INTRODUCCIÓN
La infección por el virus de la inmunodeficiencia humana (VIH) conduce a una alteración de la inmunidad celular y humoral, que hace a los pacientes susceptibles a infecciones y neoplasias de diferente origen.
Existen muy pocos trabajos en la bibliografía médica sobre patología específica de la vía biliar y del páncreas asociada a la infección por el VIH. Además de las enfermedades que ocurren en la población inmunocompetente, los pacientes con infección por el VIH son más susceptibles de padecer otras enfermedades de presentación o localización atípica como, por ejemplo, el linfoma no hodgkiniano (LNH). La afectación pancreática y la obstrucción de la vía biliar por esta neoplasia es infrecuente (0,2-2%), suele ser secundaria a compresión externa por adenopatías y raramente aparece como primera manifestación de la enfermedad1-5. Estas complicaciones requieren una atención especial por 2 motivos: a) el diagnóstico diferencial es difícil al incluir patologías más frecuentes o cursar con síntomas inespecíficos, y b) precisan intervenciones terapéuticas o un tratamiento médico específico. Describimos 2 casos de ictericia obstructiva secundaria a LNH en pacientes a los que se les detectó infección por el VIH.
OBSERVACIONES CLÍNICAS
Caso 1
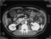
Varón de 48 años, alérgico a la procaína y al ácido acetilsalicílico, con historia de contactos sexuales de riesgo. Ingresó en nuestro hospital por un cuadro de 15 días de evolución de ictericia, coluria y acolia sin dolor abdominal, astenia intensa y pérdida de 5 kg de peso en los últimos 2 meses. En la exploración destacaban intensa ictericia mucocutánea y hepatomegalia dolorosa, palpándose adherida una masa dura y móvil. La analítica objetivó: hemoglobina de 13 g/dl, leucocitos de 2.400/μl (neutrófilos: 50,8%; linfocitos: 37,5%; monocitos: 7,5%; eosinófilos: 3,8%; basófilos: 0,4%); plaquetas de 36.000/μl, bilirrubina total de 14 mg/dl (valor normal: 0,20-1,20 mg/dl), aspartatoaminotransferasa de 11 U/l (4-38 U/l), alaninoaminotransferasa de 115 U/l (5-45 U/l), fosfatasa alcalina de 706 U/l (40-129 U/l) y gammaglutamiltranspeptidasa de 434 U/l (11-49 U/l). Se realizó serología para el VIH que resultó positiva con carga viral de 166.000 copias/ml, así como estudio de la población de linfocitos con CD4 de 48 copias/μl. La ecografía abdominal mostraba dilatación de la vía biliar intra y extrahepática y vesícula distendida (signo de Courvoisier). En la tomografía axial computarizada (TAC) abdominal se evidenciaba dilatación de la vía biliar intra y extrahepática hasta la región ampular, donde se observaba una tumoración de 2-3 cm de diámetro compatible con el diagnóstico de ampuloma, así como hepatomegalia discreta, esplenomegalia y signos de circulación colateral en hilio esplénico, adenopatías pequeñas alrededor del tronco celíaco, ligamento gastrohepático y cadenas ganglionares retroperitoneales de aproximadamente 1 cm y crecimiento de ambas glándulas suprarrenales con áreas hipodensas en su interior (fig. 1).
Figs. 1 y 2. TAC abdominal: dilatación de las vías biliares intra y extrahepática hasta la región ampular. Tumoración de 2 cm compatible con el diagnóstico de ampuloma. Hepatomegalia. Esplenomegalia. Adenopatías en el tronco celíaco, ligamento gastrohepático y cadenas ganglionares retroperitoneales.
La colangiopancreatografía retrógrada objetivó una masa pediculada de 3-4 cm originada en la papila duodenal que imposibilitó la canalización de la vía biliar, por lo que se optó por la colocación de un drenaje biliar percutáneo. Tras la colocación del drenaje se objetivó mejoría progresiva de las cifras de bilirrubina y enzimas hepáticas. El estudio histológico de las muestras obtenidas en la colangiopancreatografía retrógrada fue compatible con infiltración de la mucosa intestinal por LNH tipo B de células grandes (fracción de crecimiento superior al 75%, p53 negativo) (fig. 2).
Se realizó un estudio de extensión con punción lumbar, que mostró infiltración por células de LNH, y punción de médula ósea, que no resultó afectada (fig. 3), así como una TAC cervicotorácica sin hallazgos. Con el diagnóstico de LNH que afectaba a la papila de Vater e infección por el VIH en estadio C3 se inició tratamiento con protocolo CHOP con citarabina y metotrexato intratecal y terapia antirretroviral. Posteriormente el paciente ingresó en la unidad de cuidados intensivos por un cuadro de insuficiencia respiratoria aguda global asociado a sepsis de origen biliar. Los estudios microbiológicos revelaron infección por Escherichia coli, Corynebacterium y Streptococcus faecalis en bilis. Su situación respiratoria empeoró hasta requerir intubación y ventilación mecánica. La radiografía de tórax mostró infiltrados bilaterales en probable relación con proceso infeccioso y con lavado broncoalveolar positivo para citomegalovirus y Aspergillus. El drenaje de la vía biliar se retiró y las cifras de bilirrubina mejoraron tras comprobación radiológica de paso de contraste al duodeno. Una nueva punción lumbar no objetivó células de linfoma. En la TAC toracicoabdominal de control aparecía extensa afectación del parénquima pulmonar difuso bilateral con predominio en el lóbulo superior que podría estar en relación con diagnóstico de aspergilosis pulmonar invasiva, así como discreta hepatoesplenomegalia, sin dilatación de la vía biliar intra o extrahepática, pequeña cantidad de líquido libre intraperitoneal en pelvis y adenopatías de 1 cm en cadenas paraaórticas izquierdas e inguinales bilaterales por debajo del rango de significación.
Fig. 3. Mucosa del intestino delgado con extensa atrofia vellositaria. En el ámbito de la lámina propia destaca un infiltrado tumoral de carácter linfoide con patrón difuso constituido por células grandes con núcleos hipercromáticos, redondeados-ovalados, cromatina grumosa, uno o más nucleolos prominentes y escaso citoplasma eosinófilo. Estudio inmunohistoquímico: celularidad tumoral positiva para CD20, con un índice de proliferación con positividad nuclear con Mib-1 superior al 75% de las células.
La evolución del paciente fue desfavorable y falleció en situación de insuficiencia respiratoria en el contexto de neumonía por Aspergillus.
Caso 2
Mujer de 62 años con antecedentes de brucelosis en la infancia, cólicos nefríticos de repetición e histerectomía en 1984 por fibroma uterino. No refería hábitos tóxicos ni consumo de drogas o contactos sexuales de riesgo conocidos. Había presentado un cuadro de amigdalitis un mes antes de su ingreso que requirió tratamiento antibiótico con amoxicilina-ácido clavulánico. Desde entonces presentaba picos febriles de hasta 38 °C que cedían con antitérmicos, sin foco infeccioso aparente. Presentaba dolor en el hipocondrio derecho, náuseas, astenia y cuadro brusco de ictericia, coluria y acolia por el que acudió al hospital.
La exploración era normal, con excepción de una intensa ictericia cutaneomucosa. En el momento del ingreso destacaban en la analítica hemoglobina de 10,8 g/dl, hematócrito del 32,2%, velocidad corpuscular media de 85 μm3, leucocitos de 4.080/μl (neutrófilos: 63,5%; linfocitos: 25,2%; monocitos: 5%; eosinófilos: 4,9%; basófilos: 0,9%), plaquetas de 167.000/μl, velocidad de sedimentación globular de 76, bilirrubina directa de 8,75 mg/dl (valor normal: 0,20-1,20 mg/dl), aspartatoaminotransferasa de 242 U/l (4-38 U/l), alaninoaminotransferasa de 324 U/l (5-41 U/l), fosfatasa alcalina de 1.164 U/l (40-129 U/l), gammaglutamiltranspeptidasa de 2.055 U/l (11-49 U/l), lactatodeshidrogenasa de 691 U/l y albúmina de 3,1 g/dl.
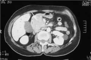
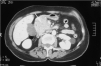
Se realizó una ecografía abdominal en la que se visualizaba una masa en la cabeza pancreática que parecía infiltrar el duodeno, con dilatación de la vía biliar extra e intrahepática. Se solicitó serología para virus hepatotropos, que resultó negativa, y para el VIH, que fue positiva. En la TAC abdominal (fig. 4) se confirmó la existencia de una gran masa pancreática de 6 por 7 cm de diámetro, así como dilatación de la vía biliar y del conducto de Wirsung con probable infiltración por contigüidad de la vena mesentérica superior, además de pequeñas adenopatías retroperitoneales y portocavas. Ante el tamaño y la heterogeneidad de la lesión, y dado el antecedente de infección por el VIH, se realizó punción con aguja fina de la masa, que resultó indicativa de LNH. Con el diagnóstico de infección por el VIH en estadio C3 (carga viral de 225.000 copias VIH-1; log5: 32; células CD4: 136) y LNH pancreático de estirpe B CD 19+ (fenotipo: CD20bright, CD%, CD23, FMC7+, CD10+, CD38+, CD11c, CD103, Cd30, Ki67 con débil clonalidad kappa), se realizó estudio de extensión con biopsia de médula ósea (figs. 5 y 6), punción lumbar y TAC cervicotorácica que confirmaron infiltración tanto de sistema nervioso central como de la médula ósea, sin encontrar afectación en otros órganos. Se comenzó tratamiento con CHOP, quimioterapia intratecal y profilaxis para la infección por Pneumocistis con TMP-SMX. La paciente presentó un cuadro de hemorragia digestiva alta con inestabilidad hemodinámica y anemización que requirió la transfusión de 5 concentrados de hematíes. Se realizó gastroscopia urgente sin detectar el lugar de la hemorragia, y únicamente se observaron restos hemáticos en el estómago, que era normal. El cuadro cedió con tratamiento médico. La paciente se encuentra estable en el momento actual, pendiente de completar el último ciclo de quimioterapia intratecal, con mejoría clínica y analítica, y desaparición de la ictericia.
Fig. 4. TAC abdominal: masa pancreática de 6 x 7 cm que parece infiltrar duodeno.
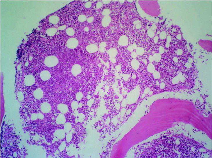
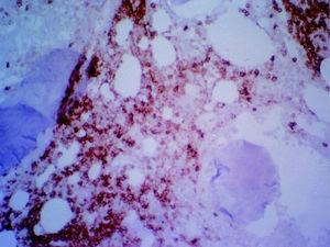
Fig. 5. Cilindro de médula ósea que presenta una celularidad hematopoyética conservada con una buena distribución entre el parénquima y la grasa con presencia de las tres series que muestran una arquitectura dentro de los límites de la normalidad. Se identifican megacariocitos de pequeño tamaño y núcleo hipercromático. Focalmente se observa infiltración del espacio medular por una celularidad linfoide de gran tamaño, núcleo vesiculoso, cromatina grumosa y nucleolo prominente que se dispone formando un nódulo paratrabecular.
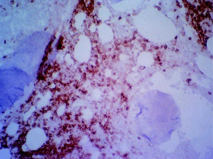
Fig. 6. Estudio de inmunohistoquímica sobre material parafinado en el que se observa que la celularidad linfoide de gran tamaño descrita resulta positiva para marcadores Pan-B (CD20) y negativos para marcadores Pan-T (CD3). El índice de proliferación en la celularidad linfoide medido como positividad nuclear con Mib-1 es superior al 75% de las células.
DISCUSIÓN
A medida que aumenta la supervivencia en los pacientes con VIH, la incidencia de trastornos linfoproliferativos ha ido en aumento. El LNH es la segunda neoplasia más frecuente después del sarcoma de Kaposi en la población infectada por el VIH. Los órganos más afectados por orden de frecuencia son el sistema nervioso central y en segundo lugar el tracto gastrointestinal1,2,10. En la mayoría de las series publicadas el LNH relacionado con el sida es de estirpe B y alto grado4,7,10,12. Suele tratarse de una enfermedad con importante afectación extranodal, estadio clínico avanzado y una supervivencia media corta (media de 7-8 meses) si se compara con linfomas en pacientes seronegativos para el VIH2,13. En la patogenia del LNH en estos enfermos intervienen probablemente factores dependientes del huésped, como la inmunodeficiencia progresiva, y alteraciones genéticas y moleculares, las cuales pueden presentarse de novo, por el propio VIH o como resultado de coinfecciones con el virus de Epstein Barr o virus herpes 82.
En cuanto a la afectación abdominal por un LNH, se afectan preferentemente el estómago, intestino delgado, sistema hepatobiliar, riñones, glándulas suprarrenales y peritoneo1,6,11. Generalmente en la clínica la alteración gastrointestinal se traduce en dolor abdominal, distensión, pérdida de peso y hemorragia gastrointestinal10,11. La afectación pancreática por el LNH es extremadamente rara6,8,9. La obstrucción de la vía biliar suele ser secundaria a compresión externa por adenopatías en la región periampular y peripancreática, aproximadamente en el 0,2-2% de los pacientes como manifestación tardía6,8,9.
El diagnóstico diferencial de la ictericia en los pacientes con sida debe ser semejante al del resto de la población general, aunque siempre deben tenerse en consideración algunas entidades que afectan de forma específica al enfermo inmunodeprimido. Entre ellas deberían incluirse la colangiopatía asociada al sida, algunas hepatitis por virus (herpes simple, Epstein-Barr), infecciones por micobacterias (Mycobacterium tuberculosis y Mycobacterium avium intracelulare), infecciones por hongos (Cryptococcus neoformans, Histoplasma capsulatum, Candida albicans), parásitos (Pneumocystis carinii), toxicidad por drogas y la infiltración por tumores (linfoma y sarcoma de Kaposi). Las pruebas de función hepática no son útiles para determinar si la causa de la ictericia es de origen intra o extrahepático y deben complementarse con pruebas de imagen14. Dentro de éstas la ecografía debe ser la técnica de elección en una primera aproximación14. La TAC abdominal confirma los hallazgos de la ecografía y proporciona numerosa información adicional; tumores de gran tamaño, homogéneos, crecimiento invasivo y linfoadenopatías retroperitoneales por debajo de las venas renales son criterios radiológicos que apoyan el diagnóstico de linfoma14. En los 2 casos que hemos presentado las pruebas de imagen desempeñaron un papel fundamental en el diagnóstico. Ambos pacientes presentaban grandes masas que invadían la región ampular o pancreática, y numerosas adenopatías en el límite de la significación.
El diagnóstico histológico de las masas abdominales en ocasiones es complicado pero, como se demuestra en nuestra experiencia, muy útil para adoptar una decisión terapéutica. La biopsia con aguja fina guiada por TAC permite un correcto diagnóstico histológico y evita en la mayoría de los casos la biopsia a cirugía abierta1. También las técnicas endoscópicas como la colangiopancreatografía retrógrada cumplen un papel importante en estos pacientes, al permitir un acercamiento diagnóstico o terapéutico10,14.
El abordaje clínico de los LNH relacionados con el sida requiere un enfoque multidisciplinario que incluya expertos en el manejo de la quimioterapia, terapia antirretroviral e infecciones oportunistas. Los tratamientos quimioterápicos estándar para el LNH alcanzan tasas de respuesta menores al 50% en los pacientes seropositivos, con una supervivencia media de aproximadamente 9 meses15. Los nuevos tratamientos antirretrovirales añadidos a la infusión de quimioterápicos pueden proporcionar mejor supervivencia, aunque todavía no se han realizado estudios controlados2,15. Es posible que el correcto tratamiento de la infección por el VIH llegue a ser tan importante como la selección del régimen de quimioterapia para el pronóstico de estos pacientes. Sin embargo, el tratamiento quirúrgico de los LNH relacionados con el sida debe reservarse a las complicaciones secundarias de la enfermedad, como la obstrucción intestinal o de la vía biliar, que no puede resolverse por colangiografía percutánea o endoscópica1. Actualmente se están desarrollando nuevas terapias biológicas y celulares basadas en la patogenia de la enfermedad2.
En conclusión, en los pacientes con sida el LNH tiene una alta prevalencia y afecta con frecuencia al tracto gastrointestinal. Sin embargo, es poco frecuente que su forma de presentación sea la ictericia obstructiva, como en los 2 casos presentados. El diagnóstico de linfoma puede ser muy dificultoso y a veces estos enfermos se ven abocados a un tratamiento quirúrgico muy agresivo en lugar de un tratamiento quimioterápico que actualmente es el que mejores resultados ofrece. Por ello queremos recalcar que el linfoma debe tenerse en cuenta dentro de los diagnósticos diferenciales ante una obstrucción biliar, más aún en pacientes que presentan infección por el VIH.









