Se presenta el caso de un paciente con una lesión con comportamiento típico de carcinoma hepatocelular (CHC), por criterios de imagen. Ésta fue sometida a tratamiento de quimioembolización y al seguimiento presentó respuesta parcial, se interrogó las arterias abdominales, encontrando aporte del tumor por medio de la frénica derecha. Se presenta una revisión de la literatura de las arterias extrahepáticas, que pueden irrigar estos tumores.
We present a patient with a hepatocellular carcinoma by imaging criteria. This patient underwent transarterial chemoembolization with partial response at follow up. Upon exploration of abdominal arteries, irrigation from the phrenic artery was encountered. A brief revision of collateral extra hepatic arterial supply to these tumors is presented.
Introducción
En la actualidad, la quimioembolización intraarterial (QEIA) es el tratamiento estándar para los pacientes con carcinoma hepatocelular (CHC) en estadio intermedio y función hepática conservada (Child-Pugh A y B). El conocimiento de las variantes anatómicas que pueden irrigar estos tumores, es esencial para obtener buenos resultados en estos pacientes. Se presenta el caso de un paciente con circulación extrahepática, con irrigación a un CHC en estadio intermedio.
Presentación del caso
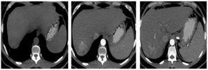
Paciente masculino de 42 años de edad, previamente santo. Debutó en septiembre del 2010 con melena, sin tratamiento. En enero del 2011 presenta un cuadro de hematemesis, se inicia estudio documentando várices esofágicas en endoscopia superior. Se realizó ultrasonido donde se encuentran datos sugerentes de hipertensión portal. El 22 de abril del mismo año, se documenta infección por virus de hepatitis C. Se inicia seguimiento por imagen y en junio del 2011 se documenta lesión en tomografía con comportamiento típico de hepatocarcinoma en el segmento VII, de 6 cm de diámetro (fig. 1). El paciente se encontraba en clasificación B de la Clínica de Barcelona.
Figura 1. Tumor en segmento VII del hígado de 6 cm de diámetro. En TC contrastada presenta comportamiento típico de CHC por criterios de imagen.
En agosto 2011, se realiza quimioembolización presentando respuesta parcial en el estudio de seguimiento a 3 meses. Se realizó QEIA nuevamente en diciembre 2011 (fig. 2). En seguimiento, se observa zona de captación en la periferia del tumor, en territorio subdiafragmático (fig. 3); en marzo del 2012 se decide realizar nueva QEIA. Por la localización de la zona con actividad, se realiza angiografía selectiva de probables ramas accesorias. En angiografía previa a la embolización, se identifica irrigación de la zona de actividad por parte de la arteria frénica derecha (fig. 4). Se realiza embolización blanda y ablación por radiofrecuencia (ARF). Última resonancia magnética dinámica de abril 2013, sin evidencia de activad tumoral (fig. 5).
Figura 2. Angiografía y QEIA a través de la arteria hepática derecha desde el tronco celíaco. Se observa captación del lipiodol y cisplatino por parte del tumor. Se identifica un defecto en la porción superior y lateral de la lesión.
Figura 3. RM de control. Se observa una zona de actividad periférica en segmento VII, que muestra restricción de la difusión (flecha) y realce arterial y lavado (cabeza de flechas) durante la fase dinámica. La zona hipodensa (*) corresponde a la zona de necrosis posterior a la QEIA.
Figura 4. Angiografía previa a la embolización de la enfermedad residual. Se observa ausencia de irrigación por parte de la arteria hepática, e irrigación del tumor por parte de la arteria frénica derecha.
Figura 5. RM de control, donde se muestra difusión y fase contrastada dinámica. No hay evidencia de realce que sugiera actividad tumoral.
Discusión
El CHC es la neoplasia maligna primaria más común de hígado, y representa el 5° cáncer más común en el mundo. Sin tratamiento, el promedio de supervivencia de los pacientes con CHC es de 8 semanas a partir de la presentación sintomática. La QEIA se utiliza ampliamente para tratar los tumores irresecables. La quimioembolización se puede realizar debido a que el parénquima hepático normal recibe un suministro de sangre dual de la arteria hepática y la vena porta, mientras que los CHC se suministran exclusivamente por la arteria hepática. Sin embargo, como en el caso de nuestro paciente cuando un tumor es grande o se localiza cerca de la cápsula del hígado, puede recibir los suministros de los vasos distintos de arterias hepáticas, siendo el más común la arteria frénica inferior1.
Hay situaciones en el cual el CHC es irrigado por arterias colaterales extrahepáticas, incluso cuando la arteria hepática es patente y esto interfiere con el control eficaz del tumor con QEIA2. Por ende, es importante que radiólogos intervencionistas estén familiarizados con la gama de colaterales extrahepáticas que pueden existir (fig. 6), y los factores que conducen a su formación, y su apariencia en la tomografía computarizada (TC) y angiografía convencional, para poder dar un tratamiento óptimo y prevenir complicaciones. Se han hecho investigaciones sobre la QEIA selectiva a través de la arteria frénica inferior, demostrándose buena respuesta de los tumores3.
Figura 6. Arterias suplementarias potenciales según la localización del tumor. 1: mamaria interna, 2: pericardiofrénica, 3: músculo frénica, 4: frénica inferior, 5: adrenal superior, 6: capsular inferior, 7: capsular superior, 8: omental, 9: cólica, 10: intercostal, 11: gástrica izquierda, 12: gastroepiplóica.
Las arterias colaterales más comúnmente involucradas son la frénica inferior como en el caso de nuestro paciente, las arterias mamarias e intercostales internas. Otras son la rama omental, la arteria suprarrenal, la arteria cística, la arteria renal y la renal capsular, la arteria gástrica y lumbar, y ramas de la mesentérica superior. El contacto directo o invasión en otros órganos, incluyendo estómago, colon, glándula suprarrenal y riñón, pueden crear suministro de sangre al tumor a partir de estos órganos4.
Se sospecha de vasos colaterales extrahepáticos cuando (a) un tumor creció exofíticamente o ha invadido órganos adyacentes, (b) un tumor está en contacto con los ligamentos y área desnuda del hígado, (c) se observa un vaso colateral extrahepático dilatado en una TAC, (d) un defecto periférico de aceite yodado dentro de un tumor durante la QEIA o en una TAC de seguimiento, (e) cuando una recurrencia local se desarrolló en la parte periférica del tumor tratado durante el seguimiento, o (f) una elevación sérica sostenida de α-fetoproteína a pesar de adecuada embolización de la arteria hepática5.
Como se había mencionado, la arteria frénica inferior derecha es el vaso colateral extrahepático más común que irriga el CHC. La arteria frénica inferior irriga la mayor parte del diafragma, incluyendo el área en contacto con el área desnuda del hígado, y anastomosis con las arterias adyacentes, incluyendo las arterias mamarias, intercostales, y suprarrenal internos4.
Las arterias frénicas inferiores derecha e izquierda generalmente se originan en el tronco celíaco, o directamente de la aorta como un tronco común o independiente. Con menor frecuencia, surgen de las arterias renales o más raramente, de la gástrica izquierda o arterias hepáticas. En las tomografías en la fase arterial en la mayoría de los casos se puede observar su origen. Cuando el tumor se encuentra en el segmento VII y está en contacto con el hemidiafragma derecho, la angiografía selectiva de la arteria frénica inferior derecha es obligatoria. Cuando el tumor se encuentra en los segmentos 2 o 3, y está en contacto con el hemidiafragma izquierdo, debe revisarse la arteria frénica inferior izquierda. Los pacientes suelen quejarse de dolor en el hombro u opresión en el pecho durante la embolización de la arteria frénica inferior6.
La arteria mamaria interna surge de la parte proximal de la arteria subclavia, opuesto al origen de la arteria vertebral. Irriga la porción más anterior del diafragma y da ramas intercostales anteriores, la arteria pericardiofrénica, arterias mediastínicas anteriores, ramas pericárdicas y ramas esternales. La arteria pericardiofrénica típicamente se une con la arteria frénica inferior. A nivel del 6° espacio intercostal, la arteria mamaria interna se divide en la arteria músculo-frénica y la arteria epigástrica superior. La arteria músculo-frénica pasa oblicuamente hacia abajo y lateralmente, detrás del 7°, 8° y 9° cartílago costal. Perfora el diafragma cerca del 9° cartílago costal y termina frente al último espacio intercostal. Emite 2 ramas intercostales anteriores a cada uno del 7°, 8° y 9° espacios intercostales, y se anastomosa con la arteria frénica inferior. La arteria epigástrica superior emite algunas ramas para el diafragma, que se extienden en el ligamento falciforme del hígado y se anastomosan con la arteria hepática. Independientemente de la permeabilidad de la arteria hepática, cuando un CHC se encuentra en las zonas ventrales hepáticas, se apoya en el diafragma y la pared anterior del abdomen, las arterias mamarias internas pueden irrigar estos tumores. Los CHC ubicados en los segmentos VIII o IV se alimentan de la arteria mamaria interna derecha, mientras que los que están ubicados en el segmento lateral izquierdo son alimentados por la arteria mamaria interna izquierda.
Hay 9 pares de arterias intercostales posteriores que se originan en la cara dorsal de la aorta torácica. Se anastomosan con las ramas intercostales anteriores de la arteria mamaria interna después de dar la rama dorsal, la rama intercostal colateral y la rama muscular. Las arterias intercostales inferiores posteriores se anastomosan con la arteria frénica inferior en el sitio de inserción del diafragma.
Una arteria intercostal hipertrofiada puede ser observada como una estructura lineal puntiforme, justo por debajo de las costillas en las CT en fase arterial.
El CHC en contacto con la porción inferolateral del diafragma, se suministran con frecuencia por las arterias intercostales posteriores. Los CHC que invaden la pared abdominal se irrigan por las arterias intercostales inferiores, subcostales o lumbares. La arteria intercostal, siempre atraviesa el sitio de inserción del diafragma para suministrar el CHC, y hace un giro agudo hacia arriba cerca de la unión costocondral. Un microcatéter debe ser avanzado más allá de la inserción diafragmática hasta la caja torácica, donde se observa un giro agudo vertical, para evitar posibles complicaciones como necrosis de la piel y el infarto espinal. Los niveles comunes de las arterias intercostales que irrigan el CHC son T10, T9 y T11, en orden de frecuencia. En ocasiones, los CHC que están en contacto con la porción posteroinferior del diafragma pueden ser irrigados por las arterias subcostales y lumbares7.
La rama omental de la arteria gastroepiploica o en casos raros de la arteria dorsal del páncreas, es la segunda más común de los vasos colaterales. Mientras que la mayoría de los otros vasos colaterales extrahepáticos entran en el hígado a través del ligamento suspensorio o área desnuda del hígado, la rama omental suministra el tumor por adhesión directa al epiplón. Las ramas del epiplón por lo general son pequeñas, y provienen en un ángulo agudo de la arteria gastroepiploica. Existen varias ramas epiploicas en pacientes sanos, pero es difícil identificarlas en angiografías. Sin embargo, cuando una rama omental irriga un CHC, se convierte lo suficientemente dilatada para ser reconocible por angiografía del tronco celíaco. Por lo tanto, una cuidadosa revisión de la angiografía celíaca es un primer paso para la detección de la rama omental que suministra un CHC. En pacientes con un CHC roto, la hemostasia puede lograrse con QEIA a través de la rama omental. Debido a que el epiplón mayor es notablemente móvil, la rama omental puede suministrar un tumor en cualquier región intraperitoneal del hígado. En los pacientes con cirrosis hepática, el volumen hepático se reduce tan marcadamente que un tumor exofítico en la cúpula del hígado puede ser irrigado por una rama de epiplón con un trayecto largo8.
Si un tumor se extiende inferomedial, las arterias suprarrenales pueden irrigar el tumor. La glándula suprarrenal tiene 3 fuentes de suministro arterial: una arteria suprarrenal superior que surge de la arteria frénica inferior, una arteria suprarrenal media que surge de la cara lateral de la aorta en un nivel entre las arterias renales y celíacas, y una arteria suprarrenal inferior que surge de la cara superior de la arteria renal ipsilateral. El realce normal de la glándula suprarrenal es triangular.
En angiografías frénicas inferiores, se observa generalmente la arteria suprarrenal superior y la glándula adrenal normal. Por lo tanto, el realce de la glándula adrenal normal no debe ser confundido con un tumor en angiografías de la arteria frénica.
Si un tumor se extiende posteroinferior, puede ser que esté alimentado por las arterias renales capsulares y renales. La arteria capsular superior, por lo general se proviene juntamente con la arteria suprarrenal inferior desde la arteria renal y sigue un camino tortuoso característico sobre el polo superior del riñón. Las arterias capsulares perforantes surgen de las arterias arqueadas e interlobares, que son ramas de la arteria renal. En casos avanzados de CHC, múltiples arterias irrigan el tumor, y puede ser difícil de diferenciar de la arteria renal capsular, la arteria renal y la arteria suprarrenal inferior.
Debido al crecimiento exofítico y la infiltración extracapsular, un CHC puede tener contacto directo con los órganos intraabdominales, tales como el colon y el estómago. Cuando un tumor exofítico se encuentra en la punta inferior del lóbulo hepático derecho, el ángulo hepático del colon puede estar en estrecho contacto con el tumor. Una rama de la arteria mesentérica superior, en particular la rama cólica, puede irrigar el tumor.
Cuando el CHC tiene un contacto amplio con el estómago, la arteria gástrica puede irrigar el tumor. La arteria gástrica izquierda nace generalmente desde el tronco celíaco y rara vez a partir de la aorta supracelíaca. La arteria gástrica derecha suele nacer de la hepática propia y arteria hepática izquierda, e infrecuentemente de la arteria hepática común y gastroduodenal. El realce del estómago normal a menudo puede imitar un tumor. Para evitar la embolización accidental del estómago, se debe intentar la cateterización selectiva, pero esta técnica no se puede lograr en muchos casos.
La arteria cística es la primera rama de la arteria hepática derecha y por lo general, irriga el parénquima hepático cerca de la vesícula. Cuando el tumor protruye a la fosa vesicular, que puede ser irrigado por la arteria cística, a pesar de una arteria hepática intacta. Cuando las arterias hepáticas son atenuadas debido a QEIA repetida, un tumor localizado a cierta distancia de la fosa vesicular puede ser alimentado por la arteria cística.
La embolización de la arteria cística puede causar colecistitis o infarto de vesícula biliar, pero la QEIA después de la cateterización selectiva de la rama que alimenta el tumor, es generalmente seguro9.
Cuando se realiza QEIA de vasos colaterales, existe el riesgo de embolización de ramas no blanco, que puede conducir a una variedad de complicaciones, dependiendo de la ubicación. Pueden surgir problemas cutáneos, tales como picor, eritema y necrosis, cuando se emboliza la arteria mamaria, intercostales o lumbares internas. La erosión gastrointestinal, ulceración o perforación pueden ser causadas por embolización de la arteria gástrica, epiploica y rama cólica. La paraplejia puede resultar de la embolización accidental de las ramas espinales que surgen de los vasos colaterales intercostales o lumbares, y embolización de la arteria cística puede causar colecistitis o infarto de la vesícula biliar. La quimioembolización de la arteria frénica inferior puede dar lugar a dolor en el hombro, derrame pleural o atelectasia basal.
Para evitar estas complicaciones, la cateterización selectiva debería lograrse mediante la colocación de la punta del catéter lo más cerca posible a la rama o ramas, que suministran una neoplasia específica. En segundo lugar, los materiales embólicos deben ser infundidos lentamente para evitar reflujo de dicho material en una rama no-objetivo. En tercer lugar, los coils y las partículas de esponja de gelatina se pueden utilizar para ocluir y proteger el territorio de las ramas distales normales antes de la quimioembolización. Para reducir el dolor en el hombro, se recomienda que una pequeña cantidad de lidocaína al 1%, se inyecte por vía intraarterial durante la embolización de la arteria frénica inferior10.
Conflicto de intereses
Los autores declaran no tener ningún conflicto de intereses.
Financiamiento
Los autores no recibieron patrocinio para llevar a cabo este artículo.
* Autor para correspondencia:
Departamento de Radiología e Imagen Molecular, Instituto Nacional de Ciencias Médicas y Nutrición "Salvador Zubirán".
Vasco de Quiroga N° 15, Colonia Sección XVI, Delegación Tlalpan, C.P. 14000, México D.F., México.
Teléfono: 5487 0900, ext. 2157. Celular: 55 3955 0999.
Correo electrónico: bees92@gmail.com (Bernabé Carrillo-Ayuso).







