La invaginación intestinal es una causa infrecuente de obstrucción intestinal en el adulto, hasta en el 90% de los casos secundaria a lesiones subyacentes1.
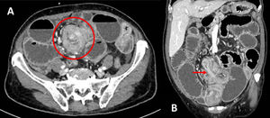
Presentamos el caso de una mujer de 70 años, sin antecedentes médicos de interés ni cirugías abdominales previas, que ingresó por un cuadro de obstrucción intestinal. En la tomografía computarizada se observó una invaginación intestinal íleo-ileal probablemente secundaria a una lesión subyacente, con el característico «signo del donut» o «signo de la escarapela» (fig. 1). Se realizó una laparotomía exploradora urgente. Los hallazgos intraoperatorios se muestran en la figura 2.
Se realizó una resección intestinal del segmento afectado. La pieza quirúrgica fue seccionada identificando una lesión polipoidea intraluminal como causa de la invaginación.
El estudio histopatológico de la pieza fue compatible con un pólipo fibroide inflamatorio o tumor de Vanek.
El pólipo fibroide inflamatorio constituye una lesión mesenquimal benigna de origen submucoso extremadamente rara, localizada más frecuentemente a nivel del antro gástrico (66-75%), seguido de intestino delgado (18-20%) y colon-recto (4-7%). Su clínica depende de su localización y tamaño, siendo habitualmente asintomáticos a nivel gástrico, mientras que aquellos de localización intestinal pueden cursar con anemia, dolor abdominal o, muy raramente, obstrucción secundaria a invaginación intestinal2.
FinanciaciónLa presente investigación no ha recibido ayudas específicas provenientes de agencias del sector público, sector comercial o entidades sin ánimo de lucro.
Conflicto de interesesLos autores declaran no tener conflictos de intereses.






