Mujer de 49 años, que ingresa en el servicio de enfermedades infecciosas por fiebre de una semana de evolución y deterioro del estado general. Entre sus antecedentes destaca infección por VIH de 22 años de evolución con mala adherencia terapéutica, que condiciona mal control de la enfermedad, presentando al ingreso una carga viral de 135.000 copias RNA/ml y un recuento de CD4 de 30cél/ml. Como complicaciones ha presentado candidiasis orofaríngea y esofágica de repetición. Además, presenta una psoriasis en placas generalizada de 8 años de evolución, con mala adherencia al tratamiento (acitretina y corticoesteroides tópicos) y exacerbada por el estado avanzado de la infección por el VIH.
A la exploración física destacaban placas eritematodescamativas de gran tamaño generalizadas que afectaban a tronco y extremidades de forma bilateral y simétrica (índices PASI 25, BSA 50%, PGA 5).
Diagnóstico y evoluciónIngresó para estudio de fiebre sin foco aparente y se reiniciaron su tratamiento antirretroviral y los corticoides tópicos para la psoriasis. La analítica inicial mostró neutropenia y la radiografía de tórax fue normal.
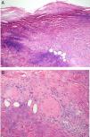
A las 72h del ingreso la paciente presentó empeoramiento del estado general, con la aparición de máculo-pápulas violáceas confluentes sobre las placas de psoriasis que evolucionaron progresivamente a úlceras necróticas (fig. 1). La paciente evolucionó desfavorablemente, con disminución del nivel de consciencia, hipotensión, oliguria y signos de mala perfusión periférica, además de progresión de las lesiones cutáneas (fig. 2). A pesar del inicio de cloxacilina y meropenem endovenosos, sueroterapia intensiva y la perfusión de fármacos vasoactivos, la paciente fue exitus. La biopsia cutánea mostró necrosis superficial y profunda con infiltrado inflamatorio agudo pronunciado de la dermis y del tejido subcutáneo, con trombosis vascular (fig. 3). No se pudieron observar bacterias mediante la tinción de Gram alrededor de los vasos. Tanto en los hemocultivos como en el cultivo de la biopsia se aislaron Staphylococcus aureus sensible a cloxacilina y Pseudomonas aeruginosa sin resistencias relevantes. La PCR del exudado de las lesiones fue negativa para el virus herpes simple 1 y 2 y el virus varicela-zóster.
A) Biopsia cutánea de una de las úlceras necróticas que muestra necrosis de la dermis superficial y profunda, con gran componente inflamatorio dérmico. B) A mayor aumento, además de la necrosis y el infiltrado inflamatorio polimorfonuclear, observamos vasos sanguíneos dérmicos con trombosis vascular, en el contexto del proceso inflamatorio.
Aunque la prevalencia de psoriasis en los pacientes infectados por el VIH es similar a la de la población general, en estos pacientes la enfermedad tiende a ser más grave y a empeorar conforme progresa la inmunosupresión1–3. Además, las fases generalizadas, pueden constituir la puerta de entrada a microorganismos que pueden conducir a sepsis4.
La sepsis continúa siendo una de las principales causas de mortalidad en el mundo. La frecuencia de aparición de lesiones cutáneas en el contexto de una sepsis no es bien conocida, aunque es esencial saberlas identificar porque suelen expresarse en fases precoces, lo que nos permitirá un diagnóstico y tratamiento tempranos. Uno de los mecanismos fisiopatológicos que explican la aparición de estas lesiones cutáneas es la invasión directa de la pared vascular por el microorganismo responsable de la sepsis, como ocurre en el ectima gangrenoso5. Esta entidad está causada fundamentalmente por Pseudomonas aeruginosa, aunque se han descrito casos producidos por diferentes microorganismos entre los que se encuentra Staphylococcus aureus. Se produce una vasculitis necrosante con trombosis vascular que provoca un infarto cutáneo que evoluciona hacia lesiones ulceradas, que pueden ser únicas o múltiples y que pueden aparecer en cualquier parte del cuerpo. Es más frecuente en pacientes inmunodeprimidos con neutropenia intensa y prolongada5–8.
En este artículo presentamos el caso de una paciente infectada por VIH en un estado de inmunosupresión avanzado, neutropénica y con una psoriasis mal controlada. La psoriasis generalizada ha podido constituir la puerta de entrada de Staphylococcus aureus, el patógeno bacteriano cutáneo más frecuente en la infección por VIH y Pseudomonas aeruginosa9,10. Tanto la clínica, la histología, los hemocultivos como el cultivo de la biopsia nos permiten orientar que las lesiones ulceradas de nuestra paciente corresponden probablemente a un ectima gangrenoso por vasculopatía séptica por Pseudomonas aeruginosa. No obstante, no podemos descartar el papel etiológico de Staphylococcus aureus, implicado menos frecuentemente en la patogénesis de esta entidad. Este caso clínico ilustra la necesidad de un estricto control terapéutico tanto de la infección por el VIH como de la psoriasis en pacientes en los que coexisten ambas enfermedades, considerando las graves complicaciones sistémicas que se pueden desprender.
FinanciaciónDeclaramos no haber recibido fuente de financiación.
Conflicto de interesesDeclaramos no tener ningún conflicto de intereses.
Agradecimientos a Berta Ferrer y a Rosa Cristòfol por su colaboración.






