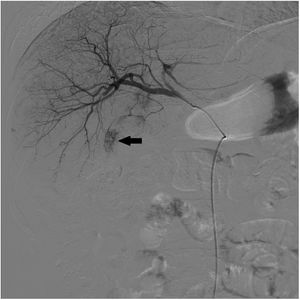
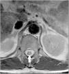
Presentamos el caso de un varón de 63 años con cirrosis hepática mixta (alcohólica y por virus de la hepatitis C) y diagnóstico de hepatocarcinoma de 14mm en segmento III y de 40mm en el segmento VI. Se realizó quimioembolización transarterial (QETA) de hepatocarcinoma mediante cateterización supraselectiva de las arterias nutricias de los nódulos tumorales y se embolizaron con doxorrubicina (DC-Beads 100-300 μ y 300-500μ) (fig. 1). Tras el procedimiento, apareció clínica compatible con retención urinaria, parestesias y paresia en ambos miembros inferiores con imposibilidad para deambular. En la resonancia magnética dorsolumbar urgente por sospecha de isquemia medular tras QETA se observó incremento de señal de la porción distal del cordón y del cono medular con moderada restricción en la secuencia de difusión (figs. 2-4), en posible relación con lesión isquémica aguda a nivel de T11, que la confirmó. Tras la rehabilitación, fue dado de alta con deambulación conservada.
La QETA tiene su base en la vascularización casi exclusivamente arterial que tiene el hepatocarcinoma1. En nuestro paciente es posible que el cuadro clínico presentado se explique por la existencia de una arteria nutricia del tumor como colateral de una de las arterias espinales que irrigan a la médula, pasando así el material quimioterápico a la médula espinal y provocando inusual isquemia medular aguda transitoria.
Conflicto de interesesLos autores declaran que no existen conflictos de intereses.








