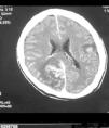
Paciente varón de 40 años, con antecedentes de tabaquismo y prácticas sexuales de riesgo, que consulta por un cuadro progresivo de unas 2 semanas de evolución de pérdida de fuerza en hemicuerpo izquierdo, alteraciones visuales y cefalea. No se refería fiebre ni cuadro constitucional. Exploración física general sin hallazgos, manteniendo el paciente buen nivel de conciencia y aceptable estado general. En la exploración neurológica se podía constatar una hemianopsia homónima izquierda, paresia facial central izquierda, hemiparesia izquierda (3/5) de predominio crural, con hemidisestesia y reflejos osteotendinosos exaltados ipsilaterales. Los análisis de laboratorio mostraron linfopenia (600/(l), con cifras de hemoglobina y plaquetas normales, estudios de coagulación y bioquímicos dentro de la normalidad, incluyendo función renal, perfil hepático, LDH y sistemático de orina. La radiografía de tórax y el ecocardiograma transtorácico fueron normales. Se realizó una TC craneal que evidenciaba múltiples lesiones focales supratentoriales, hiperdensas en el estudio sin contraste en relación con hemorragia de las mismas, con realce tras contraste intravenoso y edema vasogénico periférico (fig. 1). La RM craneal mostraba múltiples lesiones focales supra e infratentoriales, hiperintensas en las secuencias potenciadas en T1 y en T2, muchas de ellas con realce heterogéneo tras la administración de contraste y con hemorragia (fig. 2). Se completaron estudios microbiológicos que confirmaron infección por VIH con serología positiva (ELISA y W. Blot), carga viral de 4,36 log10 copias/ml, CD4: 11,9% (71/mm3), serología toxoplasma IgG positiva, despistaje negativo de otras coinfecciones y patologías oportunistas (serología LUES, VHB y VHC negativas, baciloscopias y cultivo micobacterias de esputo y orina negativos, test de Mantoux negativo, determinación de antígeno criptocócico en suero negativo y PCR de citomegalovirus en plasma negativa).
Ante el diagnóstico de infección por VIH con severa inmunodepresión, serología positiva de toxoplasma y hallazgo de múltiples lesiones focales encefálicas en las pruebas de neuroimagen, se decidió iniciar tratamiento empírico anti-toxoplasma con sulfadiazina (1 g/6 horas vo) y pirimetamina (100mg vo el primer día, seguido de 50mg/día en días sucesivos) más ácido folínico (10mg/día vo), así como tratamiento antirretroviral de gran actividad (TARGA) con la combinación de emtricitabina (200mg/día vo), tenofovir (300mg/día vo) y lopinavir/ritonavir (400/100mg 2 veces al día, vo) y esteroides (dexametasona 4mg/8 horas vo). No obstante, se indicó la realización de biopsia cerebral estereotáxica ante los hallazgos de hemorragia en algunas de las lesiones focales, forma de presentación poco descrita en la toxoplasmosis cerebral y que obligaba a descartar otras patologías. Los resultados de la biopsia cerebral confirmaron el diagnóstico de toxoplasmosis cerebral con la observación de áreas de necrosis tisular e inflamación y la identificación de taquizoitos mediante técnica de inmunoperoxidasa con suero anti-Toxoplasma gondii. Se suspendió el tratamiento esteroideo y se completaron 8 semanas de tratamiento de inducción anti-toxoplasma. Una RM de control al finalizar el tratamiento mostraba la práctica resolución de todas las lesiones. Desde el punto de vista clínico el paciente presentó mejoría de su focalidad neurológica, con recuperación parcial de la visión en hemicampo izquierdo y de la hemiparesia izquierda. Continuó con profilaxis secundaria anti-toxoplasma (pirimetamina 25mg/d y sulfadiazina 2 g/d) que se decidió suspender a los 9 meses de seguimiento por adecuado control virológico de la infección por VIH (6 meses de carga viral VIH<50 copias/ml) y recuperación inmunológica (CD4 340/mm3).
Comentario finalLa toxoplasmosis cerebral es la causa más frecuente de lesión neurológica focal en los pacientes con sida. Su incidencia varía entre 3-50% y en el 30-50% de los pacientes es la primera infección oportunista1. Se manifiesta con signos focales o difusos de tipo encefalopatía2. La neuroimagen generalmente muestra varias lesiones que son hipodensas en la TC e hipointensas en T1 e hiperintensas en T2 en la RM, con captación de contraste en anillo y con efecto de masa3. Ante un paciente infectado por VIH con lesiones focales cerebrales, serología positiva de toxoplasma y presencia de neuroimagen compatible, es procedente hacer una prueba terapéutica antitoxoplasma, ya que aparece una respuesta clínico-radiológica en el 80-90% de los pacientes en las primeras dos semanas. El hallazgo de lesiones hemorrágicas en la toxoplasmosis cerebral se ha descrito en relación con casos congénitos y, en los adultos, como complicación evolutiva tras el tratamiento antitoxoplasma4. Sin embargo, son pocos los casos descritos en la literatura científica como forma de presentación clínica en adultos (como el caso que comunicamos), todos ellos en pacientes coinfectados por el VIH y con un curso clínico fatal en la mayoría de las ocasiones5–8. Por esta razón, la toxoplasmosis cerebral hemorrágica se ha considerado clásicamente como una entidad clínica «excepcional» en adultos. Ello contrasta con los resultados recientemente comunicados por Bhagavati et al.9, en el que identifican una alta frecuencia de lesiones hemorrágicas (54%) como debut de una toxoplasmosis cerebral en pacientes con infección por VIH severamente inmunodeprimidos, y que los autores relacionan con la utilización creciente de técnicas de RM craneal de alta sensibilidad en la valoración rutinaria de estos pacientes. La mortalidad de las formas hemorrágicas de toxoplasmosis en esta serie fue del 33%. En el diagnóstico diferencial de las lesiones hemorrágicas intracerebrales en pacientes con infección por VIH hemos de considerar diferentes entidades como sarcoma de Kaposi, linfoma cerebral, metástasis, encefalitis por grupo Herpes, alteraciones de la coagulación, púrpura trombocitopénica, malformación arteriovenosa, infarto cerebral, hemorragia espontánea en relación con aneurisma micótico y absceso bacteriano. Se ha postulado que la hemorragia en la toxoplasmosis cerebral podría ser consecuencia de una vasculitis mediada inmunológicamente, con consiguientes trombosis y necrosis fibrinoide de las paredes de los vasos, de forma similar a lo que ocurre con la toxoplasmosis congénita. Otra hipótesis se basa en la parasitación directa de las células endoteliales, con posterior destrucción de estas y la aparición de hemorragia. En definitiva, debemos de considerar el diagnóstico de la toxoplasmosis cerebral ante el hallazgo de múltiples lesiones focales hemorrágicas en las pruebas de neuroimagen de un paciente infectado por VIH, de modo que dichos hallazgos no supongan un retraso en el diagnóstico y en el inicio del tratamiento específico, factores relacionados con un peor pronóstico.





