Se presenta el caso de un varón de 23 años, procedente de Mali, que acudió a urgencias por dolor ocular y pérdida de visión del ojo derecho. Al examen físico se apreció hiperemia conjuntival, pupila arreactiva, Tyndall positivo, sinequias posteriores y rubeosis del iris derecho. Con el fondo de ojo se visualizó una lesión coroidea derecha con desprendimiento de retina asociado, que fue confirmada por una ecografía ocular (fig. 1). También, se apreció una adenopatía submandibular derecha de consistencia dura y dolorosa.
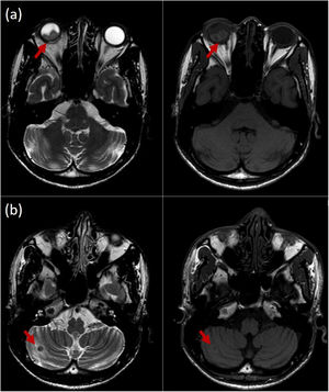
El paciente fue ingresado para estudio. La resonancia magnética orbitaria evidenció un desprendimiento completo de retina del ojo derecho secundario a lesiones retinianas elevadas quísticas, que ocupaban los cuadrantes inferiores del globo ocular (fig. 2A). Los hallazgos descritos plantearon el diagnóstico diferencial entre tumoración quística retiniana, quistes parasitarios y, menos probable, quistes intrarretinianos hemorrágicos. También se apreció una lesión ocupante de espacio en el hemisferio cerebeloso derecho (fig. 2B).
A) Resonancia magnética orbitaria en T2 y T1, que evidenció lesiones retinianas con realce liso de sus paredes, que ocupaban los cuadrantes inferiores del globo ocular. B) Lesión de 8mm en el hemisferio cerebeloso derecho, hipointensa en T2, con relace en anillo y ligeramente hiperintensa en T1.
Inicialmente se realizó un hemograma, un estudio bioquímico convencional y un sistemático de orina, con resultados dentro de la normalidad. En los estudios específicos de enfermedades infecciosas posteriores se incluyó el cribado del paciente subsahariano y se descartaron parasitosis intestinales, estrongiloidosis, filariosis, parasitosis genitourinarias, malaria y leishmaniosis. También se solicitó serología para Treponema pallidum, CMV, VHS-1, VHS-2, VIH, VEB, VHB, VHC, VVZ y Toxoplasma, que resultaron negativos. Presentó un Mantoux positivo.
Se realizó biopsia de la adenopatía submandibular derecha, con salida de material caseoso y con resultado microbiológico (baciloscopia y PCR) de Mycobacterium tuberculosis complex. El paciente inició tratamiento con rifampicina e isoniacida durante 12 meses, y pirazinamida y etambutol durante los primeros 2 meses.
Paralelamente, dada la evolución tórpida del paciente, se decidió la enucleación del globo ocular derecho, con resultado anatomopatológico de inflamación granulomatosa necrosante de coroides y retina en los cuadrantes inferiores, con tinción Ziehl-Neelsen negativa.
Ante la sospecha de una tuberculosis diseminada, se decidió completar estudio de extensión con una TC de tórax, que mostró únicamente consolidaciones parcheadas bilaterales, lo que indicaba la existencia de tuberculosis pulmonar reactivada, y una [18F]-FDG PET/TC, que evidenció múltiples lesiones hipermetabólicas en parénquima pulmonar de predominio izquierdo, con afectación ganglionar supradiafragmática, lesiones hepáticas y óseas de alto grado metabólico, que parecían corresponderse con el mismo proceso infeccioso (fig. 3).
A) [18F]-FDG PET/TC mostró múltiples lesiones hipermetabólicas en parénquima pulmonar, de predominio izquierdo, con afectación ganglionar supradiafragmática, hepática y numerosas lesiones óseas de alto grado metabólico (MIP). B) Adenopatía hipermetabólica submandibular derecha (imagen axial). C) Lesiones pulmonares izquierdas de alto grado metabólico (imagen axial). D) Afectación ósea vertebral y esternal (imagen sagital).
Un año después, el paciente presentó una evolución clínica favorable. En la TC de control tras finalizar el tratamiento se apreció desaparición de todas las lesiones mencionadas.
Comentario finalLa tuberculosis es un importante problema de salud pública a nivel mundial, al ser una de las 10 principales causas de muerte entre los adultos en el mundo1. La tuberculosis extrapulmonar representa el 14% de los casos de tuberculosis, que afecta con mayor frecuencia a los ganglios linfáticos y, seguidamente, a la pleura2. Los síntomas constitucionales generales de la tuberculosis extrapulmonar a menudo están ausentes, lo que retrasa su diagnóstico2.
La uveítis posterior es la forma de afectación ocular más frecuente de la tuberculosis. Se caracteriza por un amplio espectro de hallazgos fondocópicos, como la coroiditis multifocal o serpiginosa, tuberculomas, neurorretinitis, vasculitis retinianas de carácter isquémico y endoftalmitis3. En nuestro caso, se presentó como una inflamación granulomatosa necrosante de coroides y retina, con baciloscopia negativa.
El diagnóstico de tuberculosis ocular con frecuencia es presuntivo3. El diagnóstico definitivo se basa en la demostración de bacilos tuberculosos en el tejido, pero esto conlleva la dificultad de obtener una biopsia. En la mayoría de los casos se suele hacer una combinación de evidencia de enfermedad sistémica, hallazgos oculares característicos y un ensayo de tratamiento terapéutico para llegar al diagnóstico3.
Presentamos el caso de un paciente procedente de África subsahariana, cuya manifestación clínica inicial fue dolor ocular y ceguera. Los hallazgos descritos plantearon el diagnóstico diferencial entre tumoración quística retiniana, como melanoma coroideo, quistes parasitarios y, de forma menos probable, quistes intrarretinianos hemorrágicos.
Las lesiones oculares parasitarias (protozoos como Acanthamoeba spp., especies de Leishmania, Angiostrongylus, Loa loa, especies de Dirofilaria y gusanos planos como Taenia solium y Schistosoma spp., entre otros) pueden producir una inflamación aguda grave del tejido circundante que puede enmascarar una masa ocular inflamatoria4.
Dada la procedencia del paciente, el diagnóstico fue desafiante, por lo que hubo que ampliar el diagnóstico diferencial para descartar enfermedades infecciosas (parasitosis intestinales, estrongiloidosis, filariosis, parasitosis genitourinarias, malaria y leishmaniosis) y no infecciosas (tumorales). La tuberculosis extrapulmonar también debe tomarse en cuenta a la hora de realizar el cribado del paciente subsahariano5.
La [18F]-FDG PET/TC tiene valor diagnóstico en el estudio de extensión de la tuberculosis extrapulmonar, así como en la valoración de la respuesta al tratamiento6. En nuestro caso, fue de mayor utilidad que la TC para determinar la extensión de la enfermedad.
Consideraciones éticasSe obtuvo el consentimiento informado por escrito del paciente para el uso anónimo de los datos clínicos e imágenes. Todos los procedimientos realizados en este estudio con participantes humanos lo fueron de acuerdo con las normas éticas del Comité de Investigación y Ética del hospital local y con la Declaración de Helsinki de 1964 y sus enmiendas posteriores o normas éticas comparables.
FinanciaciónLos autores declaran que no han recibido financiación.
Conflicto de interesesLos autores declaran no tener ningún conflicto de interés.






