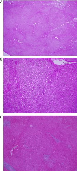
Varón de 57 años, con antecedentes de trombocitopenia de origen autoinmune y artritis reumatoide seropositiva diagnosticada en el año 2001, en tratamiento con rituximab, antiinflamatorios no esteroideos (AINE) y Dacortin® 5mg diarios. Ingresa por episodio de hemorragia digestiva alta consistente en deposiciones melénicas. Se realizó gastroscopia que evidencia la presencia de varices esofágicas de mediano tamaño, procediéndose a la ligadura con bandas. Los análisis mostraron: gamma-glutamil transpeptidasa (GGT) 117U/l, fosfatasa alcalina (FA) 119U/l, hemoblogina (Hb) 10g/dl y plaquetas 77.000/mm3. La ecografía abdominal describió un hígado de ecoestructura discretamente heterogénea, con contornos regulares, repermeabilización de la vena umbilical, vena porta dilatada, esplenomegalia con eje esplenoportal permeable, hallazgos corroborados por tomografía axial computarizada (TAC). El paciente negaba consumo de alcohol u otros tóxicos. Se solicitó serología de virus hepatotropos y autoinmunidad hepática (anticuerpos antinucleares (ANA), anticuerpos antimitocondriales (AMA), anticuerpos antimúsculo liso (AML), anticuerpos antimicrosomales tipo 1 de hígado y riñón [anti-LKM]), perfil férrico, niveles de ceruloplasmina y alfa-1-antitripsina, y la hormona estimulante del tiroides (TSH) siendo todo normal. Finalmente se realiza biopsia hepática con la obtención de mínimo material hepático, insuficiente para el diagnóstico, por lo que fue necesaria la obtención de una cuña hepática mediante abordaje quirúrgico laparoscópico, cuyo análisis histológico fue el siguiente: áreas de hiperplasia nodular regenerativa con cambio de célula grande y fibrosis septal focal, compatible con cirrosis septal incompleta (fig. 1). El paciente fue diagnosticado de una hipertensión portal no cirrótica (HTPNC) secundaria a una cirrosis septal incompleta. Cuatro años después mantiene revisiones con ecografía y gastroscopia para seguimiento de varices permaneciendo estable.
A) Baja magnificación (×2) con tinción con hematoxilina-eosina, evidencia áreas de hiperplasia nodular regenerativa y septos fibrosos delicados que a menudo son incompletos. B) Mayor magnificación (×10). C) Tinción tricrómica de Masson mostrando fibrosis periportal sin conexiones visible con otros tractos portales.
La cirrosis septal incompleta fue descrita por primera vez por Popper en el año 1966 como un tipo de cirrosis macronodular en la cual septos finos e incompletos delinean nódulos rudimentarios de regeneración1. Se trata de una entidad extremadamente infrecuente que en la actualidad se engloba dentro de las formas histológicas responsables de la HTPNC2.
La HTPNC es un raro trastorno caracterizado por el aumento de la presión portal intrahepática en ausencia de cirrosis, otras causas de enfermedad hepática y de trombosis del eje esplenoportal. Comprende un amplio espectro de características histológicas no específicas, que van desde cambios menores, dilatación sinusoidal, fleboesclerosis hasta fibrosis portal e hiperplasia nodular, y que hoy en día definen cada una de las formas responsables de la HTPNC: la fibrosis septal incompleta, esclerosis hepatoportal, fibrosis perisinusoidal, venopatía portal obliterativa e hiperplasia nodular regenerativa. Sin embargo, no está claro si estos cambios histológicos son diagnósticos de distintas entidades que comparten una misma presentación clínica, o por el contrario reflejan diferentes estadios de la misma enfermedad.
La forma más frecuente de la HTPNC es la hiperplasia nodular regenerativa, descrita sobre todo en asociación con enfermedades sistémicas o la toma de medicamentos, y que se identifica por la presencia de nódulos regenerativos en ausencia de fibrosis2,3; sin embargo, la cirrosis septal incompleta supone un hallazgo anatomopatológico mucho más inusual del que apenas existen referencias1,4,5.
La cirrosis septal incompleta se caracteriza por la existencia de una vaga nodularidad con finos tractos fibrosos incompletos que rodean nódulos de regeneración, espacios porta hipoplásicos sin inflamación, aumento de venas eferentes y sinusoides dilatados5. A veces el diagnóstico diferencial con otras entidades es casi imposible, sobre todo en biopsias con aguja, y solo puede ser sugerido. Hay que tener en cuenta que las características típicas pueden faltar o ser incompletas en una biopsia simple y su reconocimiento puede ser infraestimado, por lo que la obtención de una muestra mediante laparoscopia resulta mucho más rentable.
Ha sido descrita la presencia de rasgos solapados de esta y otras formas de HPTNC. Nakanuma et al. reevaluaron 107 biopsias hepáticas con HTPNC en Japón, y tan solo en 25 casos se describieron las características clásicas de la cirrosis septal incompleta, que presentaban además otros rasgos comunes con la transformación nodular parcial, planteándose si podría tratarse de estadios distintos de la misma enfermedad6. En la misma línea, la biopsia de nuestro paciente mostró también áreas de hiperplasia nodular regenerativa, cuestionándonos también la posibilidad del diagnóstico de formas evolutivas de la misma entidad. La concurrencia en una misma biopsia de la hiperplasia nodular regenerativa y de la cirrosis septal incompleta ha sido previamente referida en la literatura en un paciente con una hepatitis autoinmune tratado con azatriopina; los autores consideraron que la cirrosis septal incompleta podría ser el resultado de la regresión de la fibrosis tras la agresión hepática7. Recientemente ha sido publicado un caso de cirrosis septal en un paciente con esclerosis múltiple tratada con corticoides, que revirtió tras la retirada del tratamiento, apoyando la idea de que esta entidad supone proceso dinámico, y no necesariamente progresivo, si no que en algunos pacientes se postula como un estadio de regresión de la fibrosis4.
En conclusión, nuestro caso describe el hallazgo infrecuente de 2 entidades histológicas distintas, la hiperplasia nodular regenerativa y la cirrosis septal incompleta, en un paciente con HTPNC, lo cual podría apoyar la idea de que se trate en realidad de distintas fases de la misma enfermedad, relacionado con el proceso de evolución o involución de la fibrosis hepática.





