Sr. Editor:El absceso del psoas representa menos del 6% del total de las colecciones purulentas intraabdominales. Se trata de un proceso infeccioso retroperitoneal, poco frecuente, que a veces se manifiesta de manera insidiosa o atípica, lo que dificulta y retrasa el diagnóstico1. Puede ser primario o secundario a la extensión de una infección desde estructuras vecinas2. La etiología del absceso del psoas ha sufrido algunos cambios a lo largo del tiempo; hasta la década de 1960, la causa más frecuente era la invasión del músculo por Mycobacterium tuberculosis a partir de una espondilitis o sacroileítis tuberculosa. Posteriormente, predominó la etiología piógena, especialmente porStaphylococcus aureus a partir de osteítis vertebrales y, con menor frecuencia, por bacilos gramnegativos intestinales a punto de partida de diverticulitis, apendicitis o enfermedad de Crohn3. Con la pandemia del síndrome de inmunodeficiencia adquirida (sida) y su consecuencia, la grave inmunodeficiencia a la que conduce la infección por el virus de la inmunodeficiencia humana tipo 1 (VIH-1), los clásicos patrones clínicos de la tuberculosis han cambiado, lo que da lugar a formas diseminadas graves, con frecuente afectación multiorgánica, e incluso, a abscesos múltiples4.
Se presenta un paciente con enfermedad VIH/sida avanzada que desarrolló una tuberculosis diseminada con absceso bilateral del psoas.
Varón de 34 años, con serología positiva para VIH-1, heterosexual, sin antecedentes de consumo de drogas ni alcohol. Desde un mes antes de su hospitalización presentaba fiebre de predominio vespertino, asociada a pérdida de peso, sudoración nocturna y dolor abdominal localizado en ambas fosas ilíacas.
A su ingreso, se constató adelgazamiento, fiebre (38 °C axilar) y taquicardia, y se palparon adenomegalias laterocervicales izquierdas, la mayor de de 3 x2 cm, discretamente dolorosas, móviles, no adheridas a planos profundos, de consistencia fluctuante con eritema de la piel suprayacente. El examen de la cavidad bucal demostró la existencia de lesiones de candidiasis oral y leucoplasia oral vellosa. La auscultación respiratoria reveló roncus aislados. La auscultación cardíaca fue normal. El abdomen estaba distendido, doloroso a la palpación profunda en ambas fosas ilíacas, con maniobra del psoas positiva del lado derecho, hepatosplenomegalia y ascitis.
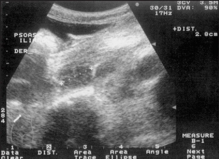
La radiografía de tórax mostró opacidad del seno costofrénico izquierdo. La ecografía abdominal permitió apreciar la existencia de hepatomegalia con leve aumento de la ecogenicidad compatible con esteatosis, fibrosis o granulomatosis; esplenomegalia con múltiples imágenes focales hipoecoicas; vesícula de paredes engrosadas, alitiásica; ascitis abundante, tabicada, y derrame pleural izquierdo. El páncreas y riñones eran normales. En ambas fosas ilíacas se visualizan imágenes hipoecoicas de 145 x 62 x 26 mm a la derecha y 34 x 29 x 22 mm del lado izquierdo compatibles con abscesos del músculo psoas (figs. 1 y 2).
Figura 1. Ecografía abdominal con imagen hipoecoica compatible con absceso del psoas derecho.
Figura 2. Ecografía abdominal con imagen hipoecoica en músculo psoas ilíaco izquierdo compatible con absceso.
La radiografía de la columna dorsolumbosacra no mostró alteraciones óseas ni articulares. Los datos del laboratorio de ingreso fueron: hematocrito, 29%; hemoglobina, 9,8 g/dl; VSG, 95 mm/h; leucocitos, 9,1 x 103/l (94%; 0%; 0%; 4%; 2%), plaquetas 80.000/μl, FA, 335 U/l, glucosa, urea y creatinina en valores normales. El recuento de linfocitos T CD4+ fue de 6 cél./μl (1,1%).
Se efectuó la punción aspirativa con aguja fina de la adenitis cervical, obteniéndose material purulento, caseoso, cuyo examen directo demostró la existencia de bacilos ácido alcohol resistentes (BAAR > 10 bacilos/campo). El cultivo fue positivo por BACTEC paraM. tuberculosis con sensibilidad a isoniazida, rifampicina, etambutol y estreptomicina. También se realizó punción dirigida con aguja fina bajo control ecográfico del absceso del psoas derecho (el de mayor tamaño) obteniéndose material purulento cuyo examen directo fue positivo para BAAR y el cultivo mostró desarrollo deM. tuberculosis con la misma sensibilidad de la muestra ganglionar. En el mismo momento se obtuvo líquido ascítico cuyo examen directo fue positivo para BAAR con desarrollo deM. tuberculosis en los cultivos. Los exámenes directos y cultivos de los mismos materiales para gérmenes comunes y hongos resultaron negativos. El paciente recibió tratamiento con isoniazida, rifampicina, etambutol y pirazinamida, a dosis habituales, durante 2 meses, con buena respuesta clínica y ecográfica. Luego continuó con isoniazida y rifampicina, abandonando los controles luego del alta hospitalaria.
El compromiso infeccioso de este músculo puede responder a múltiples etiologías bacterianas5 o micobacterianas6. Sin embargo, la etiología tuberculosa ha vuelto a cobrar importancia en los últimos años a partir del incremento de pacientes inmunocomprometidos (sida, trasplantes de órganos, tratamientos con citostáticos o esteroides)7-9. El paciente que se presenta tenía diagnóstico de infección por VIH con enfermedad avanzada y marcada inmunodeficiencia con recuento de linfocitos T CD4+ de menos de 50 cél./μl.
El drenaje percutáneo guiado por imágenes, TC o ecografía, además de mostrar la exacta localización y extensión de la enfermedad, es una alternativa eficaz y segura a la intervención quirúrgica en la mayoría de los casos, lo que mejora el pronóstico de estos pacientes10. En este caso, el drenaje guiado por ecografía del mayor de los abscesos permitió evitar la intervención quirúrgica y confirmar el diagnóstico de tuberculosis mediante la identificación deM. tuberculosis y efectuar el tratamiento según antibiograma de la cepa identificada.
El absceso del psoas de etiología tuberculosa es habitualmente secundario a una espondilodiscitis y, con menor frecuencia, a la localización digestiva, urológica o genital de la enfermedad. El compromiso bilateral, como en el presente caso, ha sido poco referido en la literatura y podría responder, igual que las múltiples lesiones hipoecoicas observadas a nivel del bazo, a un foco secundario a la diseminación hematógena del bacilo.





