Caso clínico
Mujer de 63 años diagnosticada en 1997 de un linfoma no Hodgkin grado I estadio IV que recibió 6 ciclos de quimioterapia con CHOP, con remisión completa inicial y varias recaídas en los siguientes años. En enero de 2006 se evidenció una progresión de su enfermedad y recibió un tratamiento con carboplatino, gemcitabina y rituximab. En abril de 2006 ingresó en nuestro centro con manifestaciones clínicas respiratorias, fiebre y neutropenia (370 neutrófilos/μl) y fue diagnosticada de aspergilosis pulmonar por presentar lesiones nodulares múltiples, con cavitación excéntrica, en la TC torácica y concentraciones altas de galactomanano en suero mediante ELISA (Platelia Aspergillus; Bio-Rad) (densidad óptica de 2,12). Se instauró un tratamiento con voriconazol (200 mg/12 h por vía oral). En los días siguientes se evidenció la aparición de nódulos subcutáneos y lesiones cutáneas eritematosas y dolorosas, de 0,8-1 cm de diámetro, en los miembros superiores e inferiores (fig. 1), que sugirieron metástasis cutáneas del linfoma. Se realizó una biopsia cutánea para la evaluación histológica y el cultivo microbiológico.
Figura 1. Lesión eritematosa en antebrazo.
Diagnóstico y evolución
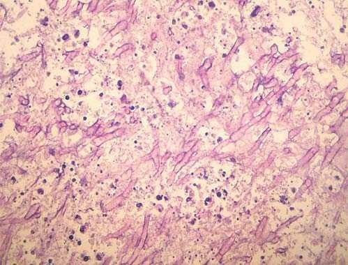
El examen histológico de la biopsia evidenció la presencia de abundantes hifas (fig. 2). El cultivo en agar glucosado de Sabouraud mostró crecimiento a las 24 h de un hongo filamentoso cuyas características coloniales y microscópicas permitieron identificarlo como Aspergillus fumigatus (fig. 3).
Figura 2. Presencia de abundantes hifas hialinas, septadas, en la biopsia cutánea teñida con PAS (×400).
Figura 3. Examen microscópico de la colonia en fresco con azul de lactofenol. Presencia de hifas y conidióforos típicos de Aspergillus fumigatus (× 400).
Se añadió anfotericina B al tratamiento, a dosis de 0,7 mg/kg/día. En las semanas posteriores se produjo una lenta mejoría tanto de la clínica respiratoria como de las lesiones cutáneas.
Comentario
La aspergilosis comprende un espectro de enfermedades causadas por hongos saprofitas del género Aspergillus, que afectan principalmente a pacientes inmunodeprimidos. La aspergilosis cutánea es una entidad poco frecuente, que se clasifica como primaria o secundaria. En la primaria el hongo accede a la piel directamente a través de heridas, quemaduras o puntos de inserción de catéteres. La aspergilosis cutánea secundaria ocurre como resultado de la extensión a la piel desde lugares adyacentes o mediante diseminación sanguínea1.
Los pacientes con cáncer, principalmente aquéllos con leucemia, desarrollan infecciones cutáneas tanto primarias como secundarias. La mayoría de las formas secundarias descritas en la literatura médica se han producido por diseminación desde focos contiguos como los senos paranasales2,3 y con menor frecuencia, por embolización4,5. Las lesiones producidas por embolización ocurren aproximadamente en el 11% de los pacientes con aspergilosis diseminada, incidencia análoga al porcentaje (10-13%) de lesiones cutáneas que se desarrollan en pacientes con candidiasis diseminada6. En nuestra paciente las lesiones cutáneas se desarrollaron por diseminación del foco pulmonar, donde se cultivó A. fumigatus en una muestra de broncoaspirado.
La aspergilosis cutánea puede manifestarse en forma de máculas, pápulas, nódulos o placas. Las pústulas aparecen generalmente en neonatos7,8. En pacientes inmunodeficientes no infectados por el VIH, la aspergilosis cutánea secundaria se manifiesta en forma de máculas eritematosas o pápulas que evolucionan a bullas hemorrágicas o nódulos ulcerados. Con el tiempo suelen desarrollarse escaras. Estas lesiones pueden asemejarse a las del ecthyma gangrenosum producido por Pseudomonas aeruginosa6.
Ante la presencia de lesiones cutáneas sugerentes de metástasis en pacientes con cáncer, es obligado realizar una biopsia para su estudio histológico. Dicho estudio permite evidenciar la presencia de hifas en el tejido en casos de aspergilosis cutánea. El cultivo micológico es necesario para la confirmación de los hallazgos histológicos e identificar el hongo implicado, que es imprescindible para una adecuada orientación terapéutica. Debemos considerar también que tanto el pronóstico como el tratamiento dependen de la situación clínica de base del paciente.
Correspondencia: Dra. V. Ortiz de la Tabla Ducasse.
Sección de Microbiología. Hospital Universitario San Juan.
Ctra. Valencia, s/n. 03550 San Juan. Alicante. España.
Manuscrito recibido el 12-9-2006; aceptado el 27-12-2006.






