Introducción
Los enterococos son uno de los principales patógenos nosocomiales. Aunque forman parte de la flora intestinal de los individuos sanos y no se les atribuye una elevada virulencia, en el ámbito hospitalario constituyen una de las causas más importantes de endocarditis, bacteriemia, infección urinaria e infección de herida 1. Las especies aisladas con más frecuencia son Enterococcus faecalis (80-90%) y Enterococcus faecium (5-10%). Al creciente protagonismo de los enterococos en este ámbito ha contribuido su resistencia intrínseca a un amplio número de antibióticos y su gran capacidad para adquirir nuevas resistencias. Además, su tolerancia a la actividad bactericida de los betalactámicos y glucopéptidos hace necesaria la combinación con aminoglucósidos en infecciones graves como meningitis o endocarditis 2.
En este contexto, la resistencia a glucopéptidos plantea un serio problema para el tratamiento de la infección enterocócica, especialmente en las unidades de cuidados intensivos (UCI), debido a la escasez de alternativas terapéuticas. La resistencia a la glucopéptidos en Enterococcus es, principalmente, adquirida. El fenotipo más frecuente, tanto en E. faecalis como en E. faecium, es el VanA, cuyos determinantes genéticos de localización plasmídica 3 se caracterizan por conferir resistencia de alto nivel tanto a la vancomicina como a la teicoplanina. La reciente documentación de la transferencia del fenotipo VanA desde E. faecalis a Staphylococcus aureus4 acentúa aún más el riesgo potencial que implica la diseminación de este mecanismo de resistencia.
En este trabajo se presenta la caracterización molecular de un brote de 8 casos de infección/colonización por E. faecalis resistente a glucopéptidos producido en la UCI del Hospital Universitario Son Dureta (que engloba tres unidades adyacentes: general [UCI-G], traumatología [UCI-T] y coronarias [UCI-C]), entre enero y agosto de 2003.
Métodos
La identificación de las cepas de E. faecalis resistente a glucopéptidos en muestras clínicas procedentes de la UCI se realizó mediante el sistema Rapid ID 32 Strep (BioMérieux, MarcyL'Etoile, Francia). El perfil de sensibilidad antibiótica (ampicilina, vancomicina, teicoplanina, gentamicina, kanamicina, estreptomicina, eritromicina, cotrimoxazol, ciprofloxacino, tetraciclina y linezolid) se determinó usando la técnica de difusión con discos. Posteriormente se verificó la resistencia a los glucopéptidos mediante la estimación de la concentración inhibitoria mínima para vancomicina y teicoplanina por Etest® (AB Biodisk, Solna, Suecia).
Los estudios de colonización intestinal por E. faecalis resistente a glucopéptidos se llevaron a cabo mediante la siembra de torundas rectales en placas selectivas con 10 μg/ml de vancomicina (Agar Campylosel, BioMérieux, MarcyL'Etoile, Francia), procediendo a la identificación y evaluación de la sensibilidad antibiótica de los aislados positivos como anteriormente se ha descrito.
La determinación de la clonalidad de los aislados de E. faecalis resistente a glucopéptidos se realizó utilizando la técnica de electroforesis de campo pulsado (PFGE) 5. Tras la lisis del ADN cromosómico embebido en los bloques de agarosa, se procedió a su restricción con SmaI y posterior electroforesis (Chef DrIII System, Bio-Rad, La Jolla, California) con las siguientes condiciones: pulso inicial, 1 s; pulso final, 20 s; tiempo total de electroforesis, 20 h a 6 V/cm 2. Los patrones de macrorrestricción se interpretaron siguiendo los criterios de Tenover et al 6.
La presencia del gen vanA en las cepas de E. faecalis resistente a glucopéptidos fue confirmada por amplificación de un fragmento de 766 pb del gen vanA mediante la técnica de reacción en cadena de la polimerasa (PCR) usando cebadores específicos previamente descritos 7, VANAF(59-GCTATTCAGCTGTACTC-39) y VANAR (59-CAGCGGCCATCATACGG-39). Las condiciones de amplificación fueron: 94 °C 12 min (94 °C 1 min-56 °C 1 min-72 °C 1 min) 35 ciclos, 72 °C 10 min.
Resultados
En la figura 1 y en la tabla 1 se muestra el período de ingreso en UCI, la unidad y la cama ocupada, así como la fecha y el tipo de muestra del primer aislado de E. faecalis resistente a glucopéptidos de cada uno de los casos que formaron parte del brote.
Figura 1. Distribución de pacientes infectados y portadores de E. faecalis resistente a glucopéptidos. A cada paciente se le ha asignado un número del 1 al 8, siguiendo el orden cronológico del aislado. El eje de abscisas muestra el tiempo de ingreso en UCI y el de ordenadas la unidad y la cama ocupada. La fecha del primer aislado se representa con una flecha en el interior de los rectángulos. En los pacientes 2 y 3 (marcados con un asterisco) se aisló después de ser trasladados a planta, el 4-3-2003 (Medicina Interna) y el 5-4-2003 (Traumatología), respectivamente.
Como ilustra la figura 1, entre enero y abril de 2003 se detectaron 4 casos de infección por E. faecalis resistente a glucopéptidos en pacientes ingresados en dicho servicio. Los casos 1 y 3 se encontraban en camas contiguas. Posteriormente, como consecuencia de la realización de un estudio de colonización a los 6 pacientes que se hallaban en la UCI en ese momento, se detectaron dos portadores intestinales, 5 y 6, en camas adyacentes a la del cuarto caso. El caso 6, en concreto, había estado ingresado previamente en la cama que pocos días antes había ocupado el tercer infectado, conectando así los casos de la unidad de traumatología con los de la unidad de general.
A pesar de las medidas de control establecidas (aislamiento de los portadores e infectados, limpieza y desinfección de las áreas implicadas, personal exclusivo para cada paciente y uso de instrumental desechable) en agosto se volvió a aislar E. faecalis resistente a glucopéptidos en un paciente que había pasado a ocupar la misma cama del cuarto infectado. Se realizó un segundo estudio de colonización a los 11 pacientes ingresados en la UCI en ese momento, y se detectó un nuevo portador rectal.
Todos los aislados fueron sensibles a ampicilina, tetraciclina y linezolid y presentaron resistencia de alto nivel a gentamicina, kanamicina, estreptomicina, eritromicina, cotrimoxazol y ciprofloxacino. La concentración inhibitoria mínima (CIM) a vancomicina fue superior a 256 μg/ml y la CIM a teicoplanina fue de 32-64 μg/ml. Esta resistencia de alto nivel a los glucopéptidos caracterizó a los aislados como fenotipo VanA. La PCR fue positiva en todos los aislados para el gen vanA.
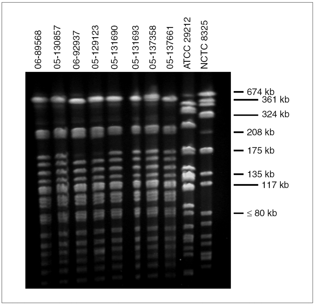
Mediante la técnica de PFGE se evidenció que los aislados de E. faecalis resistente a glucopéptidos correspondientes a los 8 pacientes presentaban el mismo patrón de bandas, demostrando que constituían un único clon (fig. 2).
Figura 2. Patrón de macrorrestricción de los aislados (uno por paciente) de E. faecalis resistente a glucopéptidos. La cepa de E. faecalis ATCC 29212 se utilizó como control y la cepa de S. aureus NCTC 8325 como marcador de peso molecular.
Discusión
La codificación plasmídica de la resistencia a glucopéptidos en E. faecalis resistente a glucopéptidos, convierte a este patógeno oportunista en uno de los más peligrosos en el ambiente hospitalario. La presión selectiva ejercida por el frecuente uso de antibióticos de amplio espectro, la capacidad de los enterococos para sobrevivir en los objetos inanimados y ser transmitidos a través de las manos del personal sanitario, así como la presencia de pacientes con colonización intestinal favorecen su persistencia y diseminación en dicho entorno.
En Estados Unidos, la resistencia a la vancomicina en los enterococos es ya una situación endémica en muchos hospitales, y alcanza el 17,7% de cepas resistentes en 2002 8. En Europa, sin embargo, la prevalencia de E. faecalis resistente a glucopéptidos en el ámbito nosocomial es menor, situándose por debajo del 3% en términos generales y en torno al 0,8% en España según estudios recientes 9. No obstante, en España hay constancia hasta la fecha de dos brotes: el primero, descrito por Peset et al 10 implicó a un total de 16 pacientes entre 1994 y 1995 y el segundo, recientemente publicado, afectó a 6 pacientes en un hospital de Galicia 11. En otro trabajo se ha detectado el mismo clon de E. faecalis resistente a glucopéptidos en hospitales de tres regiones españolas distintas 12 y recientemente también se ha documentado el aislado de un clon de E. faecalis resistente a glucopéptidos en tres hospitales de ciudades distintas de Portugal 13. Estos datos, sumados al nuevo brote descrito en este trabajo, advierten del grave problema epidemiológico que se avecina si estas situaciones no se controlan debidamente.
Aunque es muy difícil establecer exactamente cuáles son los elementos de dispersión, en nuestro brote hay una clara coincidencia temporoespacial, prácticamente entre todos los pacientes. La figura 1 sugiere al paciente 6 como el que propagó E. faecalis resistente a glucopéptidos desde UCI-T a UCI-G. La persistencia del patógeno durante más de 3 meses en el medio (entre los casos 6 y 7) pone de manifiesto la difícil erradicación del mismo a pesar de las medidas adoptadas.
Medidas de prevención imprescindibles son el uso de bata y guantes, junto al lavado de manos por parte del personal sanitario. Asimismo el control sobre la limpieza y desinfección de superficies, mobiliario e instrumental médico debe ser estricto.
Cuando se detecta un caso de infección o colonización por E. faecalis resistente a glucopéptidos, el paciente debe ser aislado del resto en una habitación privada y, obviamente, deben ser observadas al máximo todas las medidas anteriormente mencionadas. En nuestro caso, además, se dispuso de personal exclusivo para atender a los pacientes implicados en el brote, se emplearon uniformes desechables y material de un único uso o en su defecto, autoclavable. Otra medida que se debe adoptar es la realización de estudios de colonización gastrointestinal por E. faecalis resistente a glucopéptidos a los pacientes con los que haya compartido habitación e incluso, en ocasiones, a todos los que se encuentren en la misma unidad donde se ha detectado el caso. Realizados como estudios transversales periódicos son, a su vez, útiles para evaluar la situación epidemiológica en la que se encuentra el hospital. En este sentido, como se ha comentado, se realizaron dos estudios de colonización intestinal, los portadores detectados fueron aislados, y se tomaron muestras rectales semanalmente, manteniéndose el aislamiento hasta la documentación de tres muestras negativas consecutivas, coincidiendo con las medidas propuestas por Ridwan et al 14. Asimismo, las técnicas de epidemiología molecular resultan de gran utilidad para la detección, el seguimiento y el control de los brotes, pudiendo identificar en cada caso el elemento de diseminación, ya sea la propagación de un mismo clon, o la transmisión de elementos genéticos móviles como plásmidos o transposones. Por último, la correcta información y preparación del personal medicosanitario, así como el uso racional de los antibióticos son también factores cruciales que contribuyen a evitar que este importante problema epidemiológico, aún potencial, se convierta en una alarma real.






