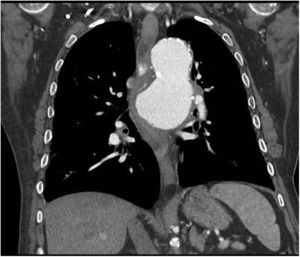
Varón de 64 años con antecedentes de aneurisma de aorta torácica que acude a urgencias por sensación de stop a nivel de esófago medio que condiciona vómitos tras la ingesta negando impactación alimentaria. Refiere en los últimos vómitos presencia de hebras de sangre, además de disnea y ortopnea. En la radiografía de tórax se visualiza aumento de tamaño del aneurisma de aorta, por lo que se realiza angio-TC observando contenido hiperdenso en la luz esofágica, así como signos de inestabilidad y úlcera penetrante que contacta y comprime la luz esofágica y el bronquio izquierdo (figs. 1 y 2). Se realiza cirugía urgente con colocación de endoprótesis aórtica sin complicaciones inmediatas. A las 48h el paciente presenta hematemesis observando en gastroscopia coágulo en esófago medio y sangrado pulsátil. Ante la sospecha de endoleak se realiza revisión quirúrgica con arteriografía que no muestra fuga periprotésica. El paciente presenta shock hemodinámico que no responde a politransfusión y fármacos vasoactivos produciéndose éxitus. En la autopsia se confirma la presencia de fístula aortoesofágica (fig. 3).
La disfagia esofágica secundaria a compresión extrínseca vascular es una causa rara de disfagia, siendo lo más frecuente la presencia de anomalías cardiovasculares1. Se denomina disfagia aórtica a aquella producida por aterosclerosis o aneurisma de aorta2. La clínica de disfagia y hemorragia digestiva alta puede aparecer en aneurismas complicados como el caso de nuestro paciente, siendo la fístula aortoesofágica secundaria una complicación con elevada mortalidad3.







