¿ INTRODUCCIÓN
El linfoma de Hodgkin es una neoplasia maligna frecuente en edad pediátrica, que tiene un pronóstico excelente con los tratamientos de quimio y radioterapia convencionales. El timofibrolipoma constituye una variante del timolipoma, que presenta amplias bandas fibrosas que atraviesan los componentes adiposo y tímico.1 El timolipoma es un tumor benigno del timo, poco frecuente, de crecimiento lento, compuesto de tejido adiposo maduro y tejido tímico normal. Puede alcanzar gran tamaño sin causar síntomas y frecuentemente se descubre como un hallazgo radiológico. El timolipoma comprende de 2% a 9% de los tumores mediastinales del timo. A pesar de su rareza, se debe considerar en el diagnóstico diferencial de tumores mediastinales anteriores,2 ya que puede asociarse a miastenia gravis, anemia, taquicardia paroxística por compromiso vagal, enfermedad de Graves y linfoma de Hodgkin; en niños se relaciona con hipoplasia eritrocítica, hipogamaglobulinemia y asma bronquial.3
Este tumor tiene características imagenológicas en la tomografía axial computada (TAC) y la resonancia magnética (MRI) que hacen posible su diagnóstico preoperatorio. En la TAC se observa como una masa voluminosa sólida, bien delimitada, con componente adiposo, sin provocar el efecto de masa; su tratamiento es quirúrgico.
¿ INFORME DE CASO
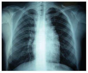
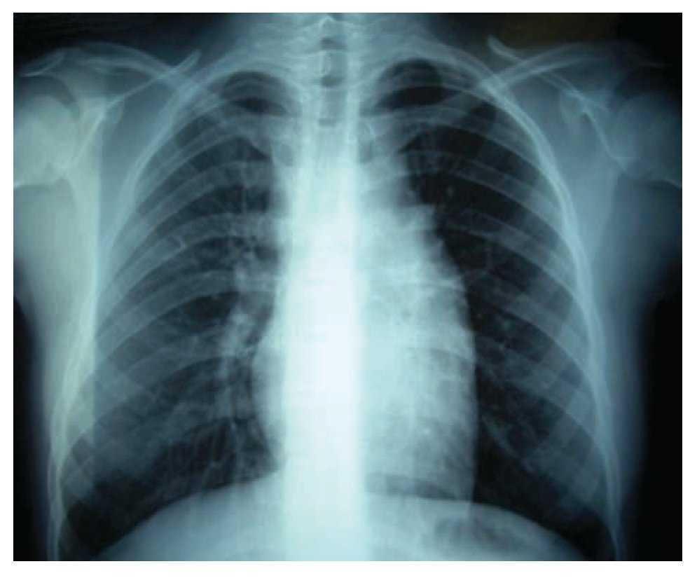
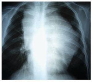
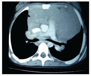
Adolescente femenino de 12 años de edad con antecedentes de cáncer materno en cinco miembros de la familia, con un cuadro de seis meses de evolución con deterioro de su estado general (astenia, adinamia, hiporexia, fiebre vespertina hasta de 380, pérdida de 8 kg de peso) y adenopatías periféricas. En la exploración física se percibe conglomerado ganglionar supraclavicular derecho e izquierdo de 5 cm por 3 cm, red venosa colateral en la cara antero-superior de hemitórax izquierdo, hipoventilación superior izquierda con matidez a la percusión; el resto de la exploración resulta negativa. Los exámenes de laboratorio fueron normales, excepto la velocidad de sedimentación globular 30 mm/60 min. La radiografía de tórax mostró una gran masa en el mediastino (Imagen 1); la tomografía axial computarizada de tórax reveló una imagen lobulada, hiperdensa hacia el parénquima pulmonar, localizada en el mediastino medio, anterior y superior, que desplazaba la silueta cardiaca hacia abajo y hacia el lado izquierdo, la cual mostraba reforzamiento leve cuando se aplicó contraste. Además, comprimía, en su porción posterior, ambos hilios sin obliterarlos; el parénquima pulmonar sin alteraciones (Imagen 2).
Imagen 1. Radiografía simple de tórax, donde se observa una gran masa mediastinal.
Imagen 2. Corte tomográfico que muestra una imagen lobulada hiperdensa en dirección del parénquima pulmonar, que se ubica en el mediastino medio, anterior y superior.
La tomografía axial computarizada de abdomen y la serie ósea metastásica resultaron negativas. Se le realizó un ecocardiograma que resultó normal. Sólo la biopsia incisional del conglomerado ganglionar supraclavicular derecho resultó compatible con linfoma de Hodgkin y esclerosis ganglionar; la inmunohistoquímica muestra CD 45 y CD 20 positivos en células de Reed-Sternberg, CD 15 y CD 30 positivos focales en células de Reed-Sternberg.
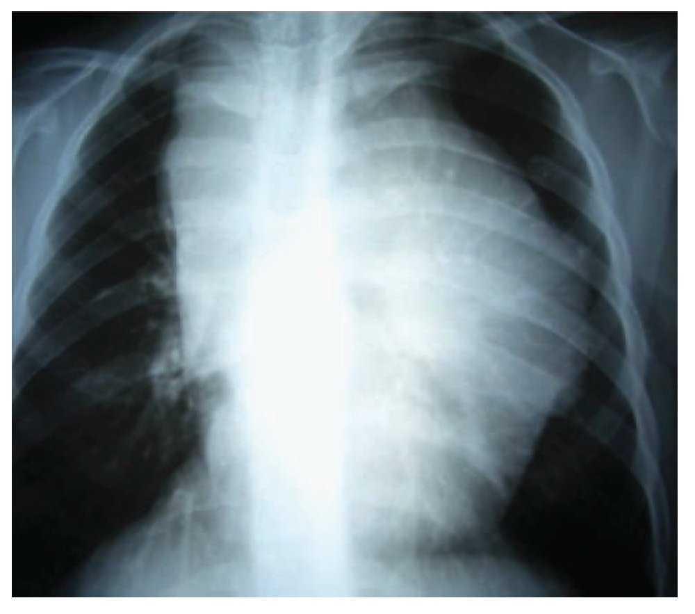
Por estas evidencias, se inició el tratamiento quimioterápico, con ciclos alternos de ciclofosfamida-vincristina-prednisona/doxorrubicinavinblastina-bleomicina-dacarbazina (COP/AVBD). Después del primer ciclo de quimioterapia, desaparecieron los síntomas generales, la adenopatía periférica y hubo disminución de la masa mediastinal; después de tres ciclos de tratamiento se observó persistencia del ensanchamiento mediastinal. Se optó entonces por aplicación de radioterapia en Mantle 25.2 Gy. En el monitoreo radiográfico posterior, se observó que aún perduraba el tumor mediastinal; razón por la que se le administraron dos ciclos más de COP/AVBD. Dado persístela persistencia de la misma imagen, se decidió cambiar el tratamiento a ifosfamida-carboplatino-etopósido (ICE) de tres ciclos. Por estudios radiográficos se observó una masa residual (Imagen 3), por lo que a la paciente se le realizó una toracotomía de exploración; con la que se localiza masa tímica, adherida al pericardio y grandes vasos; se tomó biopsia, que en el análisis histopatológico señaló timofibrolipoma. Por este dato, la decisión a la que llegó fue a la vigilancia de la evolución de la paciente. En la actualidad, su control con placas radiográficas ha revelado que la masa mediastinal permanece sin cambios y sin repercusión clínica evidente.
Imagen 3. Radiografía simple de tórax (de seguimiento) que muestra persistencia de un leve ensanchamiento mediastinal.
¿ DISCUSIÓN
Se sabe que existe asociación entre linfoma de Hodgkin y timolipoma, sin embargo, la presentación de ambas patologías es rara y, hasta ahora, se desconoce la causa de esta asociación.4,5 En niños, resultan malignos 83 % de los tumores del mediastino;6 el linfoma de Hodgkin representa 25% a 30% de todos los linfomas.7 La variedad denominada esclerosis ganglionar del linfoma de Hodgkin es bien conocida, dado que se manifiesta con masa mediastinal anterior, que incluye al timo.8 Dada esta característica, inicialmente no se sospechó en la coexistencia de un tumor benigno, amén de que en la tomografía de tórax no se observó que hubiera tejido graso (el componente fibroso en este tumor le confirió un cambio en la imagen típica tomográfica). La persistencia de la masa mediastinal, a pesar del tratamiento de primera y segunda líneas, así como de radioterapia, obligó a la búsqueda de otra patología mediante toma de biopsia.
En nuestro servicio es el primer caso de linfoma de Hodgkin asociado a timofibrolipoma. Cuando hay persistencia de una masa mediastinal en un paciente con linfoma de Hodgkin, después administrar el tratamiento adecuado, debe tenerse en cuenta la posibilidad de otros tumores concomitantes dependientes del timo.9 Actualmente, ya disponemos de la tomografía con emisión de positrones, con la que se hace posible la diferenciación entre tumores benignos y malignos.10
Correspondencia:
Dra. Sandra F.
Páez Aguirre. Av. Félix Cuevas 540, Col. Del Valle. México D.F. C.P. 03000.
Teléfono: 5200 5003 Ext. 14338.
Correo electrónico:sandra_fpa@hotmail.com




