La colonoscopia es una herramienta diagnóstica y terapéutica esencial para muchas enfermedades del aparato digestivo. Es además una pieza clave para la prevención y el diagnóstico precoz del cáncer de colon. A pesar de los numerosos avances técnicos, sigue siendo una exploración molesta para los pacientes tanto durante su realización, como una vez finalizada esta. La incomodidad de la colonoscopia depende en gran medida de la necesidad de distender el colon lo cual produce habitualmente dolor abdominal. Aunque normalmente se utiliza aire ambiente para la insuflación, en los últimos años se han comercializado dispositivos que permiten la insuflación de dióxido de carbono (CO2) a través del colonoscopio. Este gas posee unas características que lo hacen muy atractivo cuando se busca una colonoscopia indolora.
Colonoscopy is an essential diagnostic and therapeutic tool for many gastrointestinal diseases and is also a key element in the prevention and early diagnosis of colon cancer. Despite numerous technical advances, colonoscopy continues to be uncomfortable for patients, both during and after the procedure. To a large extent, the discomfort of colonoscopy depends on the need to distend the colon, which usually produces abdominal pain. Although ambient air is usually employed to expand and inflate the colon, in the last few years devices that allow carbon dioxide (CO2) insufflation in colonoscopy have been developed. This gas is a highly attractive option for pain-free colonoscopy.
La colonoscopia es el procedimiento de mayor sensibilidad y especificidad de entre todos los disponibles hoy en día para el diagnóstico de las enfermedades del colon. Su papel en la prevención y el diagnóstico precoz del cáncer de colon es indiscutible, de tal manera que se ha llegado a afirmar que la colonoscopia es el procedimiento endoscópico de mayor impacto en la salud pública1. Además de su utilidad diagnóstica, el empleo de la colonoscopia como herramienta terapéutica se ha expandido en los últimos años permitiendo la resección de pólipos incluso de gran tamaño, el tratamiento de hemorragias de origen colónico, la dilatación de estenosis, la descompresión de obstrucciones, etc.
Sin embargo, el resultado satisfactorio de la colonoscopia no está garantizado a priori sino que depende de varios factores que inciden directamente en el rendimiento de la exploración. Además de una profunda limpieza intestinal, es necesaria una adecuada distensión del colon para lograr la exposición de toda la mucosa y conseguir así su correcta visualización. Estudios recientes sobre calidad de la colonoscopia subrayan la importancia de una adecuada distensión del colon como elemento indispensable para realizar una técnica correcta de retirada del endoscopio2. Conviene subrayar que la retirada del endoscopio se considera la fase más importante de la colonoscopia para la detección de adenomas debido a que es la fase en la que la mayoría de los endoscopistas realizan la observación detallada de la mucosa colónica.
Tradicionalmente se ha utilizado aire ambiente para insuflar el interior del colon. La distensión excesiva o prolongada del intestino con aire ambiente puede producir dolor abdominal, distensión intestinal posterior al procedimiento e incluso perforación, siendo estos efectos secundarios de la colonoscopia los que con mayor medida determinan la aceptación de este procedimiento por parte de los pacientes. Recientemente se ha introducido una modificación en la técnica de la colonoscopia utilizando dióxido de carbono (CO2) como agente para la insuflación3–7. Las características de este gas podrían potencialmente disminuir el dolor y la distensión poscolonoscopia mejorando la tolerancia de los pacientes y disminuyendo los efectos secundarios. A continuación se revisan los fundamentos para la utilización de este gas, datos disponibles sobre seguridad y eficacia, y otras posibles ventajas relacionadas con su utilización.
Fundamento para la utilización de dióxido de carbono durante la colonoscopiaComo se ha mencionado previamente, en todos los procedimientos de endoscopia digestiva se requiere la insuflación de gas, tradicionalmente aire ambiente, para lograr la distensión de la luz y conseguir la visualización de la mucosa. El volumen de gas insuflado excede en mucho el que existe en el tracto gastrointestinal en condiciones fisiológicas. De hecho, se estima que el gas fisiológico en el tubo digestivo es de 0,1 a 1,0 l8, mientras que el aire insuflado en el transcurso de una colonoscopia varía desde 8 a 14 l9,10. Esta variación en el volumen de aire insuflado puede explicarse entre otros factores por la longitud del colon que como bien queda reflejado en la figura 1 presenta importantes variaciones de unos individuos a otros, fundamentalmente a expensas en la variación de la longitud del colon sigmoide y del colon transverso11.
Diferencias anatómicas del colon mediante reconstrucción 3D con tomografía computarizada que muestra diversos grados de complejidad. (Fuente: Khashab et al.11)
El principal beneficio de la utilización de CO2 se desprende de su alta solubilidad en agua y rápida absorción por la mucosa intestinal lo que permite una rápida descompresión del intestino que potencialmente disminuye el dolor durante y después del procedimiento así como el tiempo de recuperación. La descompresión rápida del intestino se ha podido comprobar en un modelo experimental que comparaba la insuflación del intestino de la rata con aire ambiente frente a la insuflación con CO2 utilizando una presión fija de 60mmHg12. En los 2 grupos de estudio se observó una disminución progresiva de la distensión intestinal a lo largo del tiempo. En el grupo de aire, la presión intraluminal disminuyó lentamente permaneciendo en 47,9±1,8mmHg 30 min después de la insuflación. En cambio, en el grupo de CO2, la presión intraluminal disminuyó significativamente a 6,9±1,8mmHg 5 min después de la insuflación, volviendo a la presión basal a los 10 min del procedimiento. También se observaron diferencias en el diámetro del segmento intestinal insuflado. Inmediatamente después de la insuflación no hubo diferencias en el diámetro entre los 2 grupos. Sin embargo, en el grupo de aire el diámetro permaneció en 9,5±0,4mm a los 30 min, mientras que en el grupo de CO2 el diámetro había disminuido significativamente a los 10 min (8,8 ± 0,8mm) y regresado al valor preinsuflación (5,8 ± 0,5mm) a los 15 min.
Seguridad de la insuflación de dióxido de carbonoUn aspecto importante para la estandarización de este procedimiento es su seguridad ya que el uso de CO2 podría interferir en el equilibrio acidobásico del organismo como se ha mostrado en la cirugía laparoscópica donde es frecuente observar una elevación de la pCO2 arterial.
Los resultados de 6 ensayos clínicos aleatorizados publicados hasta la fecha que recogen información en relación con la seguridad de la administración de CO2 demuestran que no hay complicaciones respiratorias relacionadas con este procedimiento13. Es importante destacar que en la mayoría de estos estudios se excluyeron pacientes con afectación respiratoria severa o enfermedad pulmonar obstructiva crónica con retención conocida de CO2. Ahora bien, en estos pacientes la utilización de un gas que descomprima rápidamente la distensión abdominal podría ser potencialmente beneficiosa ya que disminuiría la restricción secundaria al aumento de presión abdominal por lo que resulta atractivo ensayar la utilización de CO2 en esta población de pacientes. Globalmente los estudios antes mencionados reflejan que en el transcurso de la colonoscopia con CO2 se incrementa la presión arterial de CO2, pero siempre dentro del rango normal de referencia5. Recientemente los resultados de un metaanálisis que incluye los estudios anteriormente mencionados, junto con 4 ensayos clínicos aleatorizados más, han confirmado los mismos resultados en cuanto a la seguridad de la insuflación con CO214.
Hay 2 situaciones que merecen especial atención como son la utilización de sedación en la colonoscopia y los procedimientos prolongados. Los pacientes sedados tienen mayor propensión para la retención de CO2 y la sedación por sí misma puede producir un deterioro de la respiración. Los datos disponibles a este respecto confirman que la utilización de CO2 en pacientes sedados no incrementa de forma patológica la concentración de CO2, si bien la determinación no invasiva de CO2 (ETCO2) fue superior en los pacientes sedados en comparación con los pacientes que no recibieron sedación15. En relación con procedimientos prolongados, tampoco se observaron incrementos patológicos de CO2 en un estudio de disección endoscópica submucosa de colon en que comparaban la utilización de CO2 y aire. No hubo diferencias estadísticamente significativas ni en cuanto al tamaño de la lesión extirpada (32±15 frente a 30±14mm) ni en cuanto al tiempo empleado (90±57 frente a 100±80 min). Sin embargo, sí que se encontraron diferencias en la dosis de midazolam administrada, que fue significativamente menor en el grupo de pacientes en el que se utilizó CO2 como agente insuflante (5,6±4,9 frente a 9,7±5,9mg; p=0,005). Además, en relación con las complicaciones no hubo ninguna perforación en el grupo de CO2 y en cambio ocurrieron 3 perforaciones en el grupo control16.
Eficacia de la insuflación de dióxido de carbonoNumerosos estudios han comparado el dolor secundario al procedimiento endoscópico cuando se utiliza aire o CO2 medido mediante una escala visual analógica con un rango comprendido entre 0 y 10, correspondiendo el 0 a la ausencia de dolor y el 10 al peor dolor imaginable. Las mediciones han sido hechas en diferentes intervalos de tiempo según los estudios, por lo que resulta imposible agruparlos. Sin embargo, globalmente se observa una disminución del dolor en el grupo de pacientes en los que se utilizó CO2 para la insuflación en comparación con el grupo de pacientes en los que se utilizó aire ambiente14. La mayoría de estos estudios han hecho mediciones del dolor a la hora del procedimiento y posteriormente a las 3 y a las 6 h. Resulta interesante destacar 2 estudios presentados recientemente en los que se medía el dolor a los 1017 y a los 15 min18 después del procedimiento observando ya diferencias estadísticamente significativas a favor del grupo de CO2. Esta mejoría precoz del dolor puede tener su relevancia ya que potencialmente podría disminuir el tiempo de recuperación y acelerar la incorporación del paciente a su actividad habitual disminuyendo los costes indirectos.
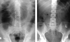
Dos estudios han medido el grado de distensión del intestino causado por la insuflación de gas durante la colonoscopia mediante radiografía simple de abdomen4,19. La radiografía se realizó una hora después de la colonoscopia y mediante una escala de 5 puntos se comparó la cantidad de gas presente tanto en el intestino delgado como en el intestino grueso entre ambos grupos. Como se puede ver en la figura 2, la cantidad de gas retenida al cabo de una hora en el intestino era menor en el grupo de pacientes en los que la colonoscopia se realizó con CO219. De hecho, hasta un 71% de los pacientes en los que la insuflación se había hecho con aire ambiente tuvieron una distensión colónica mayor de 6cm a la hora del procedimiento en comparación con solo un 4% de pacientes en los que se había utilizado CO2 para la insuflación.
Radiografía de abdomen una hora después de la colonoscopia en un paciente en el que se utilizó aire (derecha) para la insuflación y en otro paciente que se utilizó CO2 (izquierda). (Fuente: Sumanac et al.19)
La utilización de CO2 en la colonoscopia tiene otras ventajas adicionales como las que a continuación se enumeran:
- •
Elimina el riesgo de explosión en los procedimientos que utilizan electrocauterio en el colon. Aunque bajo, existe el riesgo de combustión con la utilización del electrobisturí en el colon, riesgo que se elimina cuando se utiliza CO2 como agente insuflante.
- •
Posibilita la realización inmediata de colonoscopia CT y/o otros procedimientos radiológicos, como la ecografía abdominal después de la colonoscopia.
- •
Apenas dificulta la realización de endoscopia intraoperatoria durante la laparoscopia para la localización de lesiones.
- •
Disponer del material, permite usarlo en otros procedimientos endoscópicos en los que también ha demostrado su eficacia y seguridad (CPRE, enteroscopia de doble balón, etc.)20,21.
Hasta la fecha no hay ningún estudio que evalúe el coste de la colonoscopia utilizando CO2 como agente insuflante. Es importante señalar que todo lo que se necesita es un dispensador de CO2 (los que actualmente existen en el mercado se pueden obtener por menos de la mitad del precio de un endoscopio convencional, suponen una inversión en una sola ocasión y sin apenas costes de mantenimiento) y el propio gas, cuyo coste por colonoscopia se ha estimado en menos de 0,1 €22. La obtención del CO2 de tomas centrales del hospital como se muestra en la figura 3 resulta más rentable que la utilización de botellas de CO2.
Material empleado para la insuflación de CO2. A) Dispensador de CO2 de la empresa Olympus. B) Botella de agua específica. C) Se muestra la conexión desde el insuflador de CO2 a la toma central instalada en la columna de endoscopia. D) Se muestra la alternativa a la situación anterior: conexión desde el insuflador con una botella de CO2.
Aunque los beneficios de la insuflación con CO2 pudieran considerarse «poco importantes» (disminución del dolor y de la distensión abdominal) en términos de costes, el impacto global es desconocido. Es posible que si la utilización de CO2 requiere menos dosis de sedación y se asocia a tiempos de recuperación más rápidos, los costes globales del procedimiento endoscópico podrían disminuir. Algunos autores señalan que también habría que considerar otros costes indirectos que habitualmente no se tienen en cuenta como es por ejemplo el absentismo laboral el día después de la colonoscopia. Se ha estimado que un 17% de los pacientes necesita más de 24 h para recuperarse después de una colonoscopia de cribado23 y que hasta un 20% de los pacientes necesita al menos 2 días o más para volver a su actividad habitual, incluído el trabajo24.
ConclusionesLa colonoscopia sigue siendo una prueba molesta no solo durante el tiempo que dura el procedimiento, sino también en las horas posteriores al mismo y la insuflación de aire es la principal causa. Diferentes estudios han demostrado que la utilización de CO2 para distender el colon durante la colonoscopia es segura incluso en pacientes sedados y en procedimientos prolongados. Se ha comprobado cómo su empleo se asocia a una disminución significativa tanto del dolor abdominal como de la distensión en las primeras 6 h después del procedimiento. Aunque se necesita una inversión inicial en material específico (insuflador de CO2), la conexión al sistema central del hospital minimiza los costes. Disponer de este material posibilita su uso en otros procedimientos endoscópicos (CPRE, enteroscopia de doble balón, etc.), mejorando la experiencia de los pacientes con la endoscopia digestiva. Por todo ello, parece razonable buscar su implementación progresiva en las salas de endoscopia.
Conflicto de interesesLos autores declaran no tener ningún conflicto de intereses.







