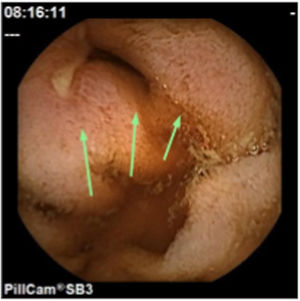
Paciente diabético de 70 con anemia ferropénica sin sangrado manifiesto, de reciente aparición. El estudio con gastroscopia con biopsias, colonoscopia y tomografía computarizada fue normal. La cápsula endoscópica (CE) mostró una angiectasia de gran tamaño con estigmas de sangrado en yeyuno proximal y una estenosis ulcerada circunferencialmente en yeyuno medio de posible origen inflamatorio o isquémico (fig. 1). Se realizó enteroscopia anterógrada para termocoagular con gas argón la angiectasia, pero no alcanzó la estenosis. Tras la corrección inicial de la anemia, recidivó a los 6 meses. Se repitió la CE observando la resolución de la angiectasia, así como una mayor disminución del calibre de la estenosis yeyunal descrita previamente (fig. 2). Dado su difícil acceso por enteroscopia se realizó cirugía laparoscópica, con resección de una tumoración rojiza de aspecto vascular (fig. 3). El diagnóstico histológico fue de hemangioma cavernoso ulcerado (fig. 4).
Los hemangiomas de intestino delgado son infrecuentes y forman parte del diagnóstico diferencial de la anemia microcítica1,2. Se ha mostrado especialmente apropiada para su diagnóstico la CE y su tratamiento de elección es quirúrgico1–4. En nuestro caso queremos resaltar su dificultad diagnóstica por su imposibilidad de acceso con enteroscopia y la necesidad de estudio histológico para el diagnóstico.
A los doctores Lara González González y Vicente Sánchiz Soler.








